簡介
漿細胞病
plasma cell dyscrasias
漿細胞增生失調性疾病,表現為一系列病理和生化改變。病因未明,可能與遺傳、病毒感染有關。漿細胞和免疫球蛋白(Ig) 在外周血液中,一般不見漿細胞,風疹麻疹、水痘、血清病、慢性感染與多發性骨髓瘤等患者的血液中偶可發現。部分多發性骨髓瘤患者晚期的血液中可出現大量漿細胞,發展為漿細胞白血病。
漿細胞存在於淋巴結、脾、胸腺、骨髓、腸黏膜等組織中,在正常骨髓中占全部有核細胞的3%以下。漿細胞來源於B細胞,經抗原的刺激,致活的B細胞發育成能製造並分泌抗體(即免疫球蛋白)的漿細胞。
免疫球蛋白(Ig)具有抗體活性,能與相應的抗原專一地結合,是生物體內普遍存在的一類蛋白質,統稱丙種(γ)球蛋白。1968年由世界衛生組織召開的國際會議決定用Ig表示動物體內具有抗體活性或與抗體有關的各種球蛋白。
Ig由淋巴細胞或漿細胞(漿細胞是高度分化的淋巴細胞)合成。每個漿細胞只能合成一種特異的Ig,具有相同的免疫特異性,稱為單細胞系或單克隆Ig。正常血清中抗體是5類Ig的混合物,每一類Ig都是成千上萬個在結構上既相似又有差別的混合物。
漿細胞病的單克隆漿細胞過度增殖,並大量產生一種類型的類似抗體的分子物。由於這些漿細胞和它們產生的抗體均是異常的,故不能幫助機體防禦感染。此外,正常抗體的產生通常減少,使機體更易招致感染。數目不斷增加的異常漿細胞能侵犯並損害各種組織和器官。 未定性單克隆丙種球蛋白增多症的漿細胞異常但非腫瘤性(惡性)。病人產生大量異常抗體但通常不引起明顯臨床表現。該病常可以穩定多年,一些病人長達25年,而無需治療。該病更多見於老年人。由於尚不清楚的原因,其中20%~30%的病人可發展成為漿細胞惡性腫瘤如多發性骨髓瘤。多發性骨髓瘤可以突然發生,並常常需要治療。另一種漿細胞病巨球蛋白血症也可以由未定性單克隆丙種球蛋白增多症發展而來。
分類
分惡性與性質未明兩類:①惡性。多發性骨髓瘤,典型病例有IgG型,IgA型,IgD型,IgE型,游離輕鏈型;不典型病例如孤立性骨骼漿細胞瘤,骨髓外漿細胞瘤,漿細胞白血病,不分泌型瓦爾登斯特倫氏巨球蛋白血症,重鏈病,澱粉樣變性。②性質未明。良性單克隆γ種球蛋白病;並發於其他惡性疾病,尤其是腸道癌、膽道癌、乳腺癌、腎癌;並發於慢性感染,如骨髓炎、結核、類風濕性關節炎。
病理和臨床表現
單克隆免疫球蛋白(Ig)增多和/或其組成部分由體內排出,其病理生理改變導致一系列臨床表現(表 1[單克隆免疫球蛋白的病理生理學與臨床表現])。
診斷
漿細胞病活體組織的病理學檢查與骨髓液塗片的血液學檢查是診斷的主要依據。血清中Ig的測定對診斷具有特異性,常用的檢查方法有:①血清總蛋白量。套用折射計能測量血清中蛋白質總量是否增多(包括Ig在內)。②血清蛋白電泳。將患者血清置於乙酸纖維素或瓊脂糖介質中,調節其pH值為 8.2~8.6。通電以後,除IgG外,全部血清蛋白均帶負電荷,向陽極泳動,而IgG則停留在原處或向陰極泳動。據各種蛋白泳動速度的不同,使各成分分開,染以與蛋白結合的染料,即可辨認出白蛋白與球蛋白的 、、β與γ等五部分(見圖[正常人與漿細胞疾病患者的血清蛋白電泳圖])③免疫電泳。分析經電泳法分開的各種蛋白,可用免疫沉澱法。將病人血清進行蛋白電泳,然後用多價抗血清(正常人血清免疫實驗動物後的血清)彌散入電泳線中,可出現一系列沉澱線,用以辯認各種Ig。④比濁法。上述兩種測定方法只能定性。若對各類Ig定量,則採用免疫沉澱技術。原理是抗原(待測定的Ig)與一定量特異抗Ig抗體作用後,產生與標本中抗原量成比例的沉澱物。此法比較簡單,可以自動化。由於技術上的原因,IgA的缺乏偶可被遺漏。