疾病概述
聽神經瘤神經瘤起源於聽神經鞘,是一典型的神經鞘瘤。
由於沒有神經本身參與,故恰當稱謂應為:聽神經鞘瘤。
是常見顱內腫瘤之一,好發於中年人,高峰在30-50歲,無明顯性別差異。
是顱內神經瘤最多見的一種,占顱內腫瘤的7%—12%,占橋小腦角腫瘤的80—95%。多見於成年人,20歲以下者少見,性別無明顯差異,左、右發生率相仿,偶見雙側性。
臨床以橋小腦角綜合徵和顱內壓增高征為主要表現。是良性腫瘤,早診早治療效好,腫瘤較大合併顱內高壓者手術是唯一出路。
疾病病因
聽神經瘤發病機制
聽神經瘤在病理學方面腫瘤多數來源於聽神經的前庭部分,3/4起源於上前庭神經,少數來自耳蝸部分。前庭神經內聽道部分(外側部)長約10mm,腦橋小腦角部分(內側部)15mm,總長度約25mm,其神經膠質髓鞘和Schwann細胞髓鞘之間存在分界帶,此分界帶恰在內耳孔區。腫瘤常常發生在內聽道,是由於其起源於Schwann細胞。約3/4的腫瘤發生在外側部,僅有1/4發生在內側部。隨著腫瘤的生長、增大,腫瘤可引起內聽道擴大,突向小腦腦橋角部充填於小腦腦橋角內。腫瘤大多數為單側性,少數為雙側性;如伴神經纖維瘤病時則正相反。
兩側發生的幾率各家報告結果不一。總的說來,左右側發生率幾乎均等。聽神經鞘瘤有完整包膜,表面大多光滑,有時可略呈結節狀,其形狀和大小根據腫瘤的生長情況而定。一般在臨床診斷確立後,其體積大多已超過直徑2.5cm以上。大型腫瘤可占據整個一側顱後窩,並向上經天幕裂孔至幕上下達枕骨大孔的邊緣,內側可跨越腦橋的前面而達對
側。腫瘤在顱腔內總是居於蛛網膜下腔內。因此表面總有一層增厚的蛛網膜覆蓋,並包裹著一定數量的腦脊液似乎像蛛網膜囊腫。腫瘤的實質部分色澤灰黃至灰紅色,質堅而脆。瘤組織內常有大小不等的囊腔,內含有淡黃色透明囊液,有時並有纖維蛋白凝塊。腫瘤與小腦鄰接之處粘著較緊,但一般不侵犯小腦實質分界清楚。腫瘤多數有一角伸入內聽道內,使其開口擴大此處腦膜常與腫瘤緊密粘著。面神經管緊貼於腫瘤的內側因粘連較多,常無法肉眼分清。這使手術保留面神經成為難題,因而顯微手術就格外重要。
腫瘤的主要血供來自小腦前下動脈,此血管在接近腫瘤處分出一支進入腫瘤包膜,並分成若干小枝進入腫瘤組織。其他有基底動脈分出的腦橋動脈、小腦上動脈小腦後下動脈的分支至腫瘤。小聽神經鞘瘤時與其密切相關的血管則為小腦前下動脈。與小腦相接觸的表面亦接受來自小腦表面的動脈供血。其靜脈回流主要通過岩靜脈進入岩上竇聽神經。
症狀體徵
聽神經瘤診斷要點
1.早期:耳部症狀腫瘤體積小時,出現一側耳鳴、聽力減退及眩暈,少數患者時間稍長後出現耳聾。耳鳴可伴有發作性眩暈或噁心、嘔吐。2.中期:面部症狀腫瘤繼續增大時,壓迫同側的面神經和三叉神經,出現面肌抽搐及淚腺分泌減少,或有輕度周圍性面癱。三叉神經損害表現為面部麻木、痛、觸覺減退、角膜反射減弱、顳肌和咀嚼肌力差或肌萎縮。
3.晚期:小腦橋腦角綜合徵及後組顱神經症狀,腫瘤體積大時,壓迫腦幹、小腦及後組顱神經,引起交叉性偏癱及偏身感覺障礙,小腦性共濟失調、步態不穩、發音困難、聲音嘶啞、吞咽困難、進食嗆咳等。發生腦脊液循環梗阻則有頭痛、嘔吐、視力減退、視乳頭水腫或繼發性視神經萎縮。
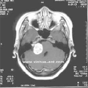
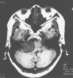
