疾病概述
腎臟檢查反流性腎病主要運用影像學手段1959年Hodson提出本病放射診斷標準。1973年Bailey將膀胱輸尿管反流引起的腎臟瘢痕和與反覆尿道感染有密切關係的腎損害定義為“反流性腎病”,以此取代了“慢性萎縮性腎盂腎炎”的概念近來國內外對反流性腎病的研究越來越多,但臨床醫師對於本病的診斷、預防和治療方面依然存在很多困難。
流行病學
膀胱1893年Pozzi第一次描述了人類的膀胱-輸尿管反流(VUR),現在認識到VUR成人也相當常見,在泌尿科常規檢查中,170名可診斷1例。在50歲以下終末期腎功能衰竭患者中本病超過15%,多數年齡在35歲以下;男女比例為1∶4,UTI發病率為1.38%,其中女性兒童發病率高達2.36%,男性兒童僅為0.46%,RN也是慢性間質性腎炎的常見原因約占慢性腎衰病因的10%。
發病原因
輸尿管1.原發性膀胱輸尿管反流原發性VUR臨床最常見多見於小兒為膀胱黏膜下輸尿管段的先天性異常.,如先天性膀胱黏膜下輸尿管過短,膀胱三角肌組織發育不良等隨著小兒成長,膀胱基部發育完善反流多數會消失。
目前普遍認為原發反流大多是由於膀胱黏膜下部分輸尿管長度、直徑肌組織或神經支配的先天性缺陷,由於輸尿管口異位造成黏膜下部分輸尿管過短可能是非常重要的。當膀胱充盈時黏膜下部分輸尿管可能進一步縮短而出現反流這與反流只發生在膀胱充盈時或排尿過程中的觀察結果是一致的。
原發性VUR明顯地具有在青春發育期前自愈的傾向,不伴輸尿管擴張的輕度反流(Ⅰ~Ⅱ級)患者有近75%~85%反流停止,中度反流的患者有66%反流消失,伴有輸尿管擴張的較嚴重反流(Ⅲ~Ⅴ級)患者有近25%~30%反流停止Woodard認為其機制是壁內段輸尿管隨年齡增長而延長的研究表明98%的輕度和中度反流的嬰兒三年內正常,25%的大量反流嬰兒在較長時期內保持正常Robert的報導證實原發高度反流的持續時間比中度反流長。
家庭集中傾向為8%~32%與散發病例比較家族性病例反流更嚴重且更多為雙側性。對43例希臘VUR患兒進行人類白細胞抗原(HLA)檢查的結果是,攜帶HLAAw19+29的兒童本病發病率較高。
研究表明在1/20的反流患者,反流與尿路梗阻有關。在輕微反流病例同時存在的梗阻容易被診斷出;在有輸尿管擴張和(或)扭曲的病例與輸尿管擴張不成比例的腎盂擴張提示可能有梗阻。有報導147例VUR患者中17例(14%)同時存在輸尿管腎盂連線處梗阻,有學者建議對考慮有輸尿管腎盂連線處梗的患兒常規行排泄性膀胱尿路造影檢查。
Bisset研究了尿路重複畸形患者的VUR發病率結果69%的完全尿路重複畸形患者和22%的部分尿路重複畸形患者可見VUR。
2.繼發性膀胱輸尿管反流繼發性VUR可繼發於多種原因所致的膀胱頸或尿道梗阻(膀胱高壓),神經性膀胱(膀胱肌無力)、膀胱結核及膀胱手術後(引起輸尿管的損傷)等常見繼發本病的有以下情況,
(1)輸尿管憩室:一些研究指出膀胱不穩定收縮和高壓排尿以及輸尿管局部先天性薄弱造成索的輸尿管憩室形成在VUR發生中具有重要作用。
