簡介
組織細胞增殖症
組織細胞增殖症嬰兒惡性網織細胞增殖症發病年齡在3歲以下臨床表現有發熱、中耳炎、復發性細菌感染貧血和出血。此外,還有肝脾腫大廣泛性無痛性周圍淋巴結腫大、溶骨改變及脂溢性濕疹等。
嗜酸性肉芽腫位於顱骨者一般表現為內外板溶骨性破壞骨質似被挖除,周圍無硬化或骨膜反應。其狀如地圖故稱“地圖顱”。
脊柱骨因發生病理性骨折椎體部分壓縮呈楔形椎,以後完全壓縮,只剩上下緣皮質椎體高度減少,但在水平方向並不擴散。上下椎間隙保持不變椎體間不發生自發融合,偶而在椎旁可出現軟組織梭形腫塊,患椎密度加大呈圓盤狀,故一般將脊椎骨嗜酸性肉芽腫典型X線表現描寫為扁平椎,顱似椎體軟骨病。
化學成分
組織細胞增殖症一、水與無機鹽
水是原生質最基本的物質
水在細胞中不僅含量最大,而且由於它具有一些特有的物理化學屬性,使其在生命起源和形成細胞有序結構方面起著關鍵的作用。可以說,沒有水,就不會有生命。水在細胞中以兩種形式存在:一種是游離水,約占95%;另一種是結合水,通過氫鍵或其他鍵同蛋白質結合,約占4%~5%。隨著細胞的生長和衰老,細胞的含水量逐漸下降,但是活細胞的含水量不會低於75%。
水在細胞中的主要作用是,溶解無機物、調節溫度、參加酶反應、參與物質代謝和形成細胞有序結構。水之所以具有這么多的重要功能是和水的特有屬性分不開的。
無機鹽
細胞中無機鹽的含量很少,約占細胞總重的1%。鹽在細胞中解離為離子,離子的濃度除了具有調節滲透壓和維持酸鹼平衡的作用外,還有許多重要的作用。
主要的陰離子有Cl—、PO4—和HCO3—,其中磷酸根離子在細胞代謝活動中最為重要:①在各類細胞的能量代謝中起著關鍵作用;②是核苷酸、磷脂、磷蛋白和磷酸化糖的組成成分;③調節酸鹼平衡,對血液和組織液pH起緩衝作用。
細胞的有機分子
細胞中有機物達幾千種之多,約占細胞乾重的90%以上,它們主要由碳、氫、氧、氮等元素組成。有機物中主要由四大類分子所組成,即蛋白質、核酸、脂類和糖,這些分子約占細胞乾重的90%以上。
蛋白質
在生命活動中,蛋白質是一類極為重要的大分子,幾乎各種生命活動無不與蛋白質的存在有關。蛋白質不僅是細胞的主要結構成分,而且更重要的是,生物專有的催化劑——酶是蛋白質,因此細胞的代謝活動離不開蛋白質。一個細胞中約含有104種蛋白質,分子的數量達1011個。
核酸
組織細胞增殖症DNA有三種主要構象
B-DNA:為Watson&Click提出的右手螺鏇模型,每圈螺鏇10個鹼基,螺鏇扭角為36度,螺距34A,每個鹼基對的螺鏇上升值為3.4A,鹼基傾角為-2度。
A-DNA:為右手螺鏇,每圈螺鏇10.9個鹼基,螺鏇扭角為33度,螺距32A,每個鹼基對的螺鏇上升值為2.9A,鹼基傾角為13度。
Z-DNA:為左手螺鏇,每圈螺鏇12個鹼基,螺鏇扭角為-51度(G—C)和-9度(C—G),螺距46A,每個鹼基對的螺鏇上升值為3.5A(G—C)和4.1A(C—G),鹼基傾角為9度。
糖類
細胞中的糖類既有單糖,也有多糖。細胞中的單糖是作為能源以及與糖有關的化合物的原料存在。重要的單糖為五碳糖(戊糖)和六碳糖(己糖),其中最主要的五碳糖為核糖,最重要的六碳糖為葡萄糖。葡萄糖不僅是能量代謝的關鍵單糖,而且是構成多糖的主要單體。