4.放射學檢查(1)顱骨X線片:岩骨平片見內耳道擴大、骨侵蝕或骨質吸收。(2)CT及MRI掃描:CT表現為瘤體呈等密度或低密度,少數呈高密度影像。腫瘤多為圓形或不規則形,位於內聽道口區,增強效應明顯。MRIT1加權像上呈略低或等信號,在T2加權像上呈高信號。第四腦室受壓變形,腦幹及小腦亦變形移位。注射造影劑後瘤實質部分明顯均一強化,囊變區不強化。
診斷檢查
1.純音測聽呈單側音神經性聾,曲線多為高頻陡降型,少數為平坦型或上升型,自描測聽曲線多為Ⅲ、Ⅳ型,偶見Ⅱ型,音衰變試驗絕大多數為陽性,雙耳交替響度平衡和短增量敏感,指數試驗無響度重震現象。響度不適閾升高,言語識別率明顯下降,多在30%左右。聲導抗測試:鼓室導抗圖正常,鐙骨肌聲反射閾升高或消失,潛伏期延長,常有病理性衰減。耳蝸電圖描記:若無內耳供血障礙,CM可保持正常,AP波明顯增寬,其反應閾常較純音聽閾為低。聽性腦幹誘發電位描測顯示:患側Ⅴ波潛伏期及Ⅰ-Ⅴ波間期較健側明顯延長,甚至Ⅴ波消失,晚近有用⊿Ⅴ值查找聽神經瘤者,準確性較高,臨床證明電位異常程度與瘤體大小相關。2.前庭功能檢查:多數病人可用眼震電圖描記向健側的自發眼震,各種誘發試驗反應普遍偏低,常有向患側的優勢偏向。
3.神經系統檢查,多有第Ⅴ、Ⅶ、Ⅸ、Ⅹ、ⅩⅡ腦神經受累的表現,腦脊液檢查蛋白含量升高。
4.影像學檢查:岩錐各投射位X線平片或斷層片顯示患側內耳道擴大,變形或有骨壁破壞,內耳道腦池造影、CT、MRI不僅可發現很小或未進入內耳道的腫瘤,且能顯示中流的外形與周圍組織的關係,有助於腦膜瘤,膽脂瘤等鑑別。
輔助檢查
1.神經耳科檢查由於病人早期僅有耳鳴、耳聾,常在耳科就診。常用的是聽力檢查及前庭神經功能檢查。(1)聽力檢查:有4種聽力檢查方法可區別聽力障礙是來自傳導系統、耳蝸或聽神經的障礙聽力測驗,第Ⅰ型屬正常或中耳疾病;第Ⅱ型為耳蝸聽力喪失;第ⅢⅣ型為聽神經病變音衰退閾試驗。如果音調消退超過30dB為聽神經障礙,短增強敏感試驗積分在60%~100%為耳蝸病變,雙耳交替音量平衡試驗有增補現象的屬耳蝸病變,無增補現象的屬中耳或聽神經病變。
(2)前庭神經功能檢查:聽神經瘤多起源於聽神經的前庭部分,早期採用冷熱水試驗幾乎都能發現病側前庭神經功能損害現象、反應完全消失或部分消失。這是診斷聽神經瘤的常用方法。但由於從前庭核發出的纖維經腦橋交叉至對側時,位於較淺部容易受大型小腦腦橋角腫瘤的壓迫健側的前庭功能也有10%左右病人可以受損。
2.神經放射學診斷
(1)X線平片:主要變化為骨質吸收致內聽道擴大岩骨斷層片異常的指標,一側內聽道寬度較對側大2mm以上;內聽道後壁縮距3mm以上;內聽道內側端凹緣骨質輪廓消失或模糊不清;在篩極水平鐮狀嵴移位至內聽道高度的中點以下。
(2)腦血管造影:所見病變的特徵是:基底動脈向斜坡靠攏;小腦前中央靜脈向後移;橋、中腦前靜脈向斜坡靠攏;脈絡點向後移;病變較大時還可見小腦前下動脈被來自內聽道的腫塊推移,基底動脈及橋、中腦前靜脈均向後移;基底動脈可移向對側;腫瘤著色。
