簡介
寶寶中耳炎中耳發炎就是中耳炎,是孩子發生耳痛的一種常見病因。中耳炎,又稱“耳朵底子”,發起病來,使人頭腦漲痛,有時還從耳內流出膿水。雖不是大病,但給人帶來無盡的痛苦。
中耳炎常發生於8歲以下兒童,它經常是普通感冒或咽喉感染等上呼吸道感染所引發的疼痛併發症。
通常中耳炎又分為急性與慢性中耳炎,急性中耳炎如果及時就醫的話,可以痊癒並不再復發。
但慢性中耳炎無法根治。慢性中耳炎一般由急性中耳炎轉變而來,需要及時的治療。病理在我們的生活中慢性中耳炎是中耳黏膜、鼓膜或深達骨質的慢性炎症,常與慢性乳突炎合併存在。
急性中耳炎未能及時治療,或病情較重,也可能形成慢性中耳炎。 對於中耳炎在我們的生活中要養成一種良好的生活習慣。
病因
中耳炎1、最常見的原因是上呼吸道病毒感染所致,如感冒或流感引起的鼻塞,容易並發中耳炎。
2、變態反應可引起咽鼓管黏膜的水腫,導致咽鼓管阻塞,造成中耳負壓,引起滲出或分泌機能亢進。
3、游泳時不適當地使咽鼓管擴張有可能使細菌進入中耳、鼓膜外傷,使病菌從外耳道進入中耳引發中耳炎。
4、頭頸部放射治療後因鼻咽部及咽鼓管黏膜腫脹,分泌性中耳炎檢查以及局部靜脈及淋巴回流障礙,致使管腔狹窄,亦可導致分泌性中耳炎。
5、咽鼓管咽口受壓阻塞,如腺樣體肥大、肥厚性鼻炎、鼻咽部腫瘤或淋巴組織增生,鼻咽部填塞物時間過長等,均可直接堵塞咽鼓管咽口,影響咽鼓管咽口的開放。
檢查
鼓室硬化和粘連性中耳炎都是中耳炎遷延過久,導致的永久性、非活動性的不可逆性病變。其中以機化粘連為主者,稱為粘連性中耳炎;而以透明樣變性、鈣化為主甚至出現骨化者,稱為鼓室硬化。
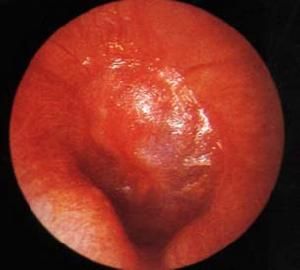
中耳炎:是引起鼓室硬化最常見的病因。表現為鼓膜增厚,內陷。鼓室和/或乳突竇及乳突氣房內充填軟組織密度影,乳突氣房含氣減少或消失,鼓室及乳突內可以出現積液徵象,聽小骨破壞甚至消失,少部分患者可有乳突及鼓室壁的骨質破壞。但不會出現鈣化。
粘連性中耳炎:鼓室硬化和粘連性中耳炎都是中耳炎遷延過久,導致的永久性、非活動性的不可逆性病變。其中以機化粘連為主者,稱為粘連性中耳炎;而以透明樣變性、鈣化為主甚至出現骨化者,稱為鼓室硬化。兩者的臨床症狀和表現及病史極為相似。鼓室硬化斑塊出現鈣化或骨化後,在HRCT上可明確的診斷,而在出現鈣化或骨化之前,在HRCT上很難區分,均表現為鼓膜正常或增厚、內陷。鼓室內出現軟組織密度影和骨壁、聽骨鏈相連。鑑別方法主要通過病理或手術證實。
分泌性中耳炎(secretoryotitismedia)是以鼓室積液及聽力下降為主要特徵的中耳非化膿性炎性疾病,中耳積液可為漿液性漏出液或滲出液,亦可為粘液。本病命名尚不統一,有稱為滲出性中耳炎、卡他性中耳炎、漿液性中耳炎,漿液-粘液性中耳炎、非化膿性中耳炎。中耳積塗粘稠呈膠狀者,稱膠耳(glueear)。
診斷
1.慢性中耳炎急性發作引起的頭痛:由於慢性中耳炎患者中耳內分泌物的增多,反射性地引起同側的乳突部、額部和頭頂部產生鈍痛。患者會表現為長期反覆的外耳道流膿、聽力下降及鼓膜穿孔三項體徵。
