概述
橫紋肌肉瘤橫紋肌肉瘤是20歲以下病人軟組織中最常見的肉瘤,占小兒惡性實體瘤的10%。Bianchi等統計,兒童發病占全部橫紋肌肉瘤的50%。兒童好發於鼻腔、眼眶、泌尿生殖道等腔道器官,成年人見於頭頸部及腹膜後,偶可見於四肢。腫瘤由不同分化階段的橫紋肌母細胞組成。免疫組化顯示結蛋白(desmin)和肌紅蛋白(myoglobin)陽性。分化較高者胞漿內可見縱紋和橫紋。
橫紋肌肉瘤惡性程度均很高,生長迅速,易早期發生血道轉移,如不及時治療,預後極差,約90%以上五年內死亡。
病因
眼眶橫紋肌肉瘤本症系由各種不同分化程度的橫紋肌母細胞級組成的軟組織惡性腫瘤,腫瘤發病原因不詳,但不排除遺傳因素。
分子生物學研究顯示,胚胎樣橫紋肌肉瘤存在染色體11p15.5的異常。基因圖分析示該部位存在胰島素樣生長因子基因(IGF-2),進一步研究顯示胚胎樣及腺泡樣RMS中都有IGF-2mRNA的高表達,且存在於腫瘤細胞內,11p15.5區域有基因丟失,H19是11p15.5部位的一個抗癌基因。胚胎樣RMS與胚胎骨骼肌相似。
與胚胎樣不同,腺泡樣是高度惡性的小圓細胞腫瘤,常發生轉移,可與Ewing, s肉瘤,原發性神經外胚瘤及淋巴瘤相混淆。80%以上腺泡樣橫紋肌肉瘤存在2號與13號染色體的相互易位。2號染色體上的PAX3基因與13號染色體上的FKHR基因發生重排,PAX3基因被認為是早期神經肌肉分化的重要轉錄調節因子,而FKHR基因的產物是一個轉化因子。PAX3基因與FKHR基因的融合基因被認為是導致腺泡樣橫紋肌肉瘤的原因。
臨床分為三個亞型,其中胚胎型橫紋肌肉瘤,多發於8歲前兒童(平均年齡為6歲),腺泡型橫紋肌肉瘤見於青春期男性(平均年齡為12歲),多形型橫紋肌瘤最常見於成人,也可見於兒童。
病理
肉眼所見
橫紋肌肉瘤發生於四肢和軀幹者,位於深部肌肉或肌肉附近,常局限在相關肌肉中。多數腫瘤邊界清楚,圓形或分葉狀,瘤體大小不一,一般直徑在5-20cm。大部分腫瘤有假包膜,可浸潤和破壞周圍組織。
腫瘤質軟,切面灰白或灰紅,魚肉樣,常有出血壞死和囊性改變。當腫瘤向黏膜腔生長時呈現葡萄簇樣,有光澤,水腫息肉狀。
手術中橫紋肌肉瘤的形態無明顯特徵,很像高度軟組織肉瘤,外圍有新生血管反應區,主要為間質成分,它表現浸潤性邊緣,很難鈍性剝離,假囊很薄、透明,淺色、柔軟和脆弱。切開包囊後,可見暗紅色組織,常有壞死和出血區。剖面灰紅,組織脆弱易碎。在反應區內,常見“衛星”病灶,在肌肉內可有跳躍灶,這比其它軟組織腫瘤更為多見。
鏡下所見
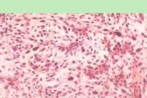
鏡下其稠密的細胞區與稀疏的細胞區和粘液樣改變區,三者可交替出現。另一恆定不變的特徵為細胞分布無規律,同時其中的網狀及膠原纖維非常稀疏。未分化的細胞形體小,具有圓或橢圓的核,染色深。
隨著分化的進展,出現典型的巨大單核細胞,胞核增大,具有空泡及大的核仁,胞漿嗜曙紅性強,且呈顆粒狀,胞核周圍有極絲,還可看到橫紋。分化差的細胞呈球形,胞核周圍有一薄的胞漿環。
