簡介
食管炎食道炎其症狀主要是以吞咽疼痛、困難、心口灼熱及胸骨後疼痛居多,當食道炎嚴重時可引起食道痙攣及食道狹窄。當食道下端因發炎導致黏膜變性繼而長出胃的柱狀上皮細胞時叫做巴洛氏食道,此為食道癌之前身,一定要長期追蹤其變化。一般食道炎之出血較輕微,但也可能引起吐血或解瀝青便。
食管炎在正常情況下,胃酸是不會反流到食道的,食道下半段有一處高壓區,阻擋胃酸向食道反流,如果賁門因故變松,高壓區的壓力會下降甚至消失,胃酸、膽汁就會反流到食道,對食道黏膜刺激強烈,引發食道炎。餐後平躺,進食過量,甜食或油膩食物吃得太多都會引起胃裡的東西向食道反流。
當感到“燒心“,或“心口疼“,喝熱水或吃刺激性食物時胸骨後痛感明顯,都是食道炎的症狀。還有吞咽食物感到發噎,是由於食道水腫,食道內變窄或食道壁因炎症刺激而發生痙攣性收縮所致。食道炎應及時診治,不然會惡化以至於發生食道黏膜潰瘍,還會嘔血或便血。
常發生在抵抗力低下的病人,如淋巴瘤、白血病、其他惡性腫瘤病人,及使用大量抗生素或激素治療的病人。糖尿病及再生障礙性貧血病人也易發生。健康人發病少見。臨床表現與其他食管炎相似。口腔可見鵝口瘡樣乳白色斑,食管壁上有乳白色滲出物及糜爛或潰瘍,伴有明顯的炎症表現。活檢病理可見黏膜細胞被菌絲侵犯。真菌培養有念珠菌生長。抗真菌藥物治療多在1~2日內使症狀消除。不留後遺症。
分類
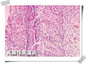
3.返流性食管炎(refluxesophagitis)屬慢性食管炎,較多見,多伴慢性胃炎。多由於胃和/或十二指腸內容物返流入食管,引起食管黏膜充血、水腫、糜爛、潰瘍、化生和纖維化等病變。食管下段括約肌功能障礙、食管裂孔疝、腹內壓增加、殘胃、幽門梗阻等均可導致胃液返流。正常人也可有胃食管返流,但非持續性,常見於白天,進餐或餐後,每天少於1小時。胃液中的胃酸和胃蛋白酶長期持續作用於食管鱗狀上皮可引起各種病變。
肉眼觀,食管下段黏膜出現長短不等、條狀發紅的糜爛面。鏡下見黏膜充血、水腫和嗜中性粒細胞和嗜酸性粒細胞浸潤,繼而黏膜糜爛、脫落,累及黏膜下層常出現潰瘍。相鄰鱗狀上皮的基底細胞增生,上皮腳下延和固有膜乳頭上伸。長期胃液返流刺激,病變經久不愈,由於肉芽組織增生,纖維化及至瘢痕形成,可導致食管縮短、變形和狹窄。
病理原因
食管炎物理或化學性食管炎 放射線照射引起的食管炎反應稱放射性食管炎。藥物如奎尼丁、四環素、氯化鉀、鐵劑等刺激食管黏膜,尤其是片劑停滯於食管,也可引起食管炎。過熱的食物引起的食管炎可很快自愈。經常使用胃管,刺激食管,也能引起食管炎。
抗生素使用時間過長,導致食道黏膜真菌增殖引起感染。
食管下段括約肌功能減低:
正常人食道下段托約肌有一個高壓區,防止胃內容物反流至食道。許多原因可使食管下段括約肌功能減弱,包括食管裂孔疝,容易引起胃及腸內容物反流入食管,是造成食道黏膜炎性病變的主要原因。
腹腔壓力增高:
如大量腹水、妊娠,造成腹壓升高,易形成反流。
食管蠕動障礙:
通常情況下,胃內容物反流入食管時,由於張力的作用引起食管繼發性蠕動波,將反流物送回胃內。食管炎可使食管蠕動減慢,使反流物在食管內停留時間延長,加重了原有的食管炎,食管炎又減弱了食管下段括約肌的功能,加重反流,形成惡性循環。
病理症狀
食管炎病毒性食管炎 單純皰疹病毒、水痘病毒、巨細胞病毒等皆可引起。以單純皰疹病毒引起者最常見。多發生於免疫功能低下的人,健康人在患流感時也可合併發生,但比較少見;可同時在口腔及唇部出現皰疹。一般為急性,有吞咽痛及一時性食管痙攣,吞咽困難。4~10餘天自愈。患惡性腫瘤或潰瘍性結腸炎的病人也易合併此症,常延續不愈,甚至發生大出血,但自覺症狀可不明顯。食管鏡觀察可見食管黏膜有白色斑,有約5mm直徑的小潰瘍,病理檢查在細胞核內有包涵體,病毒分離可發現致病病毒。治療主要為對症,一般無嚴重後遺症,目前的抗病毒治療藥物效果尚待觀察。