2.慢性化膿性中耳炎引發顱內併發症而引起的頭痛:根據慢性化膿性中耳炎患者的病理性改變,其中膽脂瘤型中耳炎可能會引起顱內併發症。膽脂瘤病變會直接破壞中耳骨質等途徑,使感染侵人顱內導致顱內併發症。這些併發症會表現出高熱、持續性頭痛,頭痛也會陣發性加重,並會波及全頭。
分類
慢性中耳炎
慢性中耳炎根據病理及臨床表現分為三型:單純型、骨瘍型、膽脂瘤型。
1、確定中耳炎的類型。
(1)單純型:最常見,多於上呼吸道感染後出現,耳流膿,多為間歇性,呈粘液性或粘液膿性,一般不臭。量多少不等,上呼吸道感染時,膿量增多,檢查見鼓膜中央部穿孔。
(2)骨瘍型:又稱壞死型或肉芽型,多由急性壞死型中耳炎遷延而來。組織破壞較廣泛,特點是耳流膿多為持續性,膿性間有血絲
(3)膽脂瘤型,但非真性腫瘤,耳內流膿量少,可有白色鱗片、豆渣樣物,惡臭。有時可出現頭痛及聽力明顯下降。急性非化膿性中耳炎:本病又稱作滲出性中耳炎是由各種因素引起咽鼓管管腔急性阻塞致中耳,中耳黏膜充血、水腫積液。臨床表現主要為耳悶、耳鳴、耳聾、鼓膜內陷。耳內有異物堵悶感。
聽力減退:聽力減退伴自聽增強。耳鳴:程度、性質不一、以低單調耳鳴為主。鼓膜內陷、活動度受限。中耳腔積液、可見鼓膜色淡黃、有液平面或水泡、隨頭位而變動。急性非化膿性中耳炎大多由於鼻腔和鼻咽部的急性炎症擴展到耳咽管黏膜,引起耳咽管黏膜發炎,使它變狹或阻塞,有時炎症還可能擴展到中耳腔的黏膜,稱為急性中耳黏膜炎。此病又叫耳咽管阻塞症或卡他性中耳炎。正常中耳腔內的氣壓,靠耳咽管通暢與大氣壓維持平衡。當吞咽時,與耳咽管口相聯繫的軟跨肌肉發生收縮,耳咽管口擴大、空氣由鼻咽進入中耳腔,並使空氣不斷交換。當耳咽管阻塞時,空氣就不能進入中耳腔,中耳記憶體留的空氣漸被黏膜吸收,使氣壓降低,引起鼓膜內陷,毛細血管擴張,發生血清滲出,使中耳腔內積聚滲出液,而產生滲出性中耳炎。此液培養無菌,故稱非化膿性中耳炎。
患者有耳悶、耳內阻塞和頭部沉重感。在呵欠、打噴嚏式擤鼻時,耳悶可有片刻好轉。有時伴有耳鳴,聽覺也減退(但聽自己說話的聲音反而覺得響亮)。若頭部改變位置,聽力可暫時改善。多無疼痛,也無全身不適。檢查鼓膜,早期為鼓膜內陷,失去正常光澤。以後因中耳腔內滲出液增多,鼓膜的顏色可變為淡黃略帶棕色。聽覺檢查常為傳導性耳聾。本病的預防在於避免感冒,去除鼻腔和鼻咽部的病原如肥大的增殖體,鼻息肉等。但應仔細檢查鼻咽部以排除鼻咽腫瘤。治療要及時,幾天內可以恢復健康。如果沒有除去病原,可漸變為慢性,長期影響聽力。治療的要點是使鼻腔、鼻咽和耳咽管黏膜消腫,耳咽管通暢,空氣易於進入中耳,中耳的滲出液可排出或逐漸被吸收。
可在鼻內滴I%麻黃素,也可行耳咽管吹張法,或針刺聽宮,下關等穴,使耳咽管通暢。如果中耳腔內滲出液不消退,可用鼓膜穿刺抽去積液。對頑固的病例,可切開鼓膜,將積液排出,或於切開處插入通氣引流管。急性化膿性中耳炎:細菌進入鼓窒引起化膿感染稱為急性化膿性中耳炎,多繼發於上呼吸道感染,可能部分病例初起為病毒感染爾後細菌侵入。常見為溶血型鏈球菌、金黃色葡萄球菌第Ⅲ型肺炎球菌和變形桿菌等。多見於冬春季節,有血液病營養不良、變態反應及心肺病患者、腎炎糖尿病者易於誘發。
慢性化膿性中耳炎
