疾病概述
冷球蛋白血症腎損害細胞像正常血清僅含微量的冷球蛋白,當其濃度超過100mg/L時,稱為冷球蛋白血症(cryoglobulinemia)。本病可分為原發性冷球蛋白血症(是指血中存在冷球蛋白,但無明顯的病因可尋)和繼發性冷球蛋白血症。血清冷球蛋白增高者常伴有腎小球病變,稱之為冷球蛋白血症腎損害。
症狀體徵
冷球蛋白血症腎損害顯微觀察(1)單克隆型冷球蛋白血症(Ⅰ型):免疫球蛋白中以IgM為最多見,依次為IgG、IgA及輕鏈蛋白。常見於多發性骨髓瘤及原發性巨球蛋白血症(占50%),其他淋巴細胞增生性疾病及少數自身免疫性疾病(占25%),原發性冷球蛋白血症約占25%。這型最常見於造血系統的惡性疾病。患者血中白細胞計數會錯誤的增加,這是因為大聚合物的形成。在37℃時紅細胞沉降率比在室溫下快。C4的濃度比C3明顯降低。
(2)單克隆-多克隆型冷球蛋白血症(Ⅱ型):血清中含有一種單克隆免疫球蛋白,具有抗多克隆免疫球蛋白的活性,此種單克隆免疫球蛋白多為IgM,其次為IgG及IgA,故構成IgM-IgG型、IgG-IgG及IgA-IgG型免疫複合物。多見於多發性骨髓瘤、原發性巨球蛋白血症及其他淋巴細胞增生性疾病(60%~70%),自身免疫性疾病(30%)及原發性冷球蛋白血症者占10%。這型常與腎小球疾病、感染性疾病(病毒或細菌,特別是C型肝炎病毒)有關,在伴有丙型肝炎病毒感染患者的冷球蛋白和腎沉澱物中發現抗C型肝炎病毒抗體、C型肝炎病毒核心抗原和C型肝炎病毒RNA。干擾素α的治療可暫時改善其臨床症狀。據估計,50%~75%的患者有潛在的C型肝炎病毒感染。
(3)多克隆型冷球蛋白血症(Ⅲ型):血清中含有兩種或以上的克隆Ig,構成IgM-IgG、IgM-IgG-IgA等複合物。多見於慢性感染(如HCV感染)及自身免疫性疾病(30%~50%),淋巴細胞增生性疾病(10%~15%),原發性冷球蛋白血症者占40%。Abrahamian等經病例對照分析發現,HCV陽性的肝移植者,20%合併有Ⅲ型冷球蛋白血症,臨床常見有紫癜和腎小球腎炎,病理為膜增生性腎小球腎炎。
2.冷球蛋白血症的臨床表現
(1)原發性冷球蛋白血症以青年人及中年人為多見,女性較男性略多。當患者遇寒冷體表溫度降低,肢端血管中的冷球蛋白發生沉澱或呈膠凍狀,堵塞了毛細血管,並使血管壁發生缺血性壞死及血管痙攣,皮膚出現紫癜及寒冷性蕁麻疹為最多見,部分病人可出現雷諾現象。病人可有關節痛、肝脾腫大、淋巴結腫大、周圍神經炎(如感覺異常及麻木)及血管炎綜合徵等。個別患者可有冷球蛋白血症性小腿潰瘍,主要是由於皮膚的血管炎所致。
(2)腎損害的臨床表現:急性腎損害多見於Ⅲ型冷球蛋白血症,症狀似急性腎小球腎炎,部分病人呈急性腎功能衰竭。慢性腎損害多見於Ⅱ型冷球蛋白血症,以持續性無症狀性蛋白尿和血尿及腎病綜合徵為主要表現。有不同程度的腎功能減退,後期發展至慢性尿毒症。
疾病病因
冷球蛋白病理生理
冷球蛋白血症腎損害檢測診斷檢查
冷球蛋白血症腎損害檢查實驗室檢查:
1.血清蛋白電泳γ球蛋白增高,免疫球蛋白(尤其是IgG、IgM)增高,類風濕因子陽性,C3降低及血沉增快。
2.冷球蛋白測定根據冷球蛋白在4℃沉澱,25~30℃聚合,37℃溶解的特性,以EDTA或草酸鈉抗凝,用37℃注射器取血,經離心沉澱後分離血漿,加少量疊氨鈉防腐,將血漿分裝入2支Wintrobe分血管中,測定管置4℃冰櫃中,對照管置37℃暖箱中,置72h,測定管出現沉澱而對照管無沉澱為陽性。再將冷沉澱物中的冷球蛋白作定量測定。
