簡介
疾病是一個極其複雜的過程。在病原因子和機體反應功能的相互作用下,患病機體有關部分的形態結構、代謝和功能都會發生種種改變,這是研究和認識疾病的重要依據。病理學(pathology)的任務就是運用各種方法研究疾病的原因(病因學,ethiology)、在病因作用下疾病發生髮展的過程(發病學,pathogenesis)以及機體在疾病過程中的功能、代謝和形態結構的改變(病變,patho1ogica1changes),闡明其本質,從而為認識和掌握疾病發生髮展的規律,為防治疾病,提供必要的理論基礎。基本簡介
病理學——顯微鏡下的細胞狀態主要任務
是研究和闡明:1、病因學(etiology),即疾病發生的原因包括內因、外因及其相互關係。
2、發病學(pathogenesis),即在病因作用下導致疾病發生、發展的具體環節、機制和過程。
3、病理變化或病變(pathological change 或lesion),即在疾病發生髮展過程中,機體的功能代謝和形態結構變化以及這些變化與臨床表現(症狀和體徵)之間的關係——臨床病理聯繫(clinical pathological correlation)。
4、疾病的轉歸和結局等。病理學為掌握疾病的本質,疾病的診斷、治療和預防奠定科學的理論基礎。而診斷病理學的主要任務是研究人類各種疾病的病變特點,從而做出疾病的病理學診斷和鑑別診斷,直接為臨床防治疾病服務。
相關概念
(一)細胞、組織的損傷
病理學·發病機制
(1)、細胞膜的破壞:細胞內、外多種有害因素可以破壞細胞膜的結構和功能,從而導致細胞損傷。
(2)、活性氧類物質(AOS)的損傷作用:AOS以其對於脂質、蛋白質和DNA的氧化作用而損傷細胞。
(3)、細胞漿內高游離鈣的損傷作用:細胞漿內高游離鈣可引起胞漿內的磷脂酸和內切核酸酶等的活化。這兩種酶可以降解磷脂,蛋白質,ATP和DNA,從而引起細胞損傷。
(4)、缺氧的損傷作用:缺氧可導致線粒體氧化磷酸化受抑制,使ATP合成減少,使細胞內各種代謝發生障礙,活性氧類物質增多,從而引起細胞的損傷。
(5)、化學性損傷:作用途徑包括:直接的細胞毒性作用;代謝產物對於靶細胞的細胞毒性作用;誘發免疫性損傷;誘發DNA損傷。
(6)、遺傳變異:可導致結構蛋白合成低下,使細胞因缺乏生命必需蛋白而死亡;核分裂受阻;合成異常生長調節蛋白;酶合成障礙,引發先天性代謝病或後天性酶缺陷。
形態學變化
·變性
變性是指細胞或細胞間質受損傷後因代謝發生障礙所引起的某些可逆性形態學變化,表現為細胞漿內或間質內出現異常物質或正常物質數量異常增多。一般來說,變性是可復性改變,原因消除後,變性的細胞結構和功能仍可恢復。但嚴重的變性可發展為壞死。
·細胞水腫或稱為水樣變性
細胞水腫或稱為水樣變性:細胞受損時,最常見的情況就是細胞水腫。細胞水腫是細胞輕度損傷後常發生的早期病變,好發於肝、心、腎等實質細胞的胞漿。
光鏡下:瀰漫性胞漿腫大,胞漿淡染清亮,核可稍大,重度水腫的細胞稱為氣球樣變(見於病毒性肝炎)。電鏡下,除可見胞漿基質疏鬆變淡外,尚可見線粒體腫脹及嵴變短、變少甚至消失,內質網廣泛解體、離斷和發生空泡性變化。相應的器官(心、肝、腎等實質性器官)在肉眼觀上體積增大,顏色變淡。細胞水腫是輕度損傷的表現,原因消除後可恢復正常。
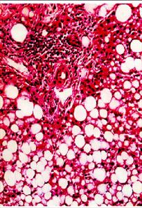
·脂肪變性
脂肪變性1、肝脂肪變性:肝細胞脂肪酸代謝過程的某個或多個環節,由於各種因素的作用而發生異常,可引發脂肪變性。
