發病機制
長骨骨幹結核的病理改變主要以骨膜增生及新生骨為主,溶骨性破壞相對少見,死骨形成更為少見。由於骨幹周圍肌肉豐富,故膿液一旦出現即被吸收,因而少有形成竇道者。溶骨性破壞多發生於髓腔,偶爾可見於新骨內,可為單發,或者多發。由於骨幹結核距骺板和關節端較遠,因此其對骨骼的生長發育及關節功能一般無明顯影響。疾病檢查
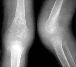
紅細胞沉降率可增快。1.X線平片
主要為X線平片檢查,於病變骨幹周圍可有新骨形成,多呈蔥皮樣增生。新骨內或髓腔內可有溶骨性破壞區,呈單發或多發,以橢圓形多見,但死骨少見。結核性骨膜炎僅有局限性骨膜增生而不伴有破壞征。
2.其他影像學檢查
該病一般勿需做CT及MRI檢查,除非病變早期用於鑑別診斷。
臨床診斷
在兒童,病變多波及幾個長骨幹,常並發肺結核或其他骨結核。病人有明顯的全身症狀。單發病例的全身症狀不明顯,局部症狀也輕微。早期,局部疼痛和腫脹都不明顯,但有局部壓痛。仔細觸診可發現骨幹變粗。膿液流到軟組織內,形成寒性膿腫,但很少有竇道形成。 關節多保持良好的功能,或僅輕微受限。只有當病變向骨端發展侵犯關節後,關節才引起腫脹和功能受限。下肢骨幹結核病人,跛行多不明顯。該病根據臨床表現及伴發其他部位結核等,再結合X線所見,一般均可診斷。
易混淆疾病
單發病例的診斷多較困難,一般需與以下疾病鑑別。⒈慢性局限性化膿性骨髓炎
該病全身症狀略較結核明顯,且局部易呈現硬化性改變。實在難以鑑別時,則需行細菌學檢查及病理組織活檢加以區別。
⒉嗜酸性肉芽腫
該病患者血液內嗜酸性細胞增多,X線平片可顯示髓腔破壞及骨皮質消失,以及病灶周圍有新骨包繞等特點,但確診仍需病理檢查。
⒊尤因肉瘤
該病屬惡性腫瘤,發病急,症狀及體徵十分明顯。X線平片可見病骨呈溶骨性破壞改變,同時可伴有骨膜增生及新骨形成,有時可呈蔥皮樣外觀,但與周圍軟組織無明顯界限。確診多需依靠病理檢查。
治療方法
中醫療法
⒈驗方:治骨關節結核、未潰而腫痛。生甘草、生川草烏、生白芨各8兩,藤黃12兩,冰片5錢。
用法:共研細末,用時以滾熱開水調如糊狀,外敷患處,用量按病灶大小而定,每周換藥一次。
⒉驗方:治骨結核皮肉潰爛、面積較大。
龍骨、廣丹、寒水石各1兩,梅片3錢。
用法:共研末撒瘡上。如久不收口,再加黃連研末撒瘡上。
⒊運用現代高科枝枝術,採用進口生物製劑,結合多種名貴中藥製成的中成藥,無毒副作用,對肺結核、淋巴結核、骨結核等,3—7天有明顯效果,有效率達100%,在治療5000例患者中,統計顯示治癒率達98%以上,最長三個月,最短20天,完全可以徹底根治、不再復發。
西醫療法
