症狀體徵
嬰幼兒胃食管反流1.反流本身引起的症狀主要表現為嘔吐,奶後嘔吐為典型表現,85%患兒生後第1周即出現嘔吐,65%的小兒雖未經臨床治療可在半年至1年內自行緩解,實際上這部分患兒屬生理性反流範疇,臨床不需特殊治療。僅少數患兒表現為反覆嘔吐,並逐漸加重,由此可導致營養不良和生長發育遲緩。年長患兒可有反酸、打嗝等表現。
2.反流物刺激食管所引起的症狀由於胃內容或十二指腸內容含有大量的攻擊因子,引起食管黏膜的損害,年長小兒可表現為燒心、胸骨後痛、吞咽性胸痛等症狀,食管病變重者可表現為反流性食管炎而出現嘔血或吐咖啡樣物,此類患兒多見貧血。反流性食管炎症狀持續存在者可進一步導致食管狹窄、Barrett食管等併發症。
3.食管以外的刺激症狀近年來,注意最多的是胃食管反流與反覆呼吸道感染之間的因果關係,l/3的患兒因吸入反流物而反覆出現嗆咳、哮喘、支氣管炎和吸入性肺炎等呼吸道感染症狀,反流引起的哮喘無季節性,常有夜間發作。反覆發生的吸入性肺炎可導致肺間質纖維化。在新生兒,反流可引起突然窒息甚至死亡。少數病例可表現為Sandifer綜合徵,發作時呈特殊的“公雞頭樣”姿勢,同時伴反酸、杵狀指、低蛋白和貧血等。個別病例甚至可因口腔潰瘍及牙病在口腔科就診,而反流症狀卻不明顯或被忽略,食管鏡檢查可能缺乏食管炎的表現,經抗反流治療後,口腔潰瘍可減輕或癒合。
疾病病因
嬰幼兒胃食管反流1.第一抗反流屏障-食管下括約肌20世紀80年代前期,多數學者認為食管下括約肌在解剖結構上實際並不存在,而僅是代表一種功能的名稱。隨超微解剖研究的深入,提示確實存在這種肌肉結構。胎兒食管功能的成熟發生在妊娠末期至出生後第1周。食管下括約肌位於食管末端與胃相連線處,其相應的食管黏膜有增厚改變,呈“Z”線,在抗反流中也起一定的作用。食管下括約肌壓力(LESP)可因迷走神經興奮而增加。經過較長期研究觀察到某些激素可以影響食管下括約肌壓力。
由食管下括約肌形成的高壓區是最有效的抗反流屏障。當胃內壓力增高時,食管下括約肌反應性主動收縮,可超過增高的胃內壓力。食管下括約肌壓力降低的患兒,其胃內容物易反流通過張力低的食管下括約肌。胃食管反流標準是胃內容物反入食管下段,每次周期為15s以上,pH下降低於4(正常食管下段pH為5~7)。但也有實驗證明一部分正常食管下括約肌壓力的嬰兒也可有胃食管反流,這說明單獨測定食管下括約肌壓力並不能十分正確地反映臨床上的差異。
2.第二屏障-食管正常蠕動食管正常蠕動發揮有效的食管清除作用,即反射性地產生原發性蠕動,將食物輸送入胃中。有時食物從胃反流到食管,如食管功能良好,則食管上端又可產生繼發性蠕動,迅速地將反流到食管的食物再送入胃內。正常情況時,食管有效地通過蠕動發揮清除作用,而在某些病理性胃食管反流患兒時常可見到患兒食管蠕動振幅低,及食管黏膜抗酸能力變弱。繼發性蠕動減弱或消失,胃內容物可逆流向上經口溢出。食管炎往往使食管的蠕動能力受到影響,使清除酸性內容物時間延長。
3.食管黏膜抵抗力胃內容物反流入食管後,食管黏膜上皮不一定立即與之接觸,因為上皮前防禦機制-管腔內黏液層、靜水層和黏膜表面HCO-3能發揮物理、化學屏障作用。食管黏膜易受酸、胃蛋白酶或膽酸的損害,當接觸這類物質,黏膜電位差易改變,保護層受破壞。動物實驗與臨床觀察證明,食管黏膜損傷最易發生於胃食管反流時。
