病因
纖維性骨炎發病機制:
腎功能衰竭時,由於腎組織遭受破壞,尿磷減少,使血磷增高,同時腎臟合成1,25-(OH)2D3減少,使腸道吸收鈣的能力下降而產生低鈣血症,三者之中尤以1,25-(OH)2D3的合成減少,使甲狀旁腺增生 功能亢進,導致主要表現為纖維性骨炎的病理改變,此外還可能出現骨質疏鬆、骨硬化或骨軟化。
腎功能衰竭早期即可能產生繼發性甲狀旁腺功能亢進 當腎小球濾過率(GFR)下降為50~60ml/min時 血漿全段甲狀旁腺素(iPTH)即有增多趨勢,這主要是由於甲狀旁腺激素-VD軸線發生障礙,亦即二羥膽骨化醇[1,25-(OH)2D3]的合成受到干擾。腎衰早期,血清1,25-(OH)2D3水平常處於正常低限或略低於正常,它的水平低下可以導致甲狀旁腺的過多分泌 並減少腸道對鈣的吸收。
腎衰早期二羥膽骨化醇的合成減少,不像是由於腎臟體積變小的結果 因為早期腎臟體積並不變小,很可能是由於腎臟生物合成二羥膽骨化醇的功能性損傷所致。因為對這種患者限制磷的攝入可使其二羥膽骨化醇的水平升高 腎衰早期磷積存在腎小管細胞內,可以導致二羥膽骨化醇的生物合成減少,而使甲狀旁腺激素水平升高。
其他一些附加因素也可能參與了繼發性甲旁亢的發生。Bricker等提出的“矯枉失衡”學說,認為腎衰早期血磷增高,直接降低血中離子鈣水平,後者刺激甲狀旁腺釋放更多的甲狀旁腺素, 降低磷在腎小管內的重吸收,而使血磷濃度恢復到正常水平。所謂“矯枉失衡”,即以升高血甲狀旁腺素為代價來矯正鈣、磷代謝紊亂, 但是,新近的一些研究表明,細胞外液中磷的瀦留不能解釋繼發性甲狀旁腺功能亢進的產生。
Liach和Massry發現,腎衰早期血漿離子鈣水平下降 然後可能通過預先形成的甲狀旁腺激素的釋放和前甲狀旁腺激素原的mRNA的合成增多而促進甲狀旁腺激素的釋放。但是,其他學者的研究認為,低鈣血症不是繼發性甲狀旁腺功能亢進的必要因素。綜上所述,腎衰早期二羥膽骨化醇的生物合成障礙是促進繼發性甲旁亢的重要因素。
腎衰晚期,繼發性甲狀旁腺功能亢進的產生,往往與低血鈣、高血磷,特別是二羥膽骨化醇的缺乏有關。
1.低鈣血症 導致低鈣血症的產生至少有三種因素,即磷的瀦留,骨骼對於甲狀旁腺激素(PTH)的高鈣血症作用發生抵抗和維生素D代謝紊亂。
2.高磷血症 血漿中的磷 只有12%~15%與蛋白結合,因此,腎小球濾液中的磷的濃度大約為血漿磷濃度的90%。大部分濾過的磷在腎小管(主要在近端腎小管)被重吸收,只有15%~20%的濾過磷被排出。正常狀態下,甲狀旁腺激素能減少腎小管對磷的重吸收,增進尿磷的排泄, 從而降低血磷水平,使其保持在正常範圍內, 早期腎衰時,即使腎小球濾過率有所下降,但由於血漿甲狀旁腺素濃度增加,促使腎小管對磷的重吸收減少而使血磷,仍維持在正常範圍內。當腎小球濾過率下降到大約20ml/min時,由於濾過磷量大大減少,即使血漿甲狀旁腺素濃度很高, 仍不能制止血磷的升高。當腎小球濾過率下降到10ml/min以下時,血磷會顯著升高,導致高磷血症。甲狀旁腺素增多還促進骨吸收,從骨骼中釋放出的鈣和磷進入細胞外液,磷不能從尿中排出體外,故使血磷水平升高,導致高磷血症。飲食中攝入過多的含磷食物,超過腎臟的排泄能力,也是一個因素。
