簡介
多發性硬化多發性硬化是一種中樞神經系統的疾病,也就是說它的病變位於腦部或脊髓。我們的神經細胞有許多樹枝狀的神經纖維,這些纖維就像錯縱複雜的電線一般,在我們的中樞神經系統中組織成綿密複雜的網路。大自然很巧妙的在我們神經纖維的外面包裹著一層叫“髓鞘”的物質,髓鞘不僅像電線的塑膠皮一樣讓不同的電線不致短路,同時人體的髓鞘還可以加速我們神經訊號的傳導。
當這些髓鞘被破壞後,我們神經訊號的傳導就會變慢甚至停止。多發性硬化症就是因為在中樞神經系統中產生大小不一的塊狀髓鞘脫失而產生症狀。所謂硬化指的是這些髓鞘脫失的區域因為組織修復的過程中產生的疤痕組織而變硬。這些硬塊可能會有好幾個,隨著時間的進展,新的硬塊也可能出現,所以稱作多發性。
此病的症狀端視其所影響的神經組織而定,患者可能出現視力受損視神經病變、肢體無力、平衡失調、行動不便、麻木、感覺異常、口齒不清、暈眩、大小便機能失調等症狀,這些症狀因人而異,嚴重程度也不盡相同。這些症狀可能會減輕或消失,消失後也可能再發作。是否會產生新的症狀或是產生新症狀的時機則無法加以預測對於為什麼會產生這種髓鞘的病變則有許多不同的理論,一般認為這是一種自體免疫疾病,也就是說我們的免疫系統錯把髓鞘當成外來物質而加以破壞。個人體質或病毒都有可能促成這種免疫反應;到目前為止,醫學界還找不出那一種病毒可確定為此病的元兇。總之,其病因到目前為止仍是一個謎。
雖然到目前為止根治多發性硬化症的藥物尚未被發現,但是對於控制病情及疾病所帶來的後遺症仍有許多的治療方法。對於疾病所帶來的症狀如僵硬、痙攣、疼痛、大小便機能失常等,合併藥物及復健的治療都可使症狀改善。皮質類固醇可用來治療急性的發作;近來則有貝它干擾素對於減少復發的次數及復發時嚴重程度的報告。許多醫師也發現,抱持著樂觀態度的多發性硬化症患者,往往能享受更豐富的生活,及更容易得到症狀的改善。
發病因素
多發性硬化症2.肝腎陰虛:情志鬱結,耗損肝陰,肝腎同源,肝藏血,主筋,腎藏精,主骨生髓。肝血賴於腎精的化生,腎精又賴肝血的濡養,精與血相互資生且相互依賴。肝陰肝血不足,日久下汲腎陰,使腎精暗耗,精不生髓,骨失所養,腦失所充;或者先天腎精虛虧,精不生血,則肝血不足,肝腎陰虛,絡脈失養,水不涵木,虛風內動,精髓空虛,腦髓失充而發病,在疾病的晚期多有肝腎虧虛,可見肢體痿軟無力,步態不穩,手足麻木,眩暈;肝血不足則目失所養,故視物模糊不清,甚至失明。
3.氣虛血瘀:氣為血之帥,血為氣之母。病久氣血虧虛,氣虛行血無力,血虧運行不暢,血液凝滯,瘀阻脈絡而發病。證見頭暈眼花,面色萎黃,氣短乏力,走路不穩,肢體麻木、束帶感。
4.脾胃虛弱,氣血虧虛:脾胃主受納、運化水谷,《靈樞·五癃津液別》云:"五穀之津液和合而為膏者,內滲於骨空,補益腦髓。"飲食不節或勞倦傷脾,脾胃虛弱,氣血生化乏源,氣血虧虛,筋骨經絡失養而發病,症見四肢無力,飲食欠佳,語言不利,講話欠清,頭暈等。
5.濕熱浸淫:飲食不節或勞思傷脾,脾失健運,不能運化水濕,聚濕為痰,痰濕內阻經絡而發病。甚或痰濕蘊久化熱,痰熱內擾,蒙閉清竅,清陽不升,濁陰不降而發病。肢體痿軟無力尤以下肢為重兼見手足麻本微腫,胸脘痞悶,噁心嘔吐,頭暈頭沉。
6.瘀血阻絡:"久病入絡","久病多淤"病久血液運行不暢,甚者血液凝滯,瘀阻脈絡而發病。證見四肢痿軟,手足麻木不仁,肢體抽掣作痛。
綜上所述,多發性硬化的病因與感受外邪、情志不舒、飲食不節、勞倦過度、先天腎精不足等有關。其病機主要包括正虛邪客、腎陽虧虛、肝腎陰虛、脾胃氣血虛弱,痰濕中阻、氣虛血瘀等幾個方面。但從臨床經驗和臨床文獻報導總結分析,腎虛和血瘀為本病的主要病機,病位在腦髓與腎、肝、脾等有關,尤與腎關係密切。根據《內經》的論述:"腎者主水,受五臟六腑之精而藏之","腎生骨髓","腎主身之骨髓","腦為髓之海","諸髓者皆屬於腦","腎不生則髓不能滿","髓海有餘則輕勁多力,自過其度;髓海不足則腦轉耳鳴,脛酸,眩冒,目無所見,懈怠安臥";張介賓云:"情藏於腎,腎通於腦……故精成而後腦髓生。"張錫純曰:"腎為髓海乃聚髓處,非生髓之處,究其本源,實為腎中真陰真陽之氣醞釀化合而成……緣督脈上升而灌注於腦。"由上述文獻所述可見腎、骨、髓、腦有著非常密切的生理病理聯繫,腎氣充盈則髓海得養,腦功能健全,腎虛則髓不得生,髓海不足,腦失所養,故腎虛則髓不得生,髓海不足,腦失所養,故腎虛是多發性硬化的主要病理基礎。
地緣性
70-75%病患為女性。不過,在原發性進展型多發性硬化症(primaryprogressivemultiplesclerosis;PPMS),男女比例相當。多在年輕時期發病,以20-40歲最多。平均30歲時發生第一次症狀。原發性進展型多發性硬化症則較老,平均39-40歲時發病。大多數多發性硬化症病患是白人,尤其北歐北美為甚。大概40萬美國人罹患此疾,而全世界大概有一百萬名病患。而越靠近赤道,尤其是熱帶地區發病率很低。
移民理論
(migranttheory)
多發性硬化症被推測在已開發的工業,且具備較佳衛生的國家較常發生。一個移民的研究發現,西印度移民至倫敦後,其多發性硬化症發生率仍然偏低;但其子女的罹病率和倫敦其他住民是相同的。
分類
事實上、有20%的病人並無症狀、而是在死後解剖發現大腦有其病灶。85%多發性硬化症病患初發時以反覆復發緩解(relapseremittingmultiplesclerosis:RRMS)來表現;其中30%進展為二次性進展型多發性硬化症(secondaryprogressivemultiplesclerosis;SPMS)、之前反覆復發緩解的病程趨緩。10%病患屬於原發性進展型多發性硬化症、無法看到明確緩解的病程、而是自病程開始便持續惡化、其預後亦最差。
