漿細胞瘤漿細胞瘤是一種發生於單一部位骨或軟組織單克隆性漿細胞增殖性疾病,占所有漿細胞腫瘤性疾病的5-10%。漿細胞瘤與多發性骨髓瘤具有相似的細胞遺傳學特徵和免疫表型,但病變具有限局性,根據所累及的部位而表現出不同的症狀和體徵。根據發病部位將漿細胞瘤分為骨孤立性漿細胞瘤和髓外漿細胞瘤,二者的臨床表現和轉歸既有相似性,又有不同之處。平均發病年齡較多發性骨髓瘤年輕,男性多於女性。病理特點為單克隆性漿細胞的增殖,但無骨髓侵犯,無高鈣血症和腎功能受損。多數患者對放療敏感,對於骨孤立性漿細胞瘤,單一放療可使病情得到長期有效的控制;對於髓外漿細胞瘤,手術和放療是比較合適的選擇。該病病程較長,預後較好。部分病例可轉化為多發性骨髓瘤。主要從細胞的重要性、治療措施、病理改變、臨床表現、輔助檢查及鑑別診斷等方面來說明。
細胞的重要性
細胞 細胞是由膜包圍著含有細胞核(或擬核)的原生質所組成, 是生物體的結構和功能的基本單位, 也是生命活動的基本單位。細胞能夠通過分裂而增殖,是生物體個體發育和系統發育的基礎。細胞或是獨立的作為生命單位, 或是多個細胞組成細胞群體、組織、器官,進而各部分相互作用、相互配合,具有一定的結構及功能,形成系統和個體(動物,主要為人體);細胞還能夠進行分裂和繁殖;細胞是遺傳的基本單位,並具有遺傳的全能性(但在基因的表達上,具有選擇性)。細胞內有成形細胞核的是真核生物(並不是細胞的任何時期都具有成形核),反之,則是原核生物(無成形核,但有擬核,或叫核區)。細胞學是研究細胞結構和功能的生物學分支學科。
細胞是組成有機體的形態和功能的基本單位,自身又是由許多部分構成的。所以關於細胞結構的研究不僅要知道它是由哪些部分構成的,而且要進一步搞清每個部分的組成。相應地,關於功能不僅要知道細胞作為一個整體的功能,而且要了解各個部分在功能上的相互關係。
有機體的生理功能和一切生命現象都是以細胞為基礎表達的。因此,不論對有機體的遺傳、發育以及生理機能的了解,還是對於作為醫療基礎的病理學、藥理學等以及農業的育種等,細胞學都至關重要。
治療措施
治療為化療,最有效的化療藥物是環磷醯胺和苯丙氨酸氮芥,可聯用皮質類固醇激素(強的松)、長春新鹼、阿黴素和其它抗腫瘤藥物。 當有大且局限的溶骨病灶時,放療可減輕疼痛、緩解脊髓壓迫症狀、預防病理骨折。年輕患者可套用同種骨髓移植術。 手術適用於初發癱瘓者的脊髓減壓和治療及預防病理骨折(骨接合術、骨水泥接合術,人工假體或關節假體置換)。 孤立性骨髓瘤由於其特點常用放療或外科手術切除(廣泛性切除)治療,也可聯合套用放療和手術。
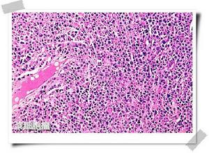
病理改變
1.肉眼所見 骨髓瘤與完全或幾乎完全為細胞組成的腫瘤相似,表現為灰色或紅色,質軟,呈髓樣,有時可為液性改變。腫瘤組織廣泛侵潤髓腔,可形成圓形的腫瘤結節,並逐漸增大、融合。部分播散性病變和大部分單發性病變可形成巨大的瘤塊,常有出血、囊性變及壞死改變,腫瘤組織侵透皮質骨向外膨脹。在脊柱,腫瘤膨脹可壓迫脊髓和神經根。 2.鏡下所見 腫瘤組織由密集的細胞簇組成,幾乎沒有細胞間基質。 腫瘤細胞可以辨認為是漿細胞,至少部分腫瘤細胞可以辨認為是漿細胞。這些細胞的胞漿豐富,色深染,嗜鹼性,界線清晰。細胞核為圓形,偏心性,有清晰的核周暈(為一非常發達的高爾基體)。