嗜鹼性粒細胞白血病嗜鹼性粒細胞白血病(basophilic leukemia,BL),1906年Goachim等首次報導,血和骨髓中以嗜鹼性粒細胞為主要成分。患者除有急性白血病的臨床表現特點外,還有因高組胺血症所致的蕁麻疹、皮膚潮紅及眾多的胃腸道症狀。BL有兩種類型:一為起病即為急性型,另一種為慢性CML晚期的嗜鹼性粒細胞病,稱為慢性型,臨床上以慢性型相對多見。急性粒細胞白血病(AML)有嗜鹼性粒細胞分化特徵的較為罕見。急性嗜鹼性粒細胞白血病是否作為FAB協作組分型中的某一亞型還存在爭論。國內僅有少數病例報告。
流行病學
發病可見於任何年齡,男女無明顯差異。
病因
病因不明,大多數嗜鹼性粒細胞白血病患者來自於慢性粒細胞白血病(CML)的慢性期,但急性嗜鹼性粒細胞白血病也可出現然而不含有費城染色體。
發病機制
某些急性粒、單核細胞白血病患者有t(6;9)(p23;q34)異常者,骨髓中嗜鹼性粒細胞增多,但外周血中不增多,而CML患者有t(9;22)(q34;q11)的異常此兩種疾病都有9號染色體(q34)異常,並且都有嗜鹼性粒細胞的增多,這說明9號染色體斷裂點基因可能影響嗜鹼性粒細胞的產生。Peterson等對急性白血病患者455例的白血病原始細胞進行了超微結構分析,發現急性嗜鹼粒細胞白血病8例占急性白血病的不到2%。但Quattrin統計1959~1973年義大利那不勒斯醫院收治的血液系統惡性腫瘤2152例中,本病占急性白血病的4.5%。本病為血中出現不成熟的嗜鹼性粒細胞(超過白細胞總數的1/3),並持續存在於疾病的全過程。
臨床表現
臨床上分兩型。
1.急性型 發病可見任何年齡,本型類似於急性粒細胞白血病起病多急驟,臨床有嚴重貧血發熱乏力、虛弱、全身不適盜汗咽喉痛、咳嗽、腹瀉、出血等。病程較短,往往死於腦出血。此外還可偶爾伴隨嗜鹼性粒細胞內顆粒性物質(特別是組胺)的釋放導致面紅、頭痛瘙癢、低血壓或發生嚴重的十二指腸潰瘍。
2.慢性型 有費城染色體,而且早期血象、骨髓象與慢性粒細胞白血病相似晚期酷似慢粒急變,因此有人認為不是一種獨立的亞型。
併發症
1.治療中因大量嗜鹼細胞溶解釋放出大量組胺而引起休克是臨床上最常見的併發症。
2.合併胃、十二腸潰瘍、甚至出血、穿孔
3.腦出血 是常見的併發症及致死原因。
診斷
白血病研究診斷標準如下:
1.臨床上有白血病表現
2.外周血中嗜鹼性粒細胞明顯增多。
3.骨髓象 可見大量嗜鹼性粒細胞,原始細胞>5%。嗜鹼中幼、晚粒細胞也增高,有核左移現象,胞質有粗大嗜鹼顆粒
4.臟器有嗜鹼細胞浸潤
5.除外其他原因所致的嗜鹼性粒細胞增多。
診斷評析:慢性型BL是CML終末期表現,根據前面業已存在的CML病程,以及伴隨的嗜鹼性粒細胞增多的血象及骨髓象,較易診斷,但治療十分困難。
急性型者,即起病即有血及骨髓嗜鹼性粒細胞增多,必須充分排除其他疾病引起的嗜酸性粒細胞增多,診斷有一定的難度,由於BL急性型者十分罕見診斷要非常慎重。
嗜鹼性粒細胞形態上識別通常無困難,少數不典型者,可行甲苯胺藍染色確定。
鑑別診斷