慢性化膿性中耳炎是中耳黏膜、骨膜或深達骨質的慢性化膿性炎症,常與慢性乳突炎合併存在。本病極為常見。臨床上以耳內反覆流膿、鼓膜穿孔及聽力減退為特點。可引起嚴重的顱內、外併發症而危及生命。多因急性化膿性中耳炎延誤治療或治療不當、遷延為慢性;或為急性壞死型中耳炎的直接延續。
鼻、咽部存在慢性病灶亦為一重要原因。一般在急性炎症開始後6~8周,中耳炎症仍然存在,統稱為慢性。常見致病菌多為變形桿菌、金黃色葡萄球菌、綠膿桿菌,以革蘭氏陰性桿菌較多,無芽胞厭氧的感染或混合感染亦逐漸受到重視。
1.上皮移入學說:外耳道及鼓膜的上皮沿鬆弛部或緊張部邊緣性穿孔處的骨面向鼓室、鼓竇移行生長,其上皮及角化物質脫落於鼓室及鼓竇內,逐漸聚積成團、增大,引起周圍骨質吸收破壞,形成膽脂瘤,此稱為後天性繼發性膽脂瘤。
2.袋狀內陷學說:由於咽鼓管長期阻塞,鼓室內產生負壓,鼓膜鬆弛部內陷形成小袋陷入鼓室內,袋內上皮反覆脫落,堆積擴大,周圍骨質遭到破壞,形成膽脂瘤。因此種膽脂瘤在形成前可不經化膿性中耳階段,故稱後天性原發性膽脂瘤。膽脂瘤因其對周圍骨制裁的直接壓迫,或由於其基質及基質下方的炎性肉芽組織產生的多種酶(如溶酶體酶、膠原酶等)和前列腺素等化學物質的作用,致使周圍骨質脫鈣,骨壁破壞,炎症由此處向周圍擴散,可導致一系列顱內、外併發症。
骨瘍型中耳炎
又稱壞死型中耳炎或肉芽型中耳炎,多由急性壞死型中耳炎遷延而來。組織破壞較廣泛,病變深達骨質,聽小骨、鼓竇周圍組織可發生壞死;黏膜上皮破壞後,局部有肉芽組織或息肉形成。此型特點:耳流膿多為持續性,膿性間有血絲,常有臭味。鼓膜緊張部大穿孔可累及鼓環或邊緣性穿孔。鼓室內有肉芽或息肉,並可經穿孔突於外耳道。傳導性聾較重。乳突X線攝片為硬化型或板障型,伴有骨質缺損破壞。其治療需要積極治療上呼吸道病灶性疾病,如慢性鼻竇炎、慢性扁桃體炎,其它原則如下:
(1) 引流通暢者,以局部用藥為主,但應注意定期複查。
(2) 中耳肉芽可用10-20%硝酸銀燒灼或刮匙刮除,中耳息肉可用圈套器摘除。
(3) 引流不暢或疑有併發症者,根據病變範圍,行改良乳突根治術或乳突根治術,並酌情同時行鼓室成形術以重建聽力。
膽脂瘤型中耳炎
膽脂瘤型中耳炎並非真是平時所說的腫瘤,而為一位於中耳、乳突腔內的囊性結構。囊的內壁為復層鱗狀上皮,囊內充滿脫落上皮、角化物質及膽固醇結晶,囊外側以一層厚薄不一的纖維組織與其鄰近的骨壁或組織緊密相連。由於囊內含有膽固醇結晶,故稱膽脂瘤。膽脂瘤性特點如下:耳長期持續流膿,有特殊惡臭,鼓膜鬆弛部或緊張部後上方有邊緣性穿孔。從穿孔處可見鼓室內有灰白色鱗屑狀或豆渣樣物質,奇臭。一般有較重傳導性聾,如病變波及耳蝸,耳聾呈混合性。CT檢查可以確定病變範圍,並指導手術。膽脂瘤形成的確切機制尚不清楚,由於膽脂瘤的直接壓迫或者其釋放的化學物質的作用,可以破壞周圍骨質,使炎症擴散,能導致一系列顱內、外併發症。所以“膽脂瘤型中耳一定要儘早手術治療”。膽脂瘤型中耳炎的治療原則就是及早施行改良乳突根治術或乳突根治術,徹底清除病變,預防併發症,以獲得一乾耳,並酌情行鼓室成形術以提高聽力。
航空性中耳炎