此法的另一缺點是不能鑑別單克隆或多克隆Ig。如測定的結果是IgG2000mg/dl可能是多克隆IgG的增多。如在慢性感染中所見,也可能是漿細胞瘤所產生的單克隆IgG。實際上,蛋白電泳是用以建立並繼續觀察單克隆蛋白的變化過程,而比濁法則用以確定單克隆蛋白的種類。⑤其他方法,其他實驗室檢查方法雖無特異性,但對了解血液中Ig增多的情況也有所幫助。如血漿中紅細胞沉降率可由於IgG、A或M增多使紅細胞易成錢串狀而增高,增高的程度與Ig的增多成正比。根據血清流經刻度毛細管的速度可以測定患者血清粘滯度。
治療
本類疾病至今尚無根治辦法。用化學藥物可殺傷不斷增殖的惡性細胞,減少異常免疫球蛋白的生產。苯丙氨酸氮芥、氮甲、環磷醯胺、潑尼松、甲基苄肼、阿黴素、卡氮芥等均有一定療效,聯合用藥的效果比較好,現已證明對多發性骨髓瘤與巨球蛋白血症的患者確能延長生存期。
對已有骨骼侵犯的患者,局部放射治療能減輕疼痛,緩解症狀。血漿置換能暫時使血漿中異常蛋白的濃度明顯降低,使有關症狀於短期內減輕或消失。
維持經常性體力活動與液體的適當攝入量,不但能防止骨骼的併發症,亦可預防或減輕高鈣血症、高尿酸血症與氮血症的症狀。
誘發症
多發性骨髓瘤
多發性骨髓瘤是一種漿細胞的惡性腫瘤,單克隆的異常漿細胞增殖,在骨髓中形成腫瘤並產生大量異常抗體堆積於血液或尿液中。 在美國,多發性骨髓瘤約占所有惡性腫瘤的1%;每年約有12500例新發病人。這種不常見的惡性腫瘤,男女累及比例相當並常見於40歲以上人群。病因尚不清楚。
漿細胞病漿細胞瘤最常累及骨盆、脊柱、肋骨和顱骨。偶爾,累及其他部位,特別是肺部和生殖器官。異常漿細胞幾乎總是產生大量異常的抗體,而正常抗體的產生又減少,結果,多發性骨髓瘤病人特別容易發生感染。
異常抗體的片段常常由腎臟排出,並可損害腎臟,有時引起腎功能衰竭。異常抗體的片段沉積於腎臟或其他器官可引起另一種嚴重疾病澱粉樣變(見第142節)。尿液中的異常抗體片段稱作本-周氏蛋白。
. 症狀和診斷
有時多發性骨髓瘤可以在病人有症狀之前被診斷,例如,由於其他原因進行X線攝片時發現本病典型的骨骼蟲蝕樣改變而診斷。
多發性骨髓瘤常常引起骨痛,尤其是脊柱和肋骨,以及引起骨質脆弱,容易發生病理性骨折。儘管骨痛常是初始症狀,本病偶爾也可以由於貧血(即紅細胞過少)、反覆細菌感染或腎功能衰竭而被診斷。貧血是由於異常漿細胞占據了骨髓中生成紅細胞的正常細胞的位置。細菌感染是因為異常抗體不能有效地防禦感染。腎功能衰竭則是由於異常抗體的片段(即本-周氏蛋白)損害了腎臟。
少數病例由於血液粘稠(高粘綜合徵),病人的皮膚、手指、腳趾和鼻部的血供受到影響。大腦供血不足可引發神經症狀,比如意識模糊、視覺異常和頭痛。
一些血液學實驗有助於診斷本病。全面的血細胞計數能發現貧血和紅細胞形態異常。反映紅細胞沉降於試管底部快慢程度的紅細胞沉降率(血沉),通常異常升高。本病1/3的患者由於骨骼病變導致鈣釋入血液而出現血鈣升高(見第137節)。然而,最關鍵的診斷性實驗是血清蛋白電泳和免疫電泳,可用於發現和鑑定最能說明問題的異常抗體。85%的本病患者能發現這種異常抗體。另外,尿液的電泳和免疫電泳檢查能發現30%~40%的多發性骨髓瘤病人的本-周氏蛋白。
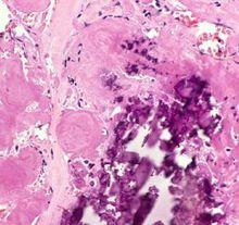
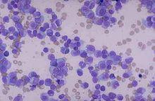
X線檢查常常顯示骨密度降低(骨質疏鬆)和骨骼蟲蝕樣破壞。用細針和注射器採取骨髓標本在顯微鏡下進行檢查,即骨髓活檢(見第152節),可以顯示大量漿細胞呈片狀和簇狀異常排列,漿細胞形態異常。
. 治療
