概述
細胞水腫,又稱“水變性”,是細胞可逆性損傷的一種形式,常是細胞損傷中最早出現的改變。其機制為線粒體受損,導致ATP生成減少,再導致細胞膜鈉鉀泵功能障礙,進一步導致細胞內鈉離子和水稻過多積聚。之後,無機磷酸鹽、乳酸和嘌呤核苷酸等代謝產物的蓄積,可增加滲透壓負荷,進一步加重細胞水腫。
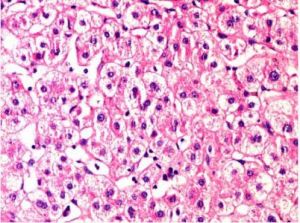
病理變化
急性肝炎引發水變性光鏡下水樣變性的細胞體積增大,因胞漿內水分含量增多,變得透明、淡染,甚至出現空泡,可稱為空泡變性,嚴重時胞核也可淡染,整個細胞膨大如氣球,稱氣球樣變性。常見於心、肝、腎等實質性器官。
受累臟器腫脹,邊緣變鈍,蒼白而混濁,光鏡下胞漿呈粉染細顆粒狀,透明度也降低。電鏡下內質網和線粒體擴張呈空泡狀。
一般而言,細胞水腫是一種可復性的損傷,但是,嚴重的細胞水腫也可發展為細胞死亡。
細胞水腫