概述
髓母細胞瘤髓母細胞瘤(medulloblastoma)由Bailey與Cushing於1925年首先報導,是好發於兒童的顱內惡性腫瘤,是中樞神經系統惡性程度最高的神經上皮性腫瘤之一有人認為其發生是由於原始髓樣上皮未繼續分化的結果。這種起源於胚胎殘餘細胞的腫瘤可發生在腦組織的任何部位,但絕大多數生長在第四腦室頂之上的小腦蚓部。主要表現為顱內壓增高和共濟失調等小腦症狀常有復視及多種腦神經障礙,小腦扁桃體疝時常有頸強直、斜頸表現由於該腫瘤具有生長極為迅速手術不易徹底切除、並有沿腦脊液產生播散性種植的傾向,使得本病的治療比較困難平均病程為4個月左右近十餘年來隨著綜合療法的進步,使病人的預後有了顯著改善。
該病多見於小兒,其次為兒童與青年,發病年齡在10歲左右,偶見於成年人。腫瘤常位於小腦蚓部,占據第四腦室,部分病例可發生於小腦半球。
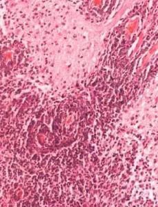
肉眼觀,為灰白色腫瘤,境界清楚。鏡下,腫瘤由圓形細胞構成,胞核著色深,胞漿少,核分裂像較多。細胞密集。常構成菊形團,即腫瘤細胞環繞纖細的神經纖維中心作放射狀排列。這對髓母細胞瘤的病理診斷有一定意義。少數病例可向神經細胞分化。臨床上,患者出現腦積水,或進行性小腦症狀(協調運動障礙、步行蹣跚)。經過腦脊液易發生播散。其治療一般採用化學療法及全腦照射,其5年生存率約50%,10年生存率為25%,更長期生存者罕見。
流行病學
髓母細胞瘤發病率較高,約占顱內腫瘤的1.5%,占顱內神經上皮性腫瘤的3.7%,兒童多見,年發病率為2.19~6.6/100萬兒童,為兒童顱內腫瘤的20%~35%。在髓母細胞瘤患者中兒童約占80%,發病年齡高峰在10歲以前,在8歲以前者約占68.8%其中6~15歲兒童占所有患者的56%15歲以下兒童患者中平均發病年齡為7.3~9.1歲。成人患者(>15歲)中以26~30歲多見,占成人患者的43%。男性多見,男女之比在1.5∶1~2∶1之間本組共370例,占兒童顱內腫瘤的18.5%,其中男性占61.9%,發病高峰年齡為6~8歲。
病因
近來的研究認為髓母細胞瘤由原始神經幹細胞演化而成,此類細胞有向神經元及神經膠質細胞等多種細胞分化的潛能,屬原始神經外胚葉腫瘤(PNETs)是一種神經母細胞瘤,其位於後顱窩者又專稱為髓母細胞瘤。後顱窩中線處的髓母細胞瘤來源於後髓帆中向外顆粒層分化的室管膜增殖中心的原始細胞,這些細胞可能在出生後數年仍然存在而偏於一側生長的髓母細胞瘤則發生於小腦皮質的胚胎顆粒層這層細胞位於軟膜下小腦分子層表層此層細胞在正常情況下於出生後1年內消失,這可能是髓母細胞瘤多見於兒童的原因之一。有人認為在大齡兒童及成人腫瘤主要來源於前者,而小齡兒童髓母細胞瘤則來源於後者。
發病機制
檢查圖1.發病機制 目前根據某些腫瘤發病特點病理以及一些基礎實驗研究,提出幾種學說。(1)遺傳學說:在神經外科領域中,某些腫瘤具有明顯的家族傾向性,如視網膜母細胞瘤、血管網織細胞瘤、多發性神經纖維瘤等。一般認為它們均為常染色體顯性遺傳性腫瘤,外顯率很高。細胞及分子生物學研究表明,26%~45%髓母細胞瘤中有17號染色體短臂(17p)的丟失,然而,儘管在17p上有抑癌基因p53,進一步研究表明髓母細胞瘤與p53基因的突變或丟失無明顯相關性,與髓母細胞瘤相關的癌基因及抑癌基因的改變仍不明確。(2)病毒學說:實驗研究表明一些病毒包括DNA病毒和RNA病毒,若接種於動物腦內可誘發腦瘤。(3)理化學說:物理因素中被確認的具有致腫瘤可能的是放射線,已有許多關於頭顱放療後引起顱內腫瘤的報導。在化學因素中,多環芳香碳氫化合物和硝酸化合物,如甲基膽蒽苯並比、甲基亞硝脲亞硝基哌啶在一些動物實驗中都可誘發腦瘤。(4)免疫抑制學說:器官移植免疫抑制劑的套用,會增加顱內或外周腫瘤發生的風險(5)胚胎殘餘學說:顱咽管瘤上皮樣及皮樣囊腫、畸胎瘤脊索瘤明顯發生於殘留於腦內的胚胎組織這些殘餘組織具有增殖分化的潛力在一定條件下可發展為腫瘤。