(2)非神經性神經源性膀胱綜合徵(nonneuroticneurogenicbladdersyndrome):這是一種在臨床和放射學上表現為膀胱括約肌不協調的精神和行為紊亂症狀和一種見於兒童的、無解剖和神經異常的膀胱功能性梗阻這種綜合徵常表現為尿床、排尿不連續、排尿特徵性姿勢、反覆下尿路感染和膀胱形態學改變尿動力學檢查顯示膀胱反射亢進逼尿肌與括約肌協同困難這種病理機制與引起所謂“原發性”膀胱輸尿管反流並使之持續存在有關。多數病例在神經系統發育成熟後,逼尿肌高活性狀態隨之消失。
(3)下尿路功能異常:有兩種類型尿動力學特徵相反的反流功能異常,無神經異常或肉眼解剖異常第1種類型存在反流但膀胱具有有力的排尿收縮穩定性反流常出現在單側,少見反流性腎病或上尿路異常。第2種類型常見排尿過程中膀胱收縮乏力和尿道關閉機制功能過強反流常出現於雙側,反流性腎病或上尿路異常相當常見。
(4)便秘:便秘引起直腸擴張,直腸擴張造成會陰逼尿肌不協調、三角區扭曲、輸尿管瓣膜功能異常,可引起尿路感染、遺尿和VUR。
(5)累及膀胱輸尿管連線部位的炎性疾病:繼發性VUR也發生於累及膀胱輸尿管連線部位的炎性疾病,如結核和吸蟲病等如果膀胱炎症不損害輸尿管黏膜下段一般不引起VUR。
(6)膀胱頸病變:膀胱頸梗阻、對膀胱行放射治療以及其他先天異常可能引起VUR。
(7)新生物。
(8)尿路內管道的拔出:有報導2例患者在輸尿管鏡檢查後發生VUR。
(9)尿道後瓣膜:有尿道後瓣膜的患兒近半數有嚴重的膀胱-腎反流全部病例中的53%腎功能減退雙側VUR發生率為25%。
(10)先天性或獲得性神經疾病:與先天性或獲得性神經疾病有關的VUR發生率較高。在腦脊膜膨出患兒,反流發生率隨年齡增加而增高,生後1個月為28%,5歲時為45%在脊髓發育不良病例VUR發生率為36%~52%脊髓損傷8年以上隨訪報導顯示10%的病例有VUR的放射學表現反流發現於損傷後4~24個月在星形膠質細胞變性的阿爾茨海默(Alzheimer)病,伴隨神經性腸(neurogenicbowel)和神經病變性膀胱(neuropathicbladder),可有多種反流同時存在包括頰唾液反流、胃食管反流膀胱輸尿管反流、尿道前列腺反流和尿道膀胱反流。
(11)膀胱炎:有報導在環磷醯胺引起的膀胱炎患者可發生VUR占39%且17%有腎積水,13%的患者膀胱纖維化收縮。
(12)腎移植:有報導術後3天29%的移植腎有腎盂-腎反流發生反流的移植腎中近半數移植失敗而在無反流的移植腎中移植失敗者只有16%與反流有關的移植腎衰竭進展緩慢,與增加的蛋白尿、鏡下血尿、高血壓和系膜毛細血管腎病有關。
3.膀胱輸尿管反流分級目前被廣泛接受的仍是國際兒童膀胱輸尿管反流研究組提出的反流程度分級標準:
Ⅰ級:僅累及輸尿管。
Ⅱ級:累及輸尿管和腎盂,腎盞無擴張,腎盞穹窿正常。
Ⅲ級:輸尿管輕中度擴張和(或)彎曲,腎盂輕中度擴張,穹窿無或僅輕微變鈍。
Ⅳ級:輸尿管中度擴張和(或)彎曲,腎盂腎盞中度擴張,穹窿銳角消失但大多數腎盞乳頭外形存在。
Ⅴ級:輸尿管、腎盂腎盞嚴重擴張和彎曲大多數腎盞乳頭外形消失。
發病機制