併發症
多發性硬化症2、痙攣性癱瘓:痙攣是多發性硬化患者中樞神經系統受損的突出特徵,由於失去上運動神經元的控制,下神經元功能亢進,肌肉張力增高,往往伴有肌肉無力,使得患者活動受限。咽喉部位肌肉痙攣形成假性球麻痹,出現吞咽困難,飲水嗆呵,說話不流利。雙上肢痙攣的存在,使得手活動不靈活。雙下肢痙攣,患者多有平衡障礙,步態不穩,容易跌到致傷。
3、發作性症狀:痛性強直性痙攣,皮膚灼熱痛。多被認為是髓鞘脫失致神經間 傳導短路造成。病灶發生在上頸段脊髓,交感神經中樞受刺激可出現手腳多汗,受破壞時手腳乾燥無汗。
4、抑鬱:因為多發性硬化病理過程可以引起心理問題,疾病的致殘性使患者運動障礙,限制了自身活動,與社會隔離,逐漸出現神經心理缺陷,發生抑鬱。 建議:正確對待生病,早期復發,神經功能受影響不重,患者應儘早下床活動,積極參與社會活動和家庭勞動。活動受限的患者,如有肢體功能殘存,也應積極進行功能鍛鍊,增強自信。影響較明顯的患者,可以在醫生的指導下,使用抗抑鬱藥物。
5、褥瘡:如果發生脊髓橫斷性損害,患者出現病灶水平以下截癱,長期臥床,神經功能障礙血液循環不良,營養缺乏,皮膚受壓後,容易破潰形成褥瘡,難以癒合。
病理變化
多發性硬化——形象說明在顯微鏡鏡下,脫髓鞘是本病的主要變化,早期多從靜脈周圍開始(又名靜脈周脫髓鞘)伴血管周圍單核細胞或淋巴細胞浸潤。進行性脫髓鞘病灶的邊緣常有多量單核細胞浸潤,病灶中髓鞘變性崩解成顆粒狀,並被吞噬細胞吞噬,形成泡沫細胞。軸索大多保存,部分可因變性而發生腫脹、扭曲斷裂,甚至消失。此外,少突膠質細胞明顯減少,甚至脫失;星形膠質細胞反應性增生十分明顯,有時可出現肥胖細胞。晚期病灶膠質化,成為硬化斑。
如脫髓鞘區與有髓鞘區相互交替,形成同心圓樣結構,則稱為同心圓性硬化又名Balo病,在我國東北和西南地區有散發病例的報導。近年觀察發現,同心圓硬化和一般的脫髓鞘病灶可出現於同一病例;因此Balo病可能僅是經典型MS的某一階段的表現。Schilder病則表現為大腦皮質下白質廣泛的融合性脫髓鞘病變。皮質下弓狀纖維的髓鞘保存完好是其特徵。
部分病例病變主要累及脊髓和視神經,引起視力損害和脊髓症狀,此即視神經脊髓炎又名Devic病,此型在遠東常見。中國有僅累及脊髓的Devic病報導。
發病機制
病因不明,可能和下列因素有關:①遺傳因素:在歐美白人患者中HLA-A3,-B7和-DW2抗原陽性者較多。②人文地理因素:本病在寒溫帶多見,熱帶則較少。歐洲人發病率高,而東方、非洲人患病率較低。③感染因素:曾懷疑麻疹病毒、皰疹病毒和HIV病毒與本病有關,但即使套用分子生物學方法檢測病灶內及周圍腦組織中的病毒基因組,亦未能得出明確的結論。動物實驗表明,注射腦組織成分或狂犬病疫苗均可引起脫髓鞘病變,提示本病可能為多種因素誘發的變態反應疾病。在脫髓鞘病灶內可檢出CD4+T(輔助)和CD8+T(抑制)細胞,然而確切的發病機制仍不清楚。
臨床病理聯繫
本病病變分布廣泛且輕重不等,故臨床表現多樣,有大腦、腦幹、小腦、脊髓和視神經損害等症狀,如肢體無力、感覺異常、痙攣性癱瘓、共濟失調、眼肌麻痹、膀胱功能障礙等,病情發作和緩解可交替進行多年。多發性硬化(MS)是以中樞神經系統白質的脫髓鞘性病變為特點的自身免疫病,其病因及發病機理尚不清楚,可能與多病因及環境和遺傳因素等有關。女性罹患MS的機會略高於男性,目前全球約有250萬MS病患者。MS病變散在多發,可殃及大腦半球、視神經、腦幹、小腦和脊髓。症狀以肢體癱瘓最為多見,伴有視力障礙、眼球顫、眼肌和面神經麻痹、眩暈、嘔吐、聽力減退、感覺障礙等。MS病的診斷和治療都較難,是一個目前尚不能根治的慢性疾病,但藥物可以減少本病發作的次數和嚴重程度。病程中的緩解和復發是本病的重要特點。緩解期最長可達20年。復發多為急性或亞急性,復發次數可達10餘次或數十次,每復發一次均會殘留部分症狀和體徵。感冒發燒、感染、外傷、手術、妊娠、過度勞累、藥物過敏等均可誘發或引起MS復發。多發性硬化由於在磁共振檢查上的表現與腦部腫瘤相似,容易混淆,故易被誤診為腦腫瘤。因此,除磁共振檢查外,還應結合肌電圖、腦脊液檢查及臨床表現,對MS進行確診。目前,117醫院神經內科採取綜合性治療方案治療MS病人102例,臨
床治癒率達90%以上。
病因介紹
多發性硬化——治療中多發性硬化的病因有哪些?MS的病因至今尚不明確,多數學者認為該病是一種自身免疫性疾病,病毒感染在發病過程中起一定作用,遺傳因素和環境因素決定了個體易感性。
a、自身免疫反應:MS的組織損傷及神經系統症狀被認為是直接針對髓鞘抗原的免疫反應所致,認為是由T細胞所介導的自身免疫性疾病。
b、病毒感染:流行病學資料顯示,MS與兒童期接觸的某種環境如病毒有關,曾高度懷疑為嗜神經病毒如麻疹病毒、人類嗜T淋巴細胞病毒I型,但從未在MS患者的病灶里證實或分離出病毒。
c、遺傳因素:MS有明顯的家族傾向,約15%的MS患者由一個患病的親屬,患者的一級親屬患病機率比一般人群高12—15倍。
d、環境因素:MS的發病率隨緯度的增高而增高。
臨床表現
多發性硬化——趨勢圖a、初發症狀常包括一個或多個肢體局部麻木無力、刺痛、發涼,視力下降、視物模糊、復視,平衡障礙,排便功能障礙等多種功能性病變。還有些病人表現急性或漸進性的痙攣性輕截癱和感覺缺失。
b、初發後可有一定時間的緩解期,再復發可為原有症狀也可出現新的症狀。
c、常見症狀體徵:(1)肢體癱瘓,無力,沉重(2)感覺障礙(3)平衡失調(4)視力缺損,復視(5)進行性無力(6)急性脊髓炎(7)疼痛(8)束帶感(9)局部發涼(10)情緒異常(11)lhermitte征(12)面部感覺障礙(13)陣發性瘙癢(14)構音障礙。
診斷情況