3.二羥膽骨化醇合成減少 當腎臟實質遭受進行性破壞時,1α-羥化酶減少,導致腎臟內二羥膽骨化醇的生物合成受到抑制 使二羥膽骨化醇對甲狀旁腺素的負反饋信號減弱而增加甲狀旁腺素的合成和釋放 另外 磷的瀦留(或近端腎小管內原液磷的水平升高),可直接抑制腎臟對二羥膽骨化醇的合成,從而減少腸道內鈣的吸收而使血鈣水平下降而增加甲狀旁腺素的分泌。可能更重要的是減輕了二羥膽骨化醇對甲狀旁腺的抑制作用而使其增生,增加甲狀旁腺素的分泌。還有人認為,二羥膽骨化醇的不足可改變甲狀旁腺素和血鈣離子濃度之間存在的調定點(set point),使正常水平的鈣離子也不足以抑制甲狀旁腺素的分泌, 但是,其他人的研究未能證實這一點。
4.鈣敏感受體 在結節形成區域內可能伴有鈣敏感受體mRNA和蛋白的減少,這種變化可使甲狀旁腺激素的分泌,受鈣的抑制作用, 反應不那么強烈, 鈣敏感受體對甲狀旁腺功能的調節可能具有治療意義。在實驗性或人類慢性腎衰時給予鈣敏感受體增效劑能降低血漿甲狀旁腺素50%以上,而且能抑制實驗動物的甲狀旁腺細胞增生。
5.骨骼對甲狀旁腺素產生抵抗 骨骼對甲狀旁腺素動員骨鈣的作用產生抵抗可能參與了繼發性甲狀旁腺功能亢進的發病。這種對甲狀旁腺素的抵抗主要由於高循環甲狀旁腺素水平引起的甲狀旁腺素受體下調, 此外二羥膽骨化醇的不足和高磷血症也有一定作用。
6.骨骼病變 腎功能衰竭時,最常見的兩種骨的病變為骨吸收增強和骨礦化缺陷,骨硬化也可能出現,骨質疏鬆則不常見。
(1)甲狀旁腺素增多性骨病(高轉運型骨病):血甲狀旁腺素增多可導致破骨細胞活性增高和骨吸收增強。當這些過程越來越嚴重時,骨骼出現明顯纖維化, 構成纖維性骨炎的組織學病變。這種破骨細胞性骨吸收見於骨膜下, 骨內膜下 皮質骨的Havers管和小梁骨表面 這些改變多見於皮質骨,少見於小梁骨。甲狀旁腺素還可以刺激骨細胞性骨溶解,導致皮質骨的吸收。甲狀旁腺功能亢進也可引起編織狀類骨質和編織骨的出現。
(2)礦化不全的骨病變:類骨質礦化不全使兒童產生佝僂病,成人出現軟骨病。這是由於骨骼礦化率延遲,導致過多的未礦化類骨質的出現。
(3)骨硬化:骨硬化是腎性骨營養不良的一種獨特表現 放射學檢查顯示骨密度增加。組織學檢查為未礦化小梁骨增多和整個骨體積增大。在脊柱、骨盆、肋骨和長骨的乾骺端等以小梁骨為主的部位表現最為明顯。
(4)骨質疏鬆:骨質疏鬆是指正常礦化骨的體積減小。骨固定術、缺鈣和慢性蛋白質攝入減少可能是導致骨質疏鬆的原因。50歲以上尿毒症患者、絕經期後、特發性或老年性骨質疏鬆等因素可能也參與了這種骨病的發生。
臨床表現
1.皮膚瘙癢 皮膚瘙癢是慢性腎功能衰竭的常見症狀,但其發生機制不清 某些患者皮膚中含鈣量增多,血鈣>2.4mmol/L者易患瘙癢,推測與皮膚內含鈣量多有關。但甲狀旁腺切除術後數天內瘙癢即可能得到改善,而皮膚內含鈣量的減少卻需很長時間,似又不好以皮膚含鈣量多來解釋瘙癢。甲狀旁腺切除術後,儘管瘙癢緩解,但如果用活性維生素D治療引起高鈣血症,瘙癢又可復發,也不好單用血漿甲狀旁腺素水平增高來解釋。患者血漿組胺水平也可能是引起瘙癢的原因之一。用重組紅細胞生成素治療使貧血改善,並使血漿組胺水平下降 瘙癢也可減輕。充分血透可使瘙癢改善或消失。部分患者用利多卡因治療或紫外線照射有效。甲狀旁腺切除術宜在經充分血透而皮膚瘙癢不能改善並伴有血漿甲狀旁腺素水平顯著增高者施行。