航空性中耳炎有些人乘坐飛機的過程中,尤其是飛機起飛和降落時,會感到兩耳發悶、疼痛,有鼓膜就要穿破和感覺,聽到的聲音變小和頭暈等症狀,實際上這就是發生了航空性中耳炎。當飛機起飛後,乘客可通過頻繁的吞咽動作或咀嚼口香糖來預防航空性中耳炎的發生。如果這一方法無效,乘客仍感到雙耳發悶,疼痛。甚至下機後仍無法緩解,這說明咽鼓管的功能不正常了。須到五官科醫院檢查治療。如果乘客隨身帶有“鼻通”、“麻黃素滴鼻液”等滴鼻藥水,將其滴入鼻孔內,向後仰頭,以使藥液流近咽鼓管,若聽到“咔嗒”一聲說明咽鼓管已恢復正常,一切症狀將瞬間消失。
急性中耳炎
急性中耳炎常常是感冒的併發症,其主要症狀是聽力減退、耳鳴、耳內疼痛。在哈欠、打噴嚏或換鼻涕時,因咽鼓管(即連線中耳鼓室與鼻咽部的一條細狹管道)暫時開放,症狀有片刻好轉。而耳痛及聽力下降可首先被病人感受到。急性中耳炎是嬰兒及幼童常患的疾病之一。根據統計,20%的幼童在5歲前會患此病。中耳跟鼻腔後部的鼻咽由一條歐氏耳咽管連線起來,像是一棵大樹(呼吸系統)的一支橫枝,作用是調節中耳內的空氣壓力,因此,上呼吸道的感染、傷風感冒或急性咽炎,便很容易蔓延至耳內,令耳膜鼓充血,耳內分泌增多,引起中耳炎。病症有發燒、耳痛,年幼的不懂訴說耳痛,便會煩躁不安,嚴重時有膿自耳朵流出。患耳可能聽覺欠靈。若能及早發覺醫理,中耳炎應不難根治。醫生通常會給消炎藥,再加滴耳藥水清洗耳道。由於耳、鼻、喉三處由耳咽管貫通,故單以藥水滴耳未必可清除引起中耳內的細菌,這就是有醫生吩咐中耳炎的患者以藥水滴鼻的原因。急性中耳炎疏忽治理能造成慢性中耳炎,損害聽覺及導致失聰。因此,孩子有發熱或傷內感冒,也不宜忽視,應及早由醫生診治。
粘連性中耳炎
是中耳內纖維組織增生或瘢痕形成,是既往中耳炎症的結果。常於兒童時期發病。是既往中耳感染的後遺症。化膿性中耳炎或分泌性中耳炎的病變程度足以損傷中耳黏膜時,可引起肉芽組織中的成纖維細胞產生新的纖維組織,或積液機化,這一過程可導致鼓室內壁黏膜與鼓膜粘連,甚至聽骨鏈粘連固定。病人既往多有中耳炎病史。主要症狀為聽力減退、耳鳴。鼓膜檢查可見鼓膜內陷或萎縮、增厚、瘢痕形成及鈣化斑。原有鼓膜穿孔者,新生的鼓膜菲薄,呈半透明狀。鼓氣耳鏡檢查,鼓膜活動減弱或消失。聽力檢查呈傳導性聾,重者有時可出現混合性聾。聲阻抗-導納測試的鼓室導抗圖呈現低峰型(As型)或鼓室負壓型(C型),鐙骨肌反射消失,以上提示鼓膜和聽骨鏈活動受限、咽鼓管功能不良。漿液性中耳炎:漿液性中耳炎是成年人傳導性聾最常見的原因,特點是鼓室內積存漿液性稀薄水樣的非化膿性液體。漿液性中耳炎與粘液性中耳炎不同,臨床上應注意加以鑑別。
中耳是一個含氣的體腔,經咽鼓管與外界相通。在正常情況下,咽鼓管呈關閉狀態,僅在吞咽或呵欠時短時開放。據統計咽鼓管每分種開放數次,每開放1次,大約有1微升氣體進入中耳。咽鼓管的主動開放可以調節中耳與外界的氣壓平衡、更換中耳腔的氣體成分,從而維持中耳的正常功能。漿液性中耳炎的根本原因是咽鼓管阻塞。咽鼓管阻塞妨礙了中耳正常的氣體交換過程,中耳腔的氣體逐漸被吸收又得不到相應的補充,遂使中耳呈負壓或部分真空狀態。中耳負壓可以導致中耳黏膜毛細血管漿液漏出,形成漿液性中耳炎,這一理論稱為“補空性積水”。
治療
中耳炎--局部治療病因治療:積極治療上呼吸道病灶性疾病,如慢性鼻竇炎、慢性扁桃體炎。局部治療:局部治療包括藥物治療和手術治療。根據不同類型採用不同方法。