1.精神沉鬱,食慾減少甚至廢絕。口鼻周圍附有黏液。發生慢性食道炎時,體重逐漸下降。
2.吞咽困難,吞咽時表現痛苦,並大量流涎;或發生嘔吐,嘔吐物有時帶有血液。吞咽數次後常拒絕採食。
3.食管觸診敏感,頸前部食管觸診疼痛;前腹部觸壓,可引起食物反流。
4.上腹部或胸骨後疼痛燒灼感:為本病主要臨床表現。疼痛在進食多時尤為明顯,並與體位有關,嚴重者可放射到頸部、後背、胸部,有時酷似心絞痛症狀。
5.反流:常於餐後、晚間睡覺前有酸性液體或食物從胃及食管反流到口咽部。另可有噁心、暖氣、打嗝、燒心、腹脹、吞咽時不適感等症狀,嚴重者也可因食道糜爛引起消化道出血。
食管炎併發症
Barrett食道可發生嚴重的併發症,良性併發症包括反流性食道炎、食道狹窄、潰瘍、穿孔、出血和吸入性肺炎等。
常見的併發症有:
1.潰瘍Barrett食道引起潰瘍的發病率為2%~54%,食道柱狀上皮受酸性消化液腐蝕後可以發生潰瘍,出現類似胃潰瘍的症狀,疼痛可放射至背部,並可引起穿孔、出血、浸潤、潰瘍癒合後發生狹窄,出現下咽不暢的症狀。甚至可穿透主動脈導致大出血而迅速致死。Barrett潰瘍的病理分型有兩種,最為常見的為發生在鱗狀上皮段的淺表性潰瘍,這種類型與因反流性食道炎引起的潰瘍相似。另一種少見的為發生在柱狀上皮段的深大潰瘍,與消化性潰瘍相似。
2.狹窄食道狹窄是Barrett食道最常見的併發症,發生率為15%~100%。狹窄部位多於食道中上段的鱗-柱狀上皮交界處,而胃食道反流引起的狹窄多位於食道下段。反流性食道炎的發生率為29%~82%。病變可單獨累及柱狀上皮,也可同時累及鱗狀和柱狀上皮。
3.惡變Barrett食道中發生癌腫的發生率不甚確切,長期反流物進入Barrett食道可能起惡變作用。但有研究認為Barrett食道病病人施行了抗反流手術亦不能使這些柱狀上皮消退,亦不減少惡變的危險性。Barrett食道的柱狀上皮區內可以發生異型增生,程度可自低度到高度,有時低度異型增生不易與正常柱狀上皮區別,高度異型增生與原位癌有時難予區別,並可進展至浸潤癌。這些惡變的腫瘤系腺癌。須要指出的是內鏡發現賁門腺癌伴有良性柱狀上皮與柱狀上皮異型增生為腺癌是有區別的。Barrett食道的異型增生是癌前期狀況已為多數人公認。
4.胃腸道出血可表現為嘔血或便血,並伴有缺鐵性貧血,發生率約為45%,其出血來源為食道炎和食道潰瘍。
危害
1、食道潰瘍。食道引起潰瘍的發病率為2%~54%,食道柱狀上皮受酸性消化液腐蝕後可以發生潰瘍,出現類似胃潰瘍的症狀,疼痛可放射至背部,並可引起穿孔、出血、浸潤、潰瘍癒合後發生狹窄,出現下咽不暢的症狀,甚至可穿透主動脈導致大出血而迅速致死。潰瘍的病理分型有兩種,最為常見的為發生在鱗狀上皮段的淺表性潰瘍,這種類型與因反流性食道炎引起的潰瘍相似。另一種少見的為發生在柱狀上皮段的深大潰瘍,與消化性潰瘍相似。
2、胃腸道出血。可表現為嘔血或便血,並伴有缺鐵性貧血,發生率約為45%,其出血來源為食道炎和食道潰瘍。
3、食道狹窄。食道狹窄是Barrett食道最常見的併發症,發生率為15%~100%。狹窄部位多於食道中上段的鱗-柱狀上皮交界處,而胃食道反流引起的狹窄多位於食道下段。反流性食道炎的發生率為29%~82%。病變可單獨累及柱狀上皮,也可同時累及鱗狀和柱狀上皮。
病理防治
食管炎減少反流:
由於反流易在夜間,病人處於水平位及頭低腳高位時,所以應將床頭抬高使床頭至床尾有一個斜形坡度,這樣即使反流也能較快消除。囑病人睡前不再進食,晚餐與入睡的間隔應拉長,大於3小時。每餐後讓病人處於直立位或餐後散步,藉助重力促進食物排空。因此要忌食刺激性食物,避免劇烈運動。
降低反流物的刺激性:
降低反流物的刺激性可服用藥物如:甲氰咪呱、雷尼替丁,能抑制、減少胃酸分泌。也可用洛賽克20mg每晚一次。另可用氫氧化鋁凝膠10ml,每日3次口服,能減少胃酸的刺激。
改善食管下段括約肌的功能:
餐前15~30分鐘服用胃復安或嗎叮啉,可增加食管下段括約肌的壓力,加速胃的排空,減少反流。也可用西沙比剎(Cespside)這種新胃腸動力藥。
一般護理:
本病一般預後良好。護士應幫助病人了解此病,使病人在平時生活中注意飲食及生活習慣。以減少復發,減輕症狀。
在本病的診斷過程中,有時需要做一些實驗室檢查,這些檢查都有嚴格的要求,如食道PH值測定,檢查前48小時要停用所有的藥物,當天要進食試驗餐等。護士除了自己要了解所有檢查的目的、方法、注意事項以外,也應使病人了解檢查的意義及要求,以取得病人的配合。
反流性食道炎的中醫治療
食管炎中醫對於反流性食道炎通常採取辨證施治的方法,根據中醫理論將反流性食道炎分為以下幾種類型:
情志不暢型症見胸骨後痛或燒灼,每因情志不暢而誘發或加重,胃脘及脅脹痛、反酸、食欲不振等。治療採取疏肝理氣、和胃降逆的方法,方選柴胡疏肝散加減:柴胡6克,白芍15克,烏賊骨15克,鬱金、元胡、制香附、蘇梗、半夏、枳殼各10克,甘草5克。
肝鬱化熱型症見胸骨後痛或燒灼樣疼痛、反酸噯氣、性情急躁易怒、頭面燥熱、口乾口苦、多飲、大便乾結、舌紅。可採用疏肝清熱、和胃降逆治法,方選丹梔逍遙散加減:丹皮、梔子、大黃、花粉、白芍各10克,柴胡6克,生地瓜蔞各20克,石決明30克,竹茹12克。
脾虛氣滯型症見劍突下或胸骨後隱隱燒灼、胃脘脹滿、食慾減退、反酸或泛吐清水、大便不調等。治療採用健脾理氣、溫胃降逆的丁香柿蒂散加減:丁香3克,柿蒂20克,白朮、元胡、生薑各10克,黨參、茯苓、蘇梗各15克,半夏12克。
氣虛血瘀型症見吞咽困難、胸骨後疼痛、神疲乏力、面色無華、形體消瘦、舌淡暗、舌邊有瘀點。以益氣養陰、化瘀散結為治法,方選啟隔散加減:丹參、茯苓、太子參各20克,浙貝母15克,荷葉、蒂各15克,當歸、鬱金各12克,三七粉3克,桃仁10克,元胡10克。
脾虛胃熱型症見劍突下灼熱、胃脘隱痛脹悶、納呆、反酸、欲吐清水、噯氣等。以健脾益氣、清胃降逆為治法,方選半夏瀉心湯加減:黨參、半夏、黃芩、元胡、大棗各10克,乾薑、黃連、炙甘草各5克,烏賊骨20克,茯苓15克。
反流性食道炎患者餐後應儘量保持直立位或軀幹直立,還應注意減輕腹壓,不要劇烈的活動,不要穿緊身衣和束腰帶。睡前少進熱茶或飲料,戒菸,平時限制酒和酸性刺激性食物及糖、朱古力、咖啡等食品。
對於較嚴重的反流性食道炎,可以配合西藥進行治療,經中西醫結合治療無效者,可考慮手術治療。總之,調情志,適寒溫,配合適當的治療,就能達到治癒疾病的目的。
飲食療法
食管炎嚴格控制飲食 食管缺乏漿膜層,故吻合口癒合較慢,術後應嚴格禁食和禁水。禁食期間,每日由靜脈補液。安放十二指腸滴液管者,可於手術後第2日腸蠕動恢復後,經導管滴入營養液,減少輸液量。手術後第5日,如病情無特殊變化,可經口進食牛奶,每次60ml,每2hl次,間隔期間可給等量開水,如無不良反應,可逐日增量。術後第10~12日改無渣半流質飲食,但應注意防止進食過快及過量。
炎症