2.病理學方面 髓母細胞瘤多為實質性,呈灰紫色或粉紅色,質地較脆,軟呈浸潤性生長,多數有假包膜瘤內有時可有壞死和出血,有鈣化或囊變者罕見。大齡組腫瘤發生在小腦半球者明顯多於小齡組,髓母細胞瘤可生長於一側小腦半球內。腫瘤絕大部分發生在小腦蚓部,並充滿第四腦室,多數對第四腦室底形成壓迫,僅少數腫瘤侵入第四腦室底部。腫瘤向上發展可梗阻導水管,極少數病例可突入導水管而達第三腦室後部。腫瘤向下可充滿枕大池,少數經枕大孔延伸進入椎管。顯微鏡下觀察,細胞密集排列,常呈圓形、橢圓形、長橢圓形或近錐體形,細胞間有神經纖維腫瘤細胞,胞質極少,大多數成裸核細胞,細胞大小一致,少量可呈菊花形結構,但多數細胞無特殊排列,細胞核呈圓形或卵圓形,染色質極為豐富,著色濃染,核分裂象多見腫瘤內,只含有散在於腫瘤細胞間的毛細血管纖維成分極少,可看到單個瘤細胞壞死,而很少見到火片壞死和出血病灶。腫瘤內不同程度地形成假玫瑰花結節,形成假玫瑰花結節的瘤細胞呈長形,結節中無血管或真正的管腔,周圍為環行嗜酸性的纖維突觸,為神經母細胞分化的標誌,腫瘤血管基質由管壁很薄的血管組成,有時可有內皮細胞的增生。髓母細胞瘤發生在小腦半球內者,細胞間含有多量網狀纖維,比較硬韌,邊界亦較清楚,稱之為“促纖維增生型髓母細胞瘤”,也稱為“硬纖維型髓母細胞瘤”,此種預後較通常的髓母細胞瘤稍好。髓母細胞瘤可向神經元、星形膠質細胞、少枝膠質細胞分化,少數可多向分化,部分成為多纖維型,髓母細胞瘤中約20%為成結締組織性變異型,常見於大齡兒童或成人。曾有報導髓母細胞瘤治療後分化為成熟的星形細胞瘤和室管膜瘤。電鏡下腫瘤細胞之間有交錯的細胞突起鑲嵌排列,稱為“神經氈樣綠洲排列”,瘤細胞呈圓形、多角形,相鄰細胞相互緊密壓擠、扭曲,呈特徵性壓鑄模式,突起小而少,成疏電子性細胞小氣缺乏,但縱向的20mm微管常見。有時可見胞體排列成外環狀中心為實性,被交錯的突起充填微絨毛和纖毛缺乏。細胞罕見有連線結構部分胞質的局限性緻密增厚胞核大,可出現深陷溝裂,使核呈特殊的多葉狀染色質為細顆粒,偶有外周位的核仁。髓母細胞瘤可表現神經節細胞性分化和神經膠質分化傾向,前者電鏡下有軸突雛形形成,微管結構顯著偶見空心或實心小泡個別可見突觸樣小泡形成;後者在核周圍和突起內有成束的短股膠質絲組成。神經元和膠質細胞分化被看成是腫瘤細胞保持正常髓母細胞雙向分化潛能的表現。
3.分類中樞神經系統顱內腫瘤分類方法很多,比較具有代表性的主要有以下幾種見表1。Bailey和Cushing的分類能反映腫瘤組織的來源及惡性程度,長期以來被世界多數地區的神經外科和病理科所採用在此基礎上衍生出一些新的分類方法如Kernohan的Ⅰ-Ⅳ級分類法,Russell的膠質瘤分類較有影響的是Kernohan提出將膠質瘤,包括星形細胞瘤少突膠質細胞瘤、室管膜瘤和神經源腫瘤等按其分化程度分為Ⅰ-Ⅳ級根據這個分類似乎能夠容易地判斷腫瘤的發展和病人的預後,因此受到臨床醫師歡迎,在國內國際上使用多年。但此分類法也有缺陷如同一腫瘤在不同部位細胞分化即可不同有些混合瘤無法分級而有些腫瘤分級意義不大在此基礎上世界衛生組織制定了新的分類法其特點是分類細緻包括了顱內發生的各種腫瘤類型,吸收了既往各種分類的特點和長處,既反應了腫瘤的形態學,又表明腫瘤的來源並採用間變這一概念,可認為是目前最好的分類。
腫瘤細胞可隨腦脊液播散至蛛網膜下腔或轉移至顱外,可達11%~43%。瘤組織呈灰紅或紫紅色質軟、易碎,邊界不清鏡下腫瘤細胞密集核呈圓形或橢圓形深染多有核分裂,胞質及間質較少,有的呈假菊形團排列。
臨床表現
檢查表現1.顱內壓增高由於小腦蚓部的腫瘤不斷增長使得第四腦室和(或)中腦導水管受壓,導致梗阻性腦積水形成顱內壓增高。臨床表現為頭痛、嘔吐和眼底視盤水腫等。本組頭痛占76.6%,嘔吐占95%,視盤水腫占72.1%較小的兒童可有顱縫裂開其中嘔吐最為多見可為早期的惟一臨床表現除顱內壓增高外腫瘤直接刺激第四腦室底的迷走神經核也是產生嘔吐的重要原因之一嘔吐多見於早晨同時常伴有過度換氣。兒童病人出現視盤水腫者較成人為少,這可能因為兒童期的顱內壓增高可通過顱縫分離得以部分代償,在成人幾乎皆有視盤水腫。