1、單純型:
以局部用藥為主。流膿停止、耳內完全乾燥後穿孔或可自愈,穿孔不愈者可行鼓膜修補術或鼓室成形術。
(1)局部用藥:按不同病變情況選用藥物:
① 抗生素水溶液或抗生素與類固醇激素類藥物混合液,如0.25%氯黴素液、氯黴素可的松液、3%潔黴素液、1%黃連素液等,用於鼓室黏膜充血、水腫,有膿液或粘膿時。
② 酒精或甘油製劑,如4%硼酸酒精、4%硼酸甘油,2.5~5%氯黴素甘油等,適用於黏膜炎症逐漸消退,膿液極少,中耳黏膜水腫、潮濕者。
③ 粉劑,如硼酸粉、氯黴素硼酸粉等,僅用於穿孔大、膿液極少時,有助於乾耳。
(2)局部用藥注意事項:
① 用藥前先清洗外耳道及中耳腔內膿液,可用3%雙氧水或硼酸水清洗,後用棉花簽拭淨或以吸引器吸盡膿液,方可滴藥。
② 抗生素滴耳劑宜參照中耳膿液的細菌培養及藥物敏感試驗結果,選擇適當藥物。氨基糖甙類抗生素用於中耳局部可引起內耳中毒,應慎用或儘量少用。
③ 中藥外治:紅棉散。麝香、枯礬、乾胭脂、爐甘石、片腦等名貴地道藥材。
方劑性狀:中藥散劑
方劑功效:解毒消腫,收濕斂瘡,生肌化腐,用於治療耳內生瘡、流膿等中耳炎症。
方劑用法:用消毒棉簽將耳道洗拭乾淨,以紙捲成細管或用細塑膠管攝入適量藥粉,吹入耳道深部即可,每日一到兩次,堅持長期用藥,五瓶為一療程。
治療要訣:凡中耳炎皆由邪毒侵犯,使機體正常生理功能失調,從而發生病理變化,即為肝膽濕熱、邪氣盛行所致。以此方外敷,具有祛邪解毒、燥濕排膿、補益正氣之效,可快速治癒中耳炎症。
注意事項
一、此方為外治散劑,忌口服;
二、勤換藥,注意保持患處清潔,避免沾水感(3)為改善聽力,可行鼓膜修補術或鼓室成形術,但宜在中耳腔炎症消退、停止流膿2-3月、咽鼓管通暢者施行。對較小穿孔可在門診行燒灼法。用50%三氯醋酸燒灼穿孔邊緣,再貼一薄層覆蓋物(如酚甘油薄棉片、矽膠膜等)起一橋樑作用,促使新生鼓膜上皮沿覆蓋物生長癒合。有的需數次才能癒合。
2、骨瘍型
(1)引流通暢者,以局部用藥為主,但應注意定期複查。
(2)中耳肉芽可用10-20%硝酸銀燒灼或刮匙刮除,中耳息肉可用圈套器摘除。
(3)引流不暢或疑有併發症者,根據病變範圍,行改良乳突根治術或乳突根治術,並酌情同時行鼓室成形術以重建聽力。
膽脂瘤型中耳炎--膿培養3、膽脂瘤型應及早施行改良乳突根治術或乳突根治術,徹底清除病變,預防併發症,以獲得一乾耳,並酌情行鼓室成形術以提高聽力。
全身治療應根據膿培養,及藥敏試驗採用有效的抗生素,治療應大劑量以保持血內高濃度。最少套用一周以上,亦可服用中藥。切忌用藥量小,時間短,更換頻繁,以免細菌產生耐藥性。使病程延長或形成隱蔽性中耳炎,一時好轉短期內又再度惡化。如治療恰當,85%-90%病人在兩周內,中望痊癒小穿孔可能癒合。聽力恢復正常,大穿孔中以進行手術修補。積極預防和治療病因,防止纖維性粘連。