進一步分化胞漿愈加充實,核呈偏心性,很多有絲分裂相,形狀像“蝌蚪”或“球拍”,再分化後變為帶狀物,有時細胞可伸長呈角狀。在這些細胞中可見到橫紋,有些細胞可出現放射狀絲狀物,形成蜘蛛網樣細胞。腫瘤的其餘部分為侵襲狀態的梭形細胞混雜,有明顯的血管形成和較多的有絲分裂相,有時可有腫瘤細胞團和侵襲較大的內皮細胞間隙。
Masson三色染色能很好地顯示微纖維和橫紋。嗜銀染色可顯示稀疏的網狀組織纖維和細胞間的膠原。免疫組化染色:Des、SMA(+),Vim、Myo(+)。多數學者認為,Masson三色染色中查見縱形肌絲圍繞胞質呈同心圓狀分布,對診斷橫紋肌肉瘤有重要價值。
分期與分型
分期
可採用美國橫紋肌肉瘤研究組(IRS)分期法:
Ⅰ期:腫瘤局限,完全切除,區域淋巴結未累及。
Ⅱ期:腫瘤局限,肉眼觀完全切除,有或無鏡下殘留。
Ⅲ期:未完全切除或僅行活檢,原發灶或區域淋巴結有鏡下殘留。
Ⅳ期:診斷時已有遠處轉移。
類型
本病可分3個病理亞型:
1、胚胎型
橫紋肌肉瘤最常見,多發於8歲前兒童(平均年齡為6歲)。好發於頭頸及外生殖器部位。
組織病理:在黏液基質中存在圓形或梭形細胞。核呈圓形或卵圓形染色質疏鬆,核仁不清,胞質豐富而紅染。當核偏於細胞一側時,常呈蝌蚪狀。有時在梭形細胞內可看到縱紋或橫紋。
2、腺泡型本型多見於青春期男性(平均年齡為12歲),多發於四肢肌肉間。
組織病理:窄的結締組織小梁將腫瘤細胞分隔成腺泡樣,有一或數層腫瘤細胞附著於小樑上,中央空腔內漂浮有少數腫瘤細胞。可見大的多核細胞,其間可見橫紋或縱紋。以前的描述著重於腺泡樣結構,更強調於腫瘤細胞的巨核、多形性及粗的染色質。細胞遺傳學上存在t(2;13)q35;q14異位,對其斷裂區的分析可與Ewing氏肉瘤鑑別。
3、多形細胞型最常見於成年人,也可發生於兒童。四肢為好發部位。
組織病理:基本上是梭形腫瘤細胞,具有多形性可見到長形帶狀細胞,胞質豐富,染為鮮紅色,胞質內可見到橫紋,即肌纖維。此外,可見不典型星狀細胞,核分裂相多見;圓形細胞,胞質強嗜伊紅性,有時核偏位;管柱形細胞,肌原纖維位於包膜下方,中央區淡染,核圓,單個或多個,可見核周空暈;梭形細胞多見,細胞的長短粗細不一,胞質豐富淡嗜酸性染色,常含肌原纖維,並可見各種形態的多核細胞。
橫紋肌肉瘤組織病理中,在黏膜下有細胞浸潤帶,細胞為短梭形胞質少,與黏膜呈平行排列。橫紋肌肉瘤為低分化性,常需藉助於免疫染色示肌動纖維結合蛋白肌球蛋白陽性為特徵進行診斷,超微結構可顯示Z帶肌纖維的存在。
臨床表現
胚胎型橫紋肌肉瘤
胚胎型橫紋肌肉瘤1、易發年齡
約占橫紋肌肉瘤的2/3,好發於兒童及青少年,年齡分布呈現兩個高峰,即出生後及少年後期,平均年齡5歲。
2、好發部位
頭部、頸部、泌尿生殖道(以葡萄簇樣變異形為主)及腹膜後。病程短,多在半年內就診。
3、主要症狀