⒈藥物治療頸椎結核多有食慾減退、身體消瘦、貧血或低蛋白血症。全身狀況好壞與病灶好轉或惡化有密切關係。休息和營養作為改善全身情況的一個重要步驟是治療頸椎結核所不可缺少的。休息使機體代謝作用降低,消耗減少,體溫下降,體重增加,有利於體力恢復。因此,患者要有足夠的休息和睡眠。同時改善營養狀況也很重要。積極補充營養,給予可口、易消化、富於營養的食物。營養狀況較差的可補給魚肝油,維生素B、C等。貧血的可給鐵劑、維生素B12、葉酸等。嚴重貧血的患者可間斷輸血,每周1~2次,每次100~200ml。肝功能不好的需進行保肝治療。合併感染的可給廣譜抗生素,或根據藥物敏感試驗給敏感藥物。對截癱患者應加強護理,預防褥瘡,並防止肺部感染和泌尿系感染。
⒉手術治療
頸椎結核的手術治療主要為結核病灶清除術。根據不同病情可行病灶清除植骨術、病灶清除椎管探查術、單純膿腫切開排膿術、枕頸融合術等。寰樞椎結核病灶清除術 寰樞椎結核病灶多位於寰椎前弓和樞椎齒狀突,多數病例經過牽引、休息及抗結核藥物治療後可吸收。若保守治療無效,則病灶清除可經口腔入路。術前3天開始清潔口腔,並用廣譜抗菌素咽部噴霧。手術時患者仰臥,頸部過伸位。先在局麻下行氣管切開插管給全麻。用開口器將口張大。口腔及咽後壁黏膜用硫柳汞液消毒。懸雍垂用絲線縫合在軟齶上,用壓舌器將舌根向下壓。在切開前先用長紗條將食管及氣管入口堵住,防止膿液和血液流入。在咽後壁正中膿腫最隆起處縱形切開,切口長約4cm,一般出血不多。切開膿腫壁後立即將膿汁吸走。經此切口伸入小刮匙將乾酪樣壞死物質,死骨和肉芽等刮淨。向兩側刮除病灶時須注意避免損傷椎動、靜脈。病灶清除完畢後沖洗,注入抗結核藥物,最後分兩層縫合創口。頸2~7椎體病灶清除手術一般從前方入路。麻醉成效後,患者仰臥,頸部過伸位。選用頸前橫切口或胸鎖乳突肌前緣切口,頸後三角的寒性膿腫可採用鎖骨上切口。按頸前路途徑顯露膿腫後,保護好皮膚和正常組織,用手指觸摸椎前軟組織,確定膿腫的部位和範圍,必要時可用空針試探穿刺。在膿腫正中切開,以免損傷位於椎旁的頸交感神經和膈神經。切開膿腫壁後吸淨膿汁,將死骨、壞死椎間盤、肉芽組織及乾酪樣物質等徹底清除,膿腫壁應儘量切除乾淨。椎體病變應清除徹底,直至周圍出血的健康骨質為止。如病變椎體較多,其間未受累的椎間盤亦應同時摘除。沖洗病灶後,放入抗結核藥物。必要時植入自體髂骨或肋骨塊。放置橡皮半管引流條後,按層縫合創口。術後24~48小時拔出引流條等。
⒊其他手術
寰樞椎結核行病灶清除術後,為了維持頸椎穩定性,大多在半年後行頸1~2或枕頸融合術。寒性膿腫較大,病灶不易清除或有些患者不能長時間耐受手術者,可行單純膿腫切開排膿術。病變嚴重造成椎管狹窄者,可行椎體病灶清除和椎管探查術。後路病灶清除融合術多不主張採用。術後處理及康復術後一般需臥硬板床休息。兒童患者可石膏制動。一般需1個月左右,最好經X線檢查,證明患者的病灶已穩定。植骨已融合,血沉已恢復正常時,才允許其下地活動。下地活動時須頸托或支架保護,一般要維持保護10~16周。術後應繼續使用抗癆藥物,並根據患者全身情況及病灶穩定程度制定合適的化療方案和用藥時間。為了防止感染,手術後可加抗感染藥物7~10天。加強營養和全身支持治療。每3個月複查肝腎功能、血沉和X線片以了解病灶癒合和病變穩定情況。鼓勵患者樹立戰勝疾病的信心,加強功能鍛鍊。經過各項治療處理頸椎結核患者有很高的治癒率,約有95%。