2.自發性肌腱斷裂 這種現象可見於慢性腎功能衰竭或其他原因引起的繼發性甲狀旁腺功能亢進 因此二者之間可能有因果關係。維生素D缺乏引起彈性組織變性或慢性代謝性酸中毒繼髮膠原合成障礙也是可能的原因。肌腱附著點小的骨折也可以引起肌腱斷裂。
3.生長受阻 晚期慢性腎功能衰竭兒童常比正常兒童矮小 其原因為營養不良,維生素D缺乏,慢性代謝性酸中毒,腸道對鈣的吸收障礙,骨病和血中生長激素介質水平低下等。給青春期前期患兒以重組生長激素治療可以促進其生長速度。
4.骨痛和骨折 患有纖維性骨炎或骨軟化者可導致進行性加重的骨骼疼痛,可見於下背部、臀部、小腿或膝部。肋骨疼痛可能是肋骨骨折的首發症狀。下背部疼痛可能是由於椎體的壓縮性骨折、骨質減少和低轉換型骨軟化所致
5.骨變形 由於維生素D缺乏 繼發甲狀旁腺功能亢進所致骨骺脫位,使長骨變彎,常波及臀部,也可見於橈骨、尺骨、肱骨下端、股骨下端和脛骨下端。
6.皮膚潰瘍和組織壞死 可見於少數的嚴重腎衰患者、腎移植術後和血透患者。放射性檢查可發現骨膜下骨吸收,血鈣的正常或升高 發病前可先有劇烈疼痛和雷諾現象 潰瘍形成後可繼發感染引起敗血症而致死亡。發病機制不清。甲狀旁腺次全切除後使潰瘍癒合,推測繼發性甲狀旁腺功能亢進可能是其原因。這些症狀不常見,發病部位為手指、腳趾、大腿 小腿和踝部。
7.軟組織鈣化 軟組織鈣化(轉移性鈣化)多因持續性鈣磷沉積增高所致,可見於動脈 眼、內臟、關節和皮膚。甲狀旁腺素水平的持續升高除了引起骨病外 還可導致磷酸鈣在小動脈、關節、軟組織和內臟的沉積。當鈣磷乘積超過70時最易出現。一種更為嚴重的稱為鈣化防禦(calciphylaxis)的轉移性鈣化常伴有顯著的動脈鈣沉積和組織缺血和壞死。
8.近端肌無力 近端肌無力在腎性骨病時較突出,可能與維生素D缺乏有關,也可因鈣干擾肌肉代謝而加重。
併發症:
可並發骨痛和骨折,皮膚潰瘍和組織壞死, 動脈鈣沉積和組織缺血和壞死。兒童生長受阻, 產生佝僂病。
診斷
根據臨床表現,實驗室檢查的特徵性可以初步診斷。β2-微球蛋白澱粉樣變在各項檢查指標中無特殊改變。表1的各項內容可供參考。血鈣、磷的檢查對於鑑別繼發性甲旁亢骨病和鋁相關性骨病幫助不大, 嚴重的甲狀旁腺功能亢進骨病和鋁相關性骨病一樣,二者都可能有高鈣血症,而磷的水平則取決於飲食中磷的攝入量、分解率、殘餘腎功能,透析效果等因素。
鹼性磷酸酶活性常常是成骨細胞功能的指數 晚期纖維性骨炎時顯著增高,而在鋁相關性骨病則常為正常或偏低。1 25-(OH)2D3水平的檢測具有一定意義,水平低下的提示維生素D缺乏, 血甲狀旁腺素在甲狀旁腺功能亢進骨病時往往顯著升高,而在鋁相關性骨病時常低於繼發性甲旁亢或者正常,這可能是由於鋁抑制甲狀旁腺素的分泌所致 ,血清鋁低於60µg/L時,鋁中毒的可能性較小 去鐵胺(DFO)試驗陽性有助於鋁相關性骨病的診斷。
鑑別診斷:
本病需與尿毒症患者,可能發生的鋁相關性骨病和β2-微球蛋白沉積引起的澱粉樣變相鑑別。
實驗室檢查:
實驗室檢查常有低血鈣、高血磷, 特別是二羥膽骨化醇的降低。
其它輔助檢查:
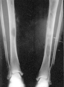