2.小腦損害征主要為小腦蚓部損害引起的軀幹性共濟失調,病人輕重不同地表現步態蹣跚,步行足間距離增寬,甚至站坐不穩及站立搖晃,Romberg征陽性因腫瘤的侵犯部位不同而表現有所不同,腫瘤侵犯小腦上蚓部時病人向前傾倒位於小腦下蚓部的腫瘤則多向後傾倒。由於腫瘤侵犯下蚓部者較常見向後傾倒亦相應較多腫瘤偏一側發展可造成不同程度的小腦半球症狀,主要表現為患側肢體共濟運動障礙。原發於小腦半球者可表現小腦性語言約一半以上的病人表現眼肌共濟失調多為水平性眼震。腫瘤壓迫延髓可有吞咽發嗆和錐體束征,2/3的患兒表現有肌張力及腱反射低下。本組有小腦征者占88.3%
3.其他表現
(1)復視:因顱內壓增高導致雙側展神經不全麻痹表現為雙眼球內斜視外展運動受限。出現單側展神經麻痹伴同側周圍性面癱者常提示腫瘤已侵犯第四腦室底的面神經丘。
(2)面癱:腫瘤直接侵犯第四腦室底面神經丘所致,較為少見。
(3)強迫頭位:當腫瘤或下疝的小腦扁桃體深入椎管內時,刺激及壓迫頸神經根造成病人的保護性位置反應。
(4)頭顱增大及McCewen征:多見於年齡較小的病兒,因顱內壓增高,顱縫分離所致。
(5)錐體束征:由於腫瘤體積增大向前壓迫推擠腦幹所致以雙下肢出現病理反射較為多見。
(6)嗆咳:腫瘤壓迫腦幹和(或)第Ⅸ、Ⅹ對腦神經時出現,臨床檢查呈咽反射減弱或消失。
(7)小腦危象:由於腦脊液循環障礙小腦扁桃體下疝或腫瘤直接對腦幹壓迫的加重造成意識喪失、呼吸變慢和血壓升高伴有雙側病理反射陽性,甚至去大腦強直等。可在短時間內呼吸迅速停止而死亡。
(8)蛛網膜下腔出血:髓母細胞瘤的腫瘤出血是兒童非創傷性後顱凹蛛網膜下腔出血的主要出血來源之一
4.腦瘤的轉移症狀腫瘤轉移是髓母細胞瘤的主要特徵。腫瘤細胞發生脫落後可通過腦脊液循環沿蛛網膜下腔發生播散性種植脊髓尤其馬尾神經是常見受累部位,前顱凹底也是常見的種植轉移部位少數轉移至大腦各部位極少數可因血行播散發生遠隔轉移亦可隨分流而發生腹腔種植。轉移在術前術後均可發生,但後者明顯增多遠隔轉移的常見部位是肺和骨骼,也有報導發生於傷口局部的轉移病灶。
併發症:合併有慢性小腦扁桃體疝可因刺激上頸神經根而發生頸部抵抗或強迫頭位腫瘤侵犯面丘時可有展及面神經麻痹脊髓轉移病灶可引起截癱。
如進行手術治療可能發生以下併發症:
1.出血 四腦室及小腦蚓部腫瘤手術後出血易造成急性梗阻性腦積水或直接壓迫延髓呼吸中樞致呼吸停止。如術前有側腦室外引流,可幫助識別是否有術後出血。少量滲血可通過腦室外引流緩解;如出血量較大則必須二次手術予以止血。2.呼吸停止手術中牽拉或直接損傷延髓呼吸中樞,或手術後出血水腫壓迫延髓,均可致呼吸停止。小腦前下或後下動脈主幹損傷,造成逆行性栓塞致腦幹梗死亦可造成呼吸停止。3.顱內積氣與腦脊液丟失過多、術中頭位過高有關。重者可形成張力性氣顱。氣體可位於硬腦膜下、縱裂、腦底池或側腦室內輕者可自行吸收重者則需行穿刺放氣。4.腦積水多因腫瘤切除不徹底術後導水管粘連,手術區粘連、積液,術後感染,腦組織水腫等因素造成。可針對引起腦積水的原因,採取措施解除梗阻或行側腦室-腹腔分流術。
診斷處理
髓母細胞瘤鑑別診斷:髓母細胞瘤應與引起顱內壓增高和共濟失調性疾病相鑑別可藉助臨床表現和實驗室輔助檢查確診
髓母細胞瘤主要與下列疾病相鑑別:
1.第四腦室室管膜瘤 室管膜瘤多起源於第四腦室底或側壁的室管膜細胞,腫瘤與四室底邊界不清可沿腦室側孔向腦橋小腦角生長,經枕大孔向椎管內伸延甚至可環繞延髓和頸髓因此腦幹受壓症狀較早出現神經影像學也有其特徵性早期因刺激第四腦室而引起嘔吐病程較髓母細胞瘤長,小腦的實質性損害不如髓母細胞瘤嚴重部分病例甚至無明顯的小腦體徵。2.小腦星形細胞瘤 多見於小腦半球病程可以很長主要表現為顱內壓增高及肢體共濟運動障礙。顱骨X線平片鈣化者較多見,在較小的兒童可有腫瘤側的枕骨鱗部隆起和骨質變薄;腫瘤多為囊性,壁上有腫瘤結節,第四腦室向側方移位。3.脈絡從乳突狀瘤 好發於第四腦室及側腦室年齡一般在50歲以下,10歲以下兒童約占1/3病程長短不一以顱內壓增高表現為主症後期可出現共濟運動障礙眼球震顫及強迫頭位CT顯示高密度的邊緣不規則的腫塊多見鈣化,增強明顯。
