簡介
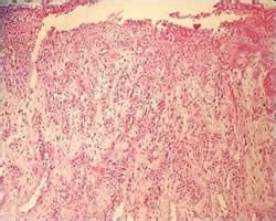
肉芽組織鏡下可見大量由內皮細胞增生形成的實性細胞索及擴張的毛細血管,向創面垂直生長,並以小動脈為軸心,在周圍形成袢狀彎曲的毛細血管網。在毛細血管周圍有許多新生的纖維母細胞,此外常有大量滲出液及炎性細胞。炎性細胞中常以巨噬細胞為主,也有多少不等的中性粒細胞及淋巴細胞,因此肉芽組織具有抗感染功能。巨噬細胞能分泌PDGF、FGF、TGF-β、IL-1及TNF,加上創面凝血時血小板釋放的PDGF,進一步刺激纖維母細胞及毛細血管增生。巨噬細胞及中性粒細胞能吞噬細菌及組織碎片,這些細胞破壞後釋放出各種蛋白水解酶,能分解壞死組織及纖維蛋白,肉芽組織中毛細血管內皮細胞亦有吞噬能力,並有強的纖維蛋白溶解作用。
構造特點
肉芽組織構造2.鏡下觀察,基本結構為:①大量新生的毛細血管,平行排列,均與表面相垂直,並在近表面處互相吻合形成弓狀突起,肉眼呈鮮紅色細顆粒狀。②新增生的纖維母細胞散在分布於毛細血管網路之間,很少有膠原纖維形成。③多少不等的炎性細胞浸潤於肉芽組織之中。肉芽組織內常含一定量的水腫液,但不含神經纖維,故無疼痛。
功能
1. 抗感染保護創面。在傷口有感染的情況下,肉芽組織可對感染及異物進行分解、吸收,以消除感染、清除異物,保護傷口潔淨,利於癒合。
2. 機化或包裹壞死、血栓、炎性滲出物及其他異物。 肉芽組織向傷口生長的過程也是對傷口中血凝塊和壞考試,大網站收集死組織等異物的置換過程。只有當血凝塊和壞死組織被肉芽組織完全機化後,才能為傷口癒合創造良好的條件,否則將會影響癒合過程。
3. 填補傷口及其他組織缺損。機化(organization)是指由新生的肉芽組織吸收並取代各種失活組織或其它異物的過程。最後肉芽組織成熟,轉變為纖維瘢痕組織。包裹(encapsulation)是一種不完全的機化。即在失活組織或異物不能完全被機化時,在其周圍增生的肉芽組織成熟為纖維結締組織形成包膜,將其與正常組織隔離開。
結局
肉芽組織在組織損傷後2~3天內即可開始出現,填補創口或機化異物。隨著時間的推移,肉芽組織按其生長的先後順序,逐漸成熟。其主要形態標誌為:水分逐漸吸收;炎性細胞減少並逐漸消失;毛細血管閉塞、數目減少。最終肉芽組織成熟為纖維結締組織並轉變為瘢痕組織。