兒童容易患多發性硬化臨床症狀複雜多變,病程呈自然緩解與復發的波動性進展,感染、過勞、外傷、情緒激動對本病的發生可能有一定的關係。因病損部位不同,臨床徵象多種多樣。常見者有:
1、精神症狀:可表現欣快、易激動或抑鬱。
2、言語障礙:小腦病損引起發音不清、言語含混。
3、顱神經及軀體感覺、運動、植物神經系統均可受損,依據受累部位的不同而出現相應的臨床表現。
二、體檢發現
1、顱神經損害:以視神經最為常見,視神經、視交叉受累而出現球後視神經炎。除視神經外,動眼神經、外展神經、聽神經也可受累而出現相應的體徵。
2、感覺障礙:多由脊髓後索或脊丘系斑塊引起。表現為麻木、束帶感,後期可出現脊髓橫貫性感覺障礙。
3、運動系統功能障礙:錐體束損害出現痙攣性癱瘓,小腦或脊髓小腦束損害出現小腦性共濟失調。
4、少數病人出現尿瀦留或尿失禁。
三、輔助檢查
1、腰穿CSF檢查:壓力多正常,蛋白含量增高,以球蛋白為主。
2、腦電圖可異常。
3、視、聽神經誘發電位異常。
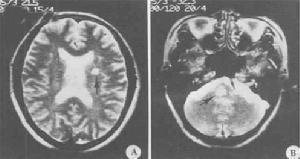
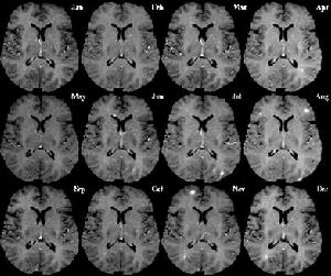
4、頭顱CT或MRI可見病損部位有斑塊異常信號。
治療進展
多發性硬化的治療進展
多發性硬化——顯微鏡下的形態1、疾病調節治療:治療MS的免疫調節藥物主要有干擾素和乙酸。在國外干擾素已成為治療復發-環節型MS的一線藥物,它也可用語治療繼發-緩解型MS。干擾素可減少MS懂得臨床復發次數,MRI上新損害病灶減少伴損害體積的縮小。近來隨著MRI質子波譜成像的套用,人們發現一種特異性的神經元和軸突完整性的標記物N-乙醯天冬氨酸在MS急性損害和早期MS患者腦組織中含量減少,高度提示軸突損害貫穿於MS的整個病程,MS早期即有軸突的損害,且和病情的嚴重程度呈正相關。因此,目前建議早期套用干擾素和乙酸治療以減少不可逆習慣的軸索損害,延緩MS的惡化。
2、細胞因子調節物:MS患者中存在Th1/Th2細胞比例失調,Th1細胞分泌IL-12、NO等物質促進炎性反映,Th2細胞分泌IL-1、4、10、13抑制炎性反映,因此抑制炎性因子的釋放和促進抗炎因子的分泌的分泌是今後MS治療方向之一。
3、皮質類固醇激素和血漿置換:目前,國外這兩類藥物主要套用於急性復髮型MS的治療。皮質類固醇能縮短急性期和復發期的病程,改善軸索傳導性,促進血腦屏障的恢復。主張甲基潑尼松龍500-1000mg靜滴,連用3-5天。但是在急性視神經炎治療中,已很少使用口服皮質類固醇。PE主要用於對大劑量皮質類固醇治療不敏感的MS患者。目前對PE治療的確切機制、療效的持續時間及對復發的影響尚不明確,可能的作用機制與清除自身抗體有關。
4、神經保護及促進髓鞘再生:前體少突膠質細胞最主要的功能是脫髓鞘損害後分化增強,產生新的少突膠質細胞,促進髓鞘再生。但是MS呈慢性進展,提示髓鞘再生的失敗。原因可能為:OPC的凋亡;OPC池的耗竭;自身不能進一步分化;缺乏軸突信號的刺激以及脫髓鞘斑中炎性環境對OPC的抑制、毀損作用;OPC的移行和分化還受到粘附分子N-cadherin的抑制。目前對OPC的功能尚不清楚,但可以肯定它在神經保護和髓鞘修復上起十分重要的作用,已有人構想通過補充OPC來治療MS。在MS治療中神經保護和促髓鞘再生的重要作用正日益受到人們的重視。
5、免疫抑制治療:常規的免疫抑制藥物如環磷醯胺、氨甲碟呤、硫唑嘌呤、環孢黴素A能減輕MS的症狀,但是它們對於MRI上脫髓鞘損害無任何減輕作用,而且全身不良反應大,目前在MS的治療中已很少套用。在治療SP型MS上,國外現使用鹽酸米托蒽琨能減少臨床復發,延緩運動障礙發生,MRI上也顯示能減輕髓鞘損害,但該藥長期療效不肯定,而且有一定的心臟毒性。
6、骨髓移植:造血幹細胞移植已用於治療MS。
7、對抗原及T細胞受體的治療:針對抗原的治療在國外進行的臨床藥物試驗有口服的牛的MBP成分、APL、可溶性HLA-DR2與MBP非共價結合物。主要目的用於抑制T細胞反應的T細胞疫苗和T細胞受體疫苗雖然已用於臨床,但療效不如乙酸。
8、細胞移植:利用細胞移植促進髓鞘再生一直被認為是治療MS的有效方法。
9、症狀治療:對MS治療的主要目的在於減少復發,減緩疾病進程,提高生活質量。症狀治療是一項不可少的手段。MS患者有有以下突出症狀嚴重影響日常生活。(1)疲倦感:可用金剛烷胺、匹莫林治療,並在專業理療師的指導下進行功能鍛鍊;(2)膀胱、直腸、性功能障礙:約75%MS患者有膀胱功能障礙,部分患者性功能障礙,可用藥物對症治療;(3)痙攣:常用力奧來素;(4)疼痛;(5)姿勢性震顫:可用安定類藥物;(6)對溫度的敏感性:體溫升高導致病情惡化,可試用鉀離子阻斷劑,預防感染,避免長期處於高溫環境下;(7)認知功能障礙和憂鬱;(8)眼球異常活動和視力障礙。針對症狀的治療及物理治療,對MS患者自我保健教育是MS治療措施中重要的組成部分。
辨病論治
多發性硬化黃芪、生鱉甲各12~15g,黨參、女貞子、白芍、麥冬、茯苓、生地黃、枸杞子、知母各10~12g,柴胡、黃芩各9~10g,當歸、白朮、制半夏各8~9g,炙甘草3~5g,大棗8枚。每周服2~3劑。陸曦等用本方治療30例,堅持平復湯治療者,經3~13年(平均6年)隨訪觀察,結果除2例因外感後各出現1次症狀反覆者,其餘均未復發。(陸曦,李智文,王華燕,等.中醫預防多發性硬化復發的研究.中醫雜誌,1995:417)
2.健步丸(《中華人民共和國藥典》一部.北京:人民衛生出版社,2000.557)
組成:黃柏,知母,熟地黃,當歸,白芍,牛膝,豹骨,龜甲,陳皮,乾薑,鎖陽,羊肉。
功效:補肝腎,強筋骨。
主治:多發性硬化屬肝腎不足之腰膝酸軟、下肢痿軟、步履艱難者。