醫學檢查
檢查腰椎穿刺:因瘤細胞可脫落播散故腦脊液瘤細胞檢查十分重要。
因多數髓母細胞瘤病人顱內壓增高故術前腰椎穿刺宜慎用,以免誘發腦疝腦脊液除常規化驗外可尋找脫落細胞。通常腰穿多提示顱內壓增高,而腦脊液生化見蛋白和白細胞增高者僅占1/5。術後腰椎穿刺行瘤細胞檢查有重要意義,提示了術後需進行全腦及脊髓放療的必要性。
其它輔助檢查:
1.頭顱X線平片 頭顱X線可見有顱縫增寬等顱內高壓征,腫瘤鈣化極為罕見。2.CT 可見小腦蚓部或四室內均勻一致的等密度或稍高密度占位,多與四腦室底有分界,將腦幹向前推移。腫瘤周邊環繞有薄的低密度水腫帶明顯均勻強化腫瘤鈣化囊變少見。典型髓母細胞瘤一般直徑大於3.5cm,位於後顱凹中線之小腦蚓部累及上蚓部的腫瘤延伸到小腦幕切跡之上在頭顱CT上87%呈現為均勻一致的高密度影10%為等密度病灶,病灶中有小壞死時平掃亦可呈不均勻之混雜密度少數有鈣化,偶可呈低密度囊性變病灶邊界均較清晰多位於小腦蚓部,成人患者可多見於小腦半球增強檢查呈均勻一致的強化。有時病灶周圍環繞有一條薄的低密度水腫帶第四腦室常被推移向前,可伴有梗阻性腦積水征。當出現腦室室管膜下轉移時,可在腦室周邊出現完全或不完全略高密度影像,成帶狀,可有明顯強化。與室管膜瘤的鑑別主要是髓母細胞瘤的鈣化及囊性變少見,病灶密度比較均勻。3.MRI 腫瘤實質部分表現為長T1長T2信號矢狀位可更好地顯示腫瘤起源於小腦的蚓部及腫瘤與四腦室底的關係見圖2圖3所示,這可視為與室管膜瘤的鑑別點在MRI T1圖像上,腫瘤一般信號強度均勻發生壞死或囊變時,腫瘤內部可見到較腫瘤更長T1、更長T2的病灶區。在T2圖像中67%腫瘤呈高信號,另33%例呈等信號97%瘤周有明顯水腫。由於髓母細胞瘤的實質部分信號強度的特點不甚突出,故腫瘤所在部位及由此而產生的間接徵象則顯得較為重要,可了解與腦幹之間關係,因此正中矢狀掃描圖像尤為關鍵,冠狀掃描可作為三維影像參考在MRI矢狀點陣圖像上74%可見腫瘤與第四腦室底間有一極細長的低信號分隔帶與室管膜瘤不同髓母細胞瘤很少向第四腦室側隱窩及橋小腦角伸展。少數患者MRI可見腫瘤沿蛛網膜下腔轉移,顯示小腦葉的邊界模糊,MRI矢狀位或冠狀位掃描更有價值同時種植病灶亦可被Gd-DTPA顯著增強。97.5%伴有中至重度腦積水。髓母細胞瘤Gd-DTPA增強掃描,腫瘤的實質部分呈顯著異常增強而囊變或壞死區在非延遲掃描狀態下不表現增強。髓母細胞瘤很少有囊性變,腫物位於上蚓部可經小腦幕切跡孔伸入松果體區。
位於小腦上蚓部的腫瘤常使中腦導水管受壓前移或變窄位於第四腦室頂部的腫瘤,四疊體板、前髓帆由原來正常時的直立位置變為近乎水平位導水管擴張且上移髓母細胞瘤可在T1像顯示腫瘤的前方和(或)上方在瘤體周邊新月形的腦脊液殘留影,系沒有被腫瘤完全占據的第四腦室剩餘部分。
治療
治療手術切除是治療本病的主要方法,行後正中開顱,應儘可能全切除或近全切除腫瘤使梗阻的第四腦室恢復通暢,術後輔以必要的放射治療在切除腫瘤時儘可能沿腫瘤表面蛛網膜界面分離腫瘤操作輕柔。在分離腫瘤下極時往往可發現雙側小腦後下動脈位於腫瘤後外側因其常有供應腦幹的分支,術中應嚴格將其保護,避免損傷。在處理腫瘤的供血動脈前應先排除所處理的血管並非小腦後下動脈或小腦上動脈進入腦幹的返動脈,以免誤傷後引起腦幹缺血和功能衰竭在處理腫瘤上極時關鍵要打通中腦導水管出口,但一般此步操作宜放在其他部位腫瘤已切除乾淨之後進行以免術野血液逆流堵塞導水管和第三腦室若腫瘤與腦幹粘連嚴重,應避免勉強分離以免損傷腦幹,造成不良後果若腫瘤為大部切除導水管未能打通,應術中留置腦室外引流待日後做腦室腹腔分流術或術中做分流術以解除幕上腦積水。有研究報導腦脊液分流術易使髓母細胞瘤患者出現脊髓或全身轉移。