為痛性或無痛性腫塊,腫瘤壓迫神經時可出現疼痛。皮膚表面紅腫,皮溫高。腫瘤大小不等,質硬,就診時多數腫塊固定。腫瘤生長較快時,可有皮膚破潰、出血。
頭頸部腫塊可有眼球突出、血性分泌物、鼻出血、吞咽和呼吸障礙。
泌尿生殖系統腫瘤表現為陰道血性分泌物 、血尿和尿瀦留,肛指檢查可觸及盆腔腫塊。
4、腫瘤轉移
胚胎型橫紋肌肉瘤多轉移至腹膜後淋巴結及所屬區域淋巴結,晚期多伴有血行轉移。
腺泡型橫紋肌肉瘤
1、易發年齡
多見於青少年,男多於女。
2、好發部位
為四肢、頭頸、軀幹、會陰等處,也可發生於眼眶。
3、主要症狀
為痛性或無痛性腫塊,腫瘤壓迫周圍神經和侵犯周圍組織器官時可引起疼痛、壓迫症狀和感覺障礙。
4、腫瘤轉移
早期即可出現淋巴結轉移和血行播散,血行播散常在肺。
多形性橫紋肌肉瘤
橫紋肌肉瘤1、易發年齡
主要發生於成人,多見於40-70歲。
2、好發部位
為四肢及軀幹,多位於肌肉肥厚處,如股四頭肌、大腿的內收肌群和肱二頭肌等。腫瘤常浸潤至包膜外,在肌肉間隔較遠的部位形成多個結節。病程長短不一,有達20年以上者。
3、主要症狀
為痛性或無痛性腫塊,腫塊位於肌肉內邊界不清楚,觸診時囑患者放鬆肌肉便於觸清腫瘤邊界。腫瘤侵及皮膚表面時,可有皮溫高、破潰及出血。此型特點為腫瘤較大,多在5-10cm,也有達40cm者。腫塊質較硬,呈囊性。
4、腫瘤轉移
多形性橫紋肌肉瘤可出現淋巴結轉移。
併發症
1、頭頸部的橫紋肌肉瘤可有失明、眼肌麻痹、腦神經癱瘓和腦膜刺激症狀、氣道梗阻、窒息和鼻出血,中耳炎等;
2、泌尿生殖系的橫紋肌肉瘤可有尿路梗阻、血尿、腸梗阻等;
3、四肢和軀幹的橫紋肌肉瘤可有脊髓壓迫和神經症狀;
5、除了原發病,橫紋肌肉瘤可轉移到肺、骨、骨髓、淋巴結、腦、肝和乳腺等,可出現相應的症狀。後期發生淋巴結和血行轉移。
檢查化驗
實驗室檢驗
需做血常規,肝、腎功能,尿液分析,骨髓穿刺等化驗檢查。
頭頸部病變要做腦脊液化驗。
兒童橫紋肌肉瘤尚無特異性血漿或尿標記物。
免疫組織化學
胚胎型橫紋肌肉瘤1、可利用針對骨骼肌以及生肌蛋白的抗體來顯示腫瘤中橫紋肌成分。
(1)antidesmin、多特異性肌動蛋白(multispecificactin)、肌紅蛋白D(myoglobinD,MyoD)都是最敏感的標記物。
(2)vimentin、肌紅蛋白、dystrophin、cytokeratin、肌酸激酶(creatinekinase)M和B、S100和神經特異性烯醇化酶用來做進一步的鑑別診斷之用。
(3)肌紅蛋白D的表達在生肌前體轉換為肌肉細胞中有重要意義,而在橫紋肌肉瘤中這一過程是受到抑制的。
2、通過反轉錄聚合酶鏈反應(PCR)和螢光原位雜交技術,橫紋肌肉瘤的診斷可達到分子遺傳學水平,並對治療有指導意義。
在腺泡型橫紋肌肉瘤中發現2、13q35-q14基因位點中斷,而在胚胎型橫紋肌肉瘤中發現11號染色體上有腫瘤生長抑制基因。
3、脫氧核糖核酸(DNA)含量(或稱倍體)也具有一定的診斷價值。