多糖在細胞結構成分中占有主要的地位。細胞中的多糖基本上可分為兩類:一類是營養儲備多糖;另一類是結構多糖。作為食物儲備的多糖主要有兩種,在植物細胞中為澱粉(starch),在動物細胞中為糖元(glycogen)。在真核細胞中結構多糖主要有纖維素(cellulose)和幾丁質(chitin)。
脂類
脂類包括:脂肪酸、中性脂肪、類固醇、蠟、磷酸甘油酯、鞘脂、糖脂、類胡蘿蔔素等。脂類化合物難溶於水,而易溶於非極性有機溶劑。
中性脂肪
①甘油酯:它是脂肪酸的羧基同甘油的羥基結合形成的甘油三酯(triglyceride)。甘油酯是動物和植物體內脂肪的主要貯存形式。當體內碳水化合物、蛋白質或脂類過剩時,即可轉變成甘油酯貯存起來。甘油酯為能源物質,氧化時可比糖或蛋白質釋放出高兩倍的能量。營養缺乏時,就要動用甘油酯提供能量。
②蠟:脂肪酸同長鏈脂肪族一元醇或固醇酯化形成蠟(如蜂蠟)。蠟的碳氫鏈很長,熔點要高於甘油酯。細胞中不含蠟質,但有的細胞可分泌蠟質。如:植物表皮細胞分泌的蠟膜;同翅目昆蟲的蠟腺、如高等動物外耳道的耵聹腺。
磷脂
磷脂對細胞的結構和代謝至關重要,它是構成生物膜的基本成分,也是許多代謝途徑的參與者。分為甘油磷脂和鞘磷脂兩大類。
糖脂
糖脂也是構成細胞膜的成分,與細胞的識別和表面抗原性有關。
萜類和類固醇類
這兩類化合物都是異戊二烯(isoptene)的衍生物,都不含脂肪酸。
生物中主要的萜類化合物有胡蘿蔔素和維生素A、E、K等。還有一種多萜醇磷酸酯,它是細胞質中糖基轉移酶的載體。
類固醇類(steroids)化合物又稱甾類化合物,其中膽固醇是構成膜的成分。另一些甾類化合物是激素類,如雌性激素、雄性激素、腎上腺激素等。
酶與生物催化劑
組織細胞增殖症酶是蛋白質性的催化劑,主要作用是降低化學反應的活化能,增加了反應物分子越過活化能屏障和完成反應的機率。酶的作用機制是,在反應中酶與底物暫時結合,形成了酶——底物活化複合物。這種複合物對活化能的需求量低,因而在單位時間內複合物分子越過活化能屏障的數量就比單純分子要多。反應完成後,酶分子迅即從酶——底物複合物中解脫出來。
酶的主要特點是:具有高效催化能力、高度特異性和可調性;要求適宜的pH和溫度;只催化熱力學允許的反應,對正負反應的均具有催化能力,實質上是能加速反應達到平衡的速度。
某些酶需要有一種非蛋白質性的輔因子(cofactor)結合才能具有活性。輔因子可以是一種複雜的有機分子,也可以是一種金屬離子,或者二者兼有。完全的蛋白質——輔因子複合物稱為全酶(holoenzyme)。全酶去掉輔因子,剩下的蛋白質部分稱為脫輔基酶蛋白(apoenzyme)。
病理原因
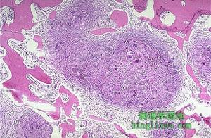
組織細胞增殖症黃色瘤病的主要病變為組織細胞增生可見網織細胞,泡沫細胞及Touton型巨細胞。泡沫細胞也稱黃色細胞有針狀膽固醇結晶。嗜酸性粒細胞不明顯。有的部位有肉芽組織分化差,可有少數核分裂。組織細胞以後被成纖維細胞代替形成結締組織,有的介於泡沫細胞之間,代替肉芽組織。
在同一患者同一處病變在不同時期,病理可以不同,如開始時為以嗜酸性粒細胞為主的組織細胞肉芽腫但幾年後可轉變為以泡沫細胞為主的含脂質肉芽腫,因此不能單純根據泡沫細胞之有無來確診黃色瘤病。即使在嬰兒網織細胞增殖症偶而也能見到泡沫細胞,只是因為病變發展較快來不及形成,所以顯得稀少。