由於髓母細胞瘤生長迅速,細胞分裂指數較高並且位置接近腦室和蛛網膜下腔,存在許多有利於放療的條件,初發的髓母細胞瘤對放療敏感,但為防止腫瘤的脫落種植轉移,通常要做全腦脊髓的放射治療。放療設備由早年的深部X線變為60鈷(60Co)和直線加速器,放療劑量增大,大大改善了放療的效果。針對髓母細胞瘤易轉移的特點放療應包括全中樞神經系統(全腦、後顱窩和脊髓)放療劑量根據患者年齡而定劑量要足,4歲以上全腦放射劑量在35~40Gy,後顱劑量50~55Gy。2~4歲適當減量2歲以內暫不放療。放療一般應於術後4周內進行。有研究提出全腦全脊髓低劑量照射與高劑量照射的生存率無差異髓母細胞瘤放療的關鍵是後顱窩高劑量照射。因此目前推薦全腦劑量30~35Gy,後顱窩50Gy脊髓30Gy。放療時也要注意遠期併發症(如兒童因內分泌功能低下所致發育遲滯等)的發生。
對於小兒髓母細胞瘤患者術後治療方案的選擇上,現常規的做法是根據患兒的年齡,手術切除的程度及有無轉移等因素將患兒分成高危(high risk)和低危(standard risk)二組,針對不同的分組採取相應的術後治療措施。對於低危組(年齡>3歲,腫瘤全切除無轉移者),術後治療的主要目的是預防腫瘤復發和蛛網膜下腔播散。傳統放療採用全腦36Gy、脊髓軸28Gy及後顱凹加強量可達54Gy,為防止放療對幼兒產生的副作用,目前研究多希望能降低脊髓軸放療劑量到23.4Gy也能取得相同的效果,但是近期許多資料表明減量放療將使對髓母細胞瘤的遠期療效下降,增加復發與轉移相比之下採用全量全腦脊髓軸放療(CSI)聯合多元化療(順鉑、長春新鹼、洛莫司汀)的方式卻顯著減少了術後腫瘤的復發和轉移,提高了生存率對於高危患兒(年齡≤3歲殘餘腫瘤>1.5cm2或有轉移灶者)術後對殘餘腫瘤及轉移灶的局部放療和預防性CSI是必不可少的。但多數患兒年齡<3歲神經及內分泌系統易受放療損傷,因此如何利用術後早期化療來延遲放療開始時間而不影響疾病的控制效果成為現在的研究重點有人認為此方法與術後立即放療起到同樣效果,但也有人認為在化療的過程中已有74%的患兒出現復發和轉移隨後的CSI也不能對病情惡化進行完全補救,而且化療導致血象抑制,也將使隨後的放療難以進行。
治療方法
生物免疫治療DC-CIK生物免疫療法克服傳統手術、放化療,治療缺點,做到更精、更準,更徹底。療法通過體外培養患者自身的抗癌細胞,然後回輸到患者體內,達到科學抗癌的目的。它藉助生物製劑的作用,培養並輸入人體內,利用人體內最高效的特異性免疫細胞DC、CIK、T、NK細胞共同作用,調動患者機體的防禦機制,以調節患者機體的生物學反應,殺滅癌細胞,激活免疫細胞,殺滅體內殘存的微小癌細胞,實現從根源治療腫瘤為目的。
療法原理
1.特異性抗腫瘤免疫療法治療原理圖1、啟動清除腫瘤的DC細胞:套用先進的監測技術在每個患者身上提取癌細胞和樹突狀細胞(DC),採用高新生物技術進行處理,修復其固有的癌細胞抗原提呈功能,給DC細胞配對相應的特異性腫瘤抗原(DC疫苗),體外大量培養後回輸患者體內,從而激活機體啟動特異性腫瘤免疫應答,促進局部腫瘤細胞凋亡、抑制腫瘤病灶生長,使患者體內腫瘤顯著消退。2、直接清除腫瘤的CIK細胞:細胞因子誘導的殺傷細胞(CIK細胞),是將人體外周血單個核細(PBMC)在體外通過遺傳改造,將識別腫瘤相關抗原(TAA)的單鏈抗體(scFv)和T細胞的活化序列轉染這類免疫細胞,使其表達一種嵌合抗原受體(CAR),這種CIK細胞能夠高效識別腫瘤抗原,從而直接殺死腫瘤細胞。
3、DC-CIK細胞增強機體免疫力:DC-CIK細胞的聯合使用可相互促進增殖和功能,在提升殺傷癌細胞的能力同時增加患者的免疫力。成熟的DC表面的大量樹枝狀突起可使其負載腫瘤抗原並呈遞給CIK細胞;激活後的DC細胞能分泌IL-12、IL-18及IFN-γ等細胞因子,這些細胞因子可以強化CIK細胞的功能。