放射學檢查:繼發性甲狀旁腺功能亢進的放射學改變包括骨內膜、骨皮質和骨膜下的骨吸收,終端指、趾骨的腐蝕,囊腫形成,骨膜的neostosis和骨硬化,其中骨膜下骨吸收是最常見的放射學改變,主要見於指骨, 還可見於骨盆骨、鎖骨遠端以及肋骨、尺骨、脛骨和下頜骨下方的表層。骨硬化的放射學改變,為骨的密度增加,常見於椎體 骨盆、肋骨、鎖骨和各種長骨的乾骺端, 骨軟化的診斷有賴於骨活檢。放射學的惟一發現是Loosers帶的出現和假性骨折,骨密度常降低,但不足以診斷骨軟化。骨質減少是指放射學檢查發現的骨密度減低,常見於長期腎功能衰竭做血透治療者。骨軟化、繼發性甲狀旁腺功能亢進和骨質疏鬆經放射學檢查都可發現骨密度減低,很難單憑放射性特點來判斷骨質減少的原因。
治療
繼發性甲狀旁腺功能亢進骨病的治療包括對磷的瀦留和高磷血症的控制、對低鈣血症的糾正、活性維生素D的套用 透析鈣含量的控制、經皮甲狀旁腺內注射無水酒精或骨化三醇(二羥膽骨化醇)、甲狀旁腺次全切除等。
1.控制磷的瀦留和高磷血症
(1)限制飲食中磷的攝入:每天攝入量不超過600~900mg,對於GRF為30~60ml/min患者至為重要。應注意避免食用含磷較多的食物,如黃豆(571mg%)、腐竹(598mg%)、小豆(386mg%)、綠豆(360mg%)、紫菜(457mg%)、牛奶粉(883mg%)。
(2)套用磷結合劑:在限制磷攝入不滿意而血磷增高時,應使用磷結合劑,可使唾液、膽汁和腸液中的磷轉換為不能吸收者 進食含磷食物過多(>2.0g/d)可能減低磷結合劑的作用。常用的磷結合劑有氫氧化鋁、鈣製劑(碳酸鈣,醋酸鈣)及鎂製劑。
2.糾正低鈣血症 低鈣血症時應長期補鈣,可提高血鈣濃度 降低血清鹼性磷酸酶和甲狀旁腺素。當GRF為40~10ml/min時,每天應補鈣1.2~1.5g,(GRF<10ml/min時應補1.0~2.0g/d。
如果有嚴重的高磷血症,補鈣會增加鈣磷乘積 導致軟組織鈣化,因此 應先使用氫氧化鋁等, 磷結合劑使血磷降到<1.77mmol/L才補鈣。
3.骨化三醇(Calcitriol)的套用 二羥膽骨化醇缺乏是導致繼發性甲旁亢最重要的原因,當GFR下降到低於40ml/min時 二羥膽骨化醇水平即開始下降,終末期腎衰時顯著減少 有功能的腎組織的減少和早期高磷血症對二羥膽骨化醇的抑制均參與了二羥膽骨化醇合成的減少, 此時宜用骨化三醇或其他類似製劑治療,但在治療以前, 必須將高磷血症基本控制,否則骨化三醇能促進腸道內 磷的吸收而加重高磷血症。所有晚期腎衰病人,當其血漿iPTH>正常高限的3倍時,即應開始骨化三醇治療,因為活性維生素D製劑對於血透病人甲狀旁腺素的抑制作用優於單用鈣劑者。血漿iPTH低於正常高限2倍者不宜採用骨化三醇治療, 用活性維生素D治療的目的,不是要將iPTH降到正常範圍,而是將iPTH控制到正常上限的2~3倍 稍高於正常值對於正常骨的重塑(remodeling)是必要的,這可能是由於靶器官在尿毒症時對甲狀旁腺素髮生抵抗所致。過多抑制甲狀旁腺素會導致無力性骨病(adynamic bone disease)的發生。
4.透析前病人骨化三醇的套用 透析前腎衰繼發性甲狀旁腺功能亢進病人是否需要使用骨化三醇還沒有定論。過去有人擔心套用骨化三醇可能通過引起高鈣血症、高磷血症和高尿鈣症而加速腎功能的喪失。但是有些報導說明,只要避免高鈣血症的發生,使用骨化三醇通常不引起腎功能的變化。因此,小劑量的骨化三醇(0.25µg/d)似乎是安全的,而且能有效地降低甲狀旁腺素的分泌。另有人報導 對輕至中度腎衰病人每天給予碳酸鈣也能有效地治療繼發性甲狀旁腺功能亢進。
