簡介
嗜酸性粒細胞在骨髓中生成,受IL-5、GM-CSF、IL-3的調控,一旦缺乏這些嗜酸性粒細胞生長因子,嗜酸性粒細胞將迅速凋亡。其中IL-5能特異性地促進其分化、發育、成熟和釋放,在嗜酸性粒細胞生成增多中最為重要。正常情況下嗜酸性粒細胞主要駐留於組織中,特別是呼吸道、胃腸道和泌尿生殖道的上皮細胞和深層組織之間,在組織內其生存時間可達數周。嗜酸性粒細胞的形態學特徵是核分兩葉和胞質內有大量特殊的嗜酸性顆粒,決定了細胞的染色特性和功能特徵。嗜酸性粒細胞的確切功能尚不明了,它參與免疫反應,能抵禦大的不能被吞噬的病原體。利用其基礎蛋白和嗜酸性陽離子蛋白的細胞毒作用殺傷多細胞病原體,如蠕蟲類幼體。這些蛋白也可中和肝素的抗凝活性。嗜酸性粒細胞也能吞噬殺滅細菌和其他微生物,但在人體內並不起主要作用。嗜酸性粒細胞能合成多種細胞因子行使其功能,如:血小板活化因子,能促進創口癒合和纖維化的轉化生長因子(TGF)a和β,與成人呼吸窘迫綜合徵和哮喘發病有關的巨噬細胞移動抑制因子(MIF),可能與Th2介導炎症反應有關的IL-12等。嗜酸性粒細胞也能生成和釋放多種炎症介質。因此,嗜酸性粒細胞在參與正常免疫防禦反應的同時,也能造成組織細胞的損傷。嗜酸性粒細胞中另一種主要的蛋白質成分(磷酸醋酶B)可形成夏一萊(Charcot-Leyden)結晶,見於與嗜酸性粒細胞增多有關疾病患者的痰、糞和組織內,常作為嗜酸性粒細胞相關疾病的標誌。血中嗜酸性粒細胞計數並不總能反映組織受侵犯及損傷的程度。相關疾病
(一)寄生蟲感染是嗜酸性粒細胞增多最常見的原因。單細胞的原蟲感染一般不引起嗜酸性粒細胞增高,而多細胞的蠕蟲、吸蟲感染可引起嗜酸性粒細胞增多,其增多的程度與蟲體特別是幼蟲侵人組織的數量和範圍相平行。在組織內被包裹的或僅限於腸道腔內的感染(蛔蟲、絛蟲),一般不引起嗜酸性粒細胞增多。但能破壞腸黏膜的寄生蟲(鉤蟲)可使嗜酸性粒細胞增多。臨床上對原因不明的嗜酸性粒細胞增多者必須仔細了解其生活環境和飲食史,檢查糞便以發現蟲卵和幼蟲。但有的寄生蟲如鏇毛蟲、絲蟲並不能從糞便中檢出,因而,有寄生蟲接觸可能者、有哮喘發作、移位性肺炎、肝大等坳蟲移行征可疑者,必須進行有關的血液和組織學檢查,以明確病因。
(二)變態反應性疾病包括過敏性鼻炎、支氣管哮喘、蕁麻疹、血管神經性水腫和藥物過敏反應等,均可出現嗜酸性粒細胞增多。藥物過敏反應可僅表現為嗜酸性粒細胞增多,亦可引起間質性腎炎、血清病、膽汁淤積性黃疽、過敏性血管炎和免疫母細胞性淋巴腺病等。一旦出現藥物熱和器官受累時應立即停藥。藥物引起的間質性腎炎嗜酸性粒細胞不但在血液內增多,而且在尿液中亦可檢出。
(三)感染性疾病某些急性細菌和病毒感染可引起嗜酸性粒細胞增高,在恢復期大多恢復正常,唯有猩紅熱恢復期嗜酸性粒細胞仍常增高。有的真菌(曲菌、球抱子菌)感染和個別的慢性分枝桿菌病者,可有嗜酸性粒細胞增多。
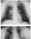