4、反饋性恢復患者體質:DC-CIK細胞的聯合治療可改善放療化療的骨髓抑制,改善放療中出現的放射性炎症,避免炎症區出現潰爛或組織纖維化,提高生活質量;另外,還可通過這些免疫細胞釋放的免疫因子經神經-免疫-內分泌的網路系統改善患者的新陳代謝,恢復患者的體質,如改善臨床症狀、改善睡眠和精神狀態、食慾和體力增加等。
髓母細胞瘤的治療主要是手術切除與術後放射治療,部分病例可輔以化療。由於腫瘤屬高度惡性加之腫瘤邊界不十分清楚,故手術後易復發多數神經外科醫生主張手術儘可能多切除腫瘤至少做到使腦脊液循環梗阻恢復通暢,術後再予以放療。早年的手術死亡率高達17%~26.5%隨著手術技術和設備條件的不斷進步髓母細胞瘤病人的手術死亡率已明顯下降。
手術切除是治療本病的主要方法,行後正中開顱,應儘可能全切除或近全切除腫瘤使梗阻的第四腦室恢復通暢,術後輔以必要的放射治療在切除腫瘤時儘可能沿腫瘤表面蛛網膜界面分離腫瘤操作輕柔。在分離腫瘤下極時往往可發現雙側小腦後下動脈位於腫瘤後外側因其常有供應腦幹的分支,術中應嚴格將其保護,避免損傷。在處理腫瘤的供血動脈前應先排除所處理的血管並非小腦後下動脈或小腦上動脈進入腦幹的返動脈,以免誤傷後引起腦幹缺血和功能衰竭在處理腫瘤上極時關鍵要打通中腦導水管出口,但一般此步操作宜放在其他部位腫瘤已切除乾淨之後進行以免術野血液逆流堵塞導水管和第三腦室若腫瘤與腦幹粘連嚴重,應避免勉強分離以免損傷腦幹,造成不良後果若腫瘤為大部切除導水管未能打通,應術中留置腦室外引流待日後做腦室腹腔分流術或術中做分流術以解除幕上腦積水。有研究報導腦脊液分流術易使髓母細胞瘤患者出現脊髓或全身轉移。
由於髓母細胞瘤生長迅速,細胞分裂指數較高並且位置接近腦室和蛛網膜下腔,存在許多有利於放療的條件,初發的髓母細胞瘤對放療敏感,但為防止腫瘤的脫落種植轉移,通常要做全腦脊髓的放射治療。放療設備由早年的深部X線變為60鈷(60Co)和直線加速器,放療劑量增大,大大改善了放療的效果。針對髓母細胞瘤易轉移的特點放療應包括全中樞神經系統(全腦、後顱窩和脊髓)放療劑量根據患者年齡而定劑量要足,4歲以上全腦放射劑量在35~40Gy,後顱劑量50~55Gy。2~4歲適當減量2歲以內暫不放療。放療一般應於術後4周內進行。有研究提出全腦全脊髓低劑量照射與高劑量照射的生存率無差異髓母細胞瘤放療的關鍵是後顱窩高劑量照射。因此目前推薦全腦劑量30~35Gy,後顱窩50Gy脊髓30Gy。放療時也要注意遠期併發症(如兒童因內分泌功能低下所致發育遲滯等)的發生。
對於小兒髓母細胞瘤患者術後治療方案的選擇上,現常規的做法是根據患兒的年齡,手術切除的程度及有無轉移等因素將患兒分成高危(highrisk)和低危(standardrisk)二組,針對不同的分組採取相應的術後治療措施。對於低危組(年齡>3歲,腫瘤全切除無轉移者),術後治療的主要目的是預防腫瘤復發和蛛網膜下腔播散。
傳統放療採用全腦36Gy、脊髓軸28Gy及後顱凹加強量可達54Gy,為防止放療對幼兒產生的副作用,目前研究多希望能降低脊髓軸放療劑量到23.4Gy也能取得相同的效果,但是近期許多資料表明減量放療將使對髓母細胞瘤的遠期療效下降,增加復發與轉移相比之下採用全量全腦脊髓軸放療(CSI)聯合多元化療(順鉑、長春新鹼、洛莫司汀)的方式卻顯著減少了術後腫瘤的復發和轉移,提高了生存率對於高危患兒(年齡≤3歲殘餘腫瘤>1.5cm2或有轉移灶者)術後對殘餘腫瘤及轉移灶的局部放療和預防性CSI是必不可少的。但多數患兒年齡<3歲神經及內分泌系統易受放療損傷,因此如何利用術後早期化療來延遲放療開始時間而不影響疾病的控制效果成為現在的研究重點有人認為此方法與術後立即放療起到同樣效果,但也有人認為在化療的過程中已有74%的患兒出現復發和轉移隨後的CSI也不能對病情惡化進行完全補救,而且化療導致血象抑制,也將使隨後的放療難以進行。
預後預防
