治療措施
中心性軟骨肉瘤
中心性軟骨肉瘤無論中心性軟骨肉瘤的組織學分級如何,刮除術都是不適宜的。病變內切除只適於軟骨瘤與Ⅰ級中心性軟骨肉瘤之間的邊界 性病 例,有治癒的可能,但這種病變內切除須廣泛,並使用局部輔助劑,如石炭酸、骨水泥和液氮。
中心性軟骨肉瘤的切除緣必須達到廣泛性或根治性切除。邊緣性切除後,腫瘤復發的危險性高,隨組織學惡性度的增加而增加。在多數病例中,使用廣泛性切除可達到保肢目的。
截肢適用於有巨大軟組織腫瘤的中心性軟骨肉瘤,特別是在Ⅲ級中心性軟骨肉瘤和反分化軟骨肉瘤中。
在制定手術方案時,須精確確定腫瘤在骨髓腔內或松質骨內的侵襲範圍,可藉助於骨掃描、CT和MRI。
當中心性軟骨肉瘤在切除後於軟組織內復發時,常沒有一定界限(不象一些周圍性軟骨肉瘤中的那樣),一般不能整塊切除,需要行截斷手術。位於軀幹骨的中心性軟骨肉瘤,手術切除非常困難。
中心性軟骨肉瘤是抗放射性腫瘤,放療的療效非常低,甚至緩解疼痛的效果也差。化療的療效同樣不佳,僅在一些反分化軟骨肉瘤中使用。
如肺轉移瘤局限,應行肺轉移瘤切除。
病理改變
1.肉眼所見
中心性軟骨肉瘤在Ⅱ~Ⅲ級中心性軟骨肉瘤中,皮質骨幾乎總是被腫瘤浸潤而中斷,在軟骨分化好的地方,腫瘤組織仍為軟骨外觀,傾向於形成聚集在一起的多面體小葉。這些軟骨比正常軟骨和軟骨瘤中的軟骨顏色更灰,質地更軟,有更多的液汗以及更透明。在粘液區域(在Ⅱ級中心性軟骨肉瘤中特別多且瀰漫),組織多少有些凝膠狀,呈灰白色,有時有粘液液化區和出血區。
中心性軟骨肉瘤中,擠壓在骨內部、從血少的新生腫瘤組織常產生變性和壞死,可見到軟骨退化的區域,表現為白色且不透光的區域(象煮熟的米飯),微黃而乾燥的壞死區,囊性或血性液化區。鈣沉積可以很清楚地看到,它們有白惡樣淺黃—白色外觀,其堅固性很硬象砂礫一樣,以小顆粒或小片的形式存大,孤立或融合,有時環形於軟骨小葉的周圍。
與骨肉瘤迅速侵犯穿過皮質骨不同,中心性軟骨肉瘤常向阻力低的地方浸潤,如骨幹髓腔,因此,放射影像和解剖之間可有相當大的差異,放射影像上局限於骺—乾骺端、未越過皮質的中心性軟骨肉瘤,可在骨幹的髓腔內浸潤了很長的距離。在一些病例可見到腫瘤侵犯關節,一般見於腫瘤體積相當大的病例。
2.鏡下所見
(1)Ⅰ級中心性軟骨肉瘤 大約占20%。軟骨分化良好,極少含有粘液區。區別於軟骨瘤的細胞學徵象有以下幾點:①較大的核;②核大小不同,一般為圓形;③常見雙核細胞,從未見到有絲分裂相(細胞以直接分裂方式增殖);④細胞較軟骨瘤多。
(2)Ⅱ級中心性軟骨肉瘤 是最常見的形式,約占60%。軟骨組織顯示出明顯的異型性,細胞核大,特徵性的染色過深,雙核細胞常見,三核細胞少見,一些細胞核4~5倍於正常核和/或外形怪異。
