病理
頸椎結核結核桿菌從原發病灶主要經動脈系統進入椎體,少數通過靜脈系統和淋巴管逆流進入椎體。在機體抵抗力下降時進入椎體的菌栓發病形成病灶。大多數(約90%)病例的椎體病灶只有一個。少數病例的病灶在兩個或兩個以上。每個病灶之間有比較健康的椎體或椎間盤隔開,因此也叫跳躍型病變。根據病灶的發生部位不同而將椎體結核分成三種類型:邊緣型、中心型和骨膜下型。
邊緣型 臨床多見於成人患者,病灶靠近椎間盤,容易穿破軟骨板侵犯至椎間盤,波及鄰近椎體。以溶骨性破壞為主,死骨較少或不形成死骨。嚴重時相鄰椎體發生塌陷而形成頸椎後突畸形。
中心型 此型多見於兒童,成人少見。病灶位於椎體中央。兒童椎體小,病變進展很快波及整個骨化中心,穿破周圍的軟骨包殼,侵入椎間盤及鄰近椎體。成人椎體較大,病變進展慢,早期病變可局限在椎體中心部位,而不侵犯椎間盤及鄰近椎體,因此早期症狀不明顯。病變以骨質破壞為主,形成死骨。少數病例死骨吸收後形成骨空洞,空洞壁的骨質輕度緻密。空洞內充滿膿汁或乾酪樣物質。晚期發展嚴重時,整個椎體可破壞,發生病理骨折,椎體壓縮成楔形,形成頸椎後突畸形。
骨膜下型 臨床較為少見。病灶多位於椎體前緣,以骨質破壞為主,往往無死骨形成,呈溶冰樣改變。此型病變亦可因椎體外結核病變侵蝕所致。
頸椎結核常可形成寒性膿腫。頸椎椎體病變的結核性肉芽組織、炎性滲出物、壞死組織等形成膿汁穿破椎體皮質匯集到椎體一側的骨膜下,形成局限性椎旁膿腫。病變繼續發展,膿汁增加,膿汁可突破椎體前方骨膜和前縱韌帶,匯集到椎體骨膜的前方和頸長肌的後方。頸4以上病變,膿腫多位於咽腔後方,因而也稱咽後膿腫。頸5以下病變,膿腫多位於食管後方。巨大的咽後膿腫,可將咽後壁推向前方,與舌根靠攏,因而患者睡眠時鼾聲甚大,甚至引起呼吸和吞咽困難。下頸椎病變的膿汁可沿頸長肌下垂到上縱隔的兩側,使上縱隔的陰影擴大,有如腫瘤的外觀。咽後、食管後膿腫都可穿破咽腔或食管,形成內瘺,使膿汁、死骨片由口腔吞下或吐出。
椎體側方病變的膿汁也可在頸部兩側形成膿腫,或沿椎前筋膜及斜角肌向鎖骨上窩流注。該處膿腫可向體外穿破形成竇道。竇道形成後常經久不愈,當存在混合感染後十分難處理。
病變椎體嚴重破壞,受壓後可塌陷。病變侵犯椎間盤、軟骨板造成椎間隙狹窄。椎體的二次骨經中心被破壞,椎體的縱向生長受到阻礙。因此,頸椎的生理曲度可消失,甚至出現後突畸形。但頸椎不象胸椎或胸腰段椎體那樣,後凸畸形較少,除非兩個以上椎體被侵犯。主要因為頸椎原有生理性前凸,另外頭部的重量主要通過關節突傳導而非通過椎體。
頸椎結核產生的膿汁、肉芽、乾酪樣物質、死骨和壞死椎間盤等可凸入椎管內,壓迫神經根和脊髓。病變椎體的脫位或半脫位亦可使脊髓受壓。據統計頸椎結核截癱發生率約為22%左右。
臨床表現
本病起病隱襲,病程進展緩慢,部分患者繼往有結核病史或結核病接觸史。早期症狀較輕,不易發現。成年患者常誤診為風濕、勞損而給予抗風濕或其他對症治療。兒童的輕微症狀更易被忽視。有些患者早期無自覺症狀,可在查體時偶然發現。有些病例直到發現寒性膿腫,頸椎畸形以至截癱時方來就診。只有少數患者發病比較急驟,全身和局部症狀明顯。
症狀及體徵
頸椎結核局部症狀 頸部輕微持續性鈍痛,後伸則加劇,勞累後加重,臥床休息可減輕。夜間痛不明顯,患者多能較好地睡眠,這與惡性腫瘤不同。病變加重刺激或壓迫神經根後疼痛可向肩部、上肢或枕後放射。患部棘突有壓痛和叩擊痛。
