慢性嗜酸性粒細胞肺炎體徵
慢性嗜酸性粒細胞肺炎病因
慢性嗜酸性粒細胞肺炎生理
慢性嗜酸性粒細胞肺炎診斷
慢性嗜酸性粒細胞肺炎實驗室檢查:白細胞增多>10×109/L。60%~90%的病人周圍血嗜酸粒細胞增多(>6%),但周圍血嗜酸粒細胞缺乏也不能排除該病。痰中可找到較多的嗜酸粒細胞。血沉增快(>20mm/h)。1/3的病例血IgE升高。
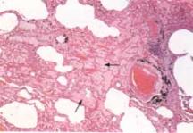
其他輔助檢查:肺功能的異常和嚴重程度與疾病的階段有關,典型者為中、重度的限制性通氣功能障礙、DLCO的下降。肺泡-動脈氧的梯度的升高,如果伴有哮喘則有阻塞性的改變。X線表現與胸膜相對的周圍漸進的密度增強的浸潤影,邊緣不清,呈非節段性、亞段和葉的分布,多位於肺外周2/3,而肺門處較透明,故稱為“肺水腫反轉形狀”,陰影易在原處復發。潑尼松治療後陰影很快吸收。與Loffler’綜合徵相反,CEP的肺浸潤為非遷移性,很少有胸腔積液。不典型的X線表現包括結節狀浸潤、瀰漫性毛玻璃樣的肺泡填充征。胸部CT檢查對於臨床懷疑而X線表現不典型的病例可作CT檢查,CT的表現,在症狀發作的前幾周,大部分表現為典型的密度區、周圍局部的肺泡實變,當症狀持續2個月以上,可見有條索帶狀不透光區,並見縱隔淋巴結腫大。
鑑別
慢性嗜酸性粒細胞肺炎治療
慢性嗜酸性粒細胞肺炎預防
慢性嗜酸性粒細胞肺炎CEP又稱遷延型嗜酸粒細胞增多症、慢性粒細胞性肺炎。該病任何年齡均可發病,但高峰年齡是30~40歲,婦女幾乎是男性的2倍。大部分病例為高加索人,約1/3到1/2的患者有過敏性鼻炎或鼻息肉等病史,另外有2/3的病人有成人發作性哮喘或有其他呼吸道症狀。