慢性反流性腎病1.尿路感染尿路感染(UTI)在反流性腎病(RN)發病機制中起重要作用。尿路感染是瘢痕形成重要的危險因素之一;VUR是允許細菌從感染的膀胱進入腎臟的重要機制UTI與RN常密切相關15%~60%的UTI嬰兒和兒童有一定程度的反流被發現有潛在菌尿的妊娠女性中,5%~33%有尿路異常其中最常見的是VUR4%~5%反覆發作的症狀性UTI患者有反流性腎病。
反流導致UTI時腎盂腎炎發病率增加文獻報導在有反流的患者,腎盂腎炎見於82%的UTI有VUR伴的兒童腎移植患者腎盂腎炎也顯著增加。實驗研究表明,嚴重反流時腎皮質可見無菌性間質腎炎類似慢性腎盂腎炎感染加重間質無菌性炎症,能在輕度反流情況下引起嚴重病變。臨床上本病患者發生感染時腎功能急劇減退抗生素治療後腎功能改善。
2.VUR及腎瘢痕的關係VUR引起腎內反流(IRR),IRR的部位即為後來瘢痕形成的部位。在VUR病人中發現腎瘢痕者15%~73%VUR引起IRR及腎瘢痕可受一些因素影響如:
(1)年齡:以往認為腎瘢痕多數形成於5歲以前現在發現不少病人大於5歲,甚至10歲以上仍可形成瘢痕。
(2)尿路感染:腎瘢痕形成常是VUR合併感染及腎內反流的結果。
(3)VUR的嚴重程度:反流越嚴重,持續時間越長則腎瘢痕發生率越高,一般1、2、3級的VUR較少引起RN,4、5級的VUR幾乎都有RN。
(4)腎乳頭類型:腎瘢痕主要分布在腎極區最常見於腎上極,這主要因為腎極區多為複合乳頭,呈扁平型開口大而直這種乳頭很易產生IRR。
(5)有舊瘢痕者易形成新瘢痕。
3.VUR時非感染性腎損害有報導顯示部分反流性腎病在無UTI病史的情況下出現VUR時稱為非感染性腎損害。部分文獻報導的半數左右反流性腎病既往無UTI病史VUR時非感染性腎損害的發病機制與許多因素參與有關。
(1)腎內反流:近年認識到腎盂小管反流腎乳頭結構特點、以及有效抗反流機制的缺乏在RN發病機制中的重要性。Ransley和Risdon報導了兩種腎乳頭:複合腎乳頭和單一腎乳頭。前者引流多個小葉,其凹面管口呈圓形並在高壓時處於開放狀態。單一腎乳頭管口向凸面開放壓力增高時管口關閉,防止向腎內反流複合腎乳頭和單一腎乳頭的比例為1∶4,多數複合腎乳頭在腎上極Ⅲ。Tamminen和Kaprio發現嬰兒和兒童有2/3腎乳頭無凸面且開口處有擴大的前庭是允許腎內反流的乳頭類型正常腎臟發生腎盂-腎反流的壓力是80~100mmHg而腎內反流腎臟在較低壓力時即可發生腎盂-腎反流套用排尿膀胱尿路造影顯示,20例腎內反流腎臟中13例有反流性腎病。另外尿流動力學改變也可有IRR產生腎損害。
(2)繼發於高血壓的血管損害導致缺血。
(3)靜水壓力的直接作用。
(4)乳頭瘢痕阻礙鄰近正常乳頭的抗反流機制,導致進一步損害。
(5)Tamm-Horsfall蛋白和尿中其他成分進入間質引起纖維化和血管周圍空間的改變,繼發缺血病變。
(6)免疫損傷:抗原可能為反流尿液中細菌或Tamm-Horsfall蛋白曾有報告認為後者所致的免疫反應,在RN的發病機制中有重要作用。
(7)殘餘腎繼發於高濾過的局灶性節段性腎小球硬化這種病變常見於雙腎受累功能損害和蛋白尿超過1g/d的患者。
臨床表現