肉眼可見肝增大,邊緣鈍、色淡黃、較軟,切面油膩感。鏡下:重度脂肪變的肝細胞,其胞核被胞漿內蓄積的脂肪壓向一側,形似脂肪細胞,並可彼此融合成大小不等的脂囊。脂肪變性在肝小葉中的分布與其病因有關,例如肝淤血時小葉中央區缺氧最嚴重,所以脂肪變性首先在此處發生,長期淤血後,小葉中央區細胞大多萎縮、變性或消失,於是小葉周邊區細胞也發生缺氧而發生脂肪變性。磷中毒時,肝細胞脂肪變性主要發生在肝小葉周邊區。肝細胞脂肪變性通常不引起肝功能障礙,重度脂肪變性的肝細胞可壞死,並可繼發肝硬化。
2、心肌脂肪變性:最常累及左心室的內膜下和乳頭肌。肉眼上表現為大致橫行的黃色條紋,與未脂肪變的暗紅色心肌相間,形似虎皮斑紋,稱為虎斑心。鏡下:心肌在正常情況下也可含有少量脂滴,脂肪變性時則明顯增多,脂肪空泡多較細小,呈串珠狀排列,主要位於肌纖維Z帶附近和線粒體分布區,常為貧血和中毒的結果。通常心肌的功能並不受影響。顯著的心肌變性如今並不多見。要與心肌脂肪浸潤相區別。
病理學3、腎脂肪變性:嚴重貧血、中毒或缺氧時,或腎小球毛細血管通透性升高,腎小管特別是近曲小管的上皮細胞可吸收漏出的脂蛋白而導致脂肪變性。脂滴起初多見於基底部。肉眼觀:腎稍腫大,切面上可見皮質增厚,略呈淺黃色。
·玻璃樣變
玻璃樣變:玻璃樣變又稱玻璃樣變性或透明變性,泛指細胞內、纖維結締組織間質內或細動脈壁等處發生蛋白質蓄積,在HE染色中表現為均勻粉染毛玻璃樣半透明改變。玻璃樣變性是一個比較籠統的病理概念,包括許多性質不同的疾病,只是在病理改變上大致相同,即變性物質呈現玻璃樣、均質性、紅染的物質。
1、細胞內玻璃樣變:見於細胞內異常蛋白質蓄積形成均質、紅染的近圓形小體通常位於細胞漿內,例如,腎小管上皮細胞的玻璃小滴變性(蛋白尿時由原尿中重吸收的蛋白質)、漿細胞胞漿中的Russell小體和酒精性肝病時肝細胞胞漿中Malloy小體等。
2、纖維結締組織中玻璃樣變:是膠原纖維老化的表現,常見於瘢痕、腎小球纖維化、變性動脈粥樣硬化的斑塊。鏡下:增生的膠原纖維變粗、融合,形成均質、粉色或淡紅染的索、片狀結構。其中很少纖維細胞和血管。肉眼觀:大範圍透明變性的纖維結締組織,呈灰白色,均質半透明,較硬韌。
3、細動脈壁玻璃樣變:又稱細動脈硬化,常見於緩進性高血壓和糖尿病患者,瀰漫地累及腎、腦、脾和視網膜等處的細小動脈壁。玻璃樣變的細小動脈原因有蛋白質蓄積而呈增厚,均質性紅染,管腔狹窄,可導致血管變硬,血液循環外周阻力增加和局部缺血;管壁彈性減弱,脆性增加,因而繼發擴張,導致破裂出血。
·澱粉樣變
澱粉樣變:在細胞外的間質內,特別是小血管基底膜處,有蛋白質-粘多糖複合物蓄積,並顯示澱粉樣呈色反應,即遇到碘時呈棕褐色,再遇稀硫酸由棕褐色變為深藍色。澱粉樣變可為全身性的,也可為局部性的。全身性分為原發性和繼發性,繼發性者的澱粉樣物質來源不明,常繼發於嚴重的慢性炎症,原發性者的澱粉樣物質來源於免疫球蛋白的輕鏈。局部性澱粉樣變發生於皮膚、眼結膜、舌、喉、氣管和肺、膀胱、胰島(糖尿病時)等處,也可蓄積於惡性淋巴病瘤神經內分泌瘤的間質內。
·粘液樣變性
粘液樣變性:粘液樣變性是指間質內有粘多糖(透明質酸等)和蛋白質蓄積。常見於間葉組織腫瘤、風濕病、動脈粥樣硬化和營養不良的骨髓和脂肪組織等。甲狀腺功能低下時,全身皮膚的真皮及皮下組織的基質中有較多類粘液及水分瀦留,形成粘液性水腫。鏡下:間質疏鬆,有多突起的星芒狀纖維細胞散在於淡藍色粘液樣基質中。粘液樣變性當病因消除後可以逐漸消褪,但如長期存在,則可引起纖維組織增生,從而導致組織硬化
醫學地位
病理學(一)病理學是基礎醫學與臨床醫學之間的橋樑
與我們已經學過的解剖學、組織胚胎學、細胞生物學、生理學和生物化學等不同,它們是研究和探討正常機體生理狀態下的形態結構、機能及代謝的變化規律,而病理學是研究疾病狀態下的變化規律和特點,是以學過的各學科知識為基礎的。病理學將要回答疾病狀態下的形態結構、機能代謝的改變,這些改變與臨床上出現的症狀、體徵之間的關係、疾病的診斷、轉歸和結局這些臨床醫學中的種種問題。因此,在學習醫學的過程中,病理學起到了一個承上啟下或“橋樑”的作用。