4.腹腔內食管段長度與His角食管是一根軟性消化管道,腹腔內壓力增高時腹腔食管段被鉗夾呈扁形,食管與有效胃直徑的比例為1∶5,腹腔內食管僅需要壓力超過胃內壓1/5時,即可發生關閉。食管腹腔段長度越長,功能亦越趨完善。年齡<3個月的嬰兒腹腔段食管甚短,故易發生胃食管反流。胃食管角又稱His角,正常者呈銳角,起到抗反流的作用,出生後1個月形成,當在食管裂孔疝時大多數病例此角變成鈍角。此角亦取決於腹腔內食管長度。
5.胃的因素已有報導證實相當高比例的胃食管反流嬰兒有胃排空延遲,這種現象也解釋了為什麼食後發生反流多於其他時間。胃排空、擴張及胃內容物量的變化均可影響到胃食管反流。也有研究證實了正常新生兒一直到出生後12周才出現正常的胃蠕動波,成熟需要一段時間,這就影響了胃排空,易發生胃食管反流。胃底部有蠕動發生點,當發生食管裂孔疝,其胃底部往往納入胸腔,導致胃底對液體排空的作用受到影響,也發生反流。另外,在蠕動波與幽門開放之間缺乏協調作用時也可影響到胃的排空。值得提出的是,胃受到侵襲性因素影響常可誘發或加重胃食管反流。報導Zollinger-Ellison綜合徵患兒胃酸分泌多,其發生胃食管反流亦明顯增多。反流性鹼性食管炎,十二指腸內容物中胃蛋白酶也有對胃及食管下端黏膜破損作用。另外一些關注的抗反流機制,如膈食管裂孔和膈食管膜的似彈簧鉗夾作用等。諸如上述各種機制綜合形成了正常的抗胃食管反流作用。
病理生理
嬰幼兒胃食管反流①反流物的特殊作用;②與反流物接觸所持續的時間;③食管對反流物的清除能力。
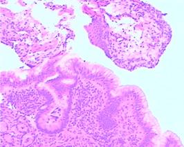
2.病理形態因食管炎是處於不同的發展階段,故病變程度與其相應的病理形態學特徵也不一。通常可分為早期(病變輕微期)、中期(炎症進展及糜爛形成期)、晚期(慢性潰瘍形成及炎性增生期)。
(1)病變輕微期:組織學改變主要為上皮層的基底細胞增生,厚度增加。與淺層上皮的厚度比例有所改變;固有膜乳頭延長,伸向上皮層。
(2)炎症進展及糜爛形成期:組織學檢查可見病變區上皮細胞壞死脫落,形成淺表性上皮缺損。上皮缺損處由炎性纖維素膜覆蓋,其下可見中性粒細胞及淋巴細胞,漿細胞浸潤。炎症改變主要限於黏膜肌層以上。還可見到淺表部位毛細血管和纖維母細胞增生,形成慢性炎性或愈復性肉芽組織。
3.潰瘍形成及炎性增生期食管潰瘍呈孤立性或融合性、環行性出現。組織學改變為潰瘍經黏膜層擴展至黏膜下層,很少侵及肌層。潰瘍處病變組織呈成層結構,表面為滲出性纖維素性物,其下為壞死組織,壞死組織下由新生毛細血管、增生之纖維母細胞、慢性炎細胞或混有數量不等的嗜中性粒細胞構成的肉芽組織,底部則為肉芽組織形成的瘢痕組織。
診斷檢查
嬰幼兒胃食管反流小兒胃食管反流的診斷應根據以下原則:①臨床有明顯的反流症狀,如嘔吐、反酸、燒心或與反流相關的反覆呼吸道感染等;②有明確的胃食管反流客觀證據。
其他輔助檢查:
1.食管鋇餐造影早期和輕度反流性食管炎的主要X線表現為食管的功能性改變和輕微的黏膜形態改變。炎症引起的食管痙攣性收縮,在鋇劑造影時常可以看到食管下端數厘米的一段輕度狹窄,其上方有少量鋇劑存留,尚可通過。狹窄段能擴張至正常程度,在鋇劑通過後狹窄又復出現。直立位檢查時,鋇劑雖可自食管通過,但排空時間較正常延遲。臥位服鋇餐後,表現為正常食管蠕動波停止於主動脈弓平面,鋇劑雖能進入下部食管,但多在第2次吞鋇時才有少量鋇劑進入胃內。X線上所見的胃食管反流程度與反流性食管炎的嚴重程度並不平行。輕度和較早期反流性食管炎在X線檢查雙對比相上,表現為食管黏膜面和腔壁線的毛糙,食管黏膜面呈針尖狀鋇點影或顆粒狀小結節影;有時可見糜爛灶,表現為小的點狀鋇斑;或見到網織交錯的線樣龕影。另外還可見到食管內較寬的橫行皺襞,多位於食管狹窄或變形的近側。形成瘢痕性狹窄時,其形態多呈細管狀或漏斗狀,狹窄段多數較規則,邊緣光滑或毛糙不平,呈鋸齒狀。狹窄段常被拉緊、變直,失去正常弧度。擴張度降低,狹窄段以上食管腔輕度擴大。在食管下端常可見到潰瘍,表現為類圓形邊界較清楚的小龕影,一般較淺。
食管造影對食管炎的受損程度亦也有一定診斷價值。McCauley對胃食管反流X線影像作了分級表,對判別胃食管反流產生程度有一定幫助。胃食管反流的X線分級:0級:無胃內容物反流入食管下端;Ⅰ級:少量胃內容物反流入食管下端;Ⅱ級:反流主要在食管,相當於主動脈弓部位;Ⅲ級反流主要在咽部;Ⅳ級:頻繁反流主要在咽部,且伴有食管運動障礙;Ⅴ級:反流主要在咽部,且有鋇劑吸入。X線診斷胃食管反流的陽性率僅25%~75%,Meyers等報導其假陰性14%,假陽性高達31%。這與檢查時鋇餐吞入量有關,新生嬰兒尤其如此。在做X線檢查時,還應注意有否食管裂孔疝。尤其是滑動性,此種類型疝X線表現為胃食管前庭段增寬,部分胃黏膜位於膈上及見到上升的食管胃環。
2.食管動力學檢查美國Colley等(1957)在研究賁門失弛症時首次進行食管壓力測定。1959年Chappell將此技術引入歐洲,對巨食管的運動紊亂作了測壓研究。1961年Euler對賁門功能採用測壓進行研究,其後Bettex、Cargill等都相繼對裂孔疝、胃食管反流等作了測壓報導。食管測壓現已成為一種被廣泛套用的監測食管功能、評價診斷與治療的技術。
在診斷胃食管反流中,主要了解食管運動情況及食管下括約肌功能,檢查安全、簡便且無損傷。出生6天以內的新生兒,其食管下括約肌壓力是明顯低的,但以後隨年齡增長與大年齡兒童組值逐步相接近。大量資料報導患胃食管反流的新生兒或嬰兒其食管下括約肌壓力有不同程度降低,食管下括約肌壓力區長度短於正常同年齡組及食管下括約肌順應性差等表現,但也有一部分胃食管反流新生兒、嬰兒的食管下括約肌壓力正常,而無胃食管反流的正常兒出現食管下括約肌壓力偏低現象。食管下括約肌壓力降低與胃食管反流的發生符合率約87%。
3.24h食管pH監測1969年Spencer首先描述,後由DeMeester與Johnson加以發展。檢測時可同時進食或睡眠。24h食管pH監測診斷胃食管反流的敏感性為88%,特異性為95%,為首選診斷方法,能客觀地反映反流情況,安全、操作簡便,且能分辨生理性與病理性反流。正常情況下一般睡眠時沒有反流,總反流時間<4%監測時間,平均反流持續時間<5min及平均清除時間<15min。上海新華醫院102例小兒24h食管pH監測的體會,這是一項正確性高,安全無損傷檢查的新技術。
