長骨簡介
長骨由股骨所代表的那種長大的骨。兩端稱骨端,位於二者之間的主要部分為骨幹,骨幹中空,呈管狀,所以也把長骨稱管狀骨。骨端的表面由骨密質,內部由骨松質形成,骨幹壁則只由骨密質形成,骨端的骨松質,由於負重發展成與力軸一致的構造,顯示了對支持功能的適應。骨端和骨幹來源於不同的骨化中心。達到一定發育階段以後的長骨,在骨端與骨幹之間殘存有板狀的骨端軟骨(epiphyseal cartilage),它向兩側沿長軸方向伸長即繼續骨化,伸長完了時,骨端軟骨也骨化,最後只留有痕跡即骨端線(epiphy-seal line)。長骨內的腔稱為髓腔,中有骨髓。
結構
骨松質
長骨骨松質分布在長骨的骨骺部和骨幹內側,由片狀和針狀的骨小梁連線而成,之間有肉
眼可見的腔隙,腔內充滿骨髓。骨小梁由成層排列的骨板和骨細胞構成,骨小管開口於骨髓腔,骨細胞從中獲得營養和排出代謝產物。
骨密質
骨密質多分布在長骨骨幹和骨骺表面。由不同排列方式的骨板組成。骨板排列方式有外環骨板、內環骨板、骨單位骨板和間骨板幾種類型。
(1)外環骨板:環繞骨幹表面且呈平行排列,約十數層或數十層,比較整齊。外環骨板的外面與骨膜緊密相接,其中可見橫向穿行的管道,稱穿通管,又稱福克曼(Volkmann)管,故外膜的小血管由此進入骨內。
(2)內環骨板:居於骨幹的骨髓腔面,僅由數層骨板組成,不如外環骨板平整。內環骨板表面襯以骨內膜,後者與被復於骨松質表面的骨內膜相接續。內環骨板中也有穿通管穿行,管中的小血管與骨髓血管相通連。
(3)骨單位骨板:又稱哈福斯骨板(Haversian lamella),位於內、外環骨板之間,是骨幹骨密質的主要組成部分。骨單位骨板呈同心圓排列,中央的管道為中央管,又稱哈福斯系統。
長骨磨片示骨單位的光鏡結構
哈弗斯系統水平面骨單位是長股骨幹內主要起支持作用的結構和營養單位,呈長筒形,長0.6~2.5nm,直徑30~70微米,約有十數層骨板圍成。長骨骨幹主要由大量與骨長軸平行排列的孤單位組成。各層骨板間的骨陷窩和骨小管相互通連,最內層骨小管開口於中央管,館內有骨膜結締組織及血管和神經,骨細胞從中央管內的組織液獲得營養並
排出廢物。相鄰骨單位之間可見粘合線,它是一層含鹽多、含纖維少的骨基質,構成骨單位的邊界,相鄰骨單位的骨小管在粘合線處互不通連。相鄰骨單位的中央管相互間以橫行的穿通管相通連。
(4)間骨板:為填充在骨單位之間的一些半月形或不規則的平行骨板,它是在骨生長改建中原有的骨單位或外環骨板未吸收的殘留部分,其中除骨陷窩及骨小管外,無其他管道。
骨膜
長骨磨片示骨單位的光鏡結構除關節面以外、骨的內外表面均被復一層緻密結締組織的骨膜。外表面的稱外骨膜,分內外兩層。外層較厚,膠原纖維粗大而密集,細胞較少,有的膠原纖維橫向插入外環骨板,稱傳統纖維,起固定骨膜和韌帶作用。內層較薄,結締組織較疏鬆,纖維較少,含有較多的骨原細胞或成骨細胞,還有較多的小血管和神經。這些血管連同骨膜組織經穿通管進入骨密質,分支形成骨單位中央管內的小血管。骨膜不僅營養、保護骨組織,而且在骨的生長、改建和修復中具有重要作用。骨內膜被復在骨髓腔面、骨小梁表面以及中央管和穿通管的內表面,未薄層的結締組織膜。骨內膜含纖維少,骨原細胞常在骨表面排列成一層,細胞間有縫隙連線,它們與骨細胞突起之間也有縫隙連線。
發生與成長
總述