其他輔助檢查:
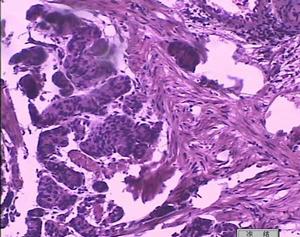
1.光學顯微鏡發生急性腎功能衰竭的本病患者,腎臟活檢光學顯微鏡下,通常發現一些腎小球內有廣泛的毛細血管增生或腎小球毛細血管損害伴新月體形成大量的內皮下沉積物以及大而圓的管腔內血栓。這些血栓為大的內皮下沉積物,或是冷球蛋白在管腔內的沉積,有時候在單核細胞內沉積。通過非特異性酯酶染色發現,這些損害在這些細胞內是很常見的。1/3的腎臟活檢標本可見明顯的血管炎。
2.免疫螢光顯微鏡可發現在毛細血管壁、腎小球膜的顆粒狀沉積物和管腔內的C3、IgG和。IgM團塊狀沉積物,這些沉積物在免疫學上與循環中的冷球蛋白相似。只有少量的C1q沉積,間質中可有IgM沉積。
3.電子顯微鏡可以發現在毛細血管壁的大塊沉積物和晶狀結構的電子密度沉積物。
鑑別診斷
冷球蛋白血症腎損害症狀2.原發性與繼發性冷球蛋白血症進行鑑別原發性冷球蛋白血症是指血中存在冷球蛋白,但無明顯的病因可尋,繼發性冷球蛋白血症患者具有明確的病因。除多發性骨髓瘤、原發性巨球蛋白血症及其他淋巴細胞增生性疾病之外,如過敏性紫癜、系統性紅斑狼瘡、舍格倫綜合徵、分流性腎炎、壞死性血管炎及類風濕性多關節炎等部分病人血清中也可存在冷球蛋白。這些疾病均可引起腎損害,且在病損處證實有冷球蛋白。
治療方案
冷球蛋白血症腎損害病變(1)基礎疾病的治療:如繼發於癌腫、淋巴瘤、多發性骨髓瘤、白血病、自身免疫性疾病或感染等,則給予相應的治療,以降低血漿球蛋白濃度,緩解臨床症狀,減輕腎臟損害和改善腎功能。
(2)避免加重腎損害的因素:在治療異常蛋白血症時,要防止脫水,保持充分的細胞外液;忌用X線造影劑、氨基糖苷類抗生素、非甾體類消炎藥。感染時選用無腎毒的抗生素。化療時細胞大量破壞,血尿酸增高會加劇腎損害,可用別嘌醇(Allopurinol)50mg/次,3次/d,以抑制黃嘌呤氧化酶,減少尿酸的生成;用時口服碳酸氫鈉1g/次,3次/d,鹼化尿液。
(3)高黏滯血症的治療:異常蛋白血症引起的高黏滯血症,血黏度2~4時多無症狀,5~8時常出現症狀,當血黏度8~10時幾乎都有症狀。應鼓勵病人多飲水,必要時給予靜脈補液,保持充分的細胞外液。低分子右鏇糖酐具有降低血黏度的作用,可單獨靜脈輸入以稀釋血漿蛋白濃度、減少血細胞和血小板聚集作用,使血黏度減低。也可在5%葡萄糖液或低分子右鏇糖酐中加入複方丹參注射液,以活血化瘀。血粘度過高時,應進行血漿置換(Plasmaphersis)或血漿去除術,此療法可迅速清除血中過多的球蛋白,降低血液黏度,尤其適用於巨球蛋白血症出現神經系統功能障礙和視力障礙時。血黏度與球蛋白濃度相平行,若血清球蛋白濃度下降15%~20%,血黏度可降低50%以上。正常人血漿容量3L,置換2L血漿,血管內異常物質約減少50%。血漿置換首次撤換全身血漿容量半數以上才可獲得明顯療效,但療效不持久,每月1~2次重複置換,每次撤換400~800ml血漿。因需設備複雜,且費用昂貴,故只作為應急治療措施。如無條件可使用血漿去除術,即自患者靜脈放血棄去血漿,將血細胞洗滌後再輸入體內,籍以減少血漿和血漿蛋白量,達到減低血漿黏滯性和球蛋白濃度。也可在放血的同時補充等量正常血漿。通常每次放血300~500ml,放血次數視病情而定,讓血漿黏度降至“症狀閾”之下為度,有作者報導效果較好。值得注意的是置換血漿內含有抗凝劑會引起低鈣血症,必要時適當補鈣。