頸部僵硬,各方向的運動都受限制,低頭視物連同軀幹一同轉動,多由於疼痛後病椎周圍肌群的保護性痙攣所致。有些患者常有斜頸畸形;部分患者頭前傾、頸短縮、喜用雙手托住下頜部以免在行動中加劇疼痛。此亦稱拉斯特(Rust)征。寰樞椎關節負責頭部鏇轉活動,該關節受累後頭部鏇轉功能大部分消失。後凸畸形多不明顯,多為生理曲度變平。
有些患者頸前膿腫形成,可出現咽部不適感,發音聲調改變,睡眠時鼾聲大作,重者可出現呼吸及吞咽困難。少數患者自口腔吐出膿汁、死骨片和乾酪樣物質,系咽後膿腫或食管後膿腫破潰穿入咽腔或食管所致。體檢時可在咽後部及頸部兩側看見和觸及膿腫。頸後三角區的波動性膿腫,多提示寒性膿腫,但須與淋巴結結核鑑別。
頸椎結核發生脊髓受壓時,患者可出現痙攣性癱瘓。壓迫較輕者可出現不完全截癱,即可只有運動障礙,亦可合併有感覺障礙及括約肌障礙。壓迫較重者,可出現完全截癱而有明顯的感覺障礙平面。肢體的腱反射亢進,病理反射如巴彬斯基征多為陽性。
診斷
頸椎結核影像學檢查
X線平片 包括胸部X線片和頸椎X線片。
胸部X線片用以了解肺部有無結核病灶。若有結核病灶,則觀察其範圍及活動情況。
頸椎結核起病時X線表現多不明顯,一般在發病數月至1年才有陽性發現。中心型病灶早期表現為在一個或可在兩個鄰近的椎體中央骨松質中出現破壞透亮區,邊緣模糊,周圍一般無明顯骨質增生現象。隨著病變的發展,可見破壞區逐漸擴大,可以均等地向上、下兩方擴展,或者以向一方破壞為顯著如破壞嚴重,可使椎體產生相應的塌陷變扁。當結核病灶侵及其附近的椎間盤時使椎間隙變狹,如穿過椎間盤而侵及鄰近的椎體時可見累及的一面骨質破壞。邊緣型病灶早期表現為椎體前緣、上緣或下緣出現骨質破壞,常伴有附近的椎間隙狹窄。這種病變多見於成人,病變一般發展較慢,有局限於兩個椎體的傾向,中間的椎間隙可有明顯的狹窄,兩面的椎體有不同程度的破壞,有時可呈局限的缺損,類似許氏結節的表現。如果一個椎體的一面破壞嚴重,則其鄰近的無明顯破壞的椎體可以嵌入破壞區。骨膜下型病灶較為典型的表現為一、二個椎體旁有明顯的膿腫形成,但椎體無顯著的破壞,僅周圍與膿腫相鄰部位邊緣不清或不甚規則,椎間盤保持正常。其後在椎體前緣出現骨質侵蝕而凹陷,往往須用體層攝影才能清楚顯示。局限於椎弓、棘突和橫突的結核病灶甚為少見,表現為受累部位的骨質破壞,在其附近出現軟組織腫脹陰影。寰樞關節結核則須攝開口位頸椎片。早期僅顯示寰樞關節脫位或半脫位,而無骨質破壞。後期可見側塊、齒狀突被破壞,甚至見到齒狀突骨折。
椎前軟組織陰影可增寬,氣管被推向前方或偏於一側,當膿腫穿破可見含氣積液腔。晚期膿腫可見鈣化影。
頸椎結核在好轉癒合時首先表現為骨質破壞停止進展,破壞區的邊緣變為清楚和增密,在破壞區內逐漸出現骨質硬化現象。明顯塌陷的椎體不能恢復正常,如椎間盤已破壞可經骨性強直而癒合。
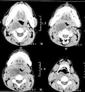