長骨的發生以軟骨內成骨為主,同時也有膜內成骨方式。在長骨發生的部位,由間充質先形成透明軟骨,其外形與將形成的長骨外形近似,稱軟骨雛形,隨胚胎的生長外語,軟骨逐漸長大增粗,並出現軟骨退化,逐漸被骨質取代。
軟骨周成骨
長骨的形成此過程與膜內成骨相似。軟骨雛形形成後不久,在軟骨中段(相當於未來的骨幹部),軟骨膜內層的骨原細胞分化為成骨細胞,在軟骨表面形成一圈骨組織猶如領圈,故名骨領。骨領表面的軟骨膜從此改稱骨外膜。骨領不斷增厚並加長,形成骨幹。
軟骨內成骨
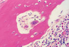
膜內成骨 圖示細胞為①成骨細胞 ②骨陷窩及骨細胞 ③骨原細胞
在骨領形成的同時,軟骨雛形中段的軟骨組織一時缺乏營養而發生退化。此處的軟骨細胞肥大變性,細胞質呈空泡狀,軟骨基質鈣化;繼而軟骨細胞退化死亡,殘留互相通連的軟骨陷窩。此處為最先成骨的部位,稱初級骨化中心。胎兒四肢軟骨雛形內出現的初級骨化中心的時間先後不一。初級骨化中心出現之初,外周的骨膜組織包括血管及骨原細胞和破骨細胞等,穿越骨領進入退化的軟骨區。破骨細胞溶解鈣化的軟骨基質,形成一些較大的不規則腔隙,內含血管、骨膜組織和早期形成的骨髓,這些腔隙即初級骨髓腔。不久,腔隙內估摸組織中的骨原細胞增殖分化為成骨細胞,細胞分布在殘留的鈣化軟骨基質的表面進行造骨,形成初級骨小梁。
軟骨鈣化區在骨領和初級骨小梁形成的同時,破骨細胞也不斷的溶骨。因此,故另外表面的成骨細胞不斷成骨,內表面的破骨細胞又不斷溶骨,使長骨幹部不斷增粗及骨髓腔橫向擴大;與此同時,軟骨固化中心從骨幹中段向兩端延伸,新形成的初級骨小梁又不斷地被破骨細胞溶解吸收,使長骨不斷增長及初級骨髓腔縱向擴大。初級骨髓腔逐漸融合擴大,形成較大的骨髓腔。
膜內成骨胎兒和嬰兒的長骨(如指骨)或新生的哺乳動物長骨的總切面上,可以看到軟骨內成骨的縱向發展過程,從長骨兩端(骺部)向骨幹部可一次分出以下四區。
軟骨儲備區
軟骨細胞較小,散在分布,軟骨基質呈弱嗜鹼性。
軟骨增殖區
軟骨細胞較大,分裂增殖的同源細胞群呈縱行排列的細胞柱。
軟骨增殖區(3)軟骨固化區:軟骨細胞肥大,呈空泡狀,細胞核固縮。細胞退化死亡,殘存較大的陷窩,軟骨基質鈣化呈強嗜酸性。
(4)成骨區:成骨細胞在殘存的鈣化軟骨基質表面建造初級骨小梁,骨小梁表面附有成骨細胞和破骨細胞,表明此時骨組織的生成和骨組織的溶解吸收是同時進行的。
破骨細胞在長骨生長過程中,骨兩端的軟骨內又先後出現新的骨化中心,稱次級骨化中心。各骨出現次級骨化中心的時間有所不同,不過大多在出生後出現;同一長骨兩端的次級骨化中心出現的早晚時間也不一。次級骨化中心的發生同樣經歷了軟骨肥大、基質鈣化、血管侵入和成骨細胞在殘存軟骨基質上形成骨松質的過程。但骨化的方向是從中央向四周呈輻射狀進行,軟骨組織逐漸被骨質所取代,形成內部為骨松質,表面為薄層骨密質,使長骨來那個短成為骨骺,僅在關節表面終身保留薄層關節軟骨。在個體的成長發育時期,骨骺與骨幹之間保留一定厚度的軟骨組織,稱骺板或骺軟骨。
骨基質上形成骨松質的過程。但骨化的方向是從中央向四周呈輻射狀進行,軟骨組織逐漸被骨質所取代,形成內部為骨松質,表面為薄層骨密質,使長骨來那個短成為骨骺,僅在關節表面終身保留薄層關節軟骨。在個體的成長發育時期,骨骺與骨幹之間保留一定厚度的軟骨組織,稱骺板或骺軟骨。