(四)特發性高嗜酸性粒細胞綜合徵(idiopathichypereosinophilicsyndrome)本徵是以嗜酸性粒細胞持續、過量生成為特徵的一種骨髓增生性疾病。其診斷標準為:①血液中嗜酸性粒細胞絕對計數>1.5x109/L(1500/mm3),持續半年以上;②缺乏明確的引起嗜酸性粒細胞增多的病因;③有器官受累的症狀和體徵。最嚴重和常見的併發症是心臟病變,心肌內膜下血栓形成和纖維化、腿索纖維化導致房室瓣反流,最終發生進行性充血性心力衰竭,超聲心動圖可用於診斷和監測。神經系統受累於來自心臟的栓子、瀰漫性腦病和周圍性神經炎(多發性單神經炎)等。皮膚、肝、脾、呼吸和消化系統也常受累。隨其受侵犯的器官不同,損傷的程度輕重不一,特發性高嗜酸性粒細胞綜合徵的症狀和體徵呈多樣性。常見的有發熱、咳嗽、胸痛、心悸、氣短、神經精神症狀、皮膚疹癢、皮疹、血管神經性水腫、肝、脾和淋巴結腫大、心臟雜音等。主要器官嚴重受累者,預後亦差。但也有患者無明顯的器官損害,呈良性病程。在本徵中出現血管神經性水腫、IgE增高的超敏型患者預後良好,即使反覆發作也很少累及心臟。
(五)腫瘤嗜酸性粒細胞白血病罕見。該病除白血病常見的發熱、貧血、肝、脾和淋巴結腫大外,心、肺、神經系統和皮膚浸潤症狀比較突出。
慢性粒細胞白血病可見嗜酸性粒細胞增多,常伴嗜鹼性粒細胞增多。急性非淋巴細胞白血病的一些亞型可有嗜酸性粒細胞增多。霍奇金病患者的血液、骨髓和淋巴結中可見嗜酸性粒細胞增多。少數癌腫,特別是能產生粘蛋白的上皮細胞來源的、轉移至漿膜及骨骼的、病灶中心有壞死的癌腫和肉瘤患者,血液中亦可見嗜酸性粒細胞增多。嗜酸性粒細胞肉芽腫主要侵犯骨組織。
(六)皮膚病多種皮膚病包括上述腫瘤、疥瘡、天疤瘡、疤疹性皮炎、剝脫性皮炎、濕疹、妊娠期疤疹和疹癢性尊麻疹性丘疹及斑塊綜合徵、銀屑病、發作性血管神經性水腫等,均可伴嗜酸性粒細胞增多。
(七)肺嗜酸性粒細胞浸潤症(pulmonaryinfiltra-tionwitheosinophilia,PIE)是一組並不少見的疾病。其發病機制多與異常的免疫反應有關,但病因尚不確切。
(八)胃腸道疾病嗜酸性粒細胞胃腸炎的發病與變態反應有關,表現為消化不良、腹痛、腹瀉和發熱等。外周血白細胞分類中嗜酸性粒細胞可高達60%以上,消化道黏膜至漿膜層均可有嗜酸性粒細胞廣泛浸潤。病程可長達十餘年,常呈自限性。增多的嗜酸性粒細胞存在於潰瘍性結腸炎的病灶處。在潰瘍性結腸炎和克隆病患者的血液中,有時也可有嗜酸性粒細胞增多。
(九)免疫性疾病風濕性疾病(SLE、類風濕性關節炎、結節性多動脈炎、皮肌炎等)、過敏性血管炎和肉芽腫性血管炎、部分先天性免疫缺陷、嗜酸性粒細胞筋膜炎藥物治療後及移植物抗宿主反應等,常有嗜酸性粒細胞增多。
(十)其他漿膜表面受刺激,如炎症、腹部照射、長期腹膜透析、損傷或反覆穿刺等,可引起漿膜腔積液及血液中嗜麥性粒細胞增多。嚴重的中毒性疾病、嗜酸性粒細胞增多肌痛綜合徵、腎上腺及垂體功能低下者,可引起嗜酸性粒細胞增多。
診斷
外周血中嗜酸性粒細胞絕對值增高即可診斷為本徵。關鍵是病因診斷,必須詳盡地詢問病史和進行全面的體格檢查,選用必要的輔助診斷方法,以確定原發病變。對病因一時不能肯定者應定期隨訪。治療
嗜酸性粒細胞增多的處理以治療原發病最為重要。特發性高嗜酸性粒細胞綜合徵的治療目的在於抑制嗜酸性粒細胞的生成。一旦出現器官系統損害即應積極治療。初用強的松1mg/(kg·d)可使約1/3的患者得到緩解,用藥一般需持續兩月,見效後逐漸減量至能控制疾病的最小劑量。療效不佳者可加用羥基脲口服。劑量為0.5一1.5g/d,維持白細胞計數在(4-10)x10/L。長春新鹼1一2mg,每周靜脈給藥一次;苯丁酸氮芥、依託泊昔類藥物也可選用。如嗜酸性粒細胞計數大於100x10/L,應考慮白細胞單采術。α干擾素對改善心功能和心肌損害有效。有血栓併發症者可用抗血小板藥物或華法林抗凝治療。心臟瓣膜受累者偶需外科手術。