用法:每次9g,每日2次。
藥物過敏等均可誘發或引起MS復發。多發性硬化由於在磁共振檢查上的表現與腦部腫瘤相似,容易混淆,故易被誤診為腦腫瘤。因此,除磁共振檢查外,還應結合肌電圖、腦脊液檢查及臨床表現,對MS進行確診。
治療措施
多發性硬化一、皮質激素或免疫抑制劑可緩解症狀。甲基強的松龍1g/d靜滴,5-7天后改為強的松30-40mg/d頓服,逐漸減量直至停藥。硫唑嘌呤(2mg/kg/d)長期治療(平均2年)對控制病情有效。
二、神經營養藥物:胞二磷膽鹼(250mg肌注1次/d)鹼性成纖維細胞生長因子(DFGF1600u 肌注1次/d)可酌情選用。
三、對症治療:對痛性強直發作、三叉神經痛、癲癇發作者可用卡馬西平0.13次/d,痙攣者可給安定等。
多發性硬化是中樞神經系統脫髓鞘疾病,多見於高緯度寒冷地區如北歐、北美洲,亞洲地區發病率較低,但最近幾年從文獻報導上來看我國也不少見。多發性硬化是一種特異性的中樞神經系統的自身免疫性疾病,常在成年發病,具有一種遷延的、不規則的、每況愈下的病程,但傾向於陣發性的復發和緩解,發病可急可緩,臨床表現的症狀多樣,如視力減退,肌無力,感覺異常,共濟失調,尿失禁,智慧型低下,情緒改變。
多發性硬化的患者可以出現頭痛,因為引起頭痛的原因不同,所以頭痛的表現形式亦不同:(1)視神經受損所致,患者在視力改變的同時伴有頭痛,位於前額及眼眶部。(2)三叉神經受損所致,此時的頭痛與三叉神經痛類似。(3)腦部脫髓鞘性疾病引起發作性頭痛,表現形式不一。4.精神障礙後繼發頭痛,此時頭痛很大程度上與神經衰弱所致頭痛的產生原理、臨床表現一致。
至今尚無任何一種特異性的檢驗方法可以確診多發性硬化,所以多發性硬化的診斷是比較困難的。 由於病因還未完全澄清,本病目前尚無任何特效治療方法。任何一種全面的、長期的治療方案,目的均在於:抑制病情的發展,減少復發,對症處理,減輕或解除患者的痛苦,所以當患者出現頭痛難忍時,應給予鎮靜止痛治療。
主要變異型
Devic’sdisease:主侵犯視神經及脊髓、和亞洲型多發性硬化症類似。
感染後腦脊髓炎:其單相病程及發病之前感染及疫苗接種的病史可作區分。
免疫因素
系統中活化的淋巴球增加;BBB(bloodbrainbarrier)的破壞;使中樞神經系統淋巴球的移入增加;產生局部中樞神經系統免疫反應;繼而活化星狀細胞(astrocyte)膠細胞(glialcells)以及內皮細胞(endothelialcells);中樞神經系統受損後產生斑塊(plaque)。
斑塊是多發性硬化症一種特殊病灶的名稱:代表組織的破壞。有些斑塊很小只有幾釐米;有些卻可融合成數公分大、它們阻斷了神經的傳導。不過、仍端視斑塊在腦部及脊髓所在的地方而定。
物理康復治療
多發性硬化的康復治療因為疲勞是多發性硬化的最常見表現,患者本人又常常認為自己是病人,不能鍛鍊,限制自己的身體活動,以減小機體的疲勞症狀。有時對多發性硬化缺乏全面認識地治療人員,也會建議患者避免鍛鍊,以防加重病情。其結果是隨著病情復發,病程延長,患者肌肉的肌力減退,缺乏耐力,活動範圍也越來越小,肌肉因廢用而萎縮,身體抵抗力下降,更易遭受感染,引起疾病再發。
疾病使神經功能遭受破壞,患者活動不便,或限制患者活動。但是,患者應該認識到,功能康復和身體鍛鍊能最大限度地恢復神經功能,是以後患者擺脫依賴他人,儘可能享有獨立自主生活的關鍵因素。
持續有規律的物理康復可以幫助患者恢復肌肉的張力,增加肌肉耐力和骨骼的強度。幫助患者調節情緒波動,安穩睡眠,預防和治療抑鬱症。通過鍛鍊,增強患者的消化機能,幫助恢復括約肌功能不全。
功能培訓和身體鍛鍊應在疾病的早期就開始,比如在患者接受治療後,病情有所緩解時就開始。康復的內容最好有計畫,開始時,要有準備動作,防止損傷和疼痛,如有電擊征的患者,不宜做屈頸鍛鍊,上肢有痛性痙攣發作的患者,慎做屈腕動作等等。
鍛鍊的方式和強度則因疾病累及的部位和嚴重程度而定。比方說,一側肢體功能障礙,健康側肢體可幫助患肢活動,上肢功能障礙,要藉助下肢活動帶動上肢鍛鍊,下肢功能障礙,要藉助上肢活動,也可以藉助輪椅和床上活動,幫助下肢鍛鍊。有的患者病變部位在頸段脊髓,四肢活動都嚴重受損,功能康復和鍛鍊活動應以被動鍛鍊為主。當病情有所恢復後,再開始主動鍛鍊。開始鍛鍊時強度不宜太大,等待肌力有所恢復增強時,逐步加大運動量。
一般說來,住院患者每日鍛鍊2-3次,每次鍛鍊20-30分鐘。出院患者,或能下地活動的患者,可增加活動時間40分鐘至1小時。
應該提醒的是,有的患者病變可能會累及到植物神經中樞,使心血管功能受到影響,當功能鍛鍊引起代謝活動增加時,心血管不能回響調整而影響功能康復。因此,這些患者應學會有節律的深呼吸運動,以此先改善心血管功能狀況,再來改善其他方面的功能。
這裡簡述深呼吸鍛鍊供參考:在安靜的環境中,光線不宜太亮,寬衣仰臥,或端坐,或站立。肌肉放鬆,身體姿態儘可能舒服,閉上雙眼。開始呼吸時,經鼻吸氣,吸氣末稍做停頓,再經口呼氣,節律要慢而緩,且深,並將注意力集中在呼吸聲上,此時,也可藉助祖國醫學氣功的鍛鍊方式,將氣體意念向上送達頭頂後再由頸部向背後行走,終止於手腳。每次練習10分鐘左右。
幾種常用的康復療法:
(1)物理療法(PT):是通過儀器物理或物理結合化學的方法達到治療病殘的方法。它包括直流電療法,直流電藥物離子導入療法,低頻脈衝電療法的神經肌肉電刺激療法,經皮電刺激療法,中頻療法,超短波療法、光療法和超音波療法等等。也可通過祖國醫學的針灸、推拿、按摩等方法治療。
鍛鍊療法也是物理療法的一種。目的是通過有計畫的主動和被動鍛鍊,恢復和維持因疾病或外傷而受損的肢體運動功能。在多發性硬化主要是因疾病而導致的肢體等活動障礙。