4.食管內鏡檢查此為最適宜的明確食管炎的方法,結合病理學檢查,能反映食管炎的嚴重程度,其敏感性為95%,特異性為41%。但此法不能反映反流嚴重程度,僅反映食管炎嚴重程度,對判斷輕度(Ⅰ級)食管炎困難,故大部分學者提出,內鏡顯示Ⅰ或Ⅱ級食管炎不需作黏膜活檢,只在鏡檢不明顯或有可疑變化時作Rubin管吸引活檢,但原則上新生兒期不做。黏膜活檢也是診斷Barrett食管的主要依據。內鏡下反流性食管炎的分型:
(1)Savary-Miller分型(1978):Ⅰ:孤立糜爛灶與紅斑灶和(或)滲出;Ⅱ:散在糜爛和潰瘍,未波及食管全周;Ⅲ:糜爛和潰瘍波及食管全周,但未形成狹窄;Ⅳ:慢性病損或潰瘍,同時有食管壁的纖維化、狹窄、短食管和(或)柱狀上皮食管。
(2)Jamieson分型:0:正常黏膜;Ⅰ:孤立發紅區;Ⅱ:潰瘍形成;Ⅲ:食管狹窄形成。
(3)第九屆世界胃腸病會議分型:Ⅰ:稀疏、垂直的糜爛或潰瘍;Ⅱ:融合性潰瘍;Ⅲ:潰瘍融合成環狀;Ⅳ:瘢痕、狹窄。
5.胃食管核素閃爍掃描記錄自胃管內注入核素99mTc標定液,然後在安靜下行閃爍掃描記錄。此檢查可提供有否胃食管反流的信息,並觀察食管功能,且可連續攝片。同時了解胃排空,食管清除等作用,當肺內出現標記的核素,即可證實呼吸道症狀與胃食管反流有關。Rudd提示診斷兒童胃食管反流中此法敏感性80%。
6.酸反流試驗(Tuttle試驗)將一根pH微電極探頭插入食管下括約肌上方約3cm,然後將0.1mol/L鹽酸溶液,按體表面積每1.73m給300ml計算,用鼻飼管注入胃中,對食管pH行監測,當有胃酸反流到食管時,其pH<4。本試驗靈敏度高,且對病兒無太大刺激,有人用蘋果汁替代鹽酸溶液效果相似。也有作者認為其假陽性率可達31%,不如24hpH監測那樣既無損傷性,且正確性高。上述各種方法均存在一些不足之處,Arasu、Bettex等先後提出聯合套用2種測定方法更能提示診斷的正確性。以X線食管吞鋇配合食管動力學檢查與24h食管pH監測檢查最為常用。
併發症狀
嬰幼兒胃食管反流2.出血和穿孔反流性食管炎由於黏膜充血糜爛,可發生少量出血,長期可引起小兒不同程度的缺鐵性貧血。少數嚴重病例由於食管潰瘍可發生較大量出血,甚至穿孔。
3.Barrett食管為慢性胃食管反流的嚴重合併症。正常情況下食管下端鱗狀上皮與賁門黏膜柱狀上皮犬牙交錯地移行,形成齒狀線(Z線),作為慢性反流性食管炎的後果,食管下段出現柱狀上皮區,而正常的鱗狀上皮區被破壞,由再生性更強的鄰接區或腺導管柱狀上皮所取代,即形成Barrett上皮。化生的上皮有胃、小腸和結腸的上皮,組織學上類似於黏液細胞、杯狀細胞和絨毛結構。臨床表現為典型的反流症狀,在成人Barrett食管合併食管腺癌比一般人群高30~50倍。
治療方案
嬰幼兒胃食管反流治療藥(1)適應證與禁忌證:小兒胃食管反流需行手術治療的僅占全部患兒的5%~10%,故手術適應證需要慎重選擇。下列情況為抗反流手術指征:①內科系統治療無效或停藥後很快復發者;②先天性膈疝引起反流者;③有嚴重的反流併發症,如食管炎合併出血、潰瘍、狹窄等;④由反流引起的反覆發作性肺感染、窒息等;⑤客觀檢查證實為病理性反流者(如動態pH監測);⑥鹼性胃食管反流。
