簡介
嗜酸性粒細胞是白細胞的一種。白細胞根據形態差異可分為顆粒和無顆粒兩大類。顆粒白細胞(粒細胞)中含有特殊染色顆粒,用瑞氏染料染色可分辨出三種顆粒白細胞即中性粒細胞、嗜酸性粒細胞和嗜鹼性粒細胞;無顆粒白細胞包括單核細胞和淋巴細胞。嗜酸性粒細胞具有粗大的嗜酸性顆粒,顆粒內含有過氧化物酶和酸性磷酸酶 。
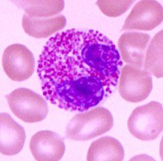
形態
細胞直徑10-12μm,核分頁,或呈S形或不規則形,著色較淺。胞質內含有嗜酸性顆粒,大小胞,不等,分布不均,染成藍紫色,可將核掩蓋。
作用
嗜酸性粒細胞與肥大細胞的分泌物相同,作用也基本相同,即啟動針對病原體的炎症反應,在少部分個體,參與過敏反應的發生。這兩種細胞均來源於骨髓中的同種造血祖細胞,嗜酸性粒細胞在組織中可存活10-15天 。
臨床意義
1.增多
(1)變態反應性疾病如支氣管哮喘、蕁麻疹、藥物過敏、過敏性紫癜等。
(2)寄生蟲感染如血吸蟲病、蛔蟲病、鉤蟲病等。
(3)某些皮膚病如濕疹、剝脫性皮炎、天皰瘡、銀屑病等。
(4)某些血液病如慢性粒細胞白血病、多發性骨髓瘤、嗜酸粒細胞白血病、淋巴瘤、嗜酸性粒細胞肉芽腫等。
(5)某些惡性腫瘤某些上皮系腫瘤如肺癌等。
(6)某些傳染病如猩紅熱等。
(7)其他風濕性疾病、腦腺垂體功能減低症、腎上腺皮質功能減低症、過敏性間質性腎炎等。
2.減少
傷寒和副傷寒患者;長期套用腎上腺皮質激素治療的患者;大手術、燒傷等應激狀態等。
正常值參考範圍
嗜酸性粒細胞數量占白細胞總數的百分比:0.004~0.08。
![嗜酸性粒細胞[血液細胞] 嗜酸性粒細胞[血液細胞]](/img/6/928/nBnauM3XyEjMwMzM0EzN2IzN0QTMwITOzEDMwADMwAjMwIzLxczL2gzLt92YucmbvRWdo5Cd0FmLwE2LvoDc0RHa.jpg)