鍛鍊療法是醫學和運動科學的結合產物。能重朔和提高中樞神經系統的調節能力,提高植物神經功能,改善組織代謝,改善心肺功能,維持和恢復肢體運動功能,促進代償機制的形成和發展。
多發性硬化患者的鍛鍊療法,應該根據患者的不同病情,如殘疾狀況、殘疾部位等來設計鍛鍊計畫,如關節的活動範圍,肌肉力量和耐力的鍛鍊,協調和平衡鍛鍊等。鍛鍊療法不僅可以幫助恢復受損的神經功能缺陷,也可預防凍結關節、關節攣縮和褥瘡。內容包括練習肢體的伸展、控制軀幹和上肢肌肉、學習使用輔助設備、如何完成身體位置的轉移、應急處理倒地的自我保護等。
(2)作業療法(OT):針對患者特殊的日常生活和職業工作而設計的一些作業,對患者進行訓練,以期緩解症狀和改善功能的一種治療方法。以前,國外的作業療法主要採用木工、黏土和編織三大類。現在又引入了一些科學技術較強的項目,如書法、繪畫、計算機操作,制陶和其他手工藝等,也包括穿衣、洗梳、吃飯,以及側重培訓協調,使用輔助設施等。這些項目涉及到患者上臂和手的基本功能訓練。
當然作業內容的安排應該根據患者的具體情況而定,有的患者需要繼續工作,則應該依自己的工作需要安排,有的患者是生活需要,則應該按照如何方便或有利生活去做。
(3)言語療法:對患者的各種言語障礙進行矯治,幫助因講話困難的患者恢復語言交流技能。在多發性硬化患者,言語障礙主要是構音。因為面部肌肉、舌頭力弱和協調性差,大都伴有吞咽困難。
治療目標應該根據患者構音障礙的嚴重程度設計治療目標,比如重度構音障礙,通常不能用言語交流,治療的目標爭取能獨立使用言語交流。中度言語障礙,患者說的話不能被他人所理解,治療的目標是恢復最佳的可懂度。輕度言語障礙,治療的目標是儘可能恢復自然的言語交流。
患者還可在水中鍛鍊,優點是水能降低身體的重力作用,水的支撐能幫助力弱的肢體活動到儘可能大的範圍,適當的水深能幫助用低於陸地上的力量保持鍛鍊中身體的平衡,利用水中使用的設施,增強肌肉的力量。
自我保健
多發性硬化症患者的自我保健
對於多發性硬化症病人來說,訓練有較高的要求,儘管在發作期應停止實施,而且非發作期也不能訓練強度過大,因為用力過度會招致損傷。肌肉收縮由神經衝動刺激產生,所以神經破損處的肌肉訓練可能很困難,但是游泳、伸展和肌肉活動均在許多多發性硬化症病人的能力範圍之內,甚至輪椅上的病人也可以作一定程度的訓練。
有痙攣狀態、步態僵直和有腳、趾等伴發症的病人作常規伸展運動非常有幫助,在溫水中作常規伸展動作稱水療,也能幫助放鬆痙攣的肢體。另外,常規的瑜伽功訓練可增強腎上腺髓質的分泌功能,腎上腺髓質分泌物為神經--肌肉刺激物,他能幫助你減慢功能退化的速度。
多發性硬化症多發性硬化(MS)是以中樞神經系統白質的脫髓鞘性病變為特點的自身免疫病,其病因及發病機理尚不清楚,可能與多病因及環境和遺傳因素等有關。女性罹患MS的機會略高於男性,目前全球約有250萬MS病患者。MS病變 散在多發,可殃及大腦半球、視神經、腦幹、小腦和脊髓。症狀以肢體癱瘓最為多 見,伴有視力障礙、眼球震顫、眼肌和面神經麻痹、眩暈、嘔吐、聽力減退、感覺 障礙等。MS病的診斷和治療都較難,是一個目前尚不能根治的慢性疾病,但藥物可以減少本病發作的次數和嚴重程度。病程中的緩解和復發是本病的重要特點。緩解期最長可達20年。
復發多為急性或亞急性,復發次數可達10餘次或數十次,每復發一次均會殘留部分症狀和體徵。感冒發燒、感染、外傷、手術、妊娠、過度勞累、藥物過敏等均可誘發或引起MS復發。
雖然不能精確預見每位多發性硬化患者的病程,但發病前5年的情況對於遠期預後有一定的提示作用,主要依據為5年內的變化情況和病變類型(如復發-緩解型)。研究表明, 5年和10年時的殘疾程度對於遠期預後是可靠的指標,當然,患者的情況總是千變萬化的。
對大部分多發性硬化患者而言,疾病並未嚴重的影響生活,這段時間可達5~10年,甚至更長,患者可以正常而有活力的生活。
在10年後,有將近30%~50%的復發-緩解型多發性硬化患者轉變為進展型。
發病年齡和性別對遠期預後也有影響。有研究表明發病年齡較小者(小於16歲者),預後更好。
但需要提出,儘管年輕患者在發病初10-15年較少受累,成年期後最終仍是有部分殘疾的。其他研究表明晚髮型(大於55歲),特別是男性患者,常提示進展型病程。
在新近診斷的多發性硬化患者中用藥應積極,對於復發-緩解型且有行走能力的患者 ,可套用免疫調節藥物如β干擾素。β干擾素能減慢疾病進展至殘疾,同時能降低疾病的嚴重程度和惡化的頻率。對多發性硬化的研究是我們看到,在不久的將來,將出現能改變(儘管不能治癒)多發性硬化病程的治療方法。
應該記住,許多患者存在需要處理的功能缺損(如疲乏、跛行、膀胱問題)。平均而言,50%的患者在15年後仍能行走,40%患者仍能工作。但是,有將近10%的患者在發病5年裡發展至嚴重功能障礙(如必須使用輪椅或全天照顧)。此外,多發性硬化患者的壽命多不受影響。
人群、家族、孿生子對照研究提示,多發性硬化具有基因易感性。如果雙親之一患多發性硬化,下代患該病的發生率推測在3%,普通人群的發病率約為0.3%。所以,整體上說,多發性硬化家族中下一代發病的危險性高於普通人群,但是,這並不意味著子代肯定發病,因為環境因素也影響發病。
多發性硬化的特點① 中樞神經系統病灶的多發性;
② 症狀和體徵的多發性;
③ 病程的時間多發性;
④ 病程中復發---緩解現象的多發性。
多發性硬化確切的病因尚不清楚。遺傳因素、環境因素,比如病毒、細菌等都可能參與多發性硬化的發病。多發性硬化不是遺傳性疾病但具有遺傳易感性,親屬中有多發性硬化患者的人群發生該病的幾率明顯高於普通人群。多發性硬化常於青年時發病,平均發病年齡為30歲,具有兩個發病高峰:21-25歲以及41-45歲。21-25歲發病者更為常見。女性多發性硬化患者大約是男性患者的1.5-2倍。