Shapiro研究表明胚胎型均為高倍體,腺泡型主要為近四倍體。37個無法手術切除的橫紋肌肉瘤,8個二倍體的患兒全部死亡,而12個高倍體腫瘤中的10人存活(P<0.0001),但結果缺乏進一步證明。
因為上述生物學、免疫學和細胞學診斷方法在預後判斷以及治療上的重要指導作用,外科醫生必須獲得足夠多的腫瘤送檢,以確保診斷的正確。
X線檢查
根據不同病變部位攝X線片以了解有無骨質破壞。
橫紋肌肉瘤B超檢查圖2、靜脈腎盂造影可發現不規則充盈缺損,以及腫瘤壓迫造成的腎盂積水及輸尿管擴張現象。
3、肢體及軀幹部X線片可了解腫瘤內有無鈣化,骨質有無破壞。
4、胸部X線片應視為各型橫紋肌肉瘤的常規檢查。
超音波探測
顯示腫瘤部位,大小及範圍。
CT
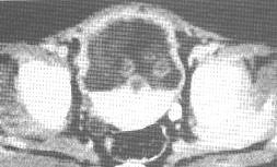
能對各部位腫瘤精確定位,尤適於腹腔,盆腔,顱內及頭顱部腫瘤。
CT表現無特徵性,橫紋肌肉瘤表現結節狀有分隔軟組織腫塊或呈膨脹性團塊不均密度陰影,大部分病變密度低於肌肉,部分病例腫瘤病變有較高密度,厚度不均的環形密度影。
MRI
表現為T1加權像中等信號和T2加權像中等度增高的信號,信號程度不均,形態學上病灶可以邊界清或不清,但與其他軟組織腫瘤較難區別。
活體組織檢查
針吸活檢或切片取活組織冷凍切片檢查,可幫助診斷。
診斷標準
依據病史、臨床表現、乾版照像、核素掃描及動脈造影應想到此病。最後診斷靠病理證實。
臨床分類標準
大腿橫紋肌肉瘤IRS臨床分類標準
1、第一類局限性病灶,可完全切除。
①局限於器官或肌肉。
②原發器官和肌肉外有浸潤灶但局部淋巴結未受累。
2、第二類轉移或殘留。
①肉眼觀病灶已完全切除,但鏡下切除邊緣仍有殘留病灶。
②局限性病灶完全切除,淋巴結受累和(或)腫瘤蔓延到鄰近器官。
③局限性病灶並有淋巴結受累,肉跟觀已完全切除,但鏡下切除的邊緣仍有殘留病灶。
3、第三類未完全切除或在活檢後,肉眼觀仍有殘留病灶。
4、第四類就診時已有遠處轉移。
臨床分度
Ⅰ度:腫瘤局限,安全切除,區域淋巴結未受侵犯。
Ⅰa:腫瘤限於原發肌肉和臟器。
Ⅰb:腫瘤浸潤至原發肌肉和臟器之外,如穿過筋膜層。
Ⅱ度:腫瘤局限,肉眼下完全切除。
Ⅱa:肉眼下原發腫瘤切除,有鏡下殘留,無區域淋巴結轉移。
Ⅱb:腫瘤局限,完全切除,有區域淋巴結轉移。
Ⅱc:肉眼下原發腫瘤切除,有鏡下殘留,有區域淋巴結轉移。
Ⅲ度:不完全切除或活檢,有肉眼下殘留。
Ⅳ度:診斷時已有遠處轉移
鑑別診斷
橫紋肌肉瘤2、胚胎型橫紋肌肉瘤要與淋巴肉瘤、Ewing氏肉瘤鑑別。
3、多形細胞型橫紋肌肉瘤要與惡性纖維組織細胞瘤、多形性脂肪肉瘤鑑別。
治療原則
橫紋肌肉瘤的治療具有特徵性,即外科及放射的局部治療往往達不到長期生存的目的,只有套用全身性化療才能明顯提高生存率,在兒童期的肉瘤更為明顯,合理的綜合治療是治癒橫紋肌肉瘤的關鍵。
制訂治療方案前要根據患者的腫瘤部位,分期,年齡,分型等因素決定。
