血吸蟲性肝病發病機制
血吸蟲性肝病 發病機制2、細胞免疫淋巴細胞轉化試驗和花環形成率在晚期血吸蟲病均降低,皮膚超敏試驗亦有2/3陰性,細胞免疫功能水平與病情平行。更有採用3H-胸腺嘧啶核苷(3H-TdR)和14C尿嘧啶核苷摻入試驗,發現晚期血吸蟲病患者DNA及RNA合成能力減退。我們還見嚴重血吸蟲感染可以發生與慢性肉芽腫免疫缺陷綜合徵相似之細胞免疫及粒細胞吞噬功能低下,輕微感染即引起持續高熱(39℃--40℃),常因感染死亡。
以上免疫功能改變顯然是免疫調節紊亂所致,抑制性了細胞功能低下,B細胞機能活躍,免疫球蛋白增高,免疫複合物及自身免疫現象出現,補體減低,隨疾病進入慢性期及晚期,細胞免疫功能更趨低下。
流行病學
(一)地理分布與流行概況
血吸蟲性肝病 地理分布(二)流行因素
日本血吸蟲病的流行因素包括自然因素和社會因素。自然因素主要是影響血吸蟲生活史和釘螺的自然條件,如地理氣候、氣溫、雨量、水質、土壤等。社會因素是指影響血吸蟲病流行的政治、經濟、文化、生產活動、生活習慣等。例如環境衛生、人群的文化素質、經濟水平、生活方式和行為等都直接影響到血吸蟲病的流行,特別是社會制度、衛生狀況和全民衛生保健制度等對防治血吸蟲病都是十分重要的。
(三)流行區類型
中國血吸蟲病流行區,按地理、釘螺分布以及流行病學特點可分為三種類型,即平原水網型、山區丘陵型和湖沼型。
1、平原水網型。主要分布於長江三角洲,如上海、江蘇、浙江等處,人們因生產、生活接觸疫水而感染。
2、山區丘陵型。主要在我國南部四川、雲南等地。華東的江蘇、安徽、福建、浙江,華南的廣西、廣東都有此型。釘螺分單元性很強,嚴格按水系分布,面積雖不很大,但分布範圍廣,環境極複雜。
血吸蟲生活史(四)流行環節。
1、傳染源。日本血吸蟲是人、畜共患寄生蟲病,其終宿主除人以外,還有多種家畜和野生動物。在流行病學上病人和病牛是主要的傳染源。
2、傳播途徑。在傳播途徑的各個環節中,含有血吸蟲蟲卵的糞便污染水源,釘螺的存在以及人群接觸疫水是三個重要的環節。
3、易感人群。不論何種性別、年齡和種族,人類對血吸蟲皆有易感性。
病理
血吸蟲性肝病 病理鑒於上述病理表現,有匯管區纖維增生及門脈系乾支型改變,晚期血吸蟲病多有門脈高壓,可發生食管、胃底曲張靜脈出血,其脾腫大程度較肝炎肝硬化為重。以往認為血吸蟲性肝硬化在病理髮生上屬竇前性阻塞,但部分患者有結節增生,根據江紹基的資料,肝靜脈後嵌入壓也有增高,因此也有竇後阻塞的成分。血吸蟲性肝硬化與肝炎肝硬化不同之處在於,大部分為小結節性肝硬化,少數為混合性肝硬化,晚期營養不良可加重肝細胞的損害,出現腹水等肝細胞功能衰竭的表現,此外尚可有脾功亢進,此與門脈高壓、脾淤血、血流減慢、單核,巨嗜細胞系統吞噬三系血細胞使之減低有關。脾切除或脾腎靜脈分流術後,增加營養,全身情況可見改善,並恢復勞動力。晚期血吸蟲病還有結腸癌變及垂體侏懦症。童年時反覆感染、營養不良及肝臟代謝紊亂導致垂體、腎上腺、性腺、甲狀腺等萎縮、變性、功能減低,影響骨骼及性器官發育,治療後部分患兒會正常發育成長。
血吸蟲病是由血吸蟲的成蟲寄生於人體所引起的地方性疾病,主要流行於亞、非、拉美的73個國家,患病人數約2億左右。
臨床表現
得了血吸蟲病,根據尾蚴侵入數量,機體免疫程度的差異,可有不同表現:
尾蚴性皮炎2、急性期 如一次有大量血吸蟲尾蚴侵入人體,經過20-60天的潛伏期後,可引起急性血吸蟲病。急性期的表現是畏寒、發熱(早晨輕、下午重,夜間更重)、出汗、頭痛等症狀。高熱病人有乏力、煩燥、頭昏等不適,有腹痛、腹脹、腹瀉、食慾減退,噁心嘔吐,大便帶血等消化道症狀,多數病人肝脾腫大,嚴重的病人全身出現黃疸,意識遲鈍,聽力減退等神經系統症狀。急性血吸蟲病因為發病快,變化多,危險大,如搶救不及時易發生死亡。
3、慢性期 少量多次感染尾蚴,不引起機體明顯病變或急性期自然退熱,急性期治療不徹底,都可轉為慢性血吸蟲病。慢性期症狀表現不一,常見症狀可出現腹痛、腹瀉、貧血,乏力、消瘦嚴重,出現糞便中帶紅白凍子,肝脾腫大等。
血吸蟲性肝病 黃疸血吸蟲病嚴重危害人民身體、身心健康,影響社會經濟發展,加重人民民眾的經濟負擔,兒童患病後未及時查治,可妨礙生長發育,個子矮小,成為侏儒。青年可影響生育。總之,血吸蟲病的危害概括起來就是影響生產、生活、生命、生育、生趣。
併發症
血吸蟲性肝病2、B型肝炎病毒感染近年來發現血吸蟲病肝硬化HBsAg陽性增多,肝病的發展速度比任一疾病單獨出現的發展為快。血吸蟲病肝硬化並原發性肝癌者自1965年起也有報導,有學者認為HBsAg陽性是主要的致癌因素。
3、門靜脈血栓形成在以往嚴重流行區不少見,可能是其小支內膜炎所致。
診斷
1、病史有流行區及疫水接觸史。
2、病原學診斷採取糞便沉澱孵化法,血清環卵沉澱試驗,免疫酶標發測特異性IgM、IgG、IgE。過去普查採用皮內試驗篩選。
3、免疫學檢查用以評估患者的體液與細胞免疫功能。
4、超聲慢性血吸蟲病有其特徵性超聲表現,可見纖維網狀圖像,有長方形線形纖維結構,其他肝病少有這種現象。
5、乙狀結腸鏡檢和直腸活檢可見黃色小結這一特徵性改變,急性期陽性率50%--75%,此外尚有不同程度的黏膜水腫充血。慢性期有斑狀充血與蒼白、淺潰瘍,有時還見天花樣凹陷多發性息肉及葡萄狀肉芽腫。
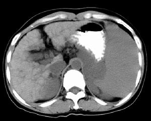
血吸蟲性肝病 CT表現7、肝血流圖反映門脈高壓,它和肝炎肝硬化不同點是高:張波比例較高。主要波形為低平波,分別占55%與45%,後者能是肝內門靜脈分支閉塞、動靜脈短路,肝供血減少表現為低波,手術後低平波轉變為高舒張波及正常波、高舒張波也轉變為常波。肝血流圖的各項指標,除舒張波波幅外,亦有明顯改變,要是平均波幅增高,舒張指數降低,表明脾切除後肝血液循環改善。
8、CT慢性和晚期血吸蟲病可有肝內鈣化,特別多見於肝右;葉,有地圖樣或線條狀改變。晚期更有肝萎縮,肝裂增寬,肝緣不光整、凹凸不平及結節狀突起,左右肝葉比例失調,肝脾密度的改變,亦可視脾腫大及腹水,但最具特徵性的是存線上條高密度影肝實質內有數量不等的線條狀高密度影,有呈弧線狀,有呈密集連線成格線狀或環狀,這與其病理特點幹線型肝硬化,沿門脈分支增生的纖維呈樹枝形分布有關。
治療
治療 吡喹酮近年來蒿甲醚預防血吸蟲感染曾有報導,系因青蒿素及其衍生物有抗日本血吸蟲童蟲的作用,動物實驗及疫區實驗皆證實對童蟲有良好的殺滅作用。一般劑量為每次6mg/kg體重,每半個月服1次,共服3~4次,預防效果較好。
急性血吸蟲病高熱患者加用短程、中程皮質激素。
晚期血吸蟲病的治療包括抗纖維化的治療,有報導用桃仁提取物效果較好,也有用蟲草菌絲者如心肝寶。秋水仙鹼用法為1mg/d,每周5次,持續1—2年。有腹水者可以中西醫結合治療,西藥用雙氫克尿噻、安體舒通、氮苯碟啶利尿,中藥健脾補腎。利尿效果不理想可用多巴胺加速尿腹腔內注射。頑固性腹水可行濃縮回輸術。巨脾症採用脾切術有良好療效,少數採用脾腎靜脈分流術以降低門脈高壓。