多發性硬化的危害多發性硬化若不及時治療,會引發感覺異常、視覺障礙、疲乏運動障礙、平衡障礙、腸和膀胱功能障礙、性功能障礙、疼痛。
現代醫學對於多發性硬化的治療還是主要靠激素衝擊治療和長時間維持,雖可暫時控制或緩解症狀,但不能從根本上控制病情。
美國研究人員最近發現,咖啡因能防止老鼠罹患類似人類多發性硬化症的疾病。這一發現將有助於開發防治多發性硬化症的新方法。
美國康奈爾大學的傑弗里·米爾斯等人通過實驗發現,每天攝入一定量咖啡因(相當於一個人每天喝6杯到8杯咖啡)的老鼠,不容易患實驗性自體免疫腦脊髓炎,這可能是咖啡因阻止免疫細胞進入老鼠中樞神經系統的結果。
實驗性自體免疫腦脊髓炎是人類多發性硬化症的動物表現形式,這是一種免疫系統錯誤攻擊自身機體的自體免疫疾病,會使腦以及脊髓神經受到損害。
此前的研究表明,腺苷在多發性硬化症發病過程中起重要作用,因此它可能負責幫助免疫細胞進入中樞神經系統。腺苷在人體內廣泛存在,在生物化學上扮演重要角色,如轉移能量、促進睡眠等。
研究人員在一份聲明中說,腺苷需要與腺苷受體結合才能影響中樞神經系統,而咖啡因之所以能對中樞神經系統產生刺激作用,很大程度上也是因為它能與腺苷受體結合,因此咖啡因能被用來阻止腺苷發揮作用。
在老鼠身上進行的研究還驗證了一點:缺少腺苷受體以及在細胞外合成腺苷所必需的物質CD73酶,老鼠就不易患實驗性自體免疫腦脊髓炎。研究人員指出,這一發現和咖啡因的相關作用,有助於推動基於腺苷的多發性硬化症的防治研究。
多發性硬化患者的術後護理
進行全環境保護預防感染的發生:40%MS病人在首發病前1個月內有一定的誘因,其中多為感冒發熱,復發時有誘因者占24.6%,其中感冒發熱占很大比例。而感染也是導致移植失敗最主要的原因之一。故在對病人整個治療中要嚴格無菌操作,病人入住百級層流病房,進行全環境的保護隔離,預防感染。
心理護理:病人經受了常年的病痛折磨,希望該療法能根治疾病,當沒有達到預期目標時會很失望。病人剛入院時向其介紹疾病特點、治療機制,治療效果的個體差異,治療過程中的不適等,並告知病人治療中的不適會隨著疾病的好轉而減輕或消失,使其作好心理準備,配合治療。治療過程中在保證遵循治療護理原則的前提下,儘量滿足病人的要求。
大便護理:便秘採用開塞露或緩瀉劑後排便,如病人血小板低要慎用灌腸,以免發生腸道出血。預防處理後,病人出現腹瀉,嚴重者每日大便20餘次,大便培養正常。每次大便後用軟紙輕輕擦淨肛周,用0.05%氯已定溶液(38 ℃)清洗坐浴15 min,再塗抹金黴素軟膏保護肛周黏膜。飲食上注意禁食油膩食物,以免引起或加重腹瀉。
化療時的病情觀察:化療時使用大劑量的CY會造成心肌損害、引起出血性膀胱炎。使用護心通保護心肌,給病人進行心電監護。使用美安保護膀胱黏膜,水化、鹼化及強迫利尿,保證尿量200 ml/h,監測尿pH值、尿色,記錄24 h出入量、每日晨測體重、每日監測血電解質、尿常規,觀察有無水電解質酸鹼平衡紊亂的跡象。
1.平時注意鍛鍊身體,防止病邪的侵襲,做到"正氣存內,邪不可乾"。
2.避免手術、外傷、受寒、分娩等誘發因素。
3.起居有常,節制性慾,避免房勞過度損傷腎中精氣。
4.高溫可阻礙神經傳導,要避免用熱水浴與其他熱療等。
1、每日攝入50-80克蛋白質。建議多食富含植物蛋白的食物,如豆腐,帶皮土豆,蛋清,穀類,堅果類等食物。
2、建議大量減少加工食品特別是動物脂肪等的攝入,還要大量減少朱古力,甜食和冰激凌的攝入。
3、每日吃4到10茶匙(20到50克)優質食用油,如大豆油,麥胚芽油,亞麻子油,這些油類可以提供充分的每日必須的部分多鏈不飽和脂肪酸。
4、每日攝入一些魚油會對多發性硬化起到良好的改善作用。從生理學和營養學觀點來看,魚類食品具有很高的營養價值,這點已經毋庸置疑了。因為,魚類特別是深海魚類富含足量的多鏈不飽和脂肪酸和高質量的蛋白質。
5、應該減少碳水化合物中的糖的攝入。選擇一些粗糧,如,全麥麵粉,全麥麵包,糙米(沒有精加工的米和燕麥食物。
6、多吃水果,蔬菜和沙拉以提高食物中的纖維素成分。
7、將每周食用動物肉類的次數減少到2次到3次,嚴格克制吃肉的欲望,代替以魚類食物。最好不吃香場,因為香腸含有大量的脂肪;
8、無論到哪裡,須保證食物高質量性的和自然性。應該少量攝入精加工食品。
運動不能或者長期服用腎上腺皮質激素可以導致骨質疏鬆的風險大大增加,所以,建議多補充維他命D和鉀。適度的有規律的身體鍛鍊也有助於防止骨質疏鬆症。
①肢體完全無自主運動階段:保持肢體功能位,防止痙攣性截癱、肌肉攣縮畸形。在此階段,康復的方法是推拿和被動活動,每個關節均要活動,每次5~10 min,3~4次/d。
②肢體有輕度的自主活動階段:方法同前,此時肌肉痙攣有所緩解,故推拿手法可加重,以病人能承受為度。此階段可鼓勵病人多活動肢體,充分發揮已恢復的肌力,促進肢體功能的恢復。
③肢體已能自主活動,但肌肉仍存在阻抗階段:鼓勵病人在體力允許的情況下主動運動。根據病人的自身情況和病人共同制定活動計畫。開始先在護士的扶助下練習站立,然後逐步增加行走距離。指導病人行走訓練中利用視覺保持平衡,以少量多次為原則。選擇地面乾燥、空間較大的地方進行鍛鍊,護士陪同在旁,防止病人摔倒。
④痛性痙攣的康復治療:康復治療從遠端開始介入,進行跟腱、繩肌、趾屈肌腱、腕屈肌的徒手被動牽伸,1 h/d。隨著病情好轉開始四肢近端關節的被動活動及助力運動,時間選擇在抽搐發作較輕的時間段。康復運動為病人今後下地行走提供了條件。
多發性硬化症【症狀護理】
1.視覺障礙、感覺障礙時,外出要有陪伴,經常檢查感覺障礙部位有無損傷,保證病人安全。