檢查指數早年髓母細胞瘤的預後極差近年隨著術後的放療和化療其生存期已有極大地提高了。1984年Berry報導5年生存率為56%,10年生存率為43%;1988年Leftkowitz報導兒童髓母細胞瘤10年生存率為75%12年生存率達51%,而1990年Garton則報導5年生存率為50%~60%在某些報導中,5年生存率甚至達到80%~100%。治療效果的大幅度提高歸因於三方面:顯微外科技術使腫瘤切除程度進一步提高;正規放射治療(局部+全腦+脊髓);對化學治療作用的重新認識目前認為術後全腦和脊髓的充分放療+多元聯合化學治療是延長生存期減少復發轉移的必要手段。患者的發病年齡腫瘤的臨床分期與治療措施與患者的預後有關。年齡愈小,預後愈差。兒童患者的5年生存率明顯低於成人患者,分別為34%與79%,而10年生存率則較為接近,為25%~28%,無顯著差別。腫瘤的手術切除程度直接影響患者預後。腫瘤的全切除與次全切除對患者的5年生存率無顯著性差異,為82%~100%而大部切除則明顯降低生存率,僅42%。髓母細胞瘤對放療較為敏感尤其對於次全切除腫瘤的患者,一個療程後複查MRI或CT可發現殘餘腫瘤消失有研究資料表明全腦脊髓放療與全腦放療患者的5年生存率為64.29%和46.61%10年生存率為41.84%和27.01%脊髓放療對提高近期生存率有意義,但脊髓放療可引起脊髓放射性損傷,出現新的神經系統症狀。2~3歲以下的患兒術後應先行化療待4歲後再行全腦脊髓放療。復發和轉移是影響預後的重要因素一般認為髓母細胞瘤10年之內無復發,應當列為“治癒”但亦有手術後近30年才異位復發者(轉移)。局部復發時間往往在治療後2~4年時發生對於復發髓母細胞瘤手術及放療效果均不如首發腫瘤。復發後除個別患者可生存5年以上外一般不超過2年手術加放療後第一個5年內應每年複查1次CT或MRI這樣可早期發現復發或轉移的病例。
預防了解腫瘤的危險因素,制定相應的防治策略可降低腫瘤的危險預防腫瘤的發生有2個基本線索,即使腫瘤在體內已經開始形成,他們也可幫助機體提高抵抗力,這些策略如下所述:
1.避免有害物質侵襲(促癌因素)就是能夠幫助避免或儘可能少接觸有害物質。
2.提高機體抵禦腫瘤的免疫力能夠幫助提高和加強機體免疫系統與腫瘤鬥爭。(1)避免有害物質侵襲:腫瘤發生的一些相關因素在發病前進行預防很多癌症在他們形成以前是能夠預防的1988年美國的一份報導詳細比較了國際上惡性腫瘤相關情況提出許多已知的惡性腫瘤其外部因素原則上是可以預防的即大約80%的惡性腫瘤是可以通過簡單的生活方式改變而預防繼續追溯前10年,即1969年Higginson醫生所作的研究總結出90%的惡性腫瘤是由環境因素造成的“環境因素”“生活方式”即是指呼吸的空氣喝的水、選擇製作的食品、活動的習慣和社會關係等。我們目前所面臨的腫瘤防治工作重點應首先關注和改善那些與我們生活密切相關的因素,例如戒菸合理飲食、有規律鍛鍊和減少體重任何人只要遵守這些簡單合理的生活方式常識就能減少患癌的機會(2)促進身體提高抵禦癌瘤的免疫力:提高免疫系統功能最重要的是:飲食鍛鍊和控制煩惱健康的生活方式選擇可幫助我們遠離癌症保持良好的情緒狀態和適宜的體育鍛鍊可以使身體的免疫系統處於最佳狀態,對預防腫瘤和預防其他疾病的發生同樣有好處另外有研究顯示適當活動不僅增強人體免疫系統,而且通過增加人體腸道系統蠕動而降低結腸癌的發病率。人類流行病學和動物實驗研究顯示維生素A對降低患癌的危險性起著重要的作用維生素A支持正常的黏膜和視覺,它直接或間接參與身體大多數組織功能維生素A存在於動物組織中如肝臟、全蛋和全牛奶,植物中是以β-胡蘿蔔素和類胡蘿蔔素形式存在,在人體內能轉化為維生素A維生素A的過度攝入可以造成機體的不良反應而β-胡蘿蔔素和類胡蘿蔔素則無此現象,血中低維生素A含量增加患惡性腫瘤的危險性研究表明那些血中低水平維生素A攝入的人增加患肺癌的可能而對於吸菸者血中低水平的維生素A攝入者有加倍患肺癌的可能維生素A及其混合物可以幫助清除體內的自由基(自由基可以引起遺傳物質的損害)其次能夠刺激免疫系統和幫助體內分化細胞發展成有序的組織(而腫瘤的特徵是無序的)。