結構情況
食管哺乳動物的食管結構上由內向外分四層
1、黏膜層,包括上皮、固有層和黏膜肌層。上皮為較厚的未角化的復層扁平上皮,耐摩擦,有保護作用。在食管與胃賁門交界處,復層扁平上皮突然變成單層柱狀上皮;固有層為緻密結締組織,內有食管腺導管;黏膜肌層由縱行肌組成。
2、黏膜下層,為厚的疏鬆結締組織構成,內含食管腺,可分泌粘液經導管排入食管腔。黏膜和黏膜下層形成7~10條縱行皺襞,橫切面呈星形。食物通過食管時,皺襞消失。
3、肌層,上1/3段為骨骼肌,下1/3為平滑肌,中段為骨骼肌和平滑肌混合組成。其肌纖維的排列為內環形和外縱形兩層。食管還有括約肌,位於人環狀軟骨水平的,稱為食管上括約肌;位於食管下端,一部分在膈上,穿過膈孔,另一部分在膈下的高壓帶,稱為食管下括約肌。這兩處括約肌在非進食情況下是關閉的,可阻止胃內容物返流入食管。
4、外膜,由疏鬆的纖維組織構成,含有較大的血管、淋巴管和神經,它與食管周圍的器官相連。
運動情況
食管食管上括約肌是食團進入食管的第一個關口,它有兩個功能:①防止吸氣時空氣進入食管,並使呼吸的無效腔(即死腔)減至最小程度;②防止食物返流入咽腔,以免誤入氣管。食管下括約肌處的內壓較胃內壓高,可防止胃內容物返流入食管。吞咽時,食團尚未到達食管下括約肌之前,此括約肌鬆弛,內壓下降,並可持續10~12秒鐘,直到食丸通過為止。如果反覆吞咽,食管下括約肌將持續鬆弛;如果提高腹內壓,食管下括約肌的內壓也隨之提高,且提高的程度為胃內壓的2~4倍,故胃內容物不能返流入口腔;如果胃擴張。食管下括約肌肉壓下降,其屏障功能減弱,胃內氣體可返流入食管,產生噯氣。食物成分也影響食管下括約肌的緊張性,如蛋白質食物和鹼化胃內容物可提高下括約肌的緊張性,這是由於胃泌素釋放增多所致;而酸化胃內容物則降低食管下括約肌的緊張性,這是由於胃泌素釋放減少所致。
食管運動的控制
食管上部的橫紋肌受舌咽神經和迷走神經的支配,這些運動神經元末梢以運動終板形式進入骨骼肌,注射箭毒可阻斷這部分食管的蠕動。迷走神經尚支配食管其餘部分的平滑肌,其節前纖維末梢與食管壁內神經叢的節細胞發生突觸聯繫,再發出節後纖維支配平滑肌細胞。節前和節後纖維都是興奮性的膽鹼能纖維。在吞咽時,吞咽中樞興奮通過上述運動神經元和迷走神經傳出纖維,引起食管各段的肌肉發生蠕動。食管壁內神經叢可以不依賴外來神經來控制食管蠕動。
支配食管下括約肌的交感神經中也含有興奮性纖維。靜息時此括約肌收縮,是由於去甲腎上腺素對括約肌細胞上α-受體發揮作用而引起的。交感神經衝動可促使食管下括約肌收縮,這是通過刺激食管壁內肌間神經叢所致。
吞咽介紹
食管根據食團所經過的部位,可將吞咽分為三期:
1、由口腔到咽,這是在大腦皮質衝動影響下的隨意動作。開始時舌尖緊貼上頜及硬齶前部,再由舌肌及舌骨上肌群的活動,使舌體上舉,緊貼硬齶及上頜各牙,迫使舌背上的食團後移至咽部。由於提頜肌群、舌肌、唇肌及頰肌的共同活動,使上、下唇緊閉。當食物接觸咽壁後,隨意性吞咽動作即結束。
1、由咽到食管上端,這是通過一系列快速反射動作實現的。由於食團刺激了軟齶的感受器,引起一系列肌肉(如齶帆提肌、齶帆張肌、咽齶肌和懸雍垂肌等)的收縮,使軟齶上升。咽後壁向前突出,封閉鼻咽通路;由於聲帶內收,喉頭升高並向前緊貼會厭,封閉咽與氣管通路,同時呼吸暫停;又由於舌骨及甲狀軟骨向前上移動,使咽腔縱徑加大,食管上口張開,舌骨舌肌牽引舌體向後下壓迫,同時咽上、中、下縮肌收縮,食管上括約肌鬆弛,食團則由咽腔進入食管。
3、沿食管下行至胃,這是由食管肌肉的蠕動實現的。蠕動系由食團刺激了軟齶、咽部和食管等處的感受器,傳入衝動通過延髓中樞,再向食管發出傳出衝動所引起。