計算機體層攝影(CT) 頸椎CT能顯示椎體甚至附屬檔案的微小病灶。多採用橫斷面掃描。CT平掃骨窗可顯示椎體的骨質破壞呈椎體密度不均,其內可見片狀高密度影,有時呈擰碎的餅乾屑樣。並可顯示骨質嚴重破壞導致椎體塌陷、後突和椎管狹窄。頸椎結核的膿腫常出現於椎前,CT平掃顯示為密度略低的椎前腫塊,CT值提示為液性密度,不均勻。增強後膿腫周緣有環狀強化。慢性膿腫內可出現高密度的鈣化影。CT還可發現椎管內硬膜外的膿腫,椎管碘水造影后CT顯示更清楚。寰樞椎結核患者多有斜頸畸形,X線平片較難顯示病灶,CT平掃骨窗可顯示環椎的前弓、側塊骨質破壞,樞椎的齒狀突椎體骨質破壞,還可顯示寰樞關節前脫位及椎旁咽後膿腫。CT三維重建則更有利於觀察結核引起的齒狀突鏇轉關脫位,寰椎側方半脫位及椎管狹窄狀況。CT三維重建還有利於觀察枕骨大孔與寰樞複合體因結核病灶破壞而發生的相鄰關係的改變。
磁共振成象(MRI) 比其他檢查技術能更早發現頸椎結核病灶,可以減少骨質破壞、後凸畸形、截癱的發生。頸椎MRI檢查目前多採用自旋迴波程式(SE序列),採用矢狀位和橫斷面成像。結核病變侵犯的椎體、椎間盤、椎旁軟組織以及椎旁膿腫,在T1加權圖像上信號減低。T2加權圖像上信號增強,骨皮質模糊。在矢狀面成像上可以比較清楚地顯示椎前膿腫光滑的邊界,且多在前縱韌帶下方。膿腫向後穿破到後縱韌帶下方,引起硬膜囊、神經根,甚至脊髓受壓。病變嚴重發展後發生病理骨折,脫位也可造成椎管狹窄、脊髓受壓。當脊髓受壓嚴重時,可出現水腫,軟化變性。因此在T2加權圖像上可見到髓內局限高信號區。在橫斷面成像上可以顯示椎體破壞程度,椎旁膿腫與氣管,食管及後方椎管的鄰近關係。Gd-DTPA增強MRI圖像能更清楚地顯示椎旁膿腫。
放射性核素掃描 在結核侵犯部位出現放射性核素濃聚現象,可以幫助了解其他部位有無病灶。此檢查敏感性好,但特異性不高,須結合其他檢查參考。
超音波檢查 頸部B型超聲可幫助確定寒性膿腫的性質及大致範圍。尤其是頸深部體檢無法觸及的寒性膿腫。在超音波引導下,還可行寒性膿腫的穿刺針吸活檢術。
輔助檢查
常規檢查 包括血常規、尿常規、糞常規及肝腎功能測定等。血色素偏低,白細胞一般不高,合併其他細菌感染則明顯升高,淋巴細胞的比例一般較正常為高。尿糞常規檢查可了解泌尿系統及腸道有無合併結核感染。肝功能多有輕度損害,一般有低蛋白血症、白球比倒置。血清電泳檢查發現:病變趨於慢性時,白蛋白降低而α及γ球蛋白都可升高。套用抗癆藥物可改變此種狀況,但對耐藥者無效。
結核菌素試驗 作為一種診斷方法,僅有一定參考價值。對5歲以下沒有接種卡介苗的兒童在早期診斷上有幫助,陰性表明未感染結核菌,陽性表明已感染過結核病。如由陰性轉為陽性,表明結核感染髮生不久。至於5歲以上兒童及成人,大部分已是陽性,做此試驗對診斷幫助不大。但出現強陽性反應時,應該予足夠重視。
結核菌培養 需時較長,一般陽性率在50%~60%。因此,依靠膿汁培養來確認頸椎結核的診斷率不高。
動物接種試驗 陽性率較高,對診斷有幫助。但手續複雜,需時較長,費用較貫,有必要、有條件時可以採用。
病理活檢 對於確定診斷具有重要價值。可採用穿刺針吸活檢及手術探查切取活檢。穿刺針吸活檢往往取材量少診斷有困難。手術探查如發現膿汁或乾酪樣物質,常可確診為結核病,如仍有懷疑可待病理診斷決定。
鑑別診斷
早期骨質破壞不明顯,或症狀尚不典型時,診斷往往有一定困難,應與下列疾病鑑別。
頸椎化膿性骨髓炎
發病多急驟,體溫迅速升高,中毒症狀明顯,白細胞可增至10~20×109/L以上。頸部劇痛,活動受限。局部腫脹及壓痛常較明顯。但亞急性與慢性者多無高熱,與結核很難鑑別。X線片可見死骨形成較早,晚期椎體可見明顯骨質增生及硬化,椎體間常可形成粗大的骨橋。而頸椎結核新骨形成較少。MRI圖像上膿腫的擴散方式也不一樣,本病的膿腫沒有規則的邊界,且易破壞椎旁韌帶、小關節等。而頸椎結核的膿腫多顯示為光滑的邊界,對韌帶多無侵犯。