治療目的是防止和減輕症狀和併發症,殺滅異常漿細胞,以及延緩疾病進展。
強烈的止痛藥和針對受累骨骼的放射治療有助於減輕嚴重的骨痛。多發性骨髓瘤患者,特別是尿液中查見本-周氏蛋白的,需要大量飲水以稀釋尿液,防止可能加重腎功能衰竭的脫水。保持活動非常重要,過久臥床休息只會加重骨質疏鬆,更易發生骨折。但是,由於患者骨骼脆弱,應避免跑步和負重活動。
有發熱、寒戰或皮膚發紅等感染表現的病人應當立即就醫,因為需要抗生素治療。儘管紅細胞生成素--一種刺激紅細胞生成的藥物能有效地治療一些病人的貧血,但是嚴重貧血患者需要輸注紅細胞。高鈣血症可以使用強的松和靜脈輸液治療,有時也採用降鈣藥物雙磷酸鹽治療。別嘌呤醇有益於高尿酸血症患者。
化療通過殺死異常漿細胞而延緩多發性骨髓瘤的進展。最常用的化療藥物是馬法蘭和環磷醯胺。由於化療殺死異常細胞的同時也能降低正常細胞數,故應當密切監測血象。當正常白細胞和血小板數下降太明顯時,應調整化療藥物的劑量。皮質類固醇如強的松或地塞米松也能作為化療藥物的組成部分。對化療反應性好的病人,干擾素能使反應更持久。
大劑量化療聯合放射治療還處於實驗階段。由於聯合治療毒性反應太大,應當在治療前通過病人的血液或骨髓採集造血幹細胞,治療後又回輸回病人體內。一般來講,這種治療方法僅保留給50歲以下的病人。
目前,尚沒有辦法能夠治癒多發性骨髓瘤。但是,上述治療能延緩超過60%以上的患者的病情進展。本病診斷後對化療有反應的病人可望存活2~3年,有時更長。偶爾也有成功治療存活多年的多發性骨髓瘤病人發展為白血病或骨髓中出現纖維化。此種晚期併發症可能與化療有關,並常常引起病人嚴重的貧血和感染易感性增加。
巨球蛋白血症
巨球蛋白血症(又名瓦爾登斯特倫巨球蛋白血症,Waldenstrǎm's macroglobulinemia)是血液中堆積有漿細胞產生的大量巨球蛋白(即巨大抗體)的一種疾病。 巨球蛋白血症源於異常的腫瘤性淋巴細胞和漿細胞克隆性增殖。男性發病多於女性,平均發病年齡65歲。病因尚不清楚。
. 症狀和診斷
多數巨球蛋白血症病人沒有任何症狀。其他一些由於血液中有大量巨球蛋白,血液變粘稠(高粘綜合徵),可以出現皮膚、手指、腳趾和鼻部血供減少以及各種其他症狀,包括)、疲勞、虛弱、頭痛、頭暈,甚至昏迷。粘稠的血液也可以加重心臟病以及引起顱內壓升高。眼睛後面的小血管發生充盈、出血,導致視網膜和視力受損。
巨球蛋白血症病人也可以出現淋巴結腫大、皮疹、肝脾長大、反覆細菌感染和貧血。
巨球蛋白血症常常引起冷球蛋白血症--以冷球蛋白為特徵的一種疾病。冷球蛋白系異常抗體,在冷至正常體溫之下時在血中發生凝集(形成固體顆粒),加溫後又溶解。冷球蛋白血症病人對寒冷非常敏感,會發生雷諾現象,當病人的手和足暴露於寒冷天氣時會變得非常疼痛和蒼白。
血液學實驗能發現巨球蛋白血症病人的異常表現。紅細胞、白細胞和血小板數降低,而反映紅細胞沉降於試管底部快慢的紅細胞沉降率(血沉)通常加快。血液凝固實驗結果異常,其他實驗可以檢出冷球蛋白。尿液中能查出本-周氏蛋白(異常抗體的片段)。但是最有用的診斷性實驗是血清蛋白電泳和免疫電泳,可檢出血標本中的大量異常巨球蛋白。
X線檢查顯示骨密度降低(骨質疏鬆)。用細針和注射器採集骨髓標本,並在顯微鏡下檢查,即骨髓活檢,可以顯示淋巴細胞和漿細胞數目增多,這有助於確診本病。
. 預後和治療
本病病程因人而異。即使未經治療,多數病人能存活5年甚至更長時間。
血液粘稠的巨球蛋白血症病人應當立即進行血漿置換術治療。血漿置換是引出血液,去除異常抗體,回輸紅細胞回機體的一種治療措施。化療常用藥物瘤可寧,能減慢異常漿細胞的生長,但是不能治癒本病。馬法蘭、環磷醯胺和其他藥物也可以選擇性地單獨或聯合使用。