組織細胞增殖症可合併肺內病變後者也可單獨發生。肺內開始為間質性肉芽腫,隨後組織細胞侵入小動脈和細支氣管遠端發生阻塞性肺氣腫,形成囊腫和大泡以致破裂。肺間質性肉芽腫內有許多嗜酸性粒細胞中性粒細胞及淋巴細胞浸潤。
治療措施
組織細胞增殖症黃色瘤病,嬰兒惡性網織細胞增生症採用放射治療,使顱骨破壞區修復並硬化,照射眼眶部,使突出眼球退縮;照射碟鞍區,使破壞修復,症狀均有改善。
有尿崩症者,給予垂體激素後,尿量減少,尿比重有所改進。
對瀰漫性嗜酸性肉芽腫,套用長春新鹼,每3周靜脈給予10mg,共8.5個月。
有的作者建議,如用皮質類固醇對黃色瘤病及嬰兒惡性網織細胞增殖症無效,可給予氮芥或氨甲喋呤,能暫時改善症狀。少量多次輸新鮮全血可糾正貧血。
病理改變
組織細胞增殖症黃色瘤病的主要病變為組織細胞增生,可見網織細胞,泡沫細胞及Touton型巨細胞。泡沫細胞也稱黃色細胞,有針狀膽固醇結晶。嗜酸性粒細胞不明顯。有的部位有肉芽組織,分化差,可有少數核分裂。組織細胞以後被成纖維細胞代替,形成結締組織,有的介於泡沫細胞之間,代替肉芽組織。
在同一患者,同一處病變在不同時期,病理可以不同,如開始時為以嗜酸性粒細胞為主的組織細胞肉芽腫。但幾年後可轉變為以泡沫細胞為主的含脂質肉芽腫,因此不能單純根據泡沫細胞之有無來確診黃色瘤病。即使在嬰兒網織細胞增殖症,偶而也能見到泡沫細胞,只是因為病變發展較快來不及形成,所以顯得稀少。
組織細胞增殖症可合併肺內病變,後者也可單獨發生。肺內開始為間質性肉芽腫,隨後組織細胞侵入小動脈和細支氣管遠端,發生阻塞性肺氣腫,形成囊腫和大泡以致破裂。肺間質性肉芽腫內有許多嗜酸性粒細胞、中性粒細胞及淋巴細胞浸潤。
臨床表現
組織細胞增殖症嬰兒惡性網織細胞增殖症發病年齡在3歲以下,臨床表現有發熱、中耳炎、復發性細菌感染、貧血和出血。此外,還有肝脾腫大、廣泛性無痛性周圍淋巴結腫大、溶骨改變及脂溢性濕疹等。
輔助檢查
組織細胞增殖症脊柱骨因發生病理性骨折,椎體部分壓縮呈楔形椎,以後完全壓縮,只剩上下緣皮質,椎體高度減少,但在水平方向並不擴散。上下椎間隙保持不變,椎體間不發生自發融合,偶而在椎旁可出現軟組織梭形腫塊,患椎密度加大,呈圓盤狀,故一般將脊椎骨嗜酸性肉芽腫典型X線表現描寫為扁平椎,顱似椎體軟骨病。
對於X線片顯示扁平椎,在診斷為骨嗜酸性肉芽腫時應慎重。適合下述標準才能診斷,即:
(1)只有一個椎體累及;
(2)患椎上下椎間隙正常;
(3)壓縮椎體密度一致。肺部X線表現似支氣管炎或支氣管擴張,肺內有彌散網狀結節浸潤,自肺門向四周呈密集細條狀放射,且有彌散性爪狀物,嚴重者呈蜂窩狀,肺門增大而紋密。
預後5歲以下兒童單發病變,如在頭6~12個月內,病變不繼續擴展,其他部位未再發現新的病灶,一般預後較好。如在病程中出現貧血或肝脾腫大,多表示病變趨於惡化。嬰兒惡性網織細胞增殖症預後不佳;很少有長期存活者,如同時有肺內病變,死亡率高。
相關詞條
化學醫理術語
| 關於一些化學,醫學方面的知識,我們的里了解都不是很全面,在日常生活里又起著很大的作用,我們有必要對此有一定的認知。 |