慢性反流性腎病本病最常見的臨床表現是尿路感染和多發生於排尿時的脅腹痛。尿路感染發生率有63%~88%;蛋白尿的發生率為34.5%~54.7%也可為RN的首發症狀因常在嚴重瘢痕形成數年後出現提示VUR已導致腎小球病變為預後不良指征即使術後VUR消失腎功能仍繼續惡化另外本病還具有潛伏性的特點常在妊娠時因尿路感染、蛋白尿高血壓先兆子癇或腎功能衰竭被首次發現。個別患者偶爾因其他原因接受影像學檢查,而被發現單腎或雙腎瘢痕或萎縮或因發現無症狀菌尿而考慮到本病診斷。部分病例可長期無症狀,直到腎功能不全進入尿毒症期才得以診斷。
本病病程中常見高血壓,在開始透析的患者中75%有高血壓。在成功的抗反流手術數年後,也可發生高血壓。高血壓嚴重程度與反流程度和尿路梗阻程度無明顯相關性。臨床上高血壓發生率為10.6%~38.1%,是RN的後期常見併發症;妊娠高血壓(妊高征)可為RN的首發症狀。約4%嚴重妊高征病人有RN;可有夜尿、多尿、尿液濃縮功能異常;有10.2%~50%的RN可導致腎衰,一般發生腎衰的發病年齡在35歲以下。約半數病例就診時已有氮質血症。單側性反流性腎臟病的腎衰,是由於並發了雙側腎的腎小球病變。本病還可有遺尿史(4%~20%),腎結石(2.2%~18%)鏡下或肉眼血尿等。
併發症:
RN的後期常見併發症為高血壓發生率為10.6%~38.1%;部分病例可長期無症狀逐漸發展到後期腎功能不全進入尿毒症期。
科學診斷
B超檢測1.反流的診斷方法到目前為止排尿性膀胱尿路造影(MCU)仍為VUR檢測及分級的金標準即通過導尿管注入76%泛影葡胺100ml加生理鹽水500ml,在X線透視監測下,令病人排尿,觀察膀胱尿液有否向上反流。反流分為5級。1級:尿液反流只達到輸尿管下1/3段;2級:尿液反流達到輸尿管、腎盂及腎盞但無擴張,腎盂穹窿正常;3級:輸尿管輕度擴張或中度擴張和(或)扭曲,腎盂輕度或中度擴張,但無(或)輕度穹窿變鈍;4級:輸尿管中度擴張和(或)扭曲,腎盂中度擴張穹窿銳角完全消失但大部分腎盞保持乳頭壓痕;5級:輸尿管嚴重擴張和扭曲腎盂腎盞嚴重擴張,大部分腎盞不能看見乳頭壓痕。
(1)核素:99鎝-二乙三胺五醋酸(99m鎝-DTPA)是一種簡單方便無創傷性的檢查方法,常用間接法:從靜脈中注入小劑量99鎝(99mTc)囑病人多飲水,約2h後攝片。間接法的優點是符合生理狀態及正常排尿機制;不需插導尿管;同時可獲得腎解剖形態和功能情況;對僅存在於尿路感染急性期的VUR有重要診斷意義缺點是有局限性;小孩或不合作者有困難;高壓反流方能檢出率高;檢查需時長;腎功能不好時檢查受干擾。
(2)超音波:B超檢測VUR是一種與MCU之間有良好相關性較新的方法晚近亦有報導用彩色都卜勒檢測輸尿管開口位置作為尿感兒童合併VUR的篩選試驗。
(3)膀胱鏡:對VUR已消失而靜脈腎盂造影發現腎瘢痕者如膀胱鏡檢查時觀察到輸尿管口的形態及位置改變則對RN的診斷有幫助。
2.反流腎診斷方法
(1)大劑量靜脈腎盂造影(IVP)並X線斷層照片:為傳統的RN診斷方法可顯示腎輪廓長度皮質厚度、乳頭形態與杵狀腎盞對應的腎表面不規則瘢痕,後者為RN的標誌