吞咽動作的三個時期是按順序連續發生的,前一期的活動可引起後一期的活動,吞咽反射的傳入神經包括來自軟齶(第5、9腦神經)、咽後壁(第9腦神經)、會厭(第10腦神經)等處的腦神經的傳入纖維。吞咽的基本中樞位於延髓內,支配舌、喉、咽部肌肉動作的傳出纖維在第5、9、12腦神經中;支配食管的傳出神經是迷走神經。
食管的全長有三個生理性狹窄。第一個狹窄位於食管的起始處,距離中切牙約15cm;第二個狹窄位於左主支氣管後方與之交叉處,距離中切牙約25cm;第三個狹窄在穿膈的食管裂孔處,距離中切牙約40cm。食管的三個狹窄是異物易滯留之處和腫瘤的好發部位。臨床上進行管內插管操作時,要注意其狹窄,防止損傷食管壁。
解剖結構
(一)食管的形態和位置食管為一肌性管道,上端在第6頸椎下緣平面起於咽,向下沿脊柱的前面下降,經胸廓上口入胸腔,穿膈的食管裂孔,進入腹腔,達第11、12胸椎體的左側,連線胃的賁門。食管長約25cm,以胸骨頸靜脈切跡平面和膈的食管裂孔為發為頸、胸、腹三部。
頸部:長約5cm,其前壁借疏鬆的結締組織與氣管貼近,後方與脊柱相鄰,兩側有頸部的大血管。
胸部:長18~20cm,前方自上而下依次有氣管、左主支氣管和心包,並隔心包與左心房相鄰。該部上段的左前側有主動脈弓,主動脈胸部最初在食管的左側下降,以後,逐漸轉到食管的右後方。
腹部:最短,長1~2cm,與賁門相續。
人體食管的狹窄(二)食管的狹窄和壓跡食管全長有三處狹窄和三個壓跡。第一處狹窄位於食管的起始處,距切牙約15cm,第二處在食管與左主支氣管的交叉處,距切牙約25cm,第三處在食管穿膈處,距切牙約40cm。上述三個狹窄常是食管損傷、炎症和腫瘤的好發部位,異物也易在此滯留。
食管全長還有三處壓跡:(1)主動脈弓壓跡,為主動脈弓自食管的左前方擠壓而成,壓跡的大小,隨年齡而增加。(2)左主支氣管壓跡,緊靠主動脈弓壓跡的下方,與食管第二處狹窄的位置一致,是左主支氣管壓迫食管的左前壁所致。(3)左心房壓跡,長而淺,為左心房向後擠壓食管所致,壓跡可隨體位和心的舒縮而變化。
(三)食管壁的微細結構特點食管壁的內表面有7~10條縱行皺襞,當食團通過時,皺襞即消失。
食管的上皮為復層扁平上皮,具有保護作用。在食管與胃交界處,復層扁平上皮立即變為單層柱狀上皮。黏膜下層含有血管及食管腺。食管腺為粘液腺,腺的導管開口於黏膜表面。食管的肌層上段為骨骼構成,中段由骨骼肌和平滑肌混合構成,下段為平滑肌。因而食團下咽時,在上段下行較快,而中段,物別是下段,食團下行較緩慢,易發生滯留。外膜為一層薄的纖維膜,因此,食管的病變易侵犯周圍的結構。
食管癌變
食管癌發生於世界各國,其高發區有顯著的地理性差異。2000多年以前中國豫西一帶已有“噎膈”的記載。多數學者認為食管癌是由環境中的致癌因素引起。已提出的致癌因素包括亞硝胺類化合物和黴菌毒素。食物中缺乏某些微量元素如鉬、鐵、鋅、氟可能起間接促癌作用。吸菸、飲酒在某些國家可能為主要病因,在中國不占重要地位。某些食品(如酸菜含有黴菌)和飲食習慣(如喜過熱食物等)可能與發病有關。營養不良、攝入蛋白質不足、維生素A、B、C缺乏可能是發病的一種條件,總之食管癌可能是多種原因共同作用的結果,而以致癌物為主要因素。已知的致癌物雖能誘發動物食管癌,但沒有一種為大家所公認。
食管癌食管癌的確切病因不明。顯然,環境和某些致癌物質是重要的致病因素。
(一)亞硝胺類化合物和真菌毒素現已知有近30種亞硝胺能誘發動物腫瘤。國內也已成功地套用甲苄亞硝胺、肌胺酸乙酯亞硝胺、甲戊、亞硝胺和二乙基亞硝胺等誘發大鼠的食管癌。我國調查發現,在高發區的糧食和飲水中,硝酸鹽、亞硝酸鹽和二級胺含量顯著增高,且和當地食管癌和食管上皮重度增生的患病率呈正相關。這些物質在胃內易合成致癌物質亞硝胺。
