概述
橫紋肌肉瘤(rhabdomyosarcoma)是發生自胚胎間葉組織的惡性腫瘤。橫紋肌肉瘤占兒童實體腫瘤的15%,軟組織肉瘤的50%。臨床表現的多樣性、病理改變的多重性以及發病部位的不同,使橫紋肌肉瘤成為小兒腫瘤中最複雜的一種。在過去的幾十年里,針對腫瘤的不同發生部位及其擴展的範圍採用化療、放療與手術相結合的措施,患者的生存率有了顯著地提高。
病因
(一)發病原因
本症系由各種不同分化程度的橫紋肌母細胞級組成的軟組織惡性腫瘤,腫瘤發病原因不詳,但不排除遺傳因素。
(二)發病機制
分期
IRS的橫紋肌肉瘤分級主要是根據臨床,尤其是術前和術中的情況,而腫瘤生物學特徵並沒能予以反映,因此稱其為外科病理分期也不為過,但IRS的臨床分級仍被廣泛認可。
IRS中,20%的患者屬於Ⅰ級,21%屬於Ⅱ級,45%屬於Ⅲ級,14%屬於Ⅳ級,比較IRSⅡ,Ⅲ級的病人數量有增加,這是主要是因為手術完全切除率下降所致,有些腫瘤如位於盆腔部位其手術目的就不是完整切除。
Ⅰ級患兒中42%發生於除膀胱-前列腺外的泌尿生殖系,31%發生於肢體,Ⅱ級中39%的患兒為除腦膜外的頭頸部腫瘤,Ⅲ級中46%為頭頸部腫瘤,Ⅳ級中31%為肢體腫瘤,14%為腦膜周圍腫瘤,41%為其他類型。
Lawrence和Gehan等人通過對IRSⅡ的資料進行分析,認定腫瘤部位,大小,侵襲範圍及局部淋巴結有無轉移對無遠處轉移的患兒的生存有重要意義,他們對臨床分級加以改進,將其分成4期(表2),現在已被IRSⅣ採用,這種分期主要根據腫瘤的生物學特徵而非手術切除程度,能夠更好地預測預後情況(表3),總的來說,腫瘤原發部位和遠處轉移是決定預後的最有價值的指標。
2.病理改變
(1)肉眼:除胚胎性橫紋肌肉瘤呈黏液樣,生長在腔內者呈息肉樣外,其他型均呈蕈樣,分葉或結節狀,邊界清楚,無真正包膜,切面較鬆軟,灰白或灰紅色魚肉樣,可伴出血和壞死。
(2)鏡下:
①胚胎型:也稱兒童型,由早期幼稚發育的橫紋肌母細胞及原始間葉細胞組成,細胞呈梭形,星形,卵圓或橢圓形,排列稀疏,有豐富的黏液基質,核分裂較多,可見縱行的肌原纖維或橫紋,此型約占橫紋肌肉瘤的2/3。
②腺泡型:青年人多見,主要由未分化的小圓形,卵圓形的肌母細胞組成,瘤細胞排列成腺泡狀,管狀或裂隙狀,形態似胚胎性肌管。
(3)多形型:也稱成人型,主要由較大的帶狀,網球拍狀的多形細胞,巨核細胞和多核瘤巨細胞構成,細胞核不規則,染色深,核分裂較多。
診斷困難者,可行免疫組化檢查,肌紅蛋白,結蛋白和波形蛋白的陽性率分別為72.2%,55.5%和88%,而肌球蛋白可達100%。
檢查方法
1.實驗室檢查:做血常規,肝、腎功能,尿液分析,骨髓穿刺等化驗檢查。頭頸部病變要做腦脊液化驗。兒童橫紋肌肉瘤尚無特異性血漿或尿標記物。
免疫組織化學可利用針對骨骼肌以及生肌蛋白的抗體來顯示腫瘤中橫紋肌成分。antidesmin、多特異性肌動蛋白(multispecificactin)、肌紅蛋白D(myoglobinD,MyoD)都是最敏感的標記物。vimentin、肌紅蛋白、dystrophin、cytokeratin、肌酸激酶(creatinekinase)M和B、S100和神經特異性烯醇化酶用來做進一步的鑑別診斷之用。肌紅蛋白D的表達在生肌前體轉換為肌肉細胞中有重要意義,而在橫紋肌肉瘤中這一過程是受到抑制的。
通過反轉錄聚合酶鏈反應(PCR)和螢光原位雜交技術,橫紋肌肉瘤的診斷可達到分子遺傳學水平,並對治療有指導意義。在腺泡型橫紋肌肉瘤中發現2、13q35-q14基因位點中斷,而在胚胎型橫紋肌肉瘤中發現11號染色體上有腫瘤生長抑制基因。
