概述
脂肪肉瘤脂肪肉瘤(liposarcoma)是肉瘤中較常見的一種。多見於40歲以上的成年人,常發生在大腿及腹膜後等深部軟組織。肉眼觀大多數腫瘤呈結節狀或分葉狀,表面常有一層假包膜,黃紅色有油膩感,有時可呈魚肉狀或粘液樣外觀。鏡下,腫瘤細胞大小形態各異,可見分化差的星形、梭形、小圓形或呈明顯異型性和多樣性的脂肪母細胞,胞漿內含有大小不等脂肪空泡,也可見成熟的脂肪細胞。以分化成熟的脂肪細胞為主時,稱為高分化脂肪肉瘤;間質有明顯粘液變性和大量血管網形成者,稱為粘液樣型脂肪肉瘤;當以分化差的小圓形脂肪母細胞為主時,稱為圓型細胞型脂肪肉瘤;以多形性脂肪母細胞為主時,稱為多形性脂肪肉瘤。後二者惡性程度高,易有復發和轉移。
脂肪肉瘤是起源於原始間葉組織的惡性腫瘤,常發生於大腿及腹膜後,亦可見於臀部胭窩其他部位的軟組織亦可偶見極少原發於肝臟。臨床表現無特徵性,多為肝區疼痛,發熱,食慾減退體重減輕上腹部可觸及腫塊極少發生黃疸及腹水。
脂肪肉瘤是脂肪性腫瘤的惡性代表由不成熟的脂肪細胞組成是脂母細胞的惡性腫物,是成人常見的軟組織肉瘤在肌體內脂肪聚集的部位,如腹部腹膜後臀部等部位多發,眼眶內罕見。它很少作為一種原發病變或作為一種從遠距離原發位置轉移而來的病變發生在眼眶主要臨床表現為進展較快的痛性或無痛性眼球突出,眶緣可觸及邊界欠清楚且質地稍硬的腫塊眼瞼腫脹眼球運動受限等也可有視力下降和復視。
流行病學
因本病極其罕見,在所查到的文獻中尚無關於其發生率的統計中國報導有2例本病可發生於任何年齡,但以10歲以下兒童和60~70歲的老年人多見男性占多數。
病因
脂肪肉瘤——病因脂肪肉瘤是一種常見的惡性軟組織腫瘤起源於脂肪母細胞向脂肪細胞分化的間葉細胞,故表現為不同分化程度的異型脂肪母細胞,均含有脂質根據腫瘤細胞的分化程度和類型可以分為四型:分化良好型黏液樣型、圓形細胞型及多形型但腫瘤中通常是多型細胞混合存在。
從起源來看,存在著脂肪組織的部位皆有可能發生脂肪肉瘤發生於肢體的病例占60%腹膜後間隙占15%軀幹部皮下15%,原發於肝臟的脂肪肉瘤極為罕見,至今所報導的肝臟原發性脂肪肉瘤尚未超過10例。
脂肪肉瘤是經絡堵塞引起的原癌基因突變而發生的一種惡性腫瘤。疏通經絡後脂肪肉瘤得到有效控制,並逐步縮小直到消失而康復。因此經絡堵塞是脂肪肉瘤的直接病因。
經絡疏通法發現:人體細胞新生分裂時的一瞬間(像核爆炸一樣),會產生一種多屬性高壓波能,這種波能在細胞分裂時的強大壓力下,循著人體阻力最小的通道釋放出體外,這種波能就是經絡流注,經絡是這種波能釋放的通道,穴位是波能釋放的交叉口和車站,皮膚是通道口,波能從通道口釋放出體外。經絡堵塞不通在體內瘀結積聚形成硬塊,釋放通道被阻塞,人體細胞新生分裂時的波能不能順利釋放,細胞周圍會有高溫或高壓的影響和干擾,因此破壞了細胞DNA自我正常複製的環境和條件,細胞不能正常分裂和複製,此種條件下也就為細胞中癌基因,(又稱原癌基因)的異常表達或者是被激活創造了條件,所以引發了癌細胞的產生。疏通經絡後,為細胞DNA的自我複製和正常分裂,重新恢復了適宜的環境和條件,癌細胞失去活性,腫瘤細胞凋亡,因此患者康復不再發生。
發病機制
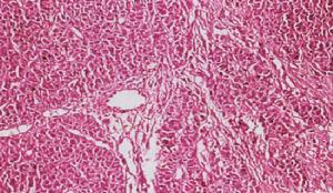
脂肪肉瘤——發病機制肝臟原發性脂肪肉瘤與其他部位脂肪肉瘤的病理形態有很大的相似性。瘤體呈橢球形或不規則形質軟,體積往往至較大時才被發現瘤體切面呈灰黃色或灰白色常見壞死區域,壞死區易軟化、易碎。瘤體周圍組織受壓可形成不完整的薄層假包膜,分化良好的脂肪肉瘤可出現完整的包膜。鏡下觀察發現脂肪肉瘤組織中有分化成熟的脂肪細胞和各期分化不成熟的間葉細胞及異形細胞胞漿可見脂滴空泡胞核呈橢圓或圓形顆粒粗深染,黏液樣型可見細胞之間有豐富的黏液樣基質阿辛藍染色陽性周圍肝組織無肝硬化表現。