(4)化療:
①烷化劑:A.苯丁酸氮芥(瘤可寧,CB1348)是治療巨球蛋白血症的首選藥物,可阻抑巨球蛋白合成,有效率達40%~60%。6~12mg/d,持續2~4周,嗣後改為維持量2~6mg/d,維持用藥時間需根據病情,一般數年,至少3個月,劑量切忌過大,以避免導致骨髓抑制。B.環磷醯胺(CTX)150~200mg/d,分3次口服。C.美法侖(苯丙氨酸氮芥)(Melphalan)8~12mg/d分次口服,1周后改2mg/d維持,以白細胞不低於3×109/L為宜。
國外採用M2方案治療巨球蛋白血症取得滿意效果,療效達100%,優於苯丁酸氮芥(瘤可寧),對高黏血症尤其適用。用此方案後不需做血漿去除術。M2方案是第1天靜脈給卡莫司汀(卡氮芥)1mg/kg、環磷醯胺(CTX)10mg/kg及VCR0.03mg/kg;第1~4天口服苯丙氨酸氮芥0.25mg/(kg?d);第1~7天口服潑尼松(強的松)1mg/(kg/d);第8~14天改為0.5mg/(kg?d),每35天重複一療程,若完全緩解,改70天一療程,1年後停藥。陳楠、董德長報導首例巨球蛋白血症用潑尼松(強的松)40mg/d,分4次口服,加CB12486mg/d口服,取得很好療效。皮質激素加烷化劑對冷球蛋白血症可能有較好效果,苯丁酸氮芥可抑制冷球蛋白的合成,減低冷球蛋白濃度。皮質激素、環磷醯胺(CTX)、美法侖(苯丙氨酸氮芥)、硫唑嘌呤等對良性單克隆球蛋白病療效多半不明顯,有時近期效果較好,症狀可獲緩解,但腎臟病變並無好轉,仍會發展為腎衰竭,可能與轉化為骨髓瘤或巨球蛋白血症有關。部分微小病變型腎病,皮質激素和環磷醯胺(CTX)合用,療效良好,血清及尿中單克隆球蛋白可消失,尿蛋白恢復正常,預後良好。
②青黴胺(D-Penicillamine):本品為青黴素的代謝產物,含有巰基的胺基酸與球蛋白螯合成SH-SS,使巨球蛋白二硫鏈斷裂,破壞IgG和IgM,從而抑制巨球蛋白的生成,同時減少因紅細胞膜上圍繞多量蛋白質形成緡錢狀的聚集,促使血漿黏稠度降低。用法:200~400mg/d,分次空腹口服,可漸增至1g/d,症狀緩解後減至維持量0.125~0.25g/d,用前做青黴素皮試。本品能與體內必需微量元素銅絡合,使尿銅排出增加,長期服用會發生低銅血症;此外有腎毒性,可引起蛋白尿,應注意。
3.伴有C型肝炎病毒感染的病例予大劑量的干擾素α治療是有效的,200萬U~1000萬U,每周3次,連用2~12個月,但常有復發,只有60%~80%患者有反應。報導套用干擾素結合血漿冷濾過方法來處理HCV相關性的冷球蛋白血症所致的系膜增生性腎小球腎炎。
4.Zaia等套用rituximab(抗CD20單克隆抗體)治療Ⅱ型冷球蛋白血症,有很好的療效。
5.對症治療貧血時可輸注洗滌紅細胞或濃縮紅細胞懸液。冷球蛋白血症要避免寒冷,注意保暖,忌冷水浴,以防止冷球蛋白的沉澱。腎衰竭時可透析治療。
併發症:常並發全身皮膚的血管炎綜合徵及腎臟慢性尿毒症,重者可並發急性腎功能衰竭。
預後預防
冷球蛋白血症腎損害治療藥物預防:冷球蛋白血症要避免寒冷,注意保暖,忌冷水浴,防止冷球蛋白的沉澱引起冷球蛋白血綜合徵,腎臟衰竭時應積極對症治療,必要時可透析治療以緩解病情。