2.避免誘發因素,如情緒激動、勞累、感染、創傷、應激等。
3.疼痛性強直性痙攣發作,應保持室內安靜,儘量減少不必要的聲響和皮膚激惹,遵醫囑服藥。
4.發作期應臥床休息,要加床擋。恢復期,鼓勵做適當的體育鍛鍊,但不宜做劇烈運動。
5.避免熱、冷和壓力對皮膚的刺激,定時更換體位。
6.告知病人尿路感染的症狀和體徵,同時指導病人膀胱訓練。保持大便通暢,做好皮膚、會陰部護理。
7.呼吸肌麻痹者,應做氣管切開,使用人工呼吸器並做相應的護理。
【一般護理】
1.注意保暖,根據季節增減衣服,防止受涼。
2.做好生活護理,保持病人的皮膚和床單位清潔,經常更換內衣。
3.飲食要營養豐富易於消化,進食要慢,防止嗆咳。
4.家屬和(或)護士要多與病人溝通,鼓勵病人表達自己的感受,耐心進行解釋。
【健康指導】
1.加強鍛鍊,預防感冒,保證足夠的營養,增強抵抗力。
2.注意休息,避免過度疲勞。
哈佛醫學院最新研究表明,大量補充維生素D可以降低女性患多發性硬化症(MS)的幾率。多發性硬化症是由於保護神經的髓鞘受到損傷造成的。有18萬7千名女性參與了10年前開始的初期健康研究和此後的二期研究,研究者收集和分析了所有的數據。對前一組受試者的飲食和複合維生素攝入情況,每4年進行一次評估,持續20年;對後一組受試者每10年進行一次評估。結果表明:大劑量(每天400IU或更多)攝入維生素D的女性多發性硬化症的發病率較對照組低40%。該研究結果發表於2004年1月第13期的《神經學》雜誌。
複合維生素中的一些成分可能有助於預防多發性硬化症,但是大量的實驗數據表明維生素D起著關鍵性的作用。以小鼠為動物模型的研究表明,維生素D可以預防或減緩多發性硬化症的病情發展。其他的研究還發現多發性硬化症患者體內呈現低維生素D水平,而且,病情隨著體內維生素的水平波動。多發性硬化症在高緯度地區北緯地區更常見,因為那裡冬季皮膚得不到足夠的紫外線照射,從而導致體內維生素D的水平較低。
注意事項
多發性硬化症每日攝入50-80克蛋白質。建議多食富含植物蛋白的食物,如豆腐,帶皮土豆,蛋清,穀類,堅果類等食物。
建議大量減少加工食品特別是動物脂肪等的攝入,還要大量減少朱古力,甜食和冰激凌的攝入。
每日吃4到10茶匙(20到50克)優質食用油,如大豆油,麥胚芽油,亞麻子油,這些油類可以提供充分的每日必須的部分多鏈不飽和脂肪酸。
每日攝入一些魚油會對多發性硬化起到良好的改善作用。從生理學和營養學觀點來看,魚類食品具有很高的營養價值,這點已經毋庸置疑了。因為,魚類特別是深海魚類富含足量的多鏈不飽和脂肪酸和高質量的蛋白質。
應該減少碳水化合物中的糖的攝入。選擇一些粗糧,如,全麥麵粉,全麥麵包,糙米(沒有精加工的米和燕麥食物。
多吃水果,蔬菜和沙拉以提高食物中的纖維素成分。
將每周食用動物肉類的次數減少到2次到3次,嚴格克制吃肉的欲望,代替以魚類食物。最好不吃香場,因為香腸含有大量的脂肪;
無論到哪裡,須保證食物高質量性的和自然性。應該少量攝入精加工食品。
運動不能或者長期服用腎上腺皮質激素可以導致骨質疏鬆的風險大大增加,所以,建議多補充維他命D和鉀。適度的有規律的身體鍛鍊也有助於防止骨質疏鬆症。多發性硬化患者的步態異常與哪些因素有關
在復發次數多,病情較重的多發性硬化患者,常常存在步態失常。步態失常甚至是限制患者日常生活、社交活動和工作的主要障礙。通常與下列因素有關:
1、僵直狀態:因為肌肉張力高,雙下肢痙攣僵硬,行走時呈剪刀狀,邁不開步,行走不慎容易跌倒,上下樓梯不穩也容易跌倒。
2、力弱:肌肉力弱是患者行走困難的主要原因,末端力弱導致腳趾拖拽、足下垂。近端力弱上樓梯、登高困難。如果兩條腿力弱,醫學上稱截癱,單腿力弱稱單癱。
3、深感覺短缺:因為病變部位累及脊髓後索所致。患者感覺不到腳下的地面和地板,行走時腳下好象無根,如同踩在棉花上,患者尤其不敢走夜路,行走不穩,容易跌倒,醫學上稱感覺性共濟失調。
4、平衡缺失:病變部位多累及小腦,或累及與小腦相連繫的傳導通路。有代表性的異常步態呈醉酒樣步態,又叫蹣跚步態。
5、疲勞:當身體感到疲勞時,患者也會感到行走不穩。
增加身體活動也可幫助改善排便,如散步、游泳。有殘疾的患者也可在床上、椅子上、沙發上做運動,這些活動不受時間、年齡限制。
多飲水。如果心腎功能正常,不管是否口渴,每日至少飲8杯水左右。也可飲用果汁和其他軟飲料。為了防止夜間小便多,行動不方便,干擾睡眠,最好白天多飲水,晚上8點以後不再飲水。
應該養成規律排便的習慣,最好選擇在早飯後的30分鐘內。排便頻度以每2-3天一次為宜。便前可按順時針方向進行腹部按摩,也可在排便前喝杯溫開水刺激胃結腸反射。排便時不要讀書、看報,避免分散注意力,要一心一意排便。
增加含纖維較多的食物,如粗糧、水果、蔬菜等。因為纖維斂水,不被吸收,能增加體積,促進腸蠕動。為了預防腸道脹氣、飽滿感、或引起消化不良,腹瀉,應逐漸增加食物入量。
銀杏來自銀杏樹的樹葉,它已經在傳統中國醫藥中,使用了好幾千年來治療各種不同的疾病。
某些研究顯示,它可以改善某些患有阿茲海默氏症病患的心理功能,並且保護他們的神經;這項新的研究顯示,銀杏可能可幫助患有多發性硬化症的人。包含奧勒岡健康&科學大學的神經學系Jesus Lovera醫學博士在內的研究人員表示,一項小型、簡短的究顯示,銀杏對改善有認知障礙的多發性硬化症病人的注意力可能有幫助。Lovera在一篇新聞稿中表示,然而,銀杏需要在更大型的試驗中被測試。
他表示,這項研究意味著對於認知的問題,它可能只能幫助某些特定的病人,我們需要再進一步研究了解;他同時表示,銀杏的安全與效力也需要被檢測。這項調查結果發表於在佛州邁阿密海灘所舉行的第57屆美國神經學學會年會上。研究的調查結果總共有39位受試者參加這項研究,他們都被診斷患有多發性硬化症,並且在學習、記憶或是處理信息的速度上有某些損害。