(2)核素腎掃描:99鎝-二巰基丁二酸(99mTc-DMSA)腎掃描技術檢測RN,對腎瘢痕診斷亦有幫助。
(3)超音波:可發現腎皮質瘢痕形成,皮質變薄腎盂變形但因有第12肋骨的干擾,顯示腎上極瘢痕有困難。
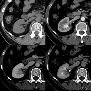
(4)電子計算機X線體層掃描(CT):能較準確的檢測腎皮質瘢痕。
3.RN的診斷標準為
(1)大劑量靜脈腎盂造影加X線斷層照片的改變:
①腎盞杵狀變形及鄰近皮質瘢痕形成。
②腎皮質變薄常發生於腎兩極單側或雙側腎體積縮小或形態學上不相稱(兩腎長度相差1.5cm)。
③腎盂、腎盞輸尿管擴張,而無器質性梗阻。
(2)可發現不同程度的VUR但有約半數成人病例可無VUR。
(3)排除繼發性VUR此時VUR常是雙側性的。
應該著重指出的是多年來被認為是“慢性非梗阻性萎縮性腎盂腎炎”的一側或雙側有瘢痕的固縮腎,其實是反流性腎臟病。
實驗室檢查:
1.尿液檢查尿路感染時沉渣檢查可見白細胞尿或膿尿,尿細菌培養陽性;尿中可見白細胞紅細胞管型以及腎小管性蛋白尿鏡下血尿尿比重和尿滲透壓明顯下降等腎損害的表現尿NAG酶升高尿β2-m升高。濃縮功能減退和β2微球蛋白重吸收減少提示小管功能受損蛋白尿多於1g/d時,提示本病繼發局灶節段性腎小球硬化。
2.血液檢查可見血白細胞增高、核左移等全身感染性症狀Tamm-Hosfall抗體陽性,IgG升高發生急性腎功能減退時可有氮質血症和血肌酐水平升高當濃縮能力下降時可出現高鈉血症。
其它輔助檢查:
1.腎活檢本病典型病例的病理改變主要是皮質乳頭瘢痕形成腎盞擴張、扭轉病變以腎下極和上極最顯著,病變可為單側或雙側,腎臟直徑有不同程度的縮小,也可到極度萎縮。如大量反流繼續存在可見輸尿管擴張、彎曲。
兒童時期因VUR而發生的腎臟萎縮類似於梗阻性病變腎縮小兩個標準差的患兒82%有中度(Ⅳ級)至重度(Ⅴ級)反流瘢痕形成見於88%的患兒。由於腎極部位的乳頭主要為複合易反流類型,故瘢痕易見但瘢痕也可在其他葉見到。
本病腎組織學損害實際上與慢性腎盂腎炎無明顯區別可見淋巴細胞浸潤間質纖維化、小管退行性改變萎縮,小管內常有膠質管型部分呈小管囊性擴張,小球玻璃樣變或消失小動脈和葉間動脈由於收縮和內膜增厚而阻塞部分病例在外髓帶和皮質可見含Tamm-Horsfall蛋白的淡染物質。這種病灶常被聚積的淋巴細胞和漿細胞包圍在有尿路感染的病例皮質萎縮常伴嚴重的呈放射狀分布的炎症反應並可從受損的髓質延伸到整個小葉,此時常見患腎縮小腎盂腎盞擴張,皮質變薄腎表面有局灶性瘢痕。
有嚴重蛋白尿的成人病例常見局灶-節段性腎小球硬化伴IgM和C3沉積文獻報導50%的患者輸尿管黏膜下和鄰近肌層可見炎性細胞浸潤主要為淋巴細胞和漿細胞。
光鏡檢查可見腎小管萎縮腎間質纖維化有淋巴細胞浸潤,在皮質及外髓可見內含THP圓形的染色物晚期病變可見腎小球局灶性硬化螢光鏡可見部分腎小球內有IgMIgG和C3沉積。電鏡檢查可見內皮下電子緻密沉積物。