1.骨髓增生性疾病 CML是最常見的MPD,大多數CML患者在病程中外周血嗜鹼性粒細胞逐漸增多,骨髓中也相應的增多故需和BL鑑別,嗜鹼性粒細胞的數量是鑑別的關鍵,如血和骨髓中均>30%,應考慮CML已發生嗜鹼性粒變,即已轉變為BL,而<30%則仍為CML伴嗜鹼性粒細胞增多,其他的MPD,如真性紅細胞增多症特發性骨髓纖維化在病程中可伴嗜鹼性粒細胞增多,但增加的過程有限,大多在10%以下同時分別有真紅、髓纖的臨床和實驗室特徵,通常不易和BL混淆。
2.肥大細胞疾病 此組疾病包括色素性蕁麻疹,系統性肥大細胞增多症及肥大細胞白血病,由於均伴有高組胺血症,故有相似有臨床表現。鑑別要點為組織學,血液學上肥大細胞疾病由肥大細胞參與,而BL為嗜鹼粒細胞參與二者的形態是完全不同的,困難病例可行細胞化學染色區別,肥大細胞氯醋酸酯酶及耐酒石酸性磷酸酶染色陽性,而嗜鹼細胞陰性。
BL在少數情況下需和各種重金屬中毒和惡性腫瘤伴嗜鹼粒細胞質增多鑑別,原發病的存在及檢出,通常易於區別。
檢查
住院治療實驗室檢查:
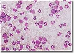
1.血象 白細胞計數一般在(2.8~144)×109/L,偶爾可高達500×109/L各階段嗜鹼性粒細胞均可增多,一般占20%~100%;血紅蛋白和血小板減少。
2.骨髓象 除原粒細胞增多外,可見大量的嗜鹼性粒細胞增多,一般占33%~99%,嗜鹼性粒細胞用甲苯胺藍或閃光藍染色,陽性反應強,有一定特異性,白血病細胞內少見Auer小體;氯乙酸酯酶染色中,正常嗜鹼粒細胞呈陰性反應,而本病可呈陽性反應,但也可呈陰性、髓過氧化酶和蘇丹黑B陰性或陽性、過碘酸希夫反應陰性,也有陽性,末端脫氧核苷酸轉移酶(TdT)陽性或陰性。
光鏡下,原始細胞的成熟程度不同患者之間變異很大,原始細胞的核外形從圓形或橢圓形到分葉狀或有深的凹陷,核仁常顯著,胞質少至中度,並有輕微的嗜鹼性,有的原始細胞胞質含有空泡成熟嗜鹼性粒細胞少見或缺乏;有時中性粒細胞輕微異常和輕度嗜酸性粒細胞增多,紅系及巨核細胞正常。
電鏡下原始細胞常有淋巴細胞樣的外觀,有圓而凹陷或不規則的核,中等密度的染色質明顯的核仁,較高的胞核/胞質比值胞質中含有線粒體,罕見粗面內質網、高爾基體和大量的糖原聚集。原始細胞內含有三種顆粒:①未成熟嗜鹼顆粒,它提供了原始細胞的嗜鹼性分化,常顯示過氧化物酶陽性②θ顆粒,可能與早期嗜鹼性分化有關過氧化物酶常陰性③未成熟的肥大細胞顆粒,提供了肥大細胞分化證據罕見原始細胞同時有嗜鹼性和肥大細胞分化特徵,過氧化物酶常陰性。
3.白血病細胞的免疫表型 大部分患者白血病細胞的免疫表型與髓系分化一致。
4.細胞遺傳學 核型常不一致,常有t(9;22),21號染色體的三體型偶有7號染色體長臂的缺失,沒有t(6;9)和12號染色體短臂異常也可以核型正常。
其它輔助檢查:
根據臨床表現、症狀體徵可選擇X線、CT、MRI、B超、心電圖等檢查。
治療
誘導緩解治療同急性粒細胞白血病一般採用聯合化療但需警惕由於嗜鹼性粒細胞溶解,導致釋放大量組胺而引起的休克併發症。本病預後不良,完全緩解病例較少,文獻報導1例患者用柔紅黴素加阿糖胞苷獲得完全緩解,生存63個多月。
預後
本病預後不良完全緩解病例較少。本病自然病程多在2個月左右很少持續至4個月,少數1周內死亡。死亡原因為大出血、心力衰竭伴支氣管肺炎、惡病質等。文獻報導1例患者用DA方案獲得完全緩解,生存63個多月。

