概述
骨肉瘤骨肉瘤發病率在原發性惡性腫瘤中占據首位,該瘤惡性程度甚高,予後極差,可於數月內出現肺部轉移,截肢後3~5年存活率僅為5~20%。
發生在股骨下端及脛骨上端的約占所有骨肉瘤的四分之三,其它處如肱骨,股骨上端、腓骨、脊椎,髂骨等亦可發生。
多數為溶骨性,也有少數為成骨性,發病年齡:可發生在任何年齡,但大多在10~25歲,男性較多,腫瘤多處於骨端,偶發生於骨幹或骨骺。
分類
骨肉瘤按其發生的部位分為髓性骨肉瘤和表面骨肉瘤,前者發生於髓腔約占全部骨肉瘤的3/4,後者發生於骨表面。
發病原因
可能與骨骼過度生長、慢性炎症刺激、遺傳因素、特殊病毒的感染,骨內血液回流不暢及放射線照射等因素有關。
發病機制
本病的發病機制還不很清楚。它的組織學特點是增生的梭形腫瘤細胞直接產生骨樣基質或不成熟骨。但其髮型不同,組織學特點也不同。本文已在概述中描述。
骨肉瘤來源於原始祖細胞,這種細胞有多潛能的特徵,可以分化為骨、軟骨及纖維,因此骨肉瘤中除有惡性骨母細胞外,還有軟骨母細胞及成纖維細胞分化。根據這3種細胞成分的多少,中心型骨肉瘤可以分為骨母細胞型(成骨型)、軟骨母細胞型(成軟骨型)及成纖維細胞型(成纖維型)。
1.肉眼所見腫瘤發生在髓腔並在髓腔內擴張和破壞與穿破骨皮質進入軟組織。腫瘤因發生部位不同而形狀不一,腫瘤切面可因細胞成分不同而色彩及質地各異,灰白色、質軟、魚肉樣,藍白色、質脆、軟骨樣,灰白色、質韌、橡皮樣和堅如象牙的瘤骨,壞死及出血區為灰黃色和紅褐色分布在腫瘤之間。腫瘤偏於某側被穿破的骨皮質無膨脹,骨膜被掀起可見三角形骨膜反應。
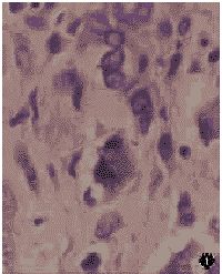
2.光鏡所見腫瘤細胞梭形、多角形、圓形,細胞間變明顯,細胞大小不一,形態各異,細胞核大,核仁明顯,常見病理核分裂,在分化較好的地方可以見到腫瘤細胞的直接形成腫瘤性骨及骨樣組織,呈粉染均質條索狀及小片狀,腫瘤越成熟形成的骨及骨樣組織越多,有時還可見到破骨細胞型巨細胞及出血和壞死區。
(1)骨母細胞型:主要由具有明顯異型性的惡性骨母細胞組成,形成較多的腫瘤性骨及骨樣組織,細胞的分化程度不一,有的分化比較成熟,異型性不明顯,形成瘤骨較多,有的則分化較差,瘤細胞異型性十分明顯,核分裂易見,形成腫瘤性骨及骨樣組織少。
(2)軟骨母細胞型:腫瘤組織中除骨母細胞外,半數為軟骨肉瘤結構,同時可以見到腫瘤細胞直接形成腫瘤性骨及骨樣組織。
(3)成纖維細胞型:腫瘤細胞梭形,排列成車輻狀,其間可見腫瘤細胞直接形成腫瘤性骨及骨樣組織。
以上3型往往混合存在,目前稱以上3型為傳統型。
3.電鏡觀察由5種細胞組成,最基本的是惡性成骨細胞,其次為成軟骨細胞、成纖維細胞、肌纖維母細胞及不分化細胞。除5種細胞外還有腫瘤性骨樣組織。
(1)惡性成骨細胞:細胞核是不規則的圓形、卵圓形。核膜鋸齒狀。核染色質輕度凝集,核仁明顯,細胞內充滿粗面內質網,線粒體少,內含少量的嵴,高爾基複合體較發達,細胞表面有突起,細胞間無細胞連線器。
(2)惡性成軟骨細胞:細胞核有明顯的間變,表面有不規則的微絨毛,細胞周圍有一透明區帶,細胞質內有發達的粗面內質網,線粒體卵圓形,有明顯的嵴,高爾基複合體發達,細胞質有液泡,偶見溶酶體。
(3)惡性成纖維細胞:細胞紡錘形,細胞質不規則,細胞核長卵圓形,核膜表面有凹陷,染色質邊集,胞質內有豐富的粗面內質網,線粒體中等量。
(4)不分化細胞:細胞有相對高的核質比例和稀少的細胞器,是成骨肉瘤主要細胞成分。
(5)肌纖維母細胞:大多數成骨肉瘤均可見此細胞,細胞長紡錘形,有豐富的胞質微絲,細胞質內有豐富的粗面內質網。
腫瘤性骨樣組織由膠原纖維和蛋白多糖組成,在腫瘤不同區域內,有不同的表現,成骨區內,骨樣基質占優勢,成軟骨細胞區內,膠原纖維形成,並有大量的蛋白多糖物,在此纖維細胞區內,纖維細胞無明顯成骨。
症狀
臨床表現
骨肉瘤 疼痛為早期症狀,可發生在腫瘤出現以前,起初為間斷性疼痛,漸轉為持續性劇烈疼痛,尤以夜間為甚。惡性大的腫瘤疼痛發生較早且較劇烈,常有局部創傷史。骨端近關節處腫