簡介
腎性骨病 發病原因
腎性骨病(1)鈣磷代謝障礙:腎衰早期血磷濾出即有障礙,尿磷排出量減少,血磷瀦留,血鈣減少,兩者均引起甲狀旁腺增生,PTH分泌增加。PTH作用於骨骼釋出Ca2+以恢復血鈣水平。當腎衰進一步發展,代償機能失效,高血磷、低血鈣持續存在,PTH亦大量分泌,繼續動員骨鈣釋放,如此惡性循環,最後導致纖維性骨炎。
(2)維生素D代謝障礙:腎衰時,皮質腎小管細胞內磷明顯增加,並有嚴重抑制1,25(OH)2D3合成的作用。1,25(OH)2D3具有促進骨鹽沉著及腸鈣吸收作用,當它合成減少時,加上持續性低鈣血症以及腹膜透析患者與蛋白結合的維生素D丟失等均可導致骨鹽沉著障礙而引起骨軟化症,同時腸鈣吸收減少,血鈣降低,則繼發甲狀旁腺機能亢進而引起纖維性骨炎。
(3)甲狀旁腺機能亢進:腎衰早期即有甲狀旁腺增生與血PTH增高,其程度與腎衰嚴重程度一致。繼發性甲狀旁腺機能亢進,除引起前述骨病外,還引起一系列骨外病變。
(4)鋁中毒:鋁在骨前質和礦化骨之間沉積,並與骨膠原蛋白形成交聯組合,損害了骨重建的感應效能,使破骨細胞和成骨細胞數目減少,酸性磷酸酶和鹼性磷酸酶活性降低,骨的形成和礦化均受抑制。
(5)代謝性酸中毒:酸中毒時,可能影響骨鹽溶解,酸中毒也干擾1,25(OH)2D3的合成、腸鈣的吸收和使骨對PTH 的抵抗。
(6)軟組織鈣化:腎性骨營養不良的表現有:骨痛、假性痛風和病理性骨折,多伴近端肌病和肌無力,骨畸形在兒童較多見,如佝僂病性改變,長骨成弓形,骨骺端增寬或骨骺脫離及生長停滯,成人則表現為脊柱彎曲、胸廓畸形及骨端的杵狀變。骨外表現為軟組織鈣化。
症狀體徵
在兒童或少年,疾病表現為發育不良、肌肉軟弱;行走時呈鴨步態,有膝外翻或內翻;骨幹骺端或肋骨軟骨交接處腫大,股骨上端骨骺滑脫;嚴重者可引起股骨頸纖維性骨炎。成人表現為骨軟化症狀,在路塞(Looser)變性區有壓痛。腎性骨病進行緩慢,出現症狀時已經是其晚期了,臨床上以骨痛,骨折,骨變形為主要特徵。骨痛突發症狀之一,常為全身性,好發於下半身持重部位(腰,背,髖,膝關節),運動或受壓時加重,走路搖晃甚至不能起床。病理性骨折多發於肋骨,其他部位也能由於輕微外力而引起骨折。多見於低轉運型和接受糖皮質激素治療的腎移植患者,高運型少見。成人易出現椎骨,胸廓和骨盆變形,重症患者引起身高縮短和換氣障礙,稱為退縮人綜合症,小兒可發生成長延遲。
並發病症
佝僂病或骨軟化症,囊性纖維性骨炎、骨質疏鬆、骨硬化和異位骨化、骨折等。
相關檢查
腎性骨病(2)血清無機磷:一般都升高,其至極高。
(3)清鹼性磷酸酶、血清鎂和血尿素都升高;血漿的碳酸鹽因酸中毒而降低,有蛋白尿和低尿鈣。
分類及定義
根據骨骼轉換速率,腎性骨病可分為4種類型。
一、高轉換型骨病病理上稱纖維性骨炎,以甲狀旁腺功能亢進,成骨細胞、破骨細胞增殖活躍及骨小梁周圍纖維化為特徵。
二、低轉換型骨病包括骨軟化和非動力性骨病兩種。前者指新形成類骨質礦化缺陷,常由鋁沉積所致。後者指骨形成降低,多與高鈣血症、使用1,25(OH)D3過度抑制PTH分泌及糖尿病等因素有關。
三、混合性骨病同時具有高轉化及低轉化骨病的特點,由甲狀旁腺功能亢進和骨礦化障礙引起,以類骨質增加和髓纖維化共存為特點,骨轉化率變化不定。
四、β2-微球蛋白澱粉樣變性骨關節病編輯本段腎性骨病骨症狀
腎性骨病進行緩慢,出現症狀時已經是其晚期了,臨床上以骨痛,骨折,骨變形為主要特徵。骨痛突發症狀之一,常為全身性,好發於下半身持重部位(腰,背,髖,膝關節),運動或受壓時加重,走路搖晃甚至不能起床。病理性骨折多發於肋骨,其他部位也能由於輕微外力而引起骨折。多見於低轉運型和接受糖皮質激素治療的腎移植患者,高運型少見。成人易出現椎骨,胸廓和骨盆變形,重症患者引起身高縮短和換氣障礙,稱為退縮人綜合症,小兒可發生成長延遲。
診斷
骨活檢
骨活檢是診斷和研究腎性骨病重要的基本方法之一。隨著骨活檢技術和組織學的改進和發展,骨活檢在臨床診斷和治療中的套用越來越普及。當腎小球濾過率(GFR)下降至40ml/min以下時,腎活檢可以反映PTH活性增加和骨礦化障礙。另外,腎活檢還是診斷鋁相關性骨損害(ARBD)唯一可靠的診斷依據。同時,骨活檢對服用鈣三醇藥物患者的監測也有一定的意義。
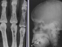
骨X線檢查
骨X線檢查使診斷腎性骨病的經典方法之一。骨骼X線檢查可以發現繼發性甲旁亢所致的骨膜下吸收、骨質疏鬆、病理性骨折、佝僂病和骨軟化等,以及繼發性甲旁亢或β2微球蛋白澱粉樣變引起的骨囊性病變。但僅靠X線檢查不能明確腎性骨病的組織類型及骨轉運率,亦不利於骨病的早期診斷。
骨密度測定
套用骨密度測定來反映骨礦物質的含量,可以提高腎性骨病損害評價的敏感性,但目前仍無法明確腎損害緣系高轉運性、低轉運性還是鋁中毒所致。可用於腎性骨病治療的隨訪觀察。
核醫學檢查
近年來,隨著核醫學技術的發展,利用99mTC標記的MDP(methylene diphosphonate)對腎性骨病患者進行骨顯像,可發現骨折、假性骨折等局部損害,並對高轉運型骨病所致纖維性骨炎和低轉運性骨病所致骨軟化有鑑別診斷價值。鋁中毒所致腎性骨病在骨顯像中具有組織放射性低濃聚,而軟組織高濃聚的熱點。因此,採用核醫學骨顯像這一非創傷性檢查,對於腎性骨病的診斷和分型具有一定價值。
生物化學指標
腎性骨病在臨床上還出現一些生物化學指標的變化,包括PTH、鹼性磷酸酶(AP)、骨鈣素(BGP)、α2-HS糖蛋白、胰島素生長因子-1(IGF-1)、Ⅶ型前膠原擴展肽等。其中一些指標在腎性骨病的發病中的機制仍不明確,但有助於腎性骨病的診斷和研究。
治療方法
腎性骨病①儘量維持血鈣磷的正常;
②防止和糾正甲旁亢和甲狀旁腺增生;
③預防和逆轉骨外鈣化;
④防止鋁和其他毒物沉積;
⑤避免與治療相關的不利因素。
這是預防和治療尿毒症繼發甲旁亢的最重要的措施。肉類及奶製品是食物中重要的磷的來源。但是限制飲食中磷的攝入會引起食慾下降和營養不良。每日磷的攝入應控制在800mg。
利用磷吸附劑阻止磷的吸收
鋁的氫氧化物和碳酸鹽是非常有效的磷吸附劑,但由於在腎功能不全的患者易發生其在骨的沉積,固長期使用應注意檢測鋁的濃度,防止發生鋁中毒。近來,鈣鹽漸漸取代鋁鹽成為臨床主要的磷吸附劑。包括碳酸鈣、檸檬酸鈣及醋酸鈣,其中醋酸鈣吸附的作用最強。由於使用鈣鹽治療可能引起高鈣血症及轉移性骨化作用,因此在使用常規劑量的鈣製劑(4-12g/d)時,應採用低鈣透析(鈣離子濃度2.5mmol/L)。
通過有效的透析治療增強磷的清除
透析對磷的清除是有限的,透析的磷的清除率僅相當於正常腎臟清除率的40-50%。