染色質呈塊狀,明顯朝向核膜(車輪狀或豹皮樣核)。有時在電鏡下於胞漿內或胞漿外可見到方形或三角形的結晶。在這些或多或少的典型漿細胞周圍有些體積大的細胞,可有雙核。可見有絲分裂像。具有上述特徵的腫瘤為分化良好的漿細胞瘤。 在其餘的病例中,腫瘤的細胞有高度的異型性,非常不典型。以大細胞或巨大細胞為主,胞漿深染,可有大量的空泡,細胞核有明顯的多形性,伴染色過度,核仁大,可見病理分裂像,可見含有數個核或異形核的巨細胞。這些不典型的細胞散在於分化好、能夠被辨認為漿細胞的細胞。
臨床表現
講說 發病率很高,比骨肉瘤的發病率高。好發於男性,男女比例為1.5∶1。好發於成年人或老年人,通常在40~50歲以後發病,少見於30歲以前,不見青春期以前。 漿細胞瘤是起源於骨髓的全身性腫瘤,遲早要累及全身的大多數骨骼,特別是於成人期有紅骨髓的部位。這些區域是軀幹部位的海綿狀骨、顱骨和長骨的乾骺端,尤其是髖關節和肩關節周圍的海綿狀骨。 漿細胞瘤的骨骼播散不是同時發生的,也不是一致的。在漿細胞瘤的某個階段,一些骨骼容易受侵犯,而另一些則不,或其病灶只能在顯微鏡下看到。 發病初期為單一病灶局限於單一骨段的漿細胞瘤並不罕見,這種漿細胞瘤即是單發性漿細胞,雖然單一病灶可保持數年,但持續性單一病灶的單發性漿細胞少見,幾乎都會有骨骼播散,並導致死亡。單發性漿細胞瘤最常見的發生部位為脊柱(一個或兩個椎體),其次為軀幹骨及股骨近端。 首發症狀是模糊的或定位不清,可持續數周或數月,包括輕度骨疼痛、體質虛弱、體重下降或輕度貧血。患者常訴下背部疼痛,並可擴展到胸部。脊柱的疼痛常因運動而加重,椎旁肌肉可攣縮,叩擊棘突可誘發疼痛。一些下腰痛的病例,多發性骨髓瘤的腫瘤組織可壓迫神經根,引發坐骨神經或足的放射性疼痛。在輕度創傷或無明顯誘因的情況下,脊柱疼痛可變得非常劇烈,這是病理性椎體骨折的徵象。椎體受到廣泛侵犯時,可由於漸進性的或突然的脊髓壓迫發生結束癱,伴或不伴椎體壓縮骨折。 疼痛和病理骨折不常見於首發症狀中,這些症狀多發生在腫瘤已明顯的階段。 在進展期,可能有淺表骨的腫脹(肋骨、胸骨、鎖骨)、進行性體重下降、貧血、發熱、高血氮、出血傾向、高鈣血症和高尿酸血症、骨外腫瘤和澱粉樣變性所致的巨舌,少數病例有腎功能不全,嚴重者可致尿毒症。
輔助檢查
檢查 一.實驗室檢查
1.骨髓塗片 在漿細胞瘤的初期,診斷不明確時,骨髓塗片常能確診,但陰性並不能除外漿細胞瘤的可能。如果塗片有3%的漿細胞,就應懷疑漿細胞瘤的可能;如果有10%的漿,漿細胞瘤的可能性很大,但也可因肝臟感染或癌的骨轉移瘤而引起瀰漫性或轉移灶周圍的骨髓中的漿細胞增加;如果漿細胞百分比更高,最高可達70%,且在典型的漿細胞旁邊有異型漿細胞,如含大核或雙核的漿細胞,或不成熟、不典型的漿細胞,可確診為漿細胞瘤。漿細胞瘤的病程越進展,其細胞學的陽性發現率就越高。
2.血清蛋白 大多數病例的血清球蛋白增加,白蛋白/球蛋白比例倒置。即使總的球蛋白沒有增加,免疫電泳也顯示在α或γ球蛋白帶區域有一窄而尖的峰,是由於單克隆免疫球蛋白的增加所致。電泳的改變幾乎存在所有的播散性病例中,但於病變初期可無改變,特別是在單發性漿細胞瘤中。少數病例的血清電泳無表現,其而尿電泳有表現。 3.Bence-Jones蛋白尿 採用尿蛋白電泳和免疫蛋白電泳的方法檢測,其比傳統的加熱尿液的檢查方法敏感。Bence-Jones蛋白尿的陽性率不高,可見於分泌輕鏈球蛋白的漿細胞瘤(K鏈或L鏈)病例。