慢性反流性腎病(1)尿路造影:本病最典型的改變是與扭曲的腎盞對應的皮質局灶性瘢痕。殘餘小葉可代償性肥大,呈現假性腫瘤影像,一般而言,患者尿路造影表現典型,呈現為“標準”影像。腎臟瘢痕對應扭曲且杵狀膨大的腎盞正常皮質與之交替,在假性輸尿管腎盂連線部梗阻時腎臟輪廓可能無特殊。當病變部位嚴重萎縮覆蓋杵狀腎盞的皮質變薄其他部位代償性肥大時腎輪廓也可無特殊
(2)超音波:超音波檢查顯示腎外形不規則,纖維瘢痕部位表現為反射增強代償性肥大部位反射正常。94%的病例超聲與排泄性尿路造影檢查結果具有一致性。超聲檢查探測腎乳頭形態的靈敏性不如靜脈內腎盂造影但能靈敏探測腎臟瘢痕靜脈內腎盂造影對此效果差
(3)腎掃描:腎掃描可作為診斷反流性腎病的補充手段。最常用的放射性核素是99Tc該核素具有良好的物理特性。現有3種不同的99Tc標記複合物可用於臨床。
①99Tc標記的DTPA複合物(dietylenetriamine-pentaceticacid)由腎小球濾過,在腎皮質無明顯停留因此特別有利於評價集合系統功能和測定總的和單個腎小球濾過率。
②99Tc標記的DMSA(dimercaptosuccinicacid)緩慢隨尿排泄而逐漸緩慢地在有功能的腎皮質聚積,DMSA掃描缺損反映出該處因缺血損害而低灌注或損害部位近端小管排出放射性核素減少。
③99Tc標記的葡庚糖酸鹽具有以上兩者的優點:多數被排泄進入腎盂腎盞系統但一部分被保留在腎皮質注射後2~3h的延遲顯影對檢測急性腎盂腎炎以及皮質瘢痕特別有利但對輕度腎盞異常的診斷效果不如靜脈內腎盂造影。
(3)X線排泄性膀胱尿道造影(VCUG):VCUG是檢查反流的傳統方法對尿道和膀胱壁異常的診斷以及反流的精確分級很有價值,但該檢查有創傷性和痛苦性並可能將細菌引入尿道數字減影在排泄性膀胱尿道造影的套用提高了診斷反流的靈敏度和精確性。
(4)放射性核素膀胱造影放射性核素膀胱造影由VCUG發展而來,其在性腺的放射劑量很低,在國外多家兒童醫院已成為可供選擇的檢查方法之一該項檢查技術上與VCUG相似在尿道導管插入後將小量99Tc滴注入膀胱然後用生理鹽水充盈膀胱,在膀胱充盈排尿和排空時攝取膀胱和上腹部的系列影像。比較核素膀胱造影和放射性X線排泄性膀胱尿道造影(VCUG),前者現被認為是篩查反流和判斷手術效果最有效的篩查方法,其優點是放射劑量低;靈敏度高;可取得VCUG不能取得的數據參數如殘餘容量、反流量、反流時膀胱容量等。核素膀胱造影的缺點有不能評價尿道情況;不能按國際分級標準進行分級;也不能顯示輕微膀胱壁異常如小憩室等選擇核素膀胱造影的適應證如下:
①反流患者接受內科治療或術後的隨訪檢查。
②對反流兒童無症狀同胞的篩查。
③對易患膀胱輸尿管反流患兒(如脊髓脊膜膨出或其他功能性膀胱疾病)的系統檢查。
④患UTI的女性患兒的初步篩選。
(5)電子計算機X線體層掃描(CT):對檢測腎皮質瘢痕較準確惟價格較昂貴。
治療預防
甲氧苄氨嘧啶當輸尿管膀胱結合處發育成熟時2/3的反流會消失,所以對於反流患者主要是對感染進行治療防止上尿路受損害同時要注意並處理膀胱下梗阻。
抗高血壓治療是反流性腎病治療的重要方面研究表明持續的高度反流和尿路感染以及同時存在的高血壓是促進腎功能損害發展到終末腎功能衰竭的因素。
