簡介
脂肪肉瘤(liposarcoma)是脂肪性腫瘤的惡性代表由不成熟的脂肪細胞組成是脂母細胞的惡性腫物,是成人常見的軟組織肉瘤在肌體內脂肪聚集的部位,如腹部腹膜後臀部等部位多發,眼眶內罕見。它很少作為一種原發病變或作為一種從遠距離原發位置轉移而來的病變發生在眼眶主要臨床表現為進展較快的痛性或無痛性眼球突出,眶緣可觸及邊界欠清楚且質地稍硬的腫塊眼瞼腫脹眼球運動受限等也可有視力下降和復視。流行病學
發病年齡5~77歲多在10~40歲,平均35歲,較其他部位脂肪肉瘤的高發年齡(50~59歲)低。女性略多於男性一般為單眼。據報告脂肪肉瘤在764例眼腫瘤中占4例另外報告的192l例眼眶腫瘤中脂肪肉瘤占6例。
病理改變
1.肉眼所見 一般包膜完整,與周圍組織界限較明確,切面一般呈黃色,灰白色,可呈分葉狀,較大的可有出血、壞死。
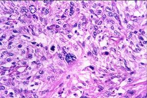
2.鏡下所見 主要是見到脂肪母細胞,不同分化階段的脂肪母細胞及成熟的脂肪細胞等。這些腫瘤性細胞,由於分化階段不同,細胞形態也不同,其共同的特點是,各種脂肪肉瘤細胞不論分化高低,都有不同程度的異型。
根據細胞成分的不同,脂肪肉瘤又可分為:①高分化脂肪肉瘤,也稱脂肪瘤樣脂肪肉瘤;②粘液型脂肪肉瘤;③圓細胞型脂肪肉瘤;④多形型脂肪肉瘤;⑤未分化型脂肪肉瘤。
病因
(一)發病原因
眼眶脂肪肉瘤似乎是一種起源於原始間質細胞而不是成熟的脂肪細胞。可能來源於經歷脂母細胞分化的眼眶筋膜內的一種細胞,對此種變異的刺激因素未明。外傷可能為誘發因素。
(二)發病機制
尚不十分清楚。
臨床表現
是成人常見的軟組織肉瘤在肌體內脂肪聚集的部位,如腹部腹膜後臀部等部位多發,眼眶內罕見。它很少作為一種原發病變或作為一種從遠距離原發位置轉移而來的病變發生在眼眶主要臨床表現為進展較快的痛性或無痛性眼球突出,眶緣可觸及邊界欠清楚且質地稍硬的腫塊眼瞼腫脹眼球運動受限等也可有視力下降和復視。
脂肪肉瘤成年人多見,偶見於青少年。主要臨床表現是單側眼球突出,發展較快根據原發部位可出現不同的症狀。位於眶尖的腫瘤早期即壓迫視神經引起視力下降,眼底檢查可見視盤水腫或萎縮。腫瘤快速增長可致眼球運動障礙,眼球軸性突出或伴有移位。原發於眶前部的腫瘤,可於眶周觸及腫塊質軟,光滑可移動。眼眶脂肪肉瘤的影像學具有一定特徵性,B型超聲檢查病變的邊界清楚,內回聲較強,由於腫瘤生長迅速多有壞死腔使回聲像在強回聲的基礎上又表現有透聲腔從而出現病變內部的強反射光團。CDI可顯示彩色血流由於瘤體內的壞死腔纖維血管組織的存在,在CT顯像上表現為密度的不均勻,脂肪組織顯示為負CT值,而纖維血管組織液化腔可顯示為正CT值,並可見骨破壞MRI顯像在T1WI和T2WI均有高信號區。
併發症:
眼球突出及眼球運動障礙導致的暴露性角膜炎以及骨壁受壓破壞等。
診斷
根據臨床病史、眼部體徵以及影像學表現,可做出臨床的初步診斷,確切診斷需依靠病理組織學檢查。
X線平片對本病診斷價值不大。B超可顯示病變,但難以顯示近眶尖區的病變,也難以準確顯示病變與鄰近結構的關係,對本病診斷價值有限。CT對本病診斷特異性好但敏感性差,難以顯示病變內小的脂肪灶,也難以準確顯示病變與鄰近結構的關係。MRI對本病的敏感性最佳,也可清楚準確顯示病變的範圍及與鄰近結構的關係,為術前提供可靠信息。CT和MRI聯合使用能夠提高本病的診斷的準確率。
鑑別診斷:
影像學鑑別診斷包括:①皮樣囊腫:病變內亦可見脂肪樣密度或信號,但多表現為眼眶外上象限肌錐外圓形、橢圓形或半圓形腫塊,邊界清楚、銳利,鄰近眶壁受壓變薄,甚至病變突入顳窩;②脂肪瘤:病史長,臨床多表現為無痛性眼球突出CT、MRI多表現為圓形腫塊,密度或信號與脂肪相同,邊界清楚,一般不侵犯眶壁。
檢查
B超檢查病理學檢查:肉眼所見,脂肪肉瘤由於脂質和黏液樣組織混合,在切面有一種斑駁的多樣化外觀,常有出血和壞死區。腫瘤有一種黏滑的表現。顯微鏡下,脂肪肉瘤分為分化良好的、黏液樣、圓形細胞和多形型。分化良好和黏液樣類型似乎會帶來較好的預後,多數眼眶脂肪肉瘤是黏液樣型並被稱為黏液樣脂肪肉瘤黏液樣脂肪肉瘤含有分化相當好的梭形、星形或圓形脂母細胞懸浮於黏液或富有黏多糖基質。通常腫瘤顯示充滿叢狀血管,這有助於將其與真正黏液樣瘤(血管十分少)區別開來。在一些病例,腫瘤可有較惡性特徵並顯示橫紋肌母細胞分化這種不良分化的腫瘤有時被稱為惡性間葉瘤(mesenchymomas)。
病因方面,眼眶脂肪肉瘤似乎是一種起源於原始間質細胞而不是成熟的脂肪細胞。可能來源於經歷脂母細胞分化的眼眶筋膜內的一種細胞對此種變異的刺激因素未明。
其它輔助檢查:
1.X線檢查 平片可無異常表現,或僅表現眶區密度增高,少數可出現眶壁骨質受壓變薄或破壞。
2.B超探查 B超表現為形狀不規則的實性病變一般邊界較清楚,內回聲較強且不均勻無可壓縮性。
3.CT掃描 病變多位於肌錐外,形狀不規則,呈囊狀或多房狀,邊界尚清楚,腫塊內可見到不同比例的脂肪成分而呈負值低密度影,為本病較特徵的徵象。典型的表現為正、負值混雜密度影,其中正CT值代表血管、纖維等軟組織成分有不同程度強化,負值代表脂肪成分,不強化,有時脂肪所占的比例較小,CT薄層檢查尤為重要較大腫瘤可侵犯到肌錐內,甚至整個眼眶,壓迫或包繞眼外肌和(或)視神經,腫瘤可侵犯鄰近的眶壁,造成蟲蝕樣骨質破壞。
4.MRI 腫瘤在T1WI顯示為高、低混雜信號,其中的高信號可被脂肪抑制序列抑制而呈低信號,提示為脂肪成分,為本病特徵徵象。腫瘤在T2WI為中等信號腫瘤有不同程度的強化,其中強化區提示為血管、纖維等成分。腫瘤形狀不規則,邊界清楚,增強掃描聯合脂肪抑制技術可清楚顯示病變與眼外肌及視神經的關係,也可準確顯示腫瘤侵犯的範圍。
治療
瘤細胞2.放射治療。此瘤對放射線比較敏感,術後用量(60鈷)為40~60Gy。
3.不宜手術者可試用長春新鹼及環磷醯胺等治療。持續治療一年,可提高治癒率。
眼眶脂肪肉瘤的治療大多數專家認為對有清楚界限惡性度低者可作適當的手術切除。不完全的切除後常有復發。在較大的邊界不清楚的有較惡性細胞特徵者,可考慮眶內容摘除。
手術治療是脂肪肉瘤治療中的第一選擇。局部的廣泛切除,是減少復發、轉移的有效措施。因為脂肪肉瘤淋巴結轉移罕見,引流區淋巴結清掃多無必要。
放射治療的意義,有文獻報導粘液型脂肪肉瘤放射治療較敏感。但總體來講放射治療對脂肪肉瘤不是主要治療手段,我們多用於腫瘤邊緣切除的病人,防止局部復發,對於局部能行根治性切除或廣泛切除的病人,術後放療意義不大。
化療由於高分化脂肪肉瘤惡性度低,轉移的可能性小,化療意義不大。對於惡性度較高的類型為術後防止轉移,可以行化療。由於現在尚無對脂肪肉瘤特效的化療藥物,我們多採用聯合化療,常用的藥物有阿黴素ADM、順
由於脂肪肉瘤的組織學型多,根據文獻報導及我們自己的經驗,高分化型及粘液型脂肪肉瘤預後較好,5年生存率可達80%左右,多形型、圓細胞型、去分化型脂肪肉瘤預後差,5年生存率20%~50%。轉移以血行轉移為主,多轉移到肺。
預後
大多數脂肪肉瘤具有黏液型,儘管能發生廣泛的轉移,它們傾向於有較好的預後早期廣闊的局部切除或眶內容摘除可提供一個較好的治療機會。