真菌毒素的致癌作用早為人們所注意。我國林縣食管癌的研究結果證明,各種霉變食物能產生化學致癌物質,鐮刀菌、白地黴菌、黃麴黴菌和黑麴黴菌等真菌不但能還原硝酸鹽為亞硝酸鹽,並能增加二級胺的含量,促進亞硝胺的合成。玉米面經接種並培養鐮刀菌或黃麴黴菌後,二級胺的含量可增加數倍,其中甲基苄基亞硝胺為誘發大白鼠食管癌的特異致癌物。國內學者還發現,在鄰近真菌侵犯部位的食管上皮細胞,可呈現單純性增生、輕度至重度的不典型增生,甚至明顯的癌變。提示真菌感染與食管上皮細胞分化、分裂異常不同階段有密切聯繫。同時還發現,在食管原位癌旁增生上皮內可分離出白念珠菌的純株。因此有人認為,具有致癌潛力的真菌長期持續侵犯食管上皮,可能引起或可能協同其他致癌因素而促進癌變,故食管真菌病可能是食管癌的癌前病變之一。酸菜是林縣居民的一種主要副食品,常被白地黴菌嚴重污染而含有高濃度的硝酸鹽、亞硝酸鹽和二級胺,薄層色譜分析可發現含有亞硝胺。資料還證明,食用的酸菜量與食管癌的發病率成正相關。長期用酸菜提取液和濃縮液餵大白鼠,也證實具有致食管癌作用。
(二)食管損傷、食管疾病以及食物的刺激作用食管損傷及某些食管疾病可以促發食管癌。在腐蝕性食管灼傷和狹窄、食管賁門失弛緩症、食管憩室或反流性食管炎患者中,食管癌的發病率較一般人群為高。據推測乃是由於食管內滯留而致長期的慢性炎症、潰瘍,或慢性刺激,進而食管上皮增生,最後導致癌變。流行病學調查發現,食管癌高發地區的居民有進食很燙的飲食、飲烈酒、吃大量胡椒、咀嚼檳榔或菸絲的習慣,這些對食管黏膜的慢性理化刺激,均可引起局部上皮細胞增生。動物實驗證明,瀰漫性或局灶性上皮增生可能是食管癌的癌前期病變。
(三)營養不良和微量元素缺乏攝入動物蛋白不足和維生素A、B2、C缺乏,是食管癌高發區居民飲食的共同特點。但大多營養不良的高發地區,食管癌並不高發,故這不可能是一個主導因素。我國流行病學調查表明,缺鐵性貧血、蛋白缺乏症或土壤內缺乏某些元素,如鉬、銅、硼、鋅、鎂和鐵等,都可能與食管癌間接有關。鉬是植物硝酸鹽還原酶的重要成分,缺鉬可使植物體內的硝酸鹽積聚。套用光譜分析河南省7個縣的糧食樣品,發現食管癌高發地區林縣的糧食中,鉬的含量低於其他縣。套用催化極譜法分析林縣人的頭髮、血清及尿液的鉬含量皆顯著低於食管癌低發區的其他縣。
遺傳因素食管癌的發病常表現家族性聚集現象。在我國山西、山東、河南等省的調查發現,有陽性家族史者約占1/4—1/2。在高發區內有陽性家族史的比例高,其中父系最高,母系次之,旁系最低。與家族共同生活時間在20年以上者占1/2,而不在一起生活者則少。這可能與共同生活的條件有關,但也不能排除遺傳因素。在英國曾發現兩個有顯性遺傳的掌跖角化症(keratosispalmarisetplantaris)家族,在48個有這種症狀的成員中,18人患了食管癌。在伊朗的一個村發現14個食管癌患者,其家譜分析中發現,其中13個患者是同一對夫婦的後裔。這一家族的第四、五代成員全部患食管癌,且發病年齡顯著提前。食管癌高發家族的染色體畸變率比低發家族的高。這些現象說明遺傳與食管癌有一定的關係。
觀察標本
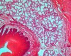
食管(esophagus)橫切片(H.E染色)觀察標本
食管低倍和高倍觀察
(1)黏膜:由內向外分為三層
1、上皮:為未角化的復層扁平上皮.
2、固有層:為結締組織,含有血管,淋巴管和食管腺的導管.在食管下段近賁門處有粘液性的食管賁門腺。
3、黏膜肌層:為薄層縱行平滑肌.
(2):黏膜下層:系疏鬆結締組織,含血管,淋巴管,神經和食管腺.食管腺是粘液性腺,導管穿過黏膜肌層開口於管腔面。
(3)肌層:為內環行,外縱行兩層肌組成.兩層肌之間可見肌間神經叢,由數個神經細胞和無髓神經纖維組成.如何判斷食管的上中下段。
(4)外膜:為薄層疏鬆結締組織構成的纖維膜。