(二)病理學(診斷)在醫學診斷中具有權威性
病理診斷是在觀測器官的大體(肉眼)改變、鏡下觀察組織結構和細胞病變特徵而做出的疾病診斷,因此它比臨床上根據病史、症狀和體徵等做出的分析性診斷(常有多個診斷或可能性診斷)以及利用各種影像(如超音波、X射線、CT、核磁共振等)所做出的診斷更具有客觀性和準確性。儘管現代分子生物學的診斷方法(如PCR、原位雜交等)已逐步套用於醫學診斷,但到目前為止,病理診斷仍被視為帶有宣判性質的、權威性的診斷。由於病理診斷常通過活體組織檢查(biopsy)或屍體剖檢,來回答臨床醫生不能做出的確切診斷和死亡原因等問題,國外將病理醫生稱之為“doctor’s doctor”。然而,病理診斷也不是絕對權威,更不是萬能的,也和其他學科一樣,有其固有的主、客觀的局限性。因此,提高自身技術水平、臨床-病理醫生相互溝通,對於減少和杜絕漏診、誤診是十分必要的。參見第十七章“診斷病理學及其套用”。
(三)病理學在醫學研究中的作用
現代病理學吸收了當今分子生物學的最新研究方法和取得的最新成果,使病理學的觀察從器官、細胞水平,深入到亞細胞、蛋白表達及基因的改變。這不僅使病理學的研究更深入一步,同時也使病理學的研究方法滲透到各基礎學科、臨床醫學、預防醫學和藥學等方面。如某一基因的改變是否同時伴隨蛋白表達及蛋白功能的異常,是否可以發生形態學改變;反之,某種形態上的異常是否出現某個(些)基因的異常或表達的改變。臨床醫學中一些症狀、體徵的解釋、新病種的發現和預防以及敏感藥物的篩選、新藥物的研製和毒副作用等都離不開病理學方面的鑑定和解釋。因此,病理學在醫學科學研究中也占有重要的地位。
研究方法
病理學(一)屍體剖檢
對死亡者的遺體進行病理剖檢(屍檢)是病理學的基本研究方法之一。屍體剖檢(autopsy)不僅可以直接觀察疾病的病理改變,從而明確對疾病的診斷,查明死亡原因,幫助臨床探討、驗證診斷和治療是否正確、恰當,以總結經驗,提高臨床工作的質量,而且還能及時發現和確診某些傳染病、地方病、流行病、為防治措施提供依據,同時還可通過大量屍檢積累常見病、多發病、以及其他疾病的人體病理材料,為研究這些疾病的病理和防治措施,為發展病理學作貢獻。顯然,屍檢是研究疾病的極其重要的方法和手段,人體病理材料則是研究疾病的最為寶貴的材料。
一個國家屍檢率的高低往往可以反映其文明進步的程度,世界上不少文明先進國家的屍檢率達到90%以上,有的國家在法律中對屍檢作了明文規定。中國的屍檢率還很低,十分不利於中國病理學和醫學科學的發展,亟待提高。
(二)活體組織檢查
用局部切除、鉗取、穿刺針吸以及搔刮、摘除等手術方法,由患者活體採取病變組織進行病理檢查,以確定診斷,稱為活體組織檢查(biopsy),簡稱活檢。這是被廣泛採用的檢查診斷方法。這種方法的優點在於組織新鮮,能基本保持病變的真像,有利於進行組織學、組織化學、細胞化學及超微結構和組織培養等研究。對臨床工作而言,這種檢查方法有助於及時準確地對疾病作出診斷和進行療效判斷。特別是對於諸如性質不明的腫瘤等疾患,準確而及時的診斷,對治療和預後都具有十分重要的意義。
(三)動物實驗
運用動物實驗的方法,可以在適宜動物身上複製某些人類疾病的模型,以便研究者可以根據需要,對之進行任何方式的觀察研究,例如可以分階段地進行連續取材檢查,以了解該疾病或某一病理過程的發生髮展經過等。此外,還可利用動物實驗研究某些疾病的病因、發病機制以及藥物或其他因素對疾病的療效和影響等。這種方法的優點是可以彌補人體觀察之受限和不足,但動物與人體之間畢竟存在種種差異,不能將動物實驗的結果直接套用於人體,這是必須注意的。