頸椎腫瘤
椎體腫瘤常為惡性,良性者少。在惡性腫瘤中又以轉移癌最多,多發生於中老年患者。頸痛多明顯,且在夜間加重。椎旁陰影多為圓形。椎間盤不受侵犯。休息後、抗結核治療無好轉,且逐漸加重。有時可發現原發癌腫。
自發性寰樞椎關節脫位
患者多為10歲以下兒童,常繼發於咽部炎症之後。患兒手托下頜,有斜頸,頸部活動受限,極易誤診為寰樞關節結核。X線片顯示寰椎向前脫位,齒狀突向側方和後方移位,但無骨質破壞,椎前軟組織不腫。
治療
頸椎結核非手術療法
血運豐富的頸椎不但發病率低,而且病變吸收快,修復能力強。因此,不少病例可以通過非手術療法獲得治癒。
一般治療
頸椎結核多有食慾減退、身體消瘦、貧血或低蛋白血症。全身狀況好壞與病灶好轉或惡化有密切關係。休息和營養作為改善全身情況的一個重要步驟是治療頸椎結核所不可缺少的。休息使機體代謝作用降低,消耗減少,體溫下降,體重增加,有利於體力恢復。因此,患者要有足夠的休息和睡眠。同時改善營養狀況也很重要。積極補充營養,給予可口、易消化、富於營養的食物。營養狀況較差的可補給魚肝油,維生素B、C等。貧血的可給鐵劑、維生素B12、葉酸等。嚴重貧血的患者可間斷輸血,每周1~2次,每次100~200ml。肝功能不好的需進行保肝治療。合併感染的可給廣譜抗生素,或根據藥物敏感試驗給敏感藥物。對截癱患者應加強護理,預防褥瘡,並防止肺部感染和泌尿系感染。
局部制動
為了緩解、防止增加畸形,避免病變擴散,減少體力消耗,及時使患者休息,頸部制動非常重要。病情較重者可採用頸托、支架或石膏保護。病情較重或已發生截癱者,應絕對臥床。必要時還可行枕頜帶牽引或顱骨牽引。枕頜帶牽引適用於小兒及病期較短、肌力較弱的患者,牽引重量為1~2kg。吃飯時可將牽引暫時拿下,以便開口。顱骨牽引比較安全、舒適,而且能給予較大的牽引重量,成年人可用5kg重量,兒童酌減,畸形糾正後可使用2kg維持。牽引時可以使患者仰臥,身下墊一厚褥子,枕部放在床上,使頸椎處於過伸位。對於長期套用牽引治療的患者應注意預防枕骨結節處發生褥瘡。預防的方法是定時翻身,在枕骨結節下方墊一氣圈,定時按摩並用酒精塗擦。
抗結核藥物治療
抗結核藥物的套用在頸椎結核治療中起重要作用,可提高療效,促進病變的癒合。目前常用的一線藥物有異煙肼、利福平、吡嗪醯胺、乙胺丁醇和鏈黴素。二線藥物包括丁胺卡那黴素、卷鬚黴素、卡那黴素、環絲氨酸、乙硫異煙胺和對氨柳酸等。
異煙肼(INH) 具有最強的早期殺菌作用,預防藥物產生耐藥性最好。口服吸收快,易滲入胸腔、腹腔,腦脊液和關節液中,且能滲入細胞內,故亦能殺滅細胞內的結核桿菌。
成人每天用量300mg,分3次服用。小兒用量,每天每kg體重10~20mg。異煙肼對肝功能有損害,還有引起神經炎及精神症狀,服用期間注意定期檢查肝功能,大量服用可加服維生B6。
利福平(RFP) 滅菌作用最強。口服後經腸道吸收,在血液中能較長時間維持高濃度,能通過血腦屏障進入腦脊液。利福平對結核病的治療效果較好。
成人劑量為每天450~600mg,可於清晨空腹服用,亦可分兩次服用。兒童一般用量為每日每千克體重20mg。利福平有肝功能損害,胃腸道反應,皮膚反應,流感樣反應等副作用。故肝功能有嚴重損害及膽道有梗阻的患者忌用,老年人、兒童、營養不良者慎用。