5.二羥膽骨化醇類似物 未來使用的合成維生素D類似物有22-oxacalcitriol,1-alpha-hydroxy vitamin D2及19-nor-1-alpha。初步臨床觀察表明這些製劑能抑制血漿甲狀旁腺素水平而沒有或少有對鈣和磷的副作用。Oxacalcitriol對維生素D結合蛋白的親和力低,因此有較多的藥物以游離形式存在,使其比骨化三醇能更為迅速地代謝 半衰期短,可以解釋對腸道鈣吸收的較小而且時間較短暫的刺激。第二代維生素D類似物19-nor-1-alpha曾在78例血漿甲狀旁腺素超過400pg/ml的血透病人中進行過隨機雙盲對照觀察。
6.鈣敏感受體增效劑 另外一種能降低甲狀旁腺素又能減少高鈣血症的方法是用激活甲狀旁腺內的鈣敏感受體的鈣模擬物。在次全切除大鼠腎臟模型中,給予鈣敏感受體增效劑能以劑量依賴方式降低血漿甲狀旁腺素濃度高達75%,且能抑制甲狀旁腺增生 這種作用不能用血漿二羥膽骨化醇或磷的濃度變化來解釋。另外的研究發現給予增效劑能減輕纖維性骨炎。
7.經皮注射無水酒精(percutaneous ethanol injection therapy PEIT)或骨化三醇 綜上所述,骨化三醇及其類似物治療繼發性甲狀旁腺功能亢進是一種首選的方法。但是 大劑量骨化三醇可能引起高鈣血症, 結節增生的腺體可能對活性維生素D3發生抵抗 因而需要作甲狀旁腺次全切除。但是這種手術可能導致甲狀旁腺素缺乏、骨軟化和無動力型骨病等, 1985年Solbiati等首次在超聲引導下用細針經皮在甲狀旁腺內注射無水酒精治療繼發性甲狀旁腺功能亢進取得成功,並得到其他學者的證實。其方法是在超聲或CT引導下將特製的細針刺入腫大的甲狀旁腺內,然後注射96%酒精,每2~2.5ml腺體體積可注入1ml酒精。有報導酒精最大注射量可為甲狀旁腺腺瘤體積的1/2(超聲探測的最大長徑×寬徑×深度×1/2) 間隔1月重複治療,最多3次。1995年Kitaota等報導了直接在甲狀旁腺內注射1,25-(OH)2D3治療伴發嚴重甲旁亢的慢性透析病人有效。1 25-(OH)2D3注射量為腺體體積的70%~90%,每周3次,治療2周。2周后口服骨化三醇衝擊治療(每周2次,每次2~4µg)2~4周,以後根據血漿甲狀旁腺素濃度延長治療時間,直至達標。
8.透析液的鈣含量 透析用水必須淨化,使用反滲水。透析液中的鈣為離子鈣,可以自由通過透析膜,而血鈣中只有60%的離子鈣。透析過程中血鈣可以丟失 也可以增加,取決於透析液和血液中鈣的濃度、透析液中含鈣量和血液中可以擴散鈣的濃度。如透析液中含鈣量低(1.25~1.3mmol/L),則骨病的發生率增加。如透析液中含鈣量高(1.99mmol/L),則可能導致高鈣血症 增加軟組織鈣化的危險性。
9.甲狀旁腺次全切除術 在下列情況下可考慮作甲狀旁腺次全切除術:血漿甲狀旁腺素顯著升高(常>1000pg/ml);持續性高鈣血症;嚴重的皮膚瘙癢經充分血透無效;有明顯的軟組織鈣化;纖維性骨炎經保守治療無效;軟組織缺血性病變,發生潰瘍或壞死者。