蛋白尿是腎功能損害最重要的標誌。認識到,蛋白尿提示並發的小球病變可在無並發感染和高血壓的情況下或在外科手術糾正反流之後進行性發展。
抗反流手術不影響腎小球病變的發展,局灶節段性腎小球硬化是本病向腎功能衰竭發展的重要因素因此對原發輸尿管反流首先考慮保守治療只有在足夠的藥物治療後感染仍復發以及上尿路有病變時才考慮防止反流的手術。當膀胱壁段輸尿管直徑正常時,8cm長的黏膜下隧道就可防止反流。
Smith研究了單側腎受累、高血壓與腎切除的關係,結論認為即使單側腎顯著受累,腎切除仍應慎重。
對於神經疾病引起的下尿路功能障礙,間歇膀胱插管、預防性抗生素治療和抗膽鹼能因子的聯合治療在部分病例能成功地防止逼尿肌高度緊張狀態。
在脊髓損傷患者降低膀胱出口阻力的措施如α-腎上腺素能阻斷藥物和橫紋肌解痙藥治療或外科套用內鏡分離尿道外括約肌或套用新近發展的尿道環或管支撐尿道能減少和消除反流。間歇膀胱插管也可套用。
葉任高等專家認為,發生在嬰幼兒的VUR很多會自行緩解,但如VUR持續至青春期或嚴重的VUR,則極少能自行緩解。目前的主張是內科療法更為可取,外科反流手術要嚴格適應證並慎重採取。
1.內科治療
(1)防治尿路感染:定期排空膀胱最重要的是2次排尿(5min內第2次排尿);長程低劑量抑菌療法治療,最常用每晚睡前排尿後服磺胺甲噁唑/甲氧苄啶(複方新諾明)半片連用6個月然後停藥觀察若尿感又復發則重新開始治療療程1~2年對磺胺過敏者可單用甲氧苄啶(甲氧苄氨嘧啶)50~100mg每晚服。亦可用喹諾酮類藥物,如氧氟沙星(氟嗪酸)每晚服0.1g
(2)防治脫水:應飲入充足水分因為這種病人不能排出濃縮尿,所以,臨床上很易脫水;另因多飲水可降低腎髓質高滲狀態,有利於感染控制。
(3)積極抗高血壓治療:使用高血壓新階梯療法(參見腎實質性高血壓)。
(4)中醫藥治療:常用的基本方劑是補陽還五湯:北芪30g、當歸尾9g、赤芍10g、川芎6g地龍9g、桃仁9g、紅花9g隨證加減化裁本方能補氣活血,化瘀通絡適用於氣虛血滯,脈絡瘀阻的證候。
2.外科治療其手術適應證僅限於:
(1)重度反流尤其雙側反流者。先行內科保守治療4年如反流仍持續或有進行性腎功能減退或新瘢痕形成者。
(2)反覆尿路感染尤其有發熱症狀的暴發性感染,經內科治療4個月VUR無改善者。
(3)輸尿管口呈高爾夫洞穴樣改變。
(4)可用手術糾正的先天性異常或尿路梗阻。
對成人VUR是否選擇手術治療目前仍有分歧。有人建議,成人反流病人,如有無症狀菌尿或排尿障礙應考慮手術治療。此外,晚近許多作者推薦使用經內鏡下注射聚四氟乙烯(特氟隆teflon)治療VUR,據報告兒童的成功率為87%~93%,成人為73%
腎小球晚近研究表明RN的預後與蛋白尿、局灶性節段性腎小球硬化和進行性腎功能減退有重要關係。蛋白尿的程度與有無腎小球損傷及腎小球損傷的程度有很明顯相關性。進行性腎小球硬化是RN慢性腎衰發生的最主要的決定因素。
預防:
本病為多種病因引起的疾病,預防應從防治原發疾病入手,對於易引起反流的疾病,要認真檢查明確診斷並積極對症治療,以防反流性腎病發生和進行性加重。