吡嗪醯胺(PZA) 具有對酸性環境中細胞內結核菌群的特殊的滅菌作用。PZA和RFP聯合則具有最強的滅菌作用。成人每天用量1~1.5g,分2~3次口服。中毒作用為肝功能損害,並能引起關節疼痛。
乙胺下醇(EMB) 抗結核作用較強,可瀰漫到人體各組織中。成人用量為每天750mg,一次服完以便獲得高峰血濃度。副作用有視力障礙。當早期出現色覺障礙時即應停藥。
鏈黴素(SM) 屬抑菌藥,僅對細胞外的結核桿菌有殺滅作用。口服不易吸收,肌肉注射可以滲入到各種組織中,但不能或很少通過血腦屏障。長期服用可有聽神經損害和腎功能損害,注意定期檢查腎功能。成人使用劑量,每天1g,分兩次肌注。兒童用量為每天15~30mg/kg體重。
抗結核藥物的使用原則是早期、足量、聯合、規律用藥。目前臨床所用的聯合用藥方案很多,有人研究表明:INH、RFP和PZA三藥聯合使用能發揮各自作用和協同作用,作用於三種不同代謝菌群和細胞內外菌群,藥物在不同pH值的情況下達到殺菌和滅菌作用,從而大大縮短治療時間。療程一般為6~9個月。用藥期間注意觀察毒副反應。定期檢查並及時調整。
手術治療
在抗結核藥物的控制下,及時徹底地清除結核病灶,可以大大縮短療程,預防畸形或截癱的發生,大大提高了頸椎結核的治癒率。同時應強調手術適應證,不應濫用手術。除了常規的術前準備外,還應系統使用抗結核藥物,使病變相對穩定,體溫、血沉接近正常。對全身狀況較差者應加強營養,儘量糾正貧血和低蛋白血症等。必要時輸血、人體白蛋白等。寰樞椎結核有脫位發生和出現嚴重畸形的患者術前作牽引治療,使脫位整復,糾正畸形。
頸椎結核患者的手術,麻醉多採用氣管插管靜脈複合麻醉。必要時可行氣管切開後插管。頸椎結核患者體質較弱,尤其是合併高位截癱、咽後壁膿腫等情況,給麻醉帶來一定困難。頸椎活動受限,聲門難以暴露;頸椎椎體骨質破壞,嚴重者合併頸椎脫位,用力不當導致脊髓橫斷危及生命;氣管插管或喉鏡用力過猛、咽後壁膿腫破損窒息死亡;高位截癱患者心肺代償功能極差,對麻醉藥物耐受性亦差。故插管應小心完成,並發咽後壁膿腫以及截癱者,均行清醒插管。咽後壁膿腫較大者,於插管前抽吸膿汁。
寰樞椎結核病灶清除術 寰樞椎結核病灶多位於寰椎前弓和樞椎齒狀突,多數病例經過牽引、休息及抗結核藥物治療後可吸收。若保守治療無效,則病灶清除可經口腔入路。術前3天開始清潔口腔,並用廣譜抗菌素咽部噴霧。手術時患者仰臥,頸部過伸位。先在局麻下行氣管切開插管給全麻。用開口器將口張大。口腔及咽後壁黏膜用硫柳汞液消毒。懸雍垂用絲線縫合在軟齶上,用壓舌器將舌根向下壓。在切開前先用長紗條將食管及氣管入口堵住,防止膿液和血液流入。在咽後壁正中膿腫最隆起處縱形切開,切口長約4cm,一般出血不多。切開膿腫壁後立即將膿汁吸走。經此切口伸入小刮匙將乾酪樣壞死物質,死骨和肉芽等刮淨。向兩側刮除病灶時須注意避免損傷椎動、靜脈。病灶清除完畢後沖洗,注入抗結核藥物,最後分兩層縫合創口。
頸2~7椎體病灶清除術 手術一般從前方入路。麻醉成效後,患者仰臥,頸部過伸位。選用頸前橫切口或胸鎖乳突肌前緣切口,頸後三角的寒性膿腫可採用鎖骨上切口。按頸前路途徑顯露膿腫後,保護好皮膚和正常組織,用手指觸摸椎前軟組織,確定膿腫的部位和範圍,必要時可用空針試探穿刺。在膿腫正中切開,以免損傷位於椎旁的頸交感神經和膈神經。切開膿腫壁後吸淨膿汁,將死骨、壞死椎間盤、肉芽組織及乾酪樣物質等徹底清除,膿腫壁應儘量切除乾淨。椎體病變應清除徹底,直至周圍出血的健康骨質為止。如病變椎體較多,其間未受累的椎間盤亦應同時摘除。沖洗病灶後,放入抗結核藥物。必要時植入自體髂骨或肋骨塊。放置橡皮半管引流條後,按層縫合創口。術後24~48小時拔出引流條等。
