蛋白血症可分多種。 現介紹之中兩種:
巨球蛋白血症
中文名稱: 巨球蛋白血症
蛋白血症中文又名: 原發性巨球蛋白血症
疾病介紹
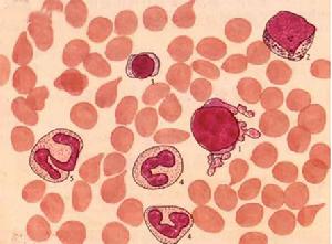
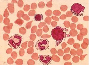
正常合成和分泌IgM的B細胞性漿細胞異常增殖. 在單克隆性丙球蛋白病的患者中,有12%為巨球蛋白血症.B細胞NHL病人約有5%血清中可發現少量單克隆IgM成分.被稱為巨球蛋白血症性淋巴瘤.此外,IgMM成分偶見於慢性淋巴細胞性白血病或其他淋巴增生性疾病. 在臨床上巨球蛋白血症是一種不同於漿細胞瘤和其他漿細胞增生性疾病,但酷似淋巴瘤性疾病.其原因不明.男性患者多於女性.中位年齡65歲. 本病許多臨床表現都是由於在血漿中運行的大量高分子巨球蛋白而引起的,這些單克隆IgM蛋白中有些是針對自體的IgG(類風濕因子)或Ⅰ抗原(冷凝集素)的抗體. 原發性巨球蛋白血症又稱巨球蛋白血症。系分泌大量單克隆IgM(巨球蛋白)的漿細胞樣淋巴細胞惡性增生性疾病,常累及B細胞發生的部位包括骨髓、淋巴結和脾臟。主要臨床表現為巨球蛋白所致的高粘滯血症。本病病因不明。多發於50歲以上,男性約占2/3。
症狀詳細描述
蛋白血症症狀診斷
在多數漿細胞病診斷之前可偶然出現血清總蛋白升高或貧血.當血清蛋白電泳上出現一個典型的M峰,經免疫電泳或免疫固定法證明為IgM,可確診本病. 中度貧血,顯著的紅細胞錢串形成和血沉很高是其典型的表現.白細胞減少,淋巴細胞相對增多,偶見血小板減少.可能存在冷沉球蛋白,類風濕因子或冷凝集素.若存在後者,抗球蛋白直接試驗通常為陽性.多種凝血和血小板功能異常的現象可發生.如果存在冷球蛋白或血液粘滯性顯著增高時,常規血液檢查結果可能有誤差.半數患者的正常免疫球蛋白降低. 對濃縮尿液進行免疫電泳檢查常可顯示單克隆輕鏈(通常為κ),但肉眼可見的本周蛋白尿並不常見.骨X射線檢查可顯示骨質疏鬆症,但溶骨性損害罕見.骨髓象可見漿細胞,淋巴細胞及漿細胞樣淋巴細胞有程度不等的增加.淋巴樣細胞中可能有過碘酸Schiff染色陽性物質,肥大細胞可能增加.此外,淋巴結活檢常被認為是瀰漫性分化好的或漿細胞性淋巴細胞性淋巴瘤. 眼底鏡見到酷似香腸狀視網膜靜脈,則可診斷為高粘滯綜合徵.視網膜出血,滲出,微動脈瘤和視神經乳頭水腫則表明疾病已到晚期.高粘滯綜合徵的病人血清的相對粘滯度通常>4.0(正常為1.4~1.8).
疾病預防
病程殊異,與骨髓瘤相比,較為良性.中位存活期約5~7年.年齡>60歲,伴有貧血和冷球蛋白血症患者的伴存活期較短. 患者常需經多年治療.如果有高粘滯現象,最初的治療包括用血漿單采法(血漿置換療法)降低血清粘滯性,該療法可迅速有效地糾正高IgM所致的出血和神經方面的異常.血漿置換療法常需反覆運用. 有些病人要長期口服烷化劑.常選用苯丁酸氮芥,每日0.03~0.09mg/kg,或加大劑量,每日0.25mg/kg共4天,每隔4~6周一次.但可引起骨髓毒性反應(見下文).用以治療多發性骨髓瘤的苯丙氨酸氮芥和環磷醯胺亦可任選一種使用,同時口服強的松(每日1mg/kg共4天,每隔4~6周一次)可能有裨益.近年研究報告使用嘌呤拮抗劑氟達拉濱和2-氯去氧腺嘌呤的療效令人鼓舞,並建議替代治療對標準口服烷化劑藥物無效的患者.在某些病例,干擾素可降低M蛋白.
參考資料:http://baike.baidu.com/view/128746.html
高脂血症和高脂蛋白血症
血脂升高和脂蛋白升高。
蛋白血症疾病病因
1、原發性高脂血症和高脂蛋白血症:罕見,屬遺傳性脂代謝紊亂疾病。
2、繼發性高脂血症和高脂蛋白血症:常見於控制不良糖尿病、飲酒、甲狀腺功能減退症、腎病綜合徵、腎透析、腎移植、膽道阻塞、口服避孕藥等。
疾病症狀
蛋白血症2、Ⅱ型高脂蛋白血症,本型多見於家族性高膽固醇血症,少數繼發於甲狀腺機能低下。
3、Ⅲ型高脂蛋白血症,本型常見於家族性或見於未控制的糖尿病,易並發冠心病。
4、Ⅳ型高脂蛋白血症,本症常肥胖,有糖尿病或高尿酸血症,但無黃瘤。
5、Ⅴ型高脂蛋白血症,本型多見於成人、肥胖、高尿酸血症及糖尿病患者,飲酒,服用外源性雌激素及腎功能不全可加重本病。
疾病檢查
1、血常規、尿常規、糞常規。
2、血脂檢查、代謝物檢測、肝功能檢查。
3、體液免疫檢測。
根據血脂蛋白電泳,血清外觀來進行判斷本病分型。
血清外觀:將血清放置於4℃冰櫃18-20小時後觀察其渾濁度。下層澄清者屬Ⅰ型;完全澄清者可能為正常血清或Ⅱ、Ⅳ型;均勻渾濁者見於Ⅳ、Ⅲ型;頂層“奶油層”,其下渾濁為Ⅴ型。
脂蛋白電泳:當β脂蛋白帶深染,膽固醇單獨升高,TG正常,屬Ⅱ型;膽固醇增高,TG150-400mg/dl為Ⅱb型;膽固醇正常,單純TG增高伴前β帶深染屬Ⅳ型,偶屬Ⅲ型;膽固醇升高,TG400-1000mg/dl,屬Ⅳ或Ⅴ型。
疾病治療
1、飲食治療,宜長期堅持。
蛋白血症2、藥物治療。
3、運動療法。
聲明:能為您提供健康服務,我們感到非常榮幸。但這些內容僅供參考,一切診斷與治療請遵從就診醫生的指導。

