概述
肥大細胞白血病MCL是肥大細胞在體內惡性增殖的晚期表現,一般症狀與急性白血病相似,還有較特異的表現:由於肥大細胞顆粒內16性物質(組胺、肝索、a-TNF等的釋放,可引起一系列變態反應,如面色潮紅、低血壓、瘙癢或骨痛、頭痛,支氣管痙攣、呼吸困難,消化性潰瘍和消化道出血。胃腸道浸潤時可有腹痛、噁心、嘔吐、腹瀉;發熱,肝、脾、淋巴結腫大常見;皮膚色素性蕁麻疹少見。
流行病學
是一種少見健康搜尋的肥大細胞系統性疾病,發性率約占惡性肥大細胞新生物的15%。男性多於女性。
發病機制
肥大細胞白血病MCL同樣具有AML的病理和臨床特點,僅浸潤各臟器鵻的細胞以肥大細胞為主可出現淋巴結肝大脾大,有時伴溶骨性損害健康搜尋。浸潤皮膚是MCL的一大特點典型的皮損為色素性蕁麻疹呈棕色素斑疹或丘疹可形成結節皮膚劃痕試驗陽性。
肥大細胞的胞質內含有能分泌各種活性物質鵻的顆粒健康搜尋其中分泌組胺形成高組胺血症及相應的臨床表現是MCL的一組特殊徵象,如皮膚潮紅、瘙癢、支氣管痙攣甚至發生低血壓暈厥及休克健康搜尋還可致頑固性胃、十二指腸潰瘍,伴發出血穿孔等嚴重併發症。若釋放肝素過多,可引發各種出血傾向鵻。
臨床表現
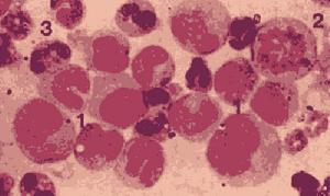
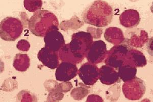
肥大細胞白血病患者一般有貧血、血小板減少;白細胞總數(10—15)x109/L,肥大細胞占5%~90%。骨髓活檢示肥大細胞明顯增多,有時可達90%(26.2%—91.8%),白血病性肥大細胞呈圓形或類圓形,染色質較細緻,核仁清或不清,胞漿藍色、充滿或多或少的深紫紅色顆粒並覆蓋於核上,並易見偽足和吞噬紅細胞現象。MCL的肥大細胞超微結構:核1個或多個,偶見明顯核仁。細胞漿中含有線粒體、脂質體,顆粒內容物缺乏或顆粒中充滿小粒子及典型的捲軸樣特徵。A顆粒可見,嗜鹼粒細胞的0粒不見。
細胞化學特點:SBB和甲苯胺藍可著色,特異性酯酶、酸性磷酸酶染色陽性,溶菌酶弱陽性;過氧化物酶和。非特異性酯酶陰性。
免疫表型:惡性肥大細胞表達CD9、CD33、CD44和CDll7,而不表達單核細胞相關
抗原CDl4、CDl5及嗜鹼粒細胞相關抗原CDll6、CDwl7、CDl23/IL-3RCK。同樣也缺乏
0116(CM-CSm)及皮膚肥大細胞標記抗原CD88。HLA—D、DR和CDl、Cm、CD4、07、CDl0、CDl9、TdT均陰性,MCG-35對肥大細胞顆粒有較高特異性,培養後的肥大細胞呈強陽性。
診斷標準
肥大細胞白血病(一)國內標準
綜合國內外資料,提出肥大細胞白血病(mast cell leukemia,MCL)的診斷條件。
1、臨床上除有白血病的臨床表現外,還有肥大細胞增多症的表現。
(1)淋巴結、肝、脾腫大。
(2)肥大細胞釋放組胺和其他物質引起的局部和全身變化。
①皮肝潮紅、色素性蕁麻疹、皮肝瘙癢等。
②發作性支氣管痙攣、呼吸困難、心悸、低血壓、暈厥、休克等症狀。
③肝素釋放過多引起出血傾向。
2、外周血中有肥大細胞(組織嗜鹼細胞)。
3、骨髓中肥大細胞明顯增多,占有核細胞的50%以上。
4、尿內組胺增高。
5、骨髓乾抽或有皮膚浸潤時需做活體組織檢查確診。
(二)國外標準
1、Travis等1986年提出的MCL診斷標準
(1)臨床有肥大細胞增生及白血病的表現 。
(2)外周血肥大細胞≥10%.
(3)白血病細胞有非典型肥大細胞(幼稚肥大細胞)的特點。
(4)白血病細胞有肥大細胞的組化特徵(出現異染顆粒、特異性酯酶陽性,POX陰性等)。
2、WHO診斷標準 WHO分型將MCL歸入肥大細胞增多症範疇。
(1)滿足系統性肥大細胞增多症的標準:系統性肥大細胞增多症的標準如下。
1)主要標準:骨髓和/或其他皮膚以外器官的病理切片中可見多灶性、緻密的(15個及以上的肥大細胞聚集)肥大細胞浸潤,肥大細胞需經類胰蛋白酶(tryptase)免疫組織化學或其他特殊染色證實。
2)次要標準
①骨髓和/或其他皮膚以外器官的病理切片中浸潤的肥大細胞25%以上,為紡綞狀或形態不典型;或骨髓穿刺塗片中25%以上的肥大細胞為幼稚的或不典型肥大細胞。
②骨髓、外周血或皮膚以外器官可檢測到KIT基因第816密碼子的點突變。
③骨髓、外周血或皮膚以外器官的肥大細胞共表達CD117、CD2和/或CD25。
④血清總的類胰蛋白酶持續>20ng/ml(存在相關的克隆性髓系疾病時該參數無效)。
符合一個主要標準和一個次要標準,或滿足三個次要標準診斷成立。
(2)骨髓活檢示不典型的、幼稚的肥大細胞瀰漫性浸潤,常為間質性浸潤。
(3)骨髓穿刺塗片中肥大細胞≥20%。
(4)外周血肥大細胞占白細胞總數的≥10%.
變異型:即非白血性肥大細胞白血病應符合上述診斷標準之1-3,但外周血肥大細胞比例<10%。
治療
治療效果較差健康搜尋可選用AML方案亦可用羥基脲白消安疏嘌呤和環磷醯胺、多柔比星、抗組胺藥可暫時緩解症狀。肝素過多引起的出血,可用硫酸魚精蛋白中和。