4.高鈣血症 骨髓瘤增生常可引起瀰漫性的骨吸收,導致血鈣升高。 高尿酸血症和氮血症常見。高尿酸血症是由於核酸代謝旺盛所致,可發生在所有骨髓過度增生的患者。高氮質血症是由於骨髓瘤的腎損害所致。
5.外周血變化 表現為貧血。白細胞一般無變化,但極少的病例可有明顯的白細胞增多,甚至有大量的漿細胞,這樣的病例被認為是漿細胞性白血病。
二.X線所見 影像學表現存在著潛伏期,病變於解剖上和影像上的表現程度不成比例,即使腫瘤組織已瀰漫侵犯骨髓腔,但骨小梁和皮質骨無明顯吸收,影像表現是陰性的。骨髓瘤腫瘤組織可破壞骨組織呈明顯的多孔改變,影像上表現為廣泛的骨質疏鬆和皮質骨變薄,特別在病變的初期及腫瘤侵犯脊柱。 在骨髓瘤的進展期,腫瘤組織不僅可廣泛地侵犯髓腔,並可形成插散性腫瘤結節,剛形成的腫瘤結節體積微小,以後增大並可融合,這些病理改變決定了漿細胞瘤典型的影像學表現,其表現為微小的蟲蝕狀、圓形的點狀溶骨、溶骨區融合後的泡沫狀及晚期廣泛的溶骨病變。典型的溶骨腔隙周圍無硬化邊緣,同時腫瘤組織可於骨的內部侵蝕皮質骨,使其變薄,部分區域可消失。 顱骨可有多孔性改變,非常細小,像聚集的針眼,表現毛玻璃樣影像,如病變進一步發展,可出現較多的播散性的大小不等的圓形溶骨,其進行性增大,並可融合。溶骨區為典型的穿鑿樣邊緣,顱骨的影像表現呈霧狀。 在脊柱,漿細胞瘤可表現為明顯的骨質疏鬆,椎體可出現壓縮改變,呈雙凹畸形,椎間隙相對增厚,彎曲度增加,於嚴重的骨質疏鬆中可存在有溶骨腔隙。典型的是溶骨腔隙也可位於椎體的後弓和肋骨。脊柱和肋骨的皮質骨可很薄,部分呈輕度泡狀膨脹,部分皮質骨可中斷。常見多個壓縮的椎體。盆骨的病變可有同樣的改變。 在長骨,漿細胞瘤可表現為骨質疏鬆、蟲蝕狀破壞和蜂窩狀、泡沫狀溶骨,腫瘤組織從內側侵潤皮質骨,使其變薄。溶骨可融合變大,破壞皮質骨,發生病理骨折,病理骨折主要發生於乾骺端,特別是四肢的近端。進展期,骨幹也可或多或少地被腫瘤組織侵犯。 在骨的單發性漿細胞瘤中,影像表現為局限的大塊溶骨區。其溶骨病變可為同源性起源,伴或不伴有皮質骨的侵犯;有時是由多發性點狀溶骨病灶融合而成的;有時可使骨膨脹,呈薄的皂泡狀溶骨腔隙。 骨掃描,可以是陰性的,甚至在影像上明顯表現為巨大的病變也可為陽性。
鑑別診斷
典型和晚期漿細胞瘤診斷容易,但早期的漿細胞瘤診斷困難。漿細胞瘤於早期可無疼痛,只有輕微的或不明顯的體徵,這種狀況可持續數月,甚至數年。 在臨床上,如40歲以上的患者出現骨骼隱痛或瀰漫性下腰痛、乏力、蒼白、輕度體重下降,應懷疑骨髓瘤的可能。 為確診漿細胞瘤,常需行的檢查有顱骨、脊柱、骨盆和肢體近端的X線片,骨掃描,血清蛋白電泳和免疫蛋白電泳(鈣血症,尿酸血症),尋找Bence-Jones蛋白尿蛋白和24小時尿的蛋白電泳(腎清除率),胸骨和髂骨的骨髓穿刺,於明顯溶骨的病例、有脊髓壓迫症的病例和單發性漿細胞瘤的病例中可行切開或針吸活檢。 血清免疫蛋白電泳是最重要的診斷性檢查,在大多數病例可顯示球蛋白的異常,單發性和瀰漫性漿細胞瘤病例很少為陰性。尿蛋白電泳在血清蛋白電泳為陰性的情況下可為陽性。 骨髓穿刺在病變的初期或單發性病變中可為陰性。骨髓穿刺結果只能顯示未分化的不典型成分,如僅有骨髓穿刺結果,則可誤診為淋巴瘤。