需要慎行抗反流手術的情況有:①內科治療不充分:包括體位療法,飲食調整及餐後和入睡前服用制酸劑等,若經過至少6周治療,反流症狀仍持續存在,可考慮行放射性核素檢查胃排空情況,若胃排空障礙,可加用胃動力藥,仍不能控制症狀者,再考慮外科治療。為有效治療胃食管反流及其合併症,最好由消化兒科與兒外醫師合作,制定全面的治療方案。②新生兒期及小嬰兒的胃食管反流:絕大多數發生於此期的胃食管反流為生理性,隨年齡增加,逐漸緩解、自愈。少部分病理性胃食管反流通過內科治療也能收到良好的效果,故選擇手術療法應十分慎重。③缺乏反流性疾患的客觀證據:如對反覆發作的上呼吸道感染、窒息、不能完全肯定由反流引起者,不應貿然手術治療。否則會擴大手術指征,導致不良的治療結果。
(2)手術原則:抗反流手術是通過胃底賁門部的解剖重建,恢復其正常的關閉能力,阻止反流發生,即能正常吞咽,又能在需要時發生嘔吐。抗反流手術的基本原則是:①提高食管下括約肌靜息壓力:一般恢復到胃靜息壓力的2倍水平,以維持食管胃之間的正壓屏障,通常以胃底摺疊環繞食管遠端來實現。有關資料表明胃底摺疊程度大小與括約肌壓力增高成正比,以Nissen360°胃底摺疊術術後壓力升高最為顯著。②維持足夠長度的腹段食管:腹段食管處於腹腔正壓環境之中,術中應游離腹段食管1.5~2.0cm長,以維持賁門部的關閉狀態。臨床上無論Nissen、Belsey和Hill手術平均可增加腹段食管長度1cm左右。③重建的賁門部在吞咽時應能鬆弛:生理條件下,吞咽經迷走神經使食管下括約肌和胃底弛緩,持續10s左右,然後迅速恢復吞咽前的張力。術中應注意保護賁門部的神經支配,防止迷走神經損傷,否則可能導致賁門部鬆弛,張力喪失。
(3)常用手術方法:
①Nissen手術:即360°全胃底摺疊術,是臨床常用的抗反流手術。典型Nissen手術取左肋下切口,但臨床多用上腹正中切口,進腹後切斷左側三角韌帶,向右牽拉肝左葉,顯露腹段食管,在其前面切開後腹膜,切開膈食管膜,游離足夠長的腹段食管,以紗布條繞過牽引之。然後游離胃底,於小彎側切開肝胃韌帶上部,大彎側切開脾韌帶並離斷胃短血管,胃底的游離應達到摺疊縫合後沒有張力。游離過程中注意保護迷走神經。將游離的胃底後壁經賁門後面拉向右側,在食管下端前面與移位的胃前壁相遇,完成胃底對食管胃連線部的環行包繞。然後行胃底摺疊縫合,摺疊的胃底切忌縫合過緊,縫合部分應通過術者食指。在食管後面縫合左、右膈肌腳,以縮窄膈裂孔,縫合完畢,食管旁可容食指通過裂孔。
實際上Nissen胃底摺疊術經多位作者的改進,已包含了多種不同手術方法,其趨勢是力求更短的胃底包繞縫合。DeMeester倡導只縫一針的摺疊術,以減少吞咽困難和氣頂綜合徵(gasbloatsyndrome,GBS)。其他改良術式還有如減少胃底包繞度數(小於360°)的部分胃底包繞術。
此外,Nissen手術還可與其他手術聯合進行,以治療一些較為複雜的胃食管反流病人。如Collis-Nissen手術可用於短食管病人;Thal-Nissen用於消化性食管狹窄;對賁門失弛症行食管肌層切開同時行全胃底摺疊術,這些手術的術後結果及其術式評價尚有爭論。
Nissen手術概括起來可有以下幾方面:A.升高食管下括約肌壓力,形成有效的食管胃抗反流正壓屏障。B.增加腹段食管長度,充分維持賁門部的閉合狀態。C.摺疊的胃起活瓣作用,允許食管內容單方向通過;D.緊縮了膈食管裂孔。