(3)CT及MRI檢查:目前聽神經鞘瘤診斷的標準是Gd-DTDA增強的MRI,特別是當腫瘤很小(<1cm)或在內聽道內,CT掃描陰性又高度懷疑腫瘤存在時應該進行GD-DTPA增強的MRI。CT與MRI兩種檢查有相輔相成的作用,如CT發現有病側內聽道擴大時,增強CT可發現腫瘤對於估計中顱窩入路時顳骨的氣化程度及高頸靜脈球與後半規管及底的距離有幫助。如果病人已作了CT而腫瘤較大,MRI可提供對腦幹壓迫的範圍Ⅳ腦室是否通暢腦積水、是否存在的情況對可疑聽神經鞘瘤或CT檢查難於確定時,全序列的MRI可做出鑑別診斷。但也要注意Gd-DTPA的可能假陽性,這與內聽道內神經的炎症或蛛網膜炎有關;任何小的接近底部的增強病變應該在六月後作MRI複查,以評估其生長情況。
3.腦幹聽覺誘發電位或腦幹電反應聽力測定為一種無創傷性電生理檢查,陽性所見為V波延遲或缺失,約95%以上的聽神經鞘瘤有此表現,現已廣泛用於本瘤的早期診斷。
病理生理
聽神經瘤多源於第Ⅷ腦神經內耳道段,亦可發自內耳道口神經鞘膜起始處或內耳道底,聽神經瘤極少真正發自聽神經,而多來自前庭上神經,其次為前庭下神經,一般為單側,兩側同時發生者較少,腫瘤外觀呈灰紅色,大小不一,形狀各異,質底視脂肪性變與囊變的有無和程度的差異而軟硬不同,瘤體表面有膜,顯微鏡下瘤細胞多呈紡錘形、核長桿狀,排列成柵欄或漩渦狀,胞漿似縱纖維狀,內含粗面內質網等細胞,瘤細胞邊緣有很多長突起、交錯伸延於細胞間隙內,和膠原纖維與羅斯小體並存,有的瘤細胞為多角形,成團群集、界限不清,組成大小形狀各異的團網,細胞間有含粘液的微空隙兩型細胞可共存,唯多以其一為主,腫瘤增長較緩慢,不同時期速度可不同,若發展過快,其中心可液化囊變,瘤體本身血管分布不多,源於神經但無神經從中穿行。併發症
聽神經纖維瘤除了自身典型症狀外,還有一些併發症,最多的併發症為腦脊液漏。腦幹粘連部分的不適當分離可引起肢體癱瘓,小腦的過度牽拉和分離損傷可引起小腦功能障礙。具體包括如下:
1、額枕部頭痛伴有病側枕骨大孔區的不適。
2、耳蝸及前庭症狀表現為頭昏、眩暈、耳鳴、耳聾。
3、鄰近顱神經受損症狀,如病側面部疼痛,面部抽搐、面部感覺減退,周圍性面癱。
4、顱內壓增高症狀,如視神經乳頭水腫,頭痛加劇,嘔吐,復視等。
5、小腦性共濟運動失調,動作不協調。
治療方案
1.單側枕下入路:為最常用和傳統的入路。優點為顯露好,可以保留聽力和面神經功能。缺點為手術損傷大,必須暴露並牽拉小腦,手術時間較長。2.經迷路入路:常規用於小腫瘤伴聽力完全喪失的病人。其優點為手術完全在硬腦膜外,很少對小腦和腦幹造成騷擾,危險性小。主要缺點是造成聽力的永久性喪失。可用於老年患者。
3.中顱窩入路:手術在耳上硬腦膜外操作,適用於小腫瘤。優點為可保留聽力,主要缺點為牽拉顳葉。除一些直徑4.5cm)伴聽力喪失以最常用的枕下入路為好,能清楚辨別各顱神經之間的關係並從腫瘤包膜上進行分離。也有人選用經迷路入路,但全切除比例要明顯減少。
這類病員如有梗阻性腦積水,我們的經驗是術前先做分流術較為安全。
(3)小腫瘤(<2cm)伴聽力喪失經迷路或枕下入路均比較容易切除,不能認為小腫瘤就能保留聽力。但如果聽力不是完全喪失,仍應首選枕下入路以試圖進行聽力的保留。如為老年人,從安全形度出發可首選經迷路入路。另外,立體定向下放射外科也可選擇,但最終不能保留聽力。
(4)內聽道內腫瘤這類腫瘤發現時聽力基本上完好,臨床上只有耳鳴或輕度的聽力喪失。可選擇枕下入路或中顱窩入路。經迷路入路是最安全的方式,但卻犧牲了聽力。
聽神經瘤(6)老年病員伴小腫瘤如果聽力喪失,立體定向下放射治療是較好的選擇。如果聽力完好可繼續隨訪,第一年每三個月一次,第二年每半年一次,以後每年一次。偶爾腫瘤會很快長大,可根據全身情況選擇術式。只要腫瘤保持在很小的體積,而且症狀無明顯進展,老年人的小腫瘤可以不作手術。