其他手術 寰樞椎結核行病灶清除術後,為了維持頸椎穩定性,大多在半年後行頸1~2或枕頸融合術。寒性膿腫較大,病灶不易清除或有些患者不能長時間耐受手術者,可行單純膿腫切開排膿術。病變嚴重造成椎管狹窄者,可行椎體病灶清除和椎管探查術。後路病灶清除融合術目前多不主張採用。
術後處理及康復
術後一般需臥硬板床休息。兒童患者可石膏制動。一般需1個月左右,最好經X線檢查,證明患者的病灶已穩定。植骨已融合,血沉已恢復正常時,才允許其下地活動。下地活動時須頸托或支架保護,一般要維持保護10~16周。術後應繼續使用抗癆藥物,並根據患者全身情況及病灶穩定程度制定合適的化療方案和用藥時間。為了防止感染,手術後可加抗感染藥物7~10天。加強營養和全身支持治療。每3個月複查肝腎功能、血沉和X線片以了解病灶癒合和病變穩定情況。鼓勵患者樹立戰勝疾病的信心,加強功能鍛鍊。經過各項治療處理頸椎結核患者有很高的治癒率,約有95%。
預防
影像圖由於頸椎結核是繼發病變,其中絕大多數繼發於呼吸系統和消化系統結核病,因而預防的關鍵還在於原發病的預防。
健全防治機構
近年來結核病發病率出現上升趨勢,提醒人們對結核病的防治工作不能鬆懈。應加強宣傳和教育,普及結核病的防治方法,建立和健全各級結核病防治機構,保證人力和物力,以便及時發現結核病,並實行標準化、規範化治療。
加強鍛鍊保護易感者
加強體育鍛鍊,增強體質,積極提高機體抵抗力。尤其是老人,兒童以及各種免疫損害患者,更應注意身體鍛鍊,以防結核病的感染或復發。開展卡介苗的接種工作,使易感者變為有抵抗力的人。
杜絕感染源
早期發現和徹底治療開放性肺、腸、骨關節、腎或淋巴腺結核患者,使這些病變治癒,患者不再排菌。
阻斷感染途徑
加強消毒隔離,阻斷感染途徑。徹底消毒處理結核患者的排泄物。做好結核患者的隔離工作,儘量減少健康人與患者接觸。
易與哪些疾病混淆
1.頸椎化膿性骨髓炎:此病發病多急驟,體溫迅速升高,中毒症狀明顯。頸部劇痛,活動受限。局部腫脹及壓痛常較明顯。但亞急性與慢性者多無高熱。X線片可見死骨形成較早晚期椎體可見明顯骨質增生及硬化椎體間常可形成粗大的骨橋而頸椎結核新骨形成較少MRI圖像上膿腫的擴散方式也不一樣本病的膿腫沒有規則的邊界且易破壞椎旁韌帶小關節等而頸椎結核的膿腫多顯示為光滑的邊界對韌帶多無侵犯
2.頸椎腫瘤:椎體腫瘤常為惡性良性者少在惡性腫瘤中又以轉移癌最多多發生於中老年患者頸痛多明顯且在夜間加重椎旁陰影多為圓形椎間盤不受侵犯休息後抗結核治療無好轉且逐漸加重有時可發現原發癌腫
3.自發性寰樞椎關節脫位患者多為10歲以下兒童常繼發於咽部炎症之後患兒手托下頜有斜頸頸部活動受限極易誤診為寰樞關節結核X線片顯示寰椎向前脫位齒狀突向側方和後方移位但無骨質破壞椎前軟組織不腫
4.頸椎病:由頸椎間盤退行性變及其繼發性改變所致多發生於30歲以後可有頸或頸肩部疼痛頸部活動受限有時尚有神經根及脊髓壓迫症狀患者一般無高熱盜汗頸部後凸畸形等症狀X線平片雖有椎間隙狹窄及椎體邊緣骨質增生但無骨質破壞及椎前軟組織增厚MRI檢查可見椎間盤後凸信號減低多無寒性膿腫發現