增殖體肥大或鼻部炎症妨礙咽鼓管功能時,應及早治療。分泌性中耳炎應及時作咽鼓管吹張:可採用咽鼓管吹張器、捏鼻鼓氣法、波氏球法或導管法促使咽鼓管通暢,還經導管向咽鼓管咽口吹入潑尼松龍,達到通暢和引流的目的。鼓膜穿刺或鼓膜切開,排出中耳積液,必要時可以留置通氣管。急性化膿性中耳炎時,抗生素的劑量要充足,用藥時間於症狀消退後不得少於5日。手術治療:粘連形成後,治療困難,目前手術效果並不理想。有手術指征時,可在手術顯微鏡下松解鼓膜和聽骨鏈的粘連固定,清除兩窗的纖維閉鎖,重建含氣的中耳腔。為防止再度粘連,可在鼓室內留置矽膠或聚四氟乙烯薄膜,二期手術取出。
預防
中耳炎預防預防感冒是預防中耳炎的積極措施。已得了感冒,不可用手捏緊鼻孔擤鼻涕,因為這樣可增加鼻和咽部的壓力,使鼻涕和細菌通過耳咽管進入中耳。鼻涕可向後抽吸,由口吐出,或將手帕放在鼻前孔,輕輕地將鼻涕擤出;亦可輕捏一側前鼻孔,輕輕地擤出對側開放鼻腔內的鼻涕。
鼻腔、鼻咽部疾病要及時適當地處理。小兒肥大的增殖體,要及早醫治。得麻疹等急性傳染病時,要多注意口腔、鼻腔的清潔衛生,以防止中耳炎。
游泳時擤鼻不當,或潛水、仰游時的方法不好,都可使水從鼻腔侵入中耳。初學跳水如果沒有掌握好頭部姿勢,使耳對著水面跳下,可壓破鼓膜。因此游泳時須注意正確的姿勢,防止鼓膜破裂和中耳發炎。不要用尖銳的東西(如髮夾、絨線針等)挖耳,以免碰傷鼓膜。最好戒除挖耳的習慣。
對患急性化膿性中耳炎的病人,應給予及時的適當的治療,以防轉為慢性。已有慢性化膿性中耳炎的病人,要正確診斷、治療,防止發生顱內併發症。
對化膿性中耳炎的危害性要有一定認識,注意嚴重併發症的早期症狀,如耳病伴有頭痛、發熱、噁心、嘔吐等,懷疑有耳源性顱內共發症時,應及早醫治,以免延誤病情。
危害
1、反覆中耳炎會使鼓膜穿孔增大、中耳粘連硬化,使聽力進一步下降.如不適當用藥,另可引起內耳神經功能下降,導致更難醫治.
2、中耳反覆發炎可導致骨瘍型或膽脂瘤型中耳炎,骨頭受侵蝕時有可能導致面神經癱、腦膜炎、腦膿腫等顱內外併發症,甚至有生命危險.
3、中耳炎如果不及時徹底治療,對聽力有較大影響.特別是小孩中耳炎治療不當,除了聽力受影響外,對語言的發育也有影響.因此,家長發現自己的孩子存在可疑情況時,最好立即帶孩子去醫院進行治療。
飲食注意
中耳炎患者飲食忌辛辣,刺激的食物,如姜,胡椒,酒,羊肉,辣椒等,及熱性補藥如人參,鹿茸,牛鞭,大補膏之類,宜清熱消炎作用的新鮮蔬菜,如黃瓜,苦瓜等,像鯉魚,銀魚,大黃魚,泥鰍等是平性的。鰻魚等是涼寒性的你可以吃,但像黃鱔,蝦,草魚等是溫熱性的,最好不吃或少吃。
均衡飲食與生活習慣。減少使用煙、酒及辛辣刺激性食物,避免可能傳染感冒的場合,都 可以保持鼻、咽及耳咽管的健康,進而防止中耳炎的惡化。
中耳炎病人要保持周遭環境的安寧,不可運動過度,不能吹奏笛子及氣球,隨時漱口保持口 腔衛生,儘量用鼻子呼吸,睡覺側躺時將病耳朝下,擤鼻涕時不可過猛,並且適當的運動也有助於鼻道耳咽管暢通,維持中耳的排泄與通氣功能 。
常見耳科疾病
分泌性中耳炎 | 中耳炎 | 突發性耳聾 | 聽神經瘤 | 耳癤 | 鏇耳瘡 | 耳鳴 | 耳癤 | 耳瘡 | 鏇耳瘡 | 耳廓痰包 | 斷耳瘡 | 耳脹 | 耳閉 | 膿耳 | 膿耳變症 | 耳根毒 | 膿耳口眼喁斜 | 黃耳傷寒 |美尼爾氏綜合症| 耳眩暈 | 異物入耳 | 耵耳 | 耳殼流痰 | 暴聾 | 久聾 | 聾啞症 | 耳瘺 | 耳痔| 外耳道炎

