基本內容
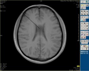
半卵圓中心的髓質有三種纖維,(1)投射纖維,連線大腦皮質和皮質下諸結構,呈扇形放射,稱輻射冠;(2)聯絡纖維,連線一側半球內各部皮質區的纖維,人腦的聯絡纖維極為發達,與投射纖維和聯合纖維相比其數量最大;(3)聯合纖維,連線左、右大腦半球的相應皮質區。

英文名Centrumsemiovale,為大腦半球中心呈半卵圓形的白質區,主要有胼胝體的輻射纖維以及經內囊的投射纖維等組成。在半球上部橫切面上是半卵圓形,故有此名。
半卵圓中心的髓質有三種纖維,(1)投射纖維,連線大腦皮質和皮質下諸結構,呈扇形放射,稱輻射冠;(2)聯絡纖維,連線一側半球內各部皮質區的纖維,人腦的聯絡纖維極為發達,與投射纖維和聯合纖維相比其數量最大;(3)聯合纖維,連線左、右大腦半球的相應皮質區。
半滑舌鰨(Cynoglossus semilaevis Gunther)屬鰈形目、舌鰨科、舌鰨屬,俗稱“龍脷”、牛舌頭、鰨目、鰨板、鰙鰨、細鱗、鰨米。是...
生物特性 養殖技術 前景分析 基本分類 生態習性雞蛋又名雞卵、雞子,是母雞所產的卵。其外有一層硬殼,內則有氣室、卵白及卵黃部分。富含膽固醇,營養豐富,一個雞蛋重約50克,含蛋白質6-7克,脂肪5-6克...
形成 構造 營養成分 烹飪方法 三大禁忌取食的中心。 (一) 頭部的分節及附肢 頭部作為一個體段,在進化中...
簡介 相關介紹 參考資料心臟是人和脊椎動物身體中最重要的一個器官,主要功能是提供壓力,把血液運行至身體各個部分。人類的心臟位於胸腔中部偏左,體積約相當於一個拳頭大小,重量約35...
詞語釋義 基本含義 疾病症狀 神經調節 病類倒卵葉樹蘿蔔,杜鵑花目杜鵑花科植物,附生於海拔約2 100米的苔蘚常綠闊葉林中樹上。
種拉丁名 形態特徵 產地分布 參考文獻 本系概述華西都市農業園區園藝中心簡介華西都市農業示範園區總規劃面積12700畝,計畫投資5.3億元,主要由:園藝中心、無公害蔬菜水果、畜牧水產...”。4、懸匏成林以取意“日月同輝”的兩個大小不同的圓亭棚架,作為長柄匏...
銀刃,粉塗其半之說,《朱子語錄》取之。蒲盧即蒲葦之說,朱子《中庸章句...
夢溪筆談 前言 夢溪筆談序 卷一故事一 卷二故事二詩詞律韻探微詩詞律韻探微 詩詞律韻探微 孫德振 編著 香港銀河出版社出版 二零一零年六月 孫德振藝術簡介 孫德振,男,漢族,河南...