脂肪肉瘤在軟組織肉瘤中屬中等惡性程度腫瘤5年生存率可達35%~40%,約40%~50%的脂肪肉瘤發生肺轉移。主要發病年齡為中晚年。從國外報導的4例肝臟原發性脂肪肉瘤來看,兩例為中年女性2例為兒童國內報導2例均為成人,男女各1例,有分化良好型和黏液樣型。因未見追蹤報導對其預後尚缺少資料。
臨床表現
脂肪肉瘤肝臟原發性脂肪肉瘤發病初期無明顯症狀,隨著腫瘤的增大,患者出現右上腹鈍痛或隱痛常向右肩部放射疼痛是由於腫瘤膨脹性生長牽拉肝包膜所致。常有食慾減退、消瘦、乏力,偶有頑固性呃逆。肝原發性脂肪肉瘤與肝臟其他惡性腫瘤不同的是患者一般無黃疸表現。已報導的數例患者瘤體體積巨大,一般在10cm×10cm×10cm以上重量達數千克但均未見黃疸出現體檢中發現患者右肋部膨脹飽滿,肝臟體積增大明顯質地較軟,邊緣鈍厚表面光滑,無觸痛或叩痛,可見肝掌、蜘蛛痣。
併發症: 1.常有食慾減退、消瘦乏力偶有頑固性呃逆。
2.晚期患者可以出現胸腹和遠處轉移表現以及惡液質。
診斷
本病術前診斷困難,誤診率極高確診依賴於術中及術後病理檢查。
1.臨床表現
2.實驗室及其他輔助檢查
鑑別診斷:
因本病極為罕見,且無特異性的臨床表現和診斷方法,臨床上常被醫生忽視,容易誤診為肝癌肝囊腫肝膿腫肝血管瘤等無肝炎肝硬化病史,肝功正常,甲胎蛋白陰性,即使肝腫塊巨大,但無黃疸、腹水脾大等特點,有助於與肝癌相鑑別巨大原發性肝脂肪肉瘤,常合併中心組織壞死液化,形成囊腔,酷似肝囊腫,但病人多伴有發熱體重減輕,且B超可見囊內回聲強弱不等囊壁厚薄不均術中常規行冰凍病理檢查,可明確病變性質,以免誤診、誤治。
檢查
脂肪肉瘤——檢查實驗室檢查: 肝臟原發性脂肪肉瘤肝功能受損害表現出現晚,酶學檢查和AFP、CEA等腫瘤標誌物陰性,患者往往以右上腹疼痛就診發現巨大肝臟後經影像學檢查可以初步診斷但明確診斷尚需肝臟活組織病理檢查。
其它輔助檢查:
本病的影像學表現頗具特徵性。
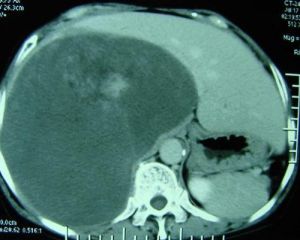
1.B超 檢查可見肝內巨大而均勻的強回聲區。
2.CT 表現為邊緣清晰的低密度區CT值小,可達-90Hu以上,是肝內腫瘤CT值最低的,注射造影劑後無增強反應。
3.MRI T1T2加權圖像呈高信號區。
在影像檢查方面肝脂肪肉瘤與肝脂肪瘤難以區分。
中醫檢查:
中醫經絡堵塞檢查:腹膜後脂肪肉瘤的經絡堵塞檢查,脂肪肉瘤發現在沖脈的肺腧-膈腧-肝腧-腎俞有較大很硬的條索狀經絡堵塞,在背部隆起,脊柱變形形成駝背,腎俞重點不疼痛,肌肉僵硬;由於脂肪肉瘤的擠壓腰部粗大,右腹部肝區形成針扎不進磐石樣包塊,肩井穴輕點劇烈疼痛,上肢和下肢四肢肌肉僵硬,尤其大腿內側肝經經絡,有條索狀結節,輕按劇烈疼痛。
飲食習慣調查:患者在病前喜歡吃豬肉,幾乎每餐都有豬肉,在治療50天時經絡堵塞明顯減輕後,背部鬆軟,患者飲食了大量豬肉,疏通的經絡堵塞立即出現反彈現象,因此初步認為,飲食豬肉的是引起脂肪肉瘤的經絡堵塞的原因之一。
性格調查:患者性格急躁,直爽易怒,因此肝的解毒功能不完善,導致人體血液有毒物質密度增大,也是脂肪肉瘤的病因之二,患者的情緒也是病因之三。治療中保持快樂的情緒也是康復條件之一。
身體氣味檢查:患者還出現很重的酸性體味,散發著嗆鼻的酸性異味,近距離有刺鼻的感覺,患者身體在藥浴腿足中氣味極其明顯,藥浴腿足時酸性異味更重,一米外就可以聞到。患者泡腳後的藥液表面漂浮著白色物質,藥液散發著刺鼻的酸性氣味,部分常人無法接近,患者自己也聞到酸性異味無法忍受,藥浴20天后氣味逐漸減少。
經絡堵塞檢查:
患者的背部膀胱經和沖脈有較大的經絡堵塞,沿著沖脈從肩部到臀部有條狀結節,硬度很大,輕按劇烈疼痛,患者背部形成駝背,頸部肩部都有嚴重的經絡堵塞,頸部經絡堵塞形成樹根狀結節,大腿部腎經肝經經絡堵塞也形成條狀結節,上肢下肢全身肌肉較硬,彈性欠佳。。
治療
西醫治療:
過去西醫手術治療是第一選擇,手術切除的弊端在於,只是短期切除肉眼可見的實體性腫瘤,不能從根本上解決脂肪肉瘤獨特的生長方式,以至於術後反覆復發,因此可以說明單一的手術切除,是不能根治的。
放療:
放療對於脂肪肉瘤作用不大,大多不採用花了。放射治療對脂肪肉瘤不是主要的治療手段,多用於脂肪肉瘤邊緣切除的病人,防止局部復發,對於局部能行根治性切除的病人術後放療意義不大。放療忽視了腫瘤是全身疾病的局部表現的概念,治療講究局部,所以治療常作為輔助。
化療:
由於高分化脂肪肉瘤惡性程度低,轉移可能小,化療意義不大。對於惡性程度較高的類型,化療為術後防止轉移,可以進行化療,常用的藥物有阿黴素ADM、順鉑DDP、環磷醯胺CTX、長春新鹼VCR對於發現臨川轉移以前的微小轉移灶有治療意義。化療是通過化學藥物作用於癌細胞,其毒副作用決定只是部分體質強,病情較輕的患者適用,按比例殺傷癌細胞的特性,進一步證實化療也是有缺陷的。
中醫治療:
對於脂肪肉瘤來講,手術、放化療常規治療後分可見大多患者出現反覆復發,大量的病理反應單靠西醫是不能控制脂肪肉瘤的生長方式的,中醫藥物對於脂肪肉瘤由於吸收只有很少一部分能到達深部軟組織,不能達到理想的效果。此時就要注重中醫疏通經絡軟堅散瘤治療方法,經過大量臨床案例,證明疏通經絡法對於脂肪肉瘤及其他肉瘤都有明顯的治療效果,堅持治療腫瘤可以達到根治不復發的理想效果。
經絡治療:
藥浴腿足治療:金胃泰3克金腸通60克銀腸泰一號30克藥浴腿足(每2天換藥一次),補氣軟堅散結,儘快疏通堵塞的經絡。藥浴時發現,患者藥浴腿足後的藥液酸臭味較重,每2天換藥一次。
貼藥敷藥治療:每次貼膏藥12-16貼(每2天換藥一次),重點是背部腧穴和腹部肝區。貼藥對儘快疏通背部經絡堵塞也起到了非常重要你的作用。
點穴推拿治療:點穴推拿一般是每天一次,每次60-80分鐘。首先按摩下肢疏鬆肌肉,重點推拿肝經膽經;再推拿上肢肺經(肺朝百脈肺主皮毛),按摩肺經對疏鬆全身肌肉非常重要。超大力度,超長時間採用指柔、掌揉、指撥肘撥點按背部膀胱經腧穴和沖脈。疏鬆頸椎、肩部和頸動脈兩側肌肉。正脊正骨按摩,適度的矯正脊柱狀態和髖關節的位置。
刮痧拍痧治療:刮痧治療也是不可少治療手段,前期每天刮痧一次,中後期是沒2天依次。要依次刮痧不遺漏,首先是背部,在依次是上肢和下肢,再刮胸部和腹部,最後的頸部。根據患者的體質全身分3-5天刮完,周而復始一直到再刮無痧為止。
治療中營養調理:由於重度按摩患者消耗體力過多,單純吃素食會造成營養不良體質虛弱,因此口服松花粉和螺鏇藻補充營養和生命活力。
經絡治療結果:治療前手術後10個月,脂肪肉瘤B超檢查13.3*9.3cm,治療36天后B超檢查13.*9.0cm,36天的治療脂肪肉瘤縮小了0.3*0.3cm。檢查見腸鏡報告單。脂肪肉瘤採用經絡疏通法治療可以得到控制,脂肪肉瘤不在生長。72天后再次檢查,腫瘤沒有增大不在生長,瘤體得到有效控制。
預後
本病進展相對緩慢,很少發生轉移,若能手術切除可延長病人生命。
預防
脂肪肉瘤是起源於原始間葉組織的惡性腫瘤,常發生於大腿及腹膜後,亦可見於臀部胭窩其他部位的軟組織亦可偶見極少原發於肝臟。本病無有效預防措施,主要是飲食方面應清淡,少吃高油脂類食物。
轉移情況
組織學上分化不好者有30%~40%發生轉移,而分化好的則較少轉移。雖然也可轉移到肝、骨髓、中樞神經系統,但以肺為常見轉移部位。