(3)Ⅲ級中心性軟骨肉瘤 約占20%。軟骨的分化良好,軟骨小葉周圍為一厚的細胞暈,由密集深染的成軟骨細胞的、未分化的間充質組成。軟骨細胞異型性明顯,數目豐富,以細胞核多形性明顯、染色過深為特徵。細胞體積常巨大,5~10倍於正常細胞,有3個或更多核、或有怪異核的細胞很多。
在中心性軟骨肉瘤的組織病理學中,較困難的問題是區分Ⅰ級中心性軟骨肉瘤和軟骨瘤。
臨床表現
中心性軟骨肉瘤有明顯的好發部位,依次為股骨(尤其是近端)、骨盆、肱骨近端、肩胛骨、脛骨近端。軟少發生的部位有軀幹的其它骨、橈骨、尺骨、足和手(軟骨瘤常見於手,少見於軀幹骨)。
在長骨的中心性軟骨肉瘤通常起源於骨幹的一端或乾骺端,由於患者一般是生長軟骨已消失的成人,腫瘤常侵犯骺端,有時可侵及關節;起源於骨幹中段的中心性軟骨肉瘤很少見,在診斷時,腫瘤可已侵犯整個長骨的1/3、1/2或更多;骨盆的中心性軟骨肉瘤好發於髖臼周圍區域(髂骨,坐骨或恥骨);肩胛骨的中心性軟骨肉瘤好發於喙突—關節盂區域。骨盆和肩胛骨的中心性軟骨肉瘤同樣可以侵犯骨的大部分。
症狀輕且發展緩慢。病史較長,有時表現為一個局部手術後復發的“軟骨瘤樣”腫瘤。主要症狀是深部疼痛,不劇烈,非持續性。由於腫瘤尚未膨脹到軟組織中,常不能觸及骨外團塊,而僅有輕微的骨增大;在腫瘤的進展期,可形成大的球形骨外團塊。如中心性軟骨肉瘤位於脊椎、骶骨、肋骨或骨盆部位,可壓迫神經乾,引起劇烈的疼痛,有時有放射性疼痛。部分病例生長迅速,侵襲性強,早期即可破壞皮質骨,侵入軟組織中,形成較大的軟組織腫塊。部分病例可從骨骺侵犯關節,引起關節症狀。病理性骨折少見。
有時,術後復發中心性軟骨肉瘤比原來的腫瘤更具侵襲性。
輔助檢查
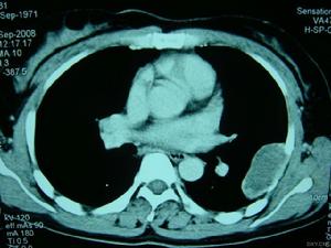
中心性軟骨肉瘤中心性軟骨肉瘤可表現為邊界模糊的溶骨,有或無皮質骨中斷,由於軟骨傾向於鈣化和骨化,腫瘤內可出現不透X線區,鈣化經常發生在軟骨小葉的周圍,無一定結構,其特徵為不規則的霧狀顆粒、結節或不透X線的環。
由於瘤壁骨嵴,腫瘤可產生泡狀或麵包屑樣外觀。如鈣化緻密,腫瘤可呈不透X線的金屬樣。如腫瘤浸潤到松質骨的髓腔而未破壞骨小梁時,鈣沉積和反應性骨增生可呈不透X線均勻一致的海綿骨樣。如腫瘤浸潤松質骨未破壞骨小梁且無鈣化時,骨內的腫瘤部分可不顯影,在這種情況下,如果不藉助骨掃描、CT和MRI,中心性軟骨肉瘤的診斷困難且晚。分化良好的中心性軟骨肉瘤鈣化多,而Ⅲ級中心性軟骨肉瘤及反分化中心性軟骨肉瘤鈣化少且粘液區多。皮質骨可以很薄,內部呈扇貝狀,在一些區域可有中斷。有時由於腫瘤膨脹緩慢,皮質骨發生增生,可顯得增厚。這種增厚的皮質骨表現相當典型,表明其已被腫瘤所浸潤。