根據大量文獻報導,Nissen手術治癒率可達88%,90%~96%病人術後症狀緩解。DeMeester與Goodill對13例和9例胃食管反流手術的動態pH監測顯示,酸性反流指數均恢復至正常範圍。Nissen手術一般經腹入路,下列情況應考慮經胸操作為宜:A.抗反流手術失敗者,二次手術;B.伴有短食管;C.胸內有病變需處理者,如食管潰瘍或膈上憩室等。
②Belsey4號手術(BelseyMarkⅣ):為240°胃前壁部分摺疊術,手術優點是:A.充分游離下段食管,使食管下括約肌恢復成較長的高壓區帶;B.左側經胸入路暴露充分;C.尤其適合嚴重食管炎、食管運動障礙病人和復發性胃食管反流。其缺點是食管壁肌纖維薄弱,縫合後有切割、撕脫的可能。此外,部分胃底摺疊能否充分有效防止反流尚有爭論。
③Hill手術:為經腹胃後固定術(transabdominalposteriorgastropexy),常用於食管裂孔疝修復,手術原則為:A.恢復腹段食管長度;B.增加胃食管角(His角);C.緊縮賁門部套索纖維,加強食管下括約肌功能;④縮窄膈裂孔。
(4)手術療效判定:抗反流手術療效的判定可參考如下指標:①胃食管反流症狀及合併症完全消除;②能夠打嗝,排出胃內多餘氣體;③必要時可嘔吐;④胃食管反流的客觀檢查如24h動態pH監測、胃食管動力學檢查等恢復或接近正常範圍。
2.一般治療小兒尤其是新生兒、嬰兒的胃食管反流治療中,體位與飲食餵養十分重要。
(1)前傾俯臥位:患兒體位以前傾俯臥30°位最佳(包括睡眠時間)。Meyers和Herbst相繼證實,此種體位的優點是食管胃連線處位於最上方,減少了與酸性物的接觸,較睡眠右側臥位或上半身抬高位,更利於胃排空和減少反流。Orenstein等經觀察證實:常用的體位治療(常規的>45°或端坐位)反而促使胃食管反流加劇,Jolly椅坐位發生反流次數是前傾俯臥30°位的4倍。
(2)高蛋白低脂肪餐:正常生理性胃食管反流很罕見發生在睡眠期,多數在餐後2h之內,所以餵養可採用黏稠厚糊狀食物,少量、多餐以高蛋白低脂肪餐為主能改善症狀或減少嘔吐次數,晚餐後不宜再喝飲料以免發生反流,避免套用刺激性調味品和影響食管下括約肌張力的食物和藥物。
3.藥物治療近10年來發展很快,主要藥物為促胃腸動力劑與止酸劑兩大類,合用對反流性食管炎療效更佳。藥物治療胃食管反流在成年人與較大兒童中已積累了較多的經驗,但在新生嬰兒期僅處在觀察、試用研究中,故對後者套用時要慎重。
(1)促胃腸動力藥:
①氯貝膽鹼(氨甲醯甲膽鹼)(Bethanechol):擬副交感神經藥,增加食管下括約肌張力,減少胃食管反流,也能增進食管收縮幅度,有清除酸性物質及促進胃排空的作用,小兒劑量為8.7mg/m2體表面積。副作用主要表現腹部痙攣、腹瀉、尿頻與視力模糊等,但副作用輕、短暫。哮喘是用藥的相對禁忌證。
②甲氧氯普胺(Metoclopramide):為周圍與中樞神經系統多巴胺受體拮抗藥,可促使節後神經末梢乙醯膽鹼釋放,增加食管收縮幅度和食管下括約肌張力,促進胃排空,對胃酸分泌無作用。小兒劑量每次0.1mg/kg,3~4次/d。但長期服用副作用嚴重,約1/3患兒服用後出現神經、精神症狀,如焦慮、不安定、失眠及急性錐體外系症狀,往往迫使中止服藥,臨床長期服用並不理想。