防治措施
消滅血吸蟲病要全面落實“預防為主、標本兼治、綜合治理、群防群控、聯防聯控”的血防工作方針,其綜合防治措施主要包括:個體防護、查螺滅螺、查病治病,管理糞便、管理水源五大措施。
血吸蟲性肝病 防治世界衛生組織(WHO)建議將健康教育放在血防工作的重點位置。通過開展健康教育使人們了解有關預防血吸蟲病方面的知識,以增強自我防護意識,減少和避免接觸疫水,提高防護技能及主動接受血吸蟲病的檢查治療。對於中國小生要教育其不到有螺洲灘打湖草、捕魚蝦、放牧;不到有螺的江、河、溝、塘水中游泳、戲水,必須接觸疫水時要要帶防護手套,穿長統膠鞋或塗擦血防專用防護藥膏並做好家長、鄰居的宣傳教育和監督工作。形成學生帶動家長,家長帶動社區,社區帶動社會的血防健康教育良好氛圍。
2、查螺滅螺
釘螺是血吸蟲的中間宿主,沒有釘螺血吸蟲無法生存繁殖和傳播。因此,查螺滅螺是消滅血吸蟲的一項重要措施。查螺先要查清釘螺分布情況,那些有釘螺孳生,又是人、畜常到的地方,通常叫易感地帶。滅螺首先要滅易感地帶釘螺。滅螺方法多種多樣,可因地制宜綜合利用,如有結合生產翻耕墾植、平整土地、開新溝、填舊溝、藥物噴灑等。化學藥物滅螺,世界衛生組織推廣套用氧硝柳胺。
3、管理糞便
管理好糞便不僅可以改善農村衛生環境,而且可以殺死血吸蟲蟲卵,阻斷血吸蟲病傳播途徑。管理糞便可以兩方面入手,一是防止糞便污染水源。二是殺滅糞便中的血吸蟲蟲卵。
4、管理水源
主要辦法是打井水、修水池,在流行區生活或接觸疫區,一定要飲用安全水是避免血吸蟲感染的重要措施。飲用井水、自來水、乾淨的池塘水。教育學生不喝生水,把水燒開後飲用,因攝氏60度的水1分鐘即可殺死尾蚴或用漂
血吸蟲性肝病5、查病治病
在血吸蟲病流行區域經常開展血吸蟲普查普治工作,以便及時發現和治療血吸蟲病患者。有疫水接觸史或有血吸蟲病症狀表現的人,要主動到當地疾控中心或衛生院檢查治療,同時疫區的耕牛也要及時進行查治。把傳染源和危害降到最低程度,才能達到控制和切斷血吸蟲傳播的目的。
疫區中國小生血防健康教育要納入教育計畫,常規開設血防知識課程,並定期進行考核。在疫區中國小中堅持開展學生血防“四個一”活動教育:上一堂血防知識課,看一次血防錄像,查一次釘螺或觀看釘螺樣本,寫一篇血防作文。使學生提高自我防護技能,並做好家長的血防知識宣傳工作,加強學生校內教育。根據江蘇省政府預防控制血吸蟲病中長期規劃中對疫區中國小生開展血防知識宣傳教育的要求,到2007年底,疫區中國小生血防基本知識知曉率和正確行為形成率分別達到95%以上,到2010年底,要求分別達到98%以上。
易感人群
凡是生活在血吸蟲病流行區或到過疫區的人,如果接觸過疫水,都有感染血吸蟲的可能。而且接觸疫水的次數越多、感染血吸蟲的可能性也越大。血吸蟲常寄生在一種叫做釘螺的水陸兩棲動物體內,隨著釘螺的擴散而擴散到遠處。釘螺可隨水漂流,也可附著在雜草或其他漂浮物上而擴散,人們穿的草鞋、牛蹄間隙、打水草或移種水生植物(如蘆葦、茭白等)、運送魚苗等也能使釘螺擴散。
容易感染血吸蟲的人主要有兒童、防疫站人員、接觸疫水多的人,以及老年人。這部分人群都是容易患血吸蟲性肝硬化的人群,要多多做好預防和定期檢查。[