中心性軟骨肉瘤傾向於向阻力較小的地方擴張,如骨幹的髓腔。在幾乎一半的病例中,放射影像顯示腫瘤侵犯整個長骨的1/3、1/2或更多,但在腫瘤早期,影像上可能無顯示。這個特點很重要,否則手術方案可能不恰當,切除緣可能不夠,於骨幹切除或截肢術後殘肢處腫瘤可復發,為避免發生,須在術前通過骨掃描、CT和MRI來確定腫瘤在髓腔內的範圍。
在侵襲性較強的病例中,中心性軟骨肉瘤早期即可有廣泛的皮質中斷,較大的軟組織腫塊,侵入軟組織中的瘤塊鈣化不明顯。受浸潤被頂起的骨膜可以反應性地產生薄的、稍不透X線的帶,垂直於皮質,但從不見在骨肉瘤中典型的“牙刷”影像以及Codman三角。
鑑別診斷
中心性軟骨肉瘤中心性軟骨肉瘤的術前診斷常很容易,然而鑑別診斷涉及大量腫瘤和瘤樣病變。首先,中心性軟骨肉瘤必須與軟骨瘤鑑別,特別是Ⅰ級中心性軟骨肉瘤、邊界性惡性軟骨肉瘤的區分。軟骨瘤好發於兒童,於成人期停止生長,可多年沒有變化,除非發生病理性骨折,軟骨瘤是無痛的,通常為中等度大小,皮質骨不呈扇貝狀,皮質骨無中斷,無軟組織腫脹。簡而言之,除位於手和足的小管狀骨外,軟骨瘤常保持皮質骨完整。由於手的軟骨腫瘤幾乎總是良性的,診斷此部位的中心性軟骨肉瘤須慎重,只有在臨床、影像學和組織學都顯示出明確的惡性時才能診斷。相反,由於位於軀幹骨的軟骨腫瘤常為惡性,除非已證明為其它病變,這些部位的軟骨腫瘤要想到中心性軟骨肉瘤的診斷,在可疑的病例中,要實行廣泛性切除。
在多發性軟骨瘤和軟骨瘤病中,軟骨瘤可以長到相當大,在成人期仍可繼續生長,以增生活躍的組織學表現為特徵,由於其轉變成中心性軟骨肉瘤的機率相當大,所以在成人期,當軟骨瘤病的症狀和影像發生改變時,應懷疑中心性軟骨肉瘤的可能,應立即行活)骨肉瘤發生於兒童期,中心性軟骨肉瘤很少存在於青春期前,即使在成人,這兩種腫瘤的影像和大體病理也不相同,但主要區別在於組織學的不同。在骨肉瘤,即使腫瘤細胞主要為軟骨母細胞,也一定可以發現成骨分化和腫瘤細胞直接產生骨樣物質,且骨肉瘤中軟骨細胞的惡性度(Ⅳ級)比中心性軟骨肉瘤更高。但在一些罕見病例中,靠有限的活檢標本進行鑑別診斷困難,甚至不可能,在這種情況下,於決定是否化療前,最好重複活檢,標本要較多而有特異性。
軟骨粘液纖維瘤的大體病理可與中心性軟骨肉瘤相同,在組織學上,可將軟骨粘液纖維瘤的中心—分葉細胞誤診為Ⅰ級或Ⅱ級中心性軟骨肉瘤,但軟骨粘液纖維瘤的嬰兒期發生、影像和典型的組織學特點可供鑑別診斷。
預後
Ⅰ級中心性軟骨肉瘤一般不發生轉移,如手術切除不夠廣泛,腫瘤可局部復發。如Ⅰ級中心性軟骨肉瘤侵犯內臟腔室或椎管可導致死亡。儘管病程緩慢,組織學表現可無明顯的惡性特點,Ⅱ級中心性軟骨肉瘤能早期發生轉移,術後局部復發的可能性大。如手術治療及時且充分,治癒的比例大約為60%。
Ⅲ級中心性軟骨肉瘤的預後較差,生存率約為40%。
中心性軟骨肉瘤的預後基本上依賴於兩個因素:組織學的惡性度和正確的手術方案(廣泛性或根治性切除,不能有污染)。