維生素D的活性衍生物的治療近十年來,維生素D活性衍生物的出現,為我們治療腎性骨病開闢了一條新的道路。維生素D的活性衍生物1α(OH)D3、25(OH)2D3、1,25(OH)2D3、雙氫速固醇(DHT)、22-氧-膽鈣化醇(OCT)等,尤其是1,25(OH)2D能明顯升高血鈣濃度,抑制甲狀旁腺激素基因基因轉錄,從而抑制輕、中度的甲旁亢,在很大程度上糾正骨組織對PTH的抵抗,改善骨病。
2。但目前臨床上的使用仍受如下限制:①高鈣血症:常於治療後數周或3個月後發生;②難於糾正的高PTH血症:這是由於慢性腎衰竭患者的甲狀旁腺對血鈣的反饋抑制敏感度下降所致;③對於嚴重纖維性骨炎或有症狀的繼發性甲旁亢患者效果欠佳;④轉移性骨化和可能的腎功能下降。使用1,25(OH)2 D3時應注意檢測鈣磷乘積。
近十年來,不少學者使用1,25(OH)2D3靜脈注射或口服衝擊療法來治療腎性骨病,取得了不錯的臨床療效。目前採用的治療方案是:4.0μg/次,2次/周。它可以顯著改善低鈣血症和高磷血症;骨組織學改變明顯;臨床症狀明顯改善;副作用較少;口服衝擊治療可取得同靜脈給藥相同的效果。但使用過程中仍需注意:①首先必須控制高磷血症,以免鈣磷乘積過高導致難於逆轉的轉移性骨化;②儘量避免合用鋁劑,以免發生鋁瀦留;③定期檢測血鈣濃度,當血鈣>2.75mol/L時應及時停藥。
治療的方向
RenaGel(poly-allylaminehydrochloride,多聚鹽酸烯丙基胺)交聯RenaGel是一種陽離子聚合物,它可以通過離子交換和氫的吸附來吸附磷陰離子。在維持性血液透析患者中進行的一個為期8周的雙盲實驗中,RenaGel已證明比傳統的磷吸附劑更有效更安全。
NPSR-568,第一代鈣受體激動劑(calcimimetic)
NPSR-568是一種新的具有鈣受體激動劑作用的化合物。它可以間歇地抑制PTH地釋放和刺激降鈣素地分泌。在尿毒症貓的動物模型實驗中,已證明NPSR-568在抑制PTH分泌和改善骨組織學改變上效果明顯,並且副作用小。因此,NPSR-568很可能發展成為今後治療繼發性甲旁亢的新的治療方法。
二膦酸鹽不僅可以抑制炎性細胞因子(IL-1、IL-6、TNF-α)的產生,還可以抑制NO的產生。而且已證明尿毒症患者體內NO濃度是升高的。因此,二膦酸鹽可能成為治療尿毒症骨病的新的治療方法。
預防護理
腎性骨病積極治療原發疾病。
防止磷瀦留和高磷血症減少飲食中磷的攝入。
這是預防和治療尿毒症繼發甲旁亢的最重要的措施。肉類及奶製品是食物中重要的磷的來源。但是限制飲食中磷的攝入會引起食慾下降和營養不良。每日磷的攝入應控制在800mg。
護理
一、營養合理:食物應當儘量做到多樣化,粗細糧搭配均衡。多吃豆類,蘑菇類食物。
二、營養豐富:多吃營養豐富,好吸收,好消化的食物,多吃高蛋白、多維生素、低動物脂肪食物。
飲食保健
近十年來,維生素D活性衍生物的出現,為我們治療腎性骨病開闢了一條新的道路。維生素D的活性衍生物1α(OH)D3、25(OH)2D3、1,25(OH)2D3、雙氫速固醇(DHT)、22-氧-膽鈣化醇(OCT)等,尤其是1,25(OH)2D能明顯升高血鈣濃度,抑制甲狀旁腺激素基因基因轉錄,從而抑制輕、中度的甲旁亢,在很大程度上糾正骨組織對PTH的抵抗,改善骨病。
但目前臨床上的使用仍受如下限制:①高鈣血症:常於治療後數周或3個月後發生;②難於糾正的高PTH血症:這是由於慢性腎衰竭患者的甲狀旁腺對血鈣的反饋抑制敏感度下降所致;③對於嚴重纖維性骨炎或有症狀的繼發性甲旁亢患者效果欠佳;④轉移性骨化和可能的腎功能下降。使用1,25(OH)2D3時應注意檢測鈣磷乘積。