首先,參加者參加了好幾項心智功能測試,然後他們被分配服用安慰劑或是銀杏(每天兩次每次120毫克)為期三個月,之後,他們再一次參加心智測試。相較於服用安慰劑的那組,服用銀杏的那一組在某一項測試(而非全部的測試)上表現較佳。
那一項測試,叫做Stroop測試,有好幾項步驟,首先,研究人員給這些人看彩色的盒子,並且要求他們說出每個盒子的顏色,接著,他們被引導印在不同顏色上的墨水的顏色(如用紅色墨水寫在綠色上);這項測試是我們能夠比說出顏色要快的速度,自動地讀出文字;最後,他們描述每個字所用的墨水。
銀杏那一組在Stroop測試上減少了四秒就完成,比起他們在服用銀杏之前的表現,時間減少了13%;而服用安慰劑的那一組的完成時間則沒有改變。
輔助診斷
多發性硬化症(1)腦脊液(CSF)
①CSF單個核細胞輕度增高或正常,一般不超過(50~100)x106/L;過高應考慮其他疾病;
②CSF—IgG指數:MS的CSF—IgG增高主要為CNS合成,IgG指數〉0.7則提示鞘內合成,見於約70%~80%的MS患者;
③CSF—IgG寡克隆帶:MS的陽性率可達95%以上。
(2)周圍血
疾病急性期或活動期,周圍血中CD+8 T淋巴細胞計數降低,CD+4 T淋巴細胞計數增高,CD+4/CD+8比值增高;血清及CSF中鹼性髓鞘蛋白含量增高,且與病情嚴重程度呈正相關。
(3)尿液
每日尿新蝶呤(neopterin)含量的增高可先於臨床症狀7~14天出現,故測定其含量可預測病變的復發。
(二)、電生理檢查
(1)視覺誘發電位(VEP)可檢測視神經或視通路及緊鄰的病灶和亞臨床病灶;
(2)腦幹聽覺誘發電位(BAEP)可檢測聽覺通路或其緊鄰的病灶和亞臨床病灶;
(3)體感誘發電位(SEP)可檢出深感覺通路或其緊鄰的病灶和亞臨床病灶;
(4)三叉神經一頸反射(TCR)有助於腦幹損傷定位;
(5)瞬目反射(BR)可發現MS腦幹(亞)臨床病變。
(三)MRI( magnetic resonance imaging )
常規MRI檢查對MS的臨床確診患者MRI陽性率>95%。MRI檢查可見大小不一,類似圓形的T1底信號,T2高信號,常見於側腦室前角與后角周圍,半卵圓中心及胼胝體,或為融合斑,多位於側腦室體部;腦幹、小腦和脊髓可見斑點狀不規則T1底信號及T2高信號斑塊;病程長的多數患者可伴腦室系統擴張,腦溝增寬等白質痿縮徵象。多發性硬化引起的震顫
震顫是一種難以控制的身體抖動症狀。在多發性硬化患者比較常見。震顫可以發生在身體的許多部位,如軀幹、頭、肢體、口唇、舌和眼等。臨床上常見的震顫有以下三種:
1、意向性震顫:靜止狀態下不出現,只出現在運動時,特別是當手接近目標時,震顫明顯加重,所以又稱目的性震顫。這種震顫是多發性硬化最常見的表現形式,提示預後不良。
2、姿勢性震顫:震顫發生在肢體或身體支持整個重力的時候,如當患者站立或坐位時,出現震顫,身體臥床時震顫消失。
3、眼顫:又叫眼震,為眼球的跳躍性動作。眼睛向兩側注視時,容易發現。如果先前注視,也出現眼震,提示病情比較重。
震顫發生的機理是炎性脫髓鞘斑塊破壞了負責協調作用的神經傳導通路,此時患者在表現為身體震顫的同時,往往伴有說話和行走困難,因為這些功能受同一組神經功能調控。
震顫是多發性硬化最難治療的症狀之一,有的藥物可以暫時緩解症狀,長期套用容易產生耐藥,療效降低。常用的藥物有抗結核藥物異煙肼,使用時所需劑量較大,應注意副作用,最好合併使用維生素B6,預防末梢神經炎。抗組織胺藥安泰樂、羥嗪,有中樞神經鎮靜作用。抗心率失常藥物β-受體阻滯劑,心得安、倍他樂克、阿兒馬爾等,哮喘、心率慢的患者慎用或禁用。抗焦慮藥氯硝安定、丁羅環酮。酒精和麻醉藥品如四氯大麻酚可以緩解震顫,但是不提倡使用。
震顫可以在情緒緊張時明顯加重,會使患者在公眾場所處於難堪,愈加掩蓋,震顫的症狀卻愈加嚴重,為此有的患者在上臂捆綁沙袋,試圖通過增加重量減輕震顫。患者也可求助心理醫生和作業治療師幫助自己。
嚴重而頑固的震顫,藥物、作業療法難以奏效,可以採取功能神經外科手術療法,像治療帕金森病那樣,在腦深部植入電極,通過電刺激改善症狀。
復發的特徵
多發性硬化症由反覆復發緩解型進展為二次性進展型多發性硬化症的特徵
85%多發性硬化症病患、初發時以反覆復發緩解來表現。其中30%進展為二次性進展型多發性硬化症;其中幾種病患特徵被視為不利 於預後的因素:
第一次發作時已大於35歲;
第一次發作時已有多處的神經系統受損;
復發的症狀以運動消化道排泄功能失調為主;
第一年就有兩次以上的復發;
復發後緩解並不完全;
EDSS分數大於3.5分或中度以上的運動障礙。
這樣的病患較易進展為二次性進展型多發性硬化症、預後亦較差。
預防
多發性硬化症2.多發性硬化的飲食:對於多發性硬化患者來說,做到平衡膳食對維持良好的身體狀況很重要。既往,國外曾有學者認為,不適當的飲食可能是多發性硬化的發病原因之一,如攝入較多的動物脂肪,肉製品和牛乳等。因此,也曾有多種膳食食譜推薦給患者,以幫助其治療多發性硬化,實踐證明是無效的。患者應該保證平衡飲食,不挑揀,多種類。有證據表明,魚肝油、植物不飽和脂肪酸可能具有預防多發性硬化復發的作用,所以同心血管疾病一樣,建議患者採取低脂、高纖維膳食。
3.此外,病情反覆發作的患者常常使用大量激素衝擊治療,或用小劑量激素維持,而激素可以刺激胃酸分泌,增加患者的食慾,這時患者應該注意控制食量,以避免誘發肥胖,導致高血脂、高血壓、糖尿病等。因為胃酸分泌增加,對消化道黏膜具有不良作用,所以患者應該避免食用過於辛辣的食物。有的患者需要在使用激素的同時,使用抑酸yao物和胃黏膜保護劑。

