動脈粥樣硬化
泡沫細胞是動脈粥樣硬化斑塊內出現的特徵性病理細胞,主要來源於血液單核細胞與血管中膜平滑肌細胞。
在動脈粥樣硬化形成早期,單核細胞通過內皮間隙,在內膜下分化為巨噬細胞,後者通過A型清道受體吞噬大量氧化修飾的低密度脂蛋白,導致細胞內脂質堆積,形成泡沫細胞。泡沫細胞堆積形成脂質條紋乃至脂質斑塊。建立穩定的人類單核細胞源性泡沫細胞模型,對研究動脈粥樣硬化有重要的意義。
泡沫細胞形成是動脈粥樣硬化形成的早期事件,在血管內皮發生損傷的情況下,血液中的單核細胞通過內皮間隙,在內膜下轉化為巨噬細胞。巨噬細胞介導滲入血管內皮下的低密度脂蛋白膽固醇發生氧化修飾,形成氧化型低密度脂蛋白膽固醇,並主要通過A型清道受體吞噬大量氧化型低密度脂蛋白膽固醇,導致細胞內脂質堆積,形成泡沫細胞[。越來越多的泡沫細胞堆積在一起形成脂質條紋乃至脂質斑塊。
乳房溢液的細胞學檢測中也可呈現出泡沫細胞。但不能說明有乳房病變。
麻風瘤型
泡沫細胞來源於巨噬細胞,在吞噬麻風桿菌後,麻風桿菌的脂質聚集於巨噬細胞漿內,乃使後者呈泡沫狀。抗酸染色可見泡沫細胞內含多量麻風桿菌,甚至聚集成堆,形成所謂麻風球(globus leprosus)。
瘤型麻風(lepromatous leprosy)本型約占麻風患者的20%,因皮膚病變常隆起於皮膚表面,故稱瘤型。本型的特點是患者對麻風桿菌的細胞免疫缺陷,病灶內有大量的麻風桿菌,傳染性強,除侵犯皮膚和神經外,還常侵及鼻黏膜、淋巴結、肝、脾以及睪丸。病變發展較快。
(1)皮膚:初起的病變為紅色斑疹,以後發展為高起於皮膚的結節狀病灶,結節境界不清楚,可散在或聚集成團塊,常潰破形成潰瘍。多發生於面部、四肢及背部。面部結節呈對稱性,耳垂、鼻、眉弓的皮膚結節使面容改觀,形成獅容(facies leontina)。
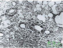
鏡下,病灶為由多量泡沫細胞(foamy cell)組成的肉芽腫,夾雜有少量淋巴細胞。泡沫細胞來源於巨噬細胞,在吞噬麻風桿菌後,麻風桿菌的脂質聚集於巨噬細胞漿內,乃使後者呈泡沫狀。抗酸染色可見泡沫細胞內含多量麻風桿菌,甚至聚集成堆,形成所謂麻風球(globus leprosus)。病灶圍繞小血管和附屬檔案,以後隨病變發展而融合成片,但表皮與浸潤灶之間有一層無細胞浸潤的區域(圖18-18),這是結核樣型麻風所沒有的。由於患者對麻風桿菌的細胞免疫缺陷,病灶內不出現類上皮細胞,淋巴細胞也很少。經治療病變消退時,麻風桿菌數量減少,形態也由桿狀變為顆粒狀,泡沫細胞減少或融合成空泡,纖維組織增生。最後病灶消退僅留瘢痕。
(2)周圍神經:受累神經也變粗,鏡下,神經纖維間的神經束衣內有泡沫細胞和淋巴細胞浸潤,抗酸染色可在泡沫細胞和Schwann細胞內查得多量麻風桿菌。晚期,神經纖維消失而被纖維瘢痕所代替。神經病變的臨床表現和結核樣型相似。
(3)黏膜:鼻、口腔,甚至喉和陰道黏膜均可受累,尤以鼻黏膜最常發生病變。
(4)臟器:肝、脾、淋巴結和睪丸等臟器常被瘤型麻風波及,可伴有肝、脾和淋巴結的腫大。鏡下皆見泡沫細胞浸潤。睪丸的曲細精管如有泡沫細胞浸潤,可使精液含有麻風菌而通過性交傳染他人。