脫氧核糖核酸(DNA)含量(或稱倍體)也具有一定的診斷價值。Shapiro研究表明胚胎型均為高倍體,腺泡型主要為近四倍體。37個無法手術切除的橫紋肌肉瘤,8個二倍體的患兒全部死亡,而12個高倍體腫瘤中的10人存活(P<0.0001),但結果缺乏進一步證明。
因為上述生物學、免疫學和細胞學診斷方法在預後判斷以及治療上的重要指導作用,外科醫生必須獲得足夠多的腫瘤送檢,以確保診斷的正確。
2.其他輔助檢查:
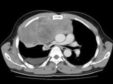
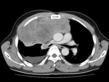
CT、MRI可以定位腫物和其向周圍侵襲的情況。骨掃描可發現骨病變,CT可見肝、腦、心和肺轉移與否,頭頸部病變要做CT或MRI檢查,同時做腦脊液化驗。脊柱旁腫瘤可用MRI觀察脊髓浸潤情況。
治療方法
橫紋肌肉瘤的治療具有特徵性,即外科及放射的局部治療往往達不到長期生存的目的,只有套用全身性化療才能明顯提高生存率,在兒童期的肉瘤更為明顯,合理的綜合治療是治癒橫紋肌肉瘤的關鍵。制訂治療方案前要根據患者的腫瘤部位,分期,年齡,分型等因素決定。
手術治療的原則是施行廣泛切除術,爭取保留肢體,由於邊緣切除復發率可高達80%以上,故在四肢做不到廣泛切除的病人,截肢仍屬必要。對於不能做廣泛切除的部位,又不在四肢無法行截肢術的腫瘤,術後輔以放療有減少復發的作用。
目前在日本,德國和美國,有臨床數據顯示,質子放療可以有效的控制橫紋肌肉瘤。尤其是對兒童患者,可以有效避免對正常組織的傷害,不會影響到兒童的生長和發育。
化療藥物可供使用的有ADM、CTX、VCR、順鉑等,但療效不肯定。
預後
橫紋肌肉瘤預後與腫瘤部位、分期、分型、治療及有無復發轉移有關:
小兒橫紋肌肉瘤質子治療1、腫瘤部位
眼眶及泌尿生殖系腫瘤預後較好,而發生在頭頸部、腦脊膜旁、膀胱後、會陰、四肢預後較差。
腺泡型預後最差,而胚胎型及多形型相似。“ICR”通過343例橫紋肌肉瘤5年生存率分析,葡萄簇狀橫紋肌肉瘤為95%,胚胎型為66%,腺泡型為54%。
2、臨床分期
Mauter報導20歲以下患者5年生存率Ⅰ期80%,Ⅱ期72%,Ⅲ期52%,Ⅳ期20%。20世紀80年代報導,2年生存率50.62%,5年生存率32.73%,可能與成人病例較多有關。影響療效。單純手術69例,5年生存率26.27%。手術加放療則提高至41.37。
3、病例分型
骨組織結構在橫紋肌肉瘤中並不構成有效腫瘤生長屏障,常可見腫瘤破壞眼眶,竇壁,顱底,腦組織神經等。而且20%病例在診斷時已發生轉移而影響預後,且常伴淋巴結轉移。
Lawrence報導腺泡型四肢病例,60%行區域淋巴結活檢,有35%出現淋巴結轉移,有無淋巴結轉移的3年生存率為80%及30%~40%。Ghavimi也報導四肢腫瘤五年生存率為49%。80例檢查了淋巴結,有40%呈現轉移。遠處轉移可發生肺、肝、骨髓、腺泡型橫紋肌肉瘤轉移率最高,其次為胚胎型,多形型。
而葡萄蔟狀肉瘤則病程較長,局部浸潤生長,遠處較少發生轉移,預後較好。
4、復發轉移
橫紋肌肉瘤惡性程度高,易早期出現淋巴及血道轉移。兒童在診斷1年內易發生肺轉移,成人則淋巴轉移比兒童多見。上海醫科大學腫瘤醫院統計淋巴及肺轉移率相近,113例中發生遠處轉移為52例,占42.02%。淋巴轉移率20.35%。因此橫紋肌肉瘤應歸屬為高度惡性肉瘤。