(7)年輕病人伴小腫瘤或內聽道內腫瘤且尚有聽力存在理論上這是目前最有機會保留聽力的一種手術。顱中凹入路是切除內聽道內腫瘤的最好入路。雖然聽神經瘤的生長速度不能確定,但年輕病員的小腫瘤無疑會增大,因此積極主張手術治療。至目前為止尚沒有資料顯示這類病員的聽力究竟能否得到保留,因而仍是當前需努力探討和解決的問題。
(8)聽神經瘤伴對側聽力的喪失對於大的腫瘤除了手術別無選擇。手術應盡一切努力完整保留第Ⅷ顱神經,目前已有人採用耳蝸植入物等現代技術來增加聽力,但效果尚不肯定。如果症狀不太嚴重可推遲手術,直至學會啞語並有充分思想準備後再行手術。
(9)雙側聽神經瘤患者均為神經纖維瘤病病員。治療的目的是保留聽力的時間越長越好,以爭取時間學習啞語。一般先切除已失去聽力的一側腫瘤,等對側症狀嚴重時再做另一側腫瘤。但如果大的腫瘤側除聽力外的症狀嚴重,必須先行腫瘤切除術。在神經纖維瘤病的橋小腦角腫瘤中,有些腫瘤不是來自聽神經,而是來自面神經,則這種較少見的病例可望獲得聽力的保留。
手術事項
聽神經瘤枕部骨窗應暴露橫竇及乙狀竇,向下應儘量顯露至頸靜脈球。如果不是巨大腫瘤可以不暴露枕大孔。先放出枕大池和頸靜脈球周圍池的腦脊液可使小腦回縮,一般情況下不用脫水劑和腰穿繼續引流。腦壓板的作用是保護小腦而不是牽拉小腦,體位得當即可避免牽拉小腦。手術第一步是游離第Ⅸ、Ⅹ、Ⅺ顱神經以及第Ⅴ顱神經,確定小腦前下動脈及其分支,並從腫瘤壁上將其分離。在顯微鏡下辯認前庭神經的殘留部分。第二步是確定準備切開腫瘤包膜的部位沒有面神經走行。也可通過面神經刺激的方法來尋找,這對初學者是一種極好的方法。然後打開包膜作囊內切除。超聲吸引(CUSA)器可大大加快腫瘤切除的速度,雷射氣化也相當滿意,但較CUSA慢。囊內切除時最重要的是保留包膜的完整性,以免損傷尚未鑑別出的神經和血管,一般保留包膜少於1~2mm厚。第三步即根據腫瘤與腦幹和顱神經的粘連情況決定由內向外還是由外向內分離腫瘤。如果顱神經很容易辨認分離則可以在暴露內聽道之前全部切除顱內腫瘤;但如果腫瘤與腦幹粘連,顱神經很難辨認,最好先切除內聽道內的腫瘤,找出面神經,然後再向中線側切除。內聽道磨開後於中線切開硬腦膜,內耳孔處的腫瘤與硬腦膜均有粘連,在辨認出第Ⅶ、Ⅷ顱神經後方可電凝腫瘤粘連處並予以分離切除。試圖保留聽力者應保留內聽動脈。如果術中面神經被切斷,應儘量採用7-0或9-0絲線作端端吻合,由於面神經被明顯拉長,故一般無困難。手術的危險包括面神經損傷、橋腦外側靜脈損傷。最大的危險是小腦前下動脈及其分支的損傷,採用微吸引管和保持手術野清楚是避免上述危險的必要措施。CUSA和雷射的使用均需十分小心細緻。必須記住,使用高速電鑽時周圍不能有任何棉片,很小的棉片被捲入都可造成不可挽回的嚴重損傷。
2.經迷路入路
一入路必須對顳骨的解剖非常熟悉。手術的關鍵是判別面神經,在到達內聽道之前不暴露面神經。內聽道和顱後凹顱骨的切除範圍應與腫瘤大小一致。磨除骨質時的主要危險是損傷面神經。頸靜脈球和乙狀竇出血可明顯影響手術操作,但很少引起嚴重併發症。大的腫瘤可使小腦前下動脈移位而容易損傷。囊內切除後所有粘連的神經和血管均應在顯微鏡下進行分離。面神經出內聽道口處是腫瘤全切除的標記。手術中常犯的錯誤是囊內切除不夠。瘤腔出血可用微晶體膠原或浸有凝血酶的明膠海綿填塞而獲得止血,然後再作腫瘤切除。
