眼眶纖維肉瘤流行病學
眼眶纖維肉瘤病理
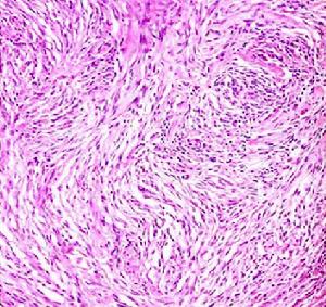
瘤細胞腫瘤全部由梭形細胞組成。細胞具有一帶尖端的核,並產生網狀和膠原纖維。電鏡檢查顯示,胞漿記憶體在膠原絲。在分化較差時,膠原被限制為一薄的網狀纖維,圍繞每一個細胞,並可被銀染色。在其分化相當好時,膠原含量豐富,可經三色染色藍色並伴有粗糙的纖維。細胞和纖維可形成平行排列的束,但常常互相糾結和定向地呈“人字型”。纖維肉瘤按其惡性的程度可分為不同等級(作者分為2~4級)。分化如何與組織學方面的惡性程度成反比的負相關關係。
確定惡性程度的組織學根據如下:細胞的間變、有絲分裂指數、以及膠原產生的多少和密度是評定纖維肉瘤惡性程度的重要指標。Ⅰ級分化最好,表現為細胞少,比正常纖維細胞的核稍大,染色過深,有絲分裂不多,並含豐富的膠原,因此,⒈級的惡性程度最低,而與纖維樣瘤非常近似。Ⅳ級的分化最差,再現為細胞最多,高度間變,有時含有形狀奇特的成份。有比分裂多,而膠原纖維少。此型最像惡性纖維組織細胞瘤。然而應予說明的是,即使在分化最差的纖維肉瘤中,呈嚴重多形性並伴有巨大核或多核的肉瘤樣細胞,實際上很少見到。除上述Ⅰ級和Ⅳ級這兩種極端性的分級有可能與纖維性腫瘤和多形性肉瘤混淆外,纖維肉瘤最常見和典型的改變為Ⅱ級和Ⅲ級。由於兩者均具有不同數量的單一的梭形細胞成份和人字形的組織結構,因而較易確診和鑑別。
病因
原發性眼眶纖維肉瘤病因尚未明了,放射引起的纖維肉瘤肯定了放療在腫瘤發病中起作用。
臨床表現
眼眶纖維肉瘤位於眶內的腫瘤可經眶緣觸及腫物也可透過結膜發現粉紅色腫物。質地較硬,晚期可與骨壁固定其他臨床症狀視腫瘤位置而異可表現視力下降眼球運動受限復視眼眶纖維肉瘤較少出現遠端轉移,常常局部復發而需要多次手術眼眶纖維肉瘤的原發類型常常為無痛性而放射引起的和繼發性腫瘤則有疼痛。
診斷
X線平片對本病診斷價值不大。B超難以準確顯示病變的範圍,也難以準確顯示病變與鄰近結構的關係。CT可清楚顯示眶壁骨質破壞是提示其為惡性病變的可靠徵象也可清楚顯示眶內病變的範圍但難以準確顯示與鄰近結構的關係MRI可準確顯示病變的範圍及與鄰近結構的關係CT應作為常規檢查方法,MRI是術前不可缺少的檢查方法。
鑑別診斷
影像學鑑別診斷包括:①惡性淋巴瘤:範圍更廣泛,往往同時累及眼瞼淚腺及眶內結構或伴有全身其他部位淋巴瘤,常包繞眼球,呈“鑄造”形較少發生眶壁骨質破壞密度或信號更均勻;②橫紋肌肉瘤:多發生於兒童,病情進展迅速常伴有壞死或出血密度或信號常不均勻;③轉移瘤:發病年齡較大多有原發腫瘤病史病變發展快多伴有眶壁骨質破壞。
檢查
檢查表現病理學檢查:不管腫瘤的臨床變化如何,纖維肉瘤的病理學是相當典型的它由稱為人字型的、有交織筋膜的未成熟紡錘形成纖維細胞組成,同纖維瘤及纖維瘤病相反腫瘤相對細胞增生過多細胞核有明顯核仁和有絲分裂活動,並且細胞間較少膠原放射引起的纖維肉瘤傾向於比其他類型惡性度高,常常顯示細胞核多形性並有瘤巨細胞。
電子顯微鏡能確認腫瘤的成纖維細胞性質,而且能幫助把其他紡錘狀細胞腫瘤例如橫紋肌肉瘤神經鞘瘤和纖維組織細胞瘤同纖維瘤相鑑別大體標本見形狀不規則,呈灰白色無明顯包膜。
其它輔助檢查:
1.X線檢查 平片可無異常表現,或僅見眶區密度增高少數可見眶壁骨質破壞
2.超音波探查 B超表現為眶內不規則形的異常回聲,邊界尚清楚,可出現類似假包膜回聲,內回聲較少,常比周圍組織稍低,無壓縮性。
3.CT掃描 纖維肉瘤是多位於肌錐外的軟組織腫塊形狀不規則邊界清楚與眼外肌密度相似密度較均勻。有輕或中度強化可壓迫或包繞眼外肌、視神經等眶內結構,使其移位破壞眶壁骨質侵犯鼻竇、顳下窩、顱內等鄰近眶外結構。
4.MRI 纖維肉瘤是位於肌錐外的實性軟組織腫塊,邊界清楚T1WI呈低信號,T2WI呈高信號多數病變信號均勻,少數伴囊變、壞死及出血增強後中度強化。可包繞或侵犯眼外肌或視神經,也可侵犯鼻竇等鄰近結構,增強掃描聯合脂肪抑制技術顯示更清楚。
治療
在成年期,當行邊緣切除或切除範圍不夠廣泛時,常可局部復發。大多數文獻報導其復發率約為50%,而且約60%的病例可發生轉移。當局部復發後,其轉移的發生率也相應增高。一般多轉移到肺、骨骼和肝臟。淋巴轉移者很少(少於5%)。Ⅰ~Ⅱ級的生存率為60%,Ⅲ級和Ⅳ級約為30%。對纖維肉瘤的治療主要為手術切除,對成年病例,腫瘤切除應徹底,而對兒童病例要求則不如成人者高。切除邊緣應廣泛。對成年患者及Ⅲ~Ⅳ級纖維肉瘤適於行根治性邊緣切除術。
放射療法和化療僅能取得中等或多變而不恆定的治療效果。所以只能作為輔助性治療,特別是適宜於對Ⅲ至Ⅳ級纖維肉瘤的處理。
預後
眼眶纖維肉瘤患者視力預後與病因及病變範圍有關青少年的眶前部纖維肉瘤隨著腫瘤的切除而有良好的視力預後。繼發性眼眶纖維肉瘤常常是廣泛的,根治手術和(或)放射治療常常損害視力。放射引起的肉瘤常常因為同側眼已對視網膜母細胞瘤治療而視力差全身預後也多變。繼發性和放射引起者通常易於復發或發生其他癌腫原發性纖維肉瘤當局限於眼眶軟組織時,通常有一個較好的預後。
眼眶纖維肉瘤吃什麼好
1、眼眶纖維肉瘤吃哪些食物對身體好:
宜清淡為主,多吃蔬果,合理搭配膳食,注意營養充足。
2、眼眶纖維肉瘤最好不要吃哪些食物:
忌菸酒忌辛辣。忌油膩忌菸酒。忌吃生冷食物。
(以上資料僅供參考,詳情請諮詢醫生。)
