放射性食管炎疾病描述
放射治療(放療)廣泛地套用於胸腔縱隔惡性腫瘤的處理,但由於放射線對生物體產生的電離作用,亦可使正常組織和細胞遭受損傷和破壞。食管的鱗狀上皮對放射性物質比較敏感,因此,在放療過程中有可能發生放射性食管損傷,尤其當放療與化療同時進行時,這種食管損傷會更加嚴重。這種因放射線所引起的食管損傷,稱之為放射性食管炎(radiation esophagitis)。
症狀體徵
放射性食管炎典型的症狀,為咽下疼痛或胸骨後疼痛。常見於放療後1周或數周內出現,一般症狀較輕。嚴重者可出現胸部劇痛、發熱、嗆咳、呼吸困難、嘔吐、嘔血等,應警惕食管穿孔或食管氣管瘺的發生。
疾病病因
輻射可使生物機體產生電離作用,並引起一系列病理生理反應,破壞和損傷組織細胞。約50%~70%接受輻射的患者在數分鐘之內出現噁心、嘔吐、胸痛、發熱、疲倦等症狀,稱之為前驅綜合徵。
病理生理
肺癌2.病理分期
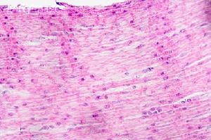
(1)壞死期:食管受放射線照射後,基底細胞停止分裂,很快出現變性壞死,黏膜下水腫,血管擴張,上皮脫落。此期食管黏膜表現為呈現充血、水腫、糜爛、潰瘍。
(2)枯萎期:放療幾周后壞死組織脫落,管壁變薄,黏膜變得平滑。一些患者仍可出現明顯的食管平滑肌異常。此期易發生食管出血、穿孔。
(3)再生期:放療數月後基底層殘存的細胞開始再生,逐漸向上延伸、移行,表層重新覆蓋新生的上皮細胞。此期,由於放射引起的血管和組織損害,逐漸出現纖維化。食管變細、狹窄,並且食管運動障礙加重。
診斷檢查
食管狹窄實驗室檢查:有診斷意義的常規化驗檢查為血白細胞計數,可降低。
其他輔助檢查:
1.早期有症狀者,食管吞鋇檢查可見全蠕動波減弱、食管潰瘍等,晚期則可見食管狹窄。
2.食管鏡檢查可窺見不同時期的食管炎表現。
鑑別診斷
食管炎2.食管結核 食管結核患者一般多有其他器官結核的先驅症狀,特別是肺結核。食管本身症狀往往被其他器官症狀混淆或掩蓋,以至不能及時發現。按照結核的病理過程,早期浸潤進展階段可有乏力、低熱、血沉增快等中毒症狀,但也有症狀不明顯者。繼之出現吞咽不適和進行性吞咽困難,常伴有持續性咽喉部及胸骨後疼痛,吞咽時加重。潰瘍型的病變多以咽下時疼痛為其特徵。食物溢入氣管應考慮氣管食管瘺的形成。吞咽困難提示病變纖維化引起瘢痕狹窄。
3.真菌性食管炎 真菌性食管炎的臨床症狀多不典型,部分病人可以無任何臨床症狀。常見症狀是吞咽疼痛、吞咽困難、上腹不適、胸骨後疼痛和燒灼感。重者胸骨後呈刀割樣絞痛,可放射至背部酷似心絞痛。念珠菌性食管炎可發生嚴重出血但不常見。未經治療的病人可有上皮脫落、穿孔甚至播散性念珠菌病。食管穿孔可引起縱隔炎、食管氣管瘺和食管狹窄。對持續高熱的粒細胞減少病人應檢查有無皮膚、肝脾、肺等播散性急性念珠菌病。
4.病毒性食管炎 食管的HSV 感染常同時有鼻唇部皰疹。主要症狀為吞咽疼痛。疼痛常於咽下食物時加劇,患者吞咽後食物在食管內下行緩慢。少數病人以吞咽困難為主要症狀,輕微感染者可無症狀。
治療方案
平滑肌(1) 硝苯地平(心痛定)10mg,3次/d,飯前半小時服。
(2) 硝酸異山梨酯(消心痛)10mg,3次/d,飯前半小時服。
(3)硫糖鋁0.5g,3~4次/d,飯前半小時服
2.抑制胃酸,防止酸反流入食管
(1)H2受體阻滯藥:如雷尼替丁150mg,2次/d,飯前半小時服
(2)質子泵抑制劑:如奧美拉唑20mg,1次/d,飯前半小時服
3.對症治療 給予止吐、止血、鎮靜,預防感染。應予以高熱量、高蛋白質、高維生素易消化的飲食。疑有穿孔需禁食、輸液、抗感染。
4.皮質激素的套用 因大量照射治療可引起腎上腺皮質功能衰竭。其套用可減輕放射損傷,改善病程。但需同時並用抗生素預防感染。使用潑尼松(強的松)20~30mg,1次/d 口服為宜。
5.增強細胞免疫 如套用人脾免疫核糖核酸苷2ml每天或隔天1次,肌注。療程為1~3個月。
6.其他 除以上處理外,必要時暫停照射或延長療程間歇期。
併發症
如患者持續性胸骨後劇痛,伴發熱、脈搏加快等,應警惕食管穿孔,需立即進一步檢查並作恰當處理。食管癌患者放療後並發食管穿孔、大出血和瘺管,並非全由放射性食管炎所致,而可能是腫瘤外侵放療後退縮的結果。
預後及預防
預後:目前尚無相關資料。
預防:
1.制酸劑、H2受體拮抗劑、表面麻醉劑、食管動力藥等,可用來緩解急性放射性食管炎的症狀。同時,根據病情輕重,給予鎮靜、止吐、止血、抗感染等治療。飲食選擇以高熱量、高蛋白、高維生素和易消化飲食為宜。
2.有人認為接受大劑量放療患者,有可能產生腎上腺皮質功能衰減。因此,放射性食管炎患者可考慮使用糖皮質激素,減輕放射損傷以及改善病程。
流行病學
英國愛丁堡大學統計54例放療後存活5年以上的食管癌患者,50%有明顯慢性損傷,其中25%接受1次擴張治療,另25%需反覆擴張。值得注意的是,患者如同時化療,特別是套用阿黴素可加重放射性食管炎。
保健貼士
飲食選擇以高熱量、高蛋白、高維生素和易消化飲食為宜。放射性食管炎患者可考慮使用糖皮質激素,減輕放射損傷以及改善病程。