手術治療的原則是施行廣泛切除術,爭取保留肢體,由於邊緣切除復發率可高達80%以上,故在四肢做不到廣泛切除的病人,截肢仍屬必要。對於不能做廣泛切除的部位,又不在四肢無法行截肢術的腫瘤,術後輔以放療有減少復發的作用。
目前在日本,德國和美國,有臨床數據顯示,質子放療可以有效的控制橫紋肌肉瘤。尤其是對兒童患者,可以有效避免對正常組織的傷害,不會影響到兒童的生長和發育。
化療藥物可供使用的有ADM、CTX、VCR、順鉑等,但療效不肯定。
預後
橫紋肌肉瘤橫紋肌肉瘤預後與腫瘤部位、分期、分型、治療及有無復發轉移有關:
1、腫瘤部位
眼眶及泌尿生殖系腫瘤預後較好,而發生在頭頸部、腦脊膜旁、膀胱後、會陰、四肢預後較差。
腺泡型預後最差,而胚胎型及多形型相似。“ICR”通過343例橫紋肌肉瘤5年生存率分析,葡萄簇狀橫紋肌肉瘤為95%,胚胎型為66%,腺泡型為54%。
2、臨床分期
Mauter報導20歲以下患者5年生存率Ⅰ期80%,Ⅱ期72%,Ⅲ期52%,Ⅳ期20%。20世紀80年代報導,2年生存率50.62%,5年生存率32.73%,可能與成人病例較多有關。影響療效。單純手術69例,5年生存率26.27%。手術加放療則提高至41.37。
3、病例分型
骨組織結構在橫紋肌肉瘤中並不構成有效腫瘤生長屏障,常可見腫瘤破壞眼眶,竇壁,顱底,腦組織神經等。而且20%病例在診斷時已發生轉移而影響預後,且常伴淋巴結轉移。
Lawrence報導腺泡型四肢病例,60%行區域淋巴結活檢,有35%出現淋巴結轉移,有無淋巴結轉移的3年生存率為80%及30%~40%。Ghavimi也報導四肢腫瘤五年生存率為49%。80例檢查了淋巴結,有40%呈現轉移。遠處轉移可發生肺、肝、骨髓、腺泡型橫紋肌肉瘤轉移率最高,其次為胚胎型,多形型。
而葡萄蔟狀肉瘤則病程較長,局部浸潤生長,遠處較少發生轉移,預後較好。
4、復發轉移
橫紋肌肉瘤惡性程度高,易早期出現淋巴及血道轉移。兒童在診斷1年內易發生肺轉移,成人則淋巴轉移比兒童多見。上海醫科大學腫瘤醫院統計淋巴及肺轉移率相近,113例中發生遠處轉移為52例,占42.02%。淋巴轉移率20.35%。因此橫紋肌肉瘤應歸屬為高度惡性肉瘤。
預防
本病無有效預防措施,爭取早發現,早診斷,早治療。
橫紋肌肉瘤可早期發生引流區淋巴結轉移,有必要在腫瘤切除的同時行引流區淋巴結清掃術。
當橫紋肌肉瘤限於特定的部位,能夠用手術切除時,要持續2年用化學療法,抗癌劑套用長春新鹼、放線菌素D、環磷醯胺製劑等。病變進一步擴大,切除已不可能,以及廣泛轉移到淋巴結、肺等臟器組織的時候,要在通常的化學療法之外,加用放射線照射。
進行自身骨髓移植的強有力治療。在眼窩以及陰道發生的橫紋肌肉瘤,由於容易早期發現,不易轉移,所以預後比較好。然而,發生於其他部位的橫紋肌肉瘤,即使暫時縮小,也容易復發,不能說預後一定良好。治療結束後也必須定期地接受檢查,努力預防再發。