(四)組織培養與細胞培養
將某種組織或單細胞用適宜的培養基在體外加以培養,以觀察細胞、組織病變的發生髮展、如腫瘤的生長、細胞的癌變、病毒的複製、染色體的變異等等。此外,也可以對其施加諸如射線、藥物等外來因子,以觀察其對細胞、組織的影響等。這種方法的優點是,可以較方便地在體外觀察研究各種疾病或病變過程,研究加以影響的方法,而且周期短、見效快,可以節省研究時間,是很好的研究方法之一。但缺點是孤立的體外環境畢竟與各部分間互相聯繫、互相影響的體內的整體環境不同,故不能將研究結果與體內過程等同看待。
(五)病理學的觀察方法
自2006年以來,隨著學科的發展,病理學的研究手段已遠遠超越了傳統的經典的形態觀察,而採用了許多新方法、新技術,從而使研究工作得到了進一步的深化,但形態學方法(包括改進了的形態學方法)仍不失為基本的研究方法。茲將常用的方法簡述如下:
大體觀察:主要運用肉眼或輔之以放大鏡、量尺、各種衡器等輔助工具,對檢材及其病變性狀(大小、形態、色澤、重量、表面及切面狀態、病灶特徵及堅度等)進行細緻的觀察和檢測。這種方法簡便易行,有經驗的病理及臨床工作者往往能借大體觀察而確定或大致確定診斷或病變性質(如腫瘤的良惡性等)。
組織學觀察:將病變組織製成厚約數微米的切片,經不同方法染色後用顯微鏡觀察其細微病變,從而千百倍地提高了肉眼觀察的分辨能力,加深了對疾病和病變的認識,是最常用的觀察、研究疾病的手段之一。同時,由於各種疾病和病變往往本身具有一定程度的組織形態特徵,故常可藉助組織學觀察來診斷疾病,如上述的活檢。
細胞學觀察:運用採集器採集病變部位脫落的細胞,或用空針穿刺吸取病變部位的組織、細胞,或由體腔積液中分離所含病變細胞,製成細胞學塗片,作顯微鏡檢查,了解其病變特徵。此法常用於某些腫瘤(如肺癌、子宮頸癌、乳腺癌等)和其他疾病的早期診斷。但限於取材的局限性和準確性,有時使診斷難免受到一定的限制。既提高了穿刺的安全性,也提高了診斷的準確性。
超微結構觀察:運用透射及掃描電子顯微鏡對組織、細胞及一些病原因子的內部和表面超微結構進行更細微的觀察(電子顯微鏡較光學顯微鏡的分辨能力高千倍以上),即從亞細胞(細胞器)或大分子水平上認識和了解細胞的病變。這是迄今最細緻的形態學觀察方法。在超微結構水平上,還常能將形態結構的改變與機能代謝的變化聯繫起來,大大有利於加深對疾病和病變的認識。
組織化學和細胞化學觀察:通過運用具有某種特異性的、能反映組織和細胞成分化學特性的組織化學和細胞化學方法,可以了解組織、細胞內各種蛋白質、酶類、核酸、糖原等等化學成分的狀況,從而加深對形態結構改變的認識。這種方法不僅可以揭示普通形態學方法所不能觀察到的組織、細胞的化學成分的變化,而且往往在尚未出現形態結構改變之前,就能查出其化學成分的變化。此外,隨著免疫學技術的進步,還可運用免疫組織化學 和免疫細胞化學的方法,了解組織、細胞的免疫學性狀,對於病理學研究和診斷都有很大幫助。
除上述常用方法外,近數十年來陸續建立的還有放射自顯影技術、顯微分光技術、形態測量(圖像分析)技術、分析電鏡技術、流式細胞儀(FCM)技術、多聚酶鏈反應(PCR)技術以及分子原位雜交技術等一系列分子生物學技術,從而使常規的病理形態學觀察,發展到將形態結構改變與組織、細胞的的化學變化結合志來進行研究,而且將歷來的定性的研究發展到對病理改變進行形態的和化學成分的定量研究,從而獲得了大量的更多更新的新信息,大大加深了疾病研究的深度。這是以往的研究所難以實現的。此外,相應儀器也可以幫助病理學更好地發展。例如:用於臨床組織病理學的烤片台 。
病理學成像