③多潘立酮(Domperidone,嗎丁林):其抗嘔吐和胃動力學作用基於它拮抗多巴胺受體,影響胃腸運動。由於對血腦屏障的滲透力差,故對腦內多巴胺受體幾無抑制作用,因此可排除精神和神經副作用。本藥可使胃腸道上部的蠕動和張力恢復正常,促使胃排空,增加胃竇和十二指腸運動、協調幽門的收縮,還可增強食管的蠕動和食管下括約肌的張力。兒童劑量每次0.3mg/kg,3~4次/d。副作用偶見輕度瞬時性腹部痙攣及可觀察到血清泌乳素水平增高,但停藥後即可恢復正常。服用本藥時尚需注意同時使用抗膽鹼能藥品可能會減弱藥物作用。另外,在1歲以下兒童由於其代謝和血腦屏障功能發育尚不完全,故對幼兒給藥應非常小心。
④西沙必利:系一種新型有效的食管、胃腸道新動力藥。它可增加胃排空及食管下括約肌壓力,部分作用類同膽鹼能機制,包括從肌間神經叢中釋放乙醯膽鹼,對胃酸分泌無作用,也不增加食管蠕動。作用範圍較廣,能改善整個消化道的運動功能。兒童用量0.3mg/kg,3次/d,出生後5天至11個月嬰兒可用每次0.15~0.2mg/kg,3次/d。據報導在服用3~7天后即可明顯改善反流。如合併支氣管肺部病變,於服藥後,至數周不但反流消失,肺部症狀也獲改善或消失。藥物副作用少,僅有少數患兒發生短暫的腹鳴、稀便,系由於胃腸道運動活動增強所致。
(2)止酸藥:
①西咪替丁(Cimetidine,甲氰咪胍):組織胺H2受體阻斷藥,此藥對減少胃酸分泌有效。近年Cucchiara報導用該藥與配合抗酸藥物治療反流性食管炎較有效。兒童劑量每天20~40mg/kg。其副作用少。一般未發現嚴重不良反應。可有血肌酐輕度增高或血清轉氨酶升高,停藥後即可恢復正常。少數長期服用可出現男性乳房發育,有時有頭痛、便秘和腹瀉,一般不影響治療。也偶見藥熱、皮疹,胃功能減退者應酌情減量。
②雷尼替丁(Ranitidine):作用迅速,是有效的組織胺H2受體拮抗藥。作用較西咪替丁強,它能抑制激發性胃酸分泌,即減少其分泌量,也降低其中所含的酸度與胃蛋白酶。雖無提高食管下括約肌張力的作用,但對治療反流性食管炎有良效。小兒劑量5~10mg/kg。不良反應少,國外套用多年從未見有嚴重不良反應的報導。少數患兒(7%~8%)出現乏力、頭痛、頭昏和皮疹。腎功能減退的患兒應酌情減少用量。
③奧美拉唑(Omeprazole):是新一類的胃酸分泌抑制藥,取代了苯並咪唑。其特徵是可抑制H+/K+-ATP酶,阻斷胃壁細胞H+分泌的最後共同通道。在體內測量奧美拉唑和西咪替丁對組織胺刺激胃酸分泌的抗分泌作用,前者比後者強10倍。
④法莫替丁(Famotidine):據文獻報導法莫替丁治療Ⅰ、Ⅱ期反流性食管炎有良效,Sekigochi報導成人用藥12周內82%患者內鏡檢查癒合。其與奧美拉唑對小兒病例的套用尚在觀察中,套用尚未普遍。
(3)黏膜覆蓋藥物:反流性食管炎有潰瘍形成或有黏膜糜爛時,此藥可覆蓋在病損表面形成一層保護膜,減輕症狀,促進癒合。此類藥有硫糖鋁(sucralfate)、藻酸鹽抗酸藥Gaviscon、枸櫞酸鉍鉀(膠體次枸櫞酸鉍,CBS)等。國內市場上也採用雙八面體蒙脫石(思密達)治療食管炎,收到十分滿意的療效,雙八面體蒙脫石對消化道黏膜具有強的覆蓋能力,並通過與黏液糖蛋白的相互結合,修復和提高黏膜屏障對攻擊因子的防禦功能。