炎症,就是平時人們所說的“發炎”,是機體對於刺激的一種防禦反應,表現為紅、腫、熱、痛。炎症,可以是感染引起的感染性炎症,也可以不是由於感染引起的非感染性炎症。通常情況下,炎症是有益的,是人體的自動的防禦反應,但是有的時候,炎症也是有害的,例如對人體自身組織的攻擊、發生在透明組織的炎症等等。
炎症inflammation對機體的損傷的局部組織所呈現的反應稱為炎症。根據持續時間不同分為急性和慢性。急性炎症以發紅、腫脹、疼痛等為主要徵候,即以血管系統的反應為主所構成的炎症。局部血管擴張,血液緩慢,血漿及中性白細胞等血液成分滲出到組織內,滲出主要是以靜脈為中心,但象蛋白質等高分子物質的滲出僅僅用血管內外的壓差和膠體滲透壓的壓差是不能予以說明的,這裡能夠增強血管透性的種種物質的作用受到重視。
血纖維溶解酶、激肽釋放酶、球蛋白透性因子等蛋白酶,其本身並不能成為血管透性的作用物質。但可使激肽原變為激肽而發揮作用。然而上述這些物質作用於血管的那個部位以及作用機制多屬不明。在組織學上可以看到發生急性炎症時出現的血管滲出反應和修復過程混雜在一起的反應。並可見有巨噬細胞、淋巴細胞、漿細胞的浸潤和成纖維細胞的增生。
飲食調理
1、飲食要規律,忌暴飲暴食。患者吃飯時應細嚼慢咽,要避免飲釅茶,烈酒,濃咖啡和進食辛辣,過冷,過熱和粗糙食物,如濃茶、咖啡、可可、朱古力、辣椒等。2、飲食要以清淡、易消化、細軟為主,不吃油膩食物,以免刺激膽汁分泌增多,加重反流和病情。並且,平時應注意飲食中少用肥肉、奶油及烹調油,應以煮、燉、氽、燴、蒸為主,少吃和不吃油炸食品。
3、忌酒戒菸,由於菸草中含尼古丁,可降低食管下段括約肌壓力,使其處於鬆弛狀態,加重反流,吸菸還能減少食管黏膜血流量,抑制前列腺素的合成,降低機體抵抗力,使炎症難以恢復。酒的主要成分為乙醇,不僅能刺激胃酸分泌,還能使食管下段括約肌鬆弛,引起胃食管反流。
診斷要點
1.病初食欲不振,繼之吞咽困難,流涎和嘔吐,常出現拒食或吞咽後不久即食物返流。急性食道炎患者因胃液逆流而發出異常呼嚕聲,口角粘附粘液絲縷。觸診食道呈硬索狀腫。
2.食道鋇餐造影。食道黏膜面不平滑,有帶狀陰影。
3.食道內窺鏡檢查可以直接檢查到食道黏膜的炎症狀態。
四類食道炎的診斷方法
1.化膿性食道炎化膿性食道炎以異物所致機械損傷最為常見。細菌在食道壁繁殖,引起局部炎性滲出、不同程度的組織壞死及膿液形成,也可呈較為廣泛的蜂窩織炎。
2.食道結核食道結核患者一般多有其他器官結核的先驅症狀,特別是肺結核。食道本身症狀往往被其他器官症狀混淆或掩蓋,以至不能及時發現。按照結核的病理過程,早期浸潤進展階段可有乏力、低熱、血沉增快等中毒症狀,但也有症狀不明顯者。繼之出現吞咽不適和進行性吞咽困難,常伴有持續性咽喉部及胸骨後疼痛,吞咽時加重。潰瘍型的病變多以咽下時疼痛為其特徵。食物溢入氣道應考慮氣道食道瘺的形成。吞咽困難提示病變纖維化引起瘢痕狹窄。
3.真菌性食道炎真菌性食道炎的臨床症狀多不典型,部分病人可以無任何臨床症狀。常見症狀是吞咽疼痛、吞咽困難、上腹不適、胸骨後疼痛和燒灼感。重者胸骨後呈刀割樣絞痛,可放射至背部酷似心絞痛。念珠菌性食道炎可發生嚴重出血但不常見。未經治療的病人可有上皮脫落、穿孔甚至播散性念珠菌病。食道穿孔可引起縱隔炎、食道氣道瘺和食道狹窄。對持續高熱的粒細胞減少病人應檢查有無皮膚、肝脾、肺等播散性急性念珠菌病。
4.病毒性食道炎食道的HSV感染常同時有鼻唇部皰疹。主要症狀為吞咽疼痛。疼痛常於咽下食物時加劇,患者吞咽後食物在食道內下行緩慢。少數病人以吞咽困難為主要症狀,輕微感染者可無症狀。
化學醫理術語
| 關於一些化學,醫學方面的知識,我們的里了解都不是很全面,在日常生活里又起著很大的作用,我們有必要對此有一定的認知。 |