一些理論認為維生素A能夠幫助早期受到致癌物質侵襲發生變異的細胞逆轉過來而成為正常生長的細胞。另外有一些研究建議單純補充β-胡蘿蔔素藥物並不能降低患癌症的風險,相反使肺癌的發病略有增加,然而,當β-胡蘿蔔素結合維生素C、E和其他抗毒素物質,他的保護作用就顯示出來了。其原因是當他自己消耗時也可增加體內的自由基,另外不同的維生素之間存在互動作用人和鼠的研究均顯示套用β-胡蘿蔔素可以降低體內40%的維生素E水平比較安全的策略是吃不同的食物保持維生素的平衡來抵禦癌症的侵襲,因為有些保護因素至今我們還未發現。維生素CE是另外一種抗腫瘤物質它們能夠預防食物中致癌物質如亞硝胺的危害,維生素C能保護精子不受基因學破壞而降低其後代患白血病腎癌和腦瘤的危險維生素E能降低皮膚癌的危險,維生素E與維生素C一樣具有抗腫瘤作用,它是抗毒素和清除自由基的清道夫。維生素AC、E的聯合套用產生的保護機體抵抗毒素的作用要比單獨套用為好。目前有關植物化學的研究引起人們的普遍重視植物化學就是在植物中發現的化學物質包括在植物中發現的維生素和其他物質已經發現幾千種植物中的化學成分其中許多具有抗癌作用。這些化學物質的保護機制不但降低致癌物質的活性而且增強機體免疫力抵禦致癌物質的侵襲。大多數植物提供的抗氧化劑活性超過了單純維生素AC、E的保護作用,例如一杯甘藍汁包含了50mg的維生素C和13U的維生素E,但它的抗氧化劑活性相當於800mg的維生素C和1100U的維生素E的抗氧化活性可以推斷水果和蔬菜中的抗氧化劑效果遠比我們所知道的維生素的效果要強。無疑天然的植物產品將有助於今後的防癌工作。
小兒髓母細胞瘤
症狀一、學齡前或學齡期兒童,尤其是男孩,出現不明原因的頭痛、嘔吐,繼而步態不穩、眼球震顫、復視,首先應考慮髓母細胞瘤的可能,應進一步行神經放射檢查來明確診斷。
二、部分患兒在腦脊液中找到脫落瘤細胞更可確診。髓母細胞瘤易播散轉移,如果後顱凹腫瘤有腦室內播散則術前可以確診本病。
三、顱內壓增高表現為頭痛、嘔吐及視盤水腫,本組頭痛占76.6%,嘔吐占95%,視盤水腫占72.1%。較小的兒童可有顱縫裂開。
四、小腦損害征主要為小腦蚓部損害引起的軀幹性共濟失調,步態不穩及站立搖晃,Romberg征陽性。腫瘤壓迫延髓可有吞咽發嗆和錐體束征,2/3的患兒表現有肌張力及腱反射低下。有些病人有眼球震顫及肢體共濟障礙。本組有小腦征者占88.3%。
治療
一、主要手術切除加放射治療。手術行後正中開顱,應儘可能全切除或近全切除腫瘤,使梗阻的第四腦室恢復通暢,術後輔以必要的放射治療。髓母細胞瘤對放療敏感,但為防止腫瘤的脫落種植轉移,通常要做全腦脊髓的放射治療。
二、對於小兒髓母細胞瘤患者術後治療方案的選擇上,現常規的做法是根據患兒的年齡,手術切除的程度及有無轉移等因素將患兒分成高危和低危二組,針對不同的分組採取相應的術後治療措施。
三、對於低危組,術後治療的主要目的是預防腫瘤復發和蛛網膜下腔播散。傳統放療採用全腦36Gy、脊髓軸28Gy及後顱凹加強量可達54Gy,為防止放療對幼兒產生的副作用,目前研究多希望能降低脊髓軸放療劑量到23.4Gy也能取得相同的效果,但是近期許多資料表明,減量放療將使對髓母細胞瘤的遠期療效下降,增加復發與轉移。
四、相比之下,採用全量全腦脊髓軸放療(CSI)聯合多元化療(順鉑、長春新鹼、洛莫司汀)的方式卻顯著減少了術後腫瘤的復發和轉移,提高了生存率。對於高危患兒術後對殘餘腫瘤及轉移灶的局部放療和預防性CSI是必不可少的。
五、但多數患兒年齡<3歲,神經及內分泌系統易受放療損傷,因此如何利用術後早期化療來延遲放療開始時間而不影響疾病的控制效果成為現在的研究重點。
六、有人認為此方法與術後立即放療起到同樣效果,但也有人認為在化療的過程中已有74%的患兒出現復發和轉移,隨後的CSI也不能對病情惡化進行完全補救,而且化療導致血相抑制,也將使隨後的放療難以進行。