病理學成像支持病理學家通過整張載玻片掃瞄器 、實現遠程實時查看的“網路”解決方案,以及“準確”圖像分析解決方案進行更多的訪問,提高臨床工作效率、重現性和一致性。此方法採用市場領先的全視野切片掃瞄器和網路解決方案實現圖像的遠程實時查看以及協作中圖像的輕鬆分配,並採用精密圖像分析解決方案來改善臨床和科研生產力、重現性和一致性,從而幫助病理科醫生取得更大的成就。
學科發展
科學家正在研究病理學中國秦漢時期的《黃帝內經》、隋唐時代巢元方的《諸病源候論》、南宋時期宋慈的《洗冤集錄》等世界名著,對病理學的發展作出了很大的貢獻。半個多世紀以來,中國現代病理學先驅徐育明、胡正詳、梁伯強、谷鏡汧、侯寶璋和林振綱、秦光煜、江晴芬、李佩琳、吳在東、楊述祖、楊簡、劉永等為中國病理學教學、師資培養以及病理學的發展,嘔心瀝血,艱辛創業,功績卓著。在他們的主持和參與下,中國從無到有地編著了自己的具有我國特色的病理學教科書和參考書。同時,大力推進我國的病理屍檢和活檢工作以及科研工作,對長期以來嚴重危害中國人民健康的地方病和寄生蟲病(如克山病、大骨節病、黑熱病、血吸蟲病等)、腫瘤(如肝癌、食管癌、鼻咽癌等)以及心血管疾病(如動脈粥樣硬化症、冠心病等)等常見病、多發病、進行了廣泛深入的研究,到得了豐碩的成果。這些成就不僅對我國當前病理學教學、科研和檢驗工作,而且對今後我國病理的發展,都起著重要的作用。
病理的發展與自然科學,特別是基礎科學的發展和技術進步有著密切的聯繫。當人們還只能依賴肉眼和簡單的放大鏡觀察事件時,便只能產生器官病理學;只有到了顯微鏡和細胞學問世之後,才有可能誕生了細胞病理學;而半個多世紀以來,由於電子顯微鏡技術、特別是20多年來一系列有關新方法新技術的相繼建立和細胞生物學、分子生物學、環境醫學以及現代免疫學、現代遺傳學等新興學科及其分支的迅速興起和發展,對醫學科學、也對病理學的發展產生了深刻的影響,帶來了新的動力。近年來,超微病理學(ultra-structuralpathology)包括分子病理學(molecularpathology),以及分子免疫學(molecularimmunology)、分子遺傳學(moleculargenetics)等等新的邊緣學科和學科分支的建立,促使病理學已不僅從細胞和亞細胞水平,而且深入到從分子水平、從人類遺傳基因突變和染色體畸變等去認識有關疾病,研究疾病的起因和發病機制。現代遺傳病理學認為,在人類疾病中雖然只有一小部分具有明顯的遺傳特徵,但原則上幾乎所有疾病都受遺傳因素的影響。現代免疫病理學的研究則逐步闡明了許多長期以來未被認識的疾病的病因、發病機制及其本質,發現許多疾病的發生髮展均與機體的免疫狀態密切相關。這些進展和發現,為許多疾病的防治開闢了新的前景。
中國病理在前輩病理學者奠定的堅實基礎上,經過新一代病理學者的努力,已有了長足的進步,在隊伍和條件的建設上得到了顯著的發展。中國是一個幅員遼闊、人口眾多的大國,疾病譜和疾病都具有自己的特點,開展好這方面的研究,不僅對中國醫學發展和疾病防治具有極為重要的意義,同時也是對世界醫學的貢獻。面對這一任務,中國病理學的發展具有充分的現實條件和廣闊的前景。當前,我們既要面對現實,大力提倡和開展病理屍檢工作,充分利用我國充豐富的疾病材料“資源”,積極發展中國的人體病理學,也要充分利用各種途徑吸收世界上的新方法新技術,同時這要根據中國的實際情況,開發和建立自己的新方法新技術,加強中國的實驗病理學研究,使中國病理學的發展跟上世界病理學發展的步伐,並在某些方面處於領先地位。這當是中國當代病理學者的責任和任務。
相關詞條
生物化學術語(一)
| 我們學習了很多的生物化學的專業術語。現在,我把它們都整理在一起,可以使我們更加全面、完整的學習,認識,了解它們。 |

