概述
分流性腎炎發病機制
發病機制曾有栓塞、微血管病等學說,但目前認為是免疫複合物介導的腎小球腎炎。
病理
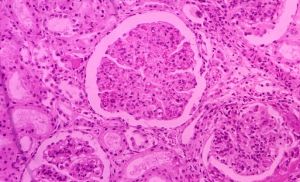
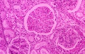
1.光鏡 多數為系膜增生性或I型系膜毛細血管性腎小球腎炎,部分為毛細血管內增生或局灶增生性賢淑小球腎炎,偶見新月體性腎小球腎炎。
2.電鏡可見毛細血管內皮下有電子緻密物沉積,在腎小球沉積物中可找到感染菌的抗原。
3.免疫螢光顯示IgG、IgM及C3呈顆粒狀或團塊狀沉積於毛細血管壁和系膜區。
診斷
(一)臨床表現
1.原發病有腦室分流手術史。
2.亞急性感染症狀發熱、貧血、肝脾腫大等。
3.腎臟病表現鏡下血尿最為常見,中等量蛋白尿,腎病綜合徵發病率約占30%,高血壓不多見,可發生氮質血症。
4.其他偶伴蕁麻疹、血管炎。
(二)實驗室檢查
1.尿常規鏡下血尿最常見,可有中等量蛋白尿。
2.血清學檢查
(1)血清補體C3下降。
(2)CIC上升。
(3)CRP上升。
(4)RF(+)。
(5)冷球蛋白(十)。
(三)診斷要點
根據原發病和分流術病史,結合患者的臨床表現,如發熱、貧血、肝脾腫大、血尿、蛋白尿等改變,一般不難診斷。
治療
早期及時給予有效抗菌藥物治療並去除分流裝置,可使臨床症狀消除,血清學檢查恢復正常,腎活檢顯示病理損害好轉。
預後
分流性腎炎經積極治療預後尚可,少數患者可發展成尿毒症。