聽神經瘤用於非常小的腫瘤切除並以保留聽力作為目的。顳部骨瓣應儘量靠近顱底。抬起硬腦膜至可以看到聽隆突為止。磨除骨質採用經迷路入路一樣的方法,切除從橫嵴到內聽道的骨質。小的腫瘤切除的操作必須十分精細,十分注意內聽動脈的保護。內聽道口顱神經之間的解剖關係是固定的。面神經在前上方,耳蝸神經在前下方,前庭神經的兩個分支在後方。小腦前下動脈變異較大,甚至可進入內聽道,但上述這些結構並不與腫瘤保持固定的關係。通常面神經向前上方移位,常伴隨三叉神經走行然後回到腦幹的外側,耳蝸神經通常向前下方移位,但變化極多。面神經可走行於腫瘤的下方,甚至位於腫瘤後方或被腫瘤包裹,這種情況保留面神經最為困難。保護小腦前下動脈的前提是任何時侯都要看清包膜,然後將其分支從包膜及其周圍蛛網膜上分離。進入內聽道的小腦前下動脈最易損傷。內聽動脈的損傷可喪失聽力保留的機會,並與暫時性面癱有關。所有較大腫瘤的病人術中均採用脊髓誘發電位監測。腦幹誘發電位因不能預測聽力的保留已用得很少。耳蝸神經無預測意義且監測非常困難,技術上有待進一步研究。
4.死亡率、病殘率及併發症
近期不少大宗病例報告的手術死亡率已極低,有的甚至為零。少數患者需分期手術。腦幹粘連部分的不適當分離可引起肢體癱瘓,小腦的過度牽拉和分離損傷可引起小腦功能障礙。最多的併發症為腦脊液漏。
5.面神經的保留與恢復
目前無論腫瘤大小均可以設法保留面神經,即便在術中離斷,多數亦可進行吻合。術中無面神經損傷,但有功能缺失的恢復時程差別較大,可根據下述情況進行判斷:
(1)術後面神經功能正常的病員雖有輕度的面肌無力,但一般數天即可恢復;
(2)術後面神經功能正常,但逐漸在24~72小時內發展成明顯面癱,如為部分性癱,一般數周至數月內可恢復,如果為完全性面癱則需3~6個月的恢復時間;
(3)術後面神經功能正常而在術後幾天內突然完全面癱,病員可確切地說出發生的時間,被認為由血管因素引起,恢復很慢,6~12個月或更長;
(4)病員麻醉清醒後即有部分面癱,但並不加重,大多於數周至數月恢復;
(5)清醒後面癱由部分性逐步發展成完全性,大多在3~6個月左右恢復;
(6)醒後即全癱者很難預測恢復的比例。術中看上去面神經完好的可能要一年而術中神經明顯變細者卻可在數月內恢復。術中神經切斷並作了無張力端端吻合者,面神經功能的恢復至少需等待一年。如果一年後仍無臨床上和肌電圖上神經恢復的跡象,則有理由作神經移植。面神經移植前應採用面肌刺激以保持健康的面肌張力。神經移植可選用舌下神經或副神經的胸鎖乳突肌支。
預後事項
選擇合適的患者經枕下入路聽神經鞘瘤切除術的總體結果與其他手術方法大致相似,在較小聽神經瘤患者致殘率幾乎為零。較大聽神經鞘瘤患者致殘率和死亡率分別為5%~10%和1%~2%。國外有報告早期的181例聽神經瘤手術死亡率為1.1%,而自1978年採取經枕下入路切除聽神經瘤後,沒有死亡病例。常見耳科疾病
分泌性中耳炎 | 中耳炎 | 突發性耳聾 | 聽神經瘤 | 耳癤 | 鏇耳瘡 | 耳鳴 | 耳癤 | 耳瘡 | 鏇耳瘡 | 耳廓痰包 | 斷耳瘡 | 耳脹 | 耳閉 | 膿耳 | 膿耳變症 | 耳根毒 | 膿耳口眼喁斜 | 黃耳傷寒 |美尼爾氏綜合症| 耳眩暈 | 異物入耳 | 耵耳 | 耳殼流痰 | 暴聾 | 久聾 | 聾啞症 | 耳瘺 | 耳痔| 外耳道炎

