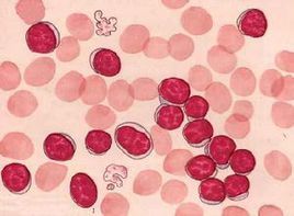
為系統性組織肥大細胞病的白血病期,即組織嗜鹼細胞惡性增生,並侵犯血液與骨髓。全身性肥大細胞增多時可引起肝、脾、淋巴結腫大,骨骼損害及關節痛。
概述
肥大細胞釋放組胺可致全身皮膚發紅、發癢,血壓降低,腹痛、嘔吐、腹瀉及消化性潰瘍,並有由肝素過多而引起的出血傾向。由全身系統性肥大細胞增多,發展為白血病期,常歷時數年。一旦進入白血病期,則病程僅數月,少數患者演變為急性粒細胞或單核細胞白血病。患者有中度至重度貧血,白細胞多數>3萬/mm3,50%以上為成熟或幼稚的組織嗜鹼細胞,細胞化學染色氯醋酸萘酚酯酶及甲苯胺藍染色陽性。由於本病常伴有骨髓纖維化,故骨髓穿刺易有乾抽。本病對化療不敏感,可使用各種抗組胺藥物如甲氰咪胍等及潑尼松等以控制組胺類反應。
論文
KIT蛋白在人類肥大細胞性白血病(MCL)發生、增殖及存活有重要影響,β-catenin在細胞核內表達下調及過度表達均能促進實體瘤及造血系統惡性腫瘤的惡化。研究者發現:活化的KIT能促進β-catenin的酪氨酸殘基磷酸化,而KIT抑制物能逆轉這一現象;β-catenin的酪氨酸殘基磷酸化與其核內定位及目標基因表達密切相關。免疫共沉澱技術顯示MCL細胞中活化的KIT蛋白連線到β-catenin分子上。
病例
泛發性皮膚肥大細胞增生病(色素性蕁麻疹)患者發生急性骨髓性單核細胞白血病.據作者所知,本例是第3例報告.患者為65歲男性白人,以胸、背部出現淡棕紅色丘疹2個月,於1980年6月第一次就診.檢查見胸、背、四肢有許多紅斑性丘疹.達利爾氏征和皮膚劃痕試驗均陰性.肝、脾不腫大,無淋巴結病變及其他全身受累表現.血液學檢查:白細胞總數4500,單核細胞15%.血液化學檢查正常。
本文報告一例泛發性皮膚肥大細胞增生病(色素性尊麻疹)患者發生急性骨髓性單核細胞白血病。據作者所知,本例是第3例報告。患者為“歲男性白人,以胸、背部出現淡棕紅色丘疹2個月,於1980年6月第一次就診。檢查見胸、背、四肢有許多紅斑性丘疹。達利爾氏征和皮膚劃痕試驗均陰性。肝、脾不腫大,無淋巴結病變及其他全身受爪表現。血液學檢查:白細胞總數4500,單核細胞巧%。血液化學檢查正常。X線檢查除腰椎變性性關節病和食道裂孔病外,余未見異常改變。肝、脾掃描發現肝影大小屬於正常上界,呈輕度斑點狀改變,脾臟正常。肝臟活檢發現脂肪變性。
動物
1)多見於老齡犬.表現為食欲不振,低熱,煩渴,多飲,嘔吐,腹瀉,呼吸急促.特徵變化為皮膚出現結節.結節直徑多為3CM以下,單發或多發,先出現於軀幹,再向四肢和頭頸部蔓延.有時並發表層化膿性炎症或潰瘍.
2)血象檢查:紅細胞數稍降低,白細胞數增加,肥大細胞明顯增多.
3)骨髓象檢查:肥大細胞增加可高達70%以上.

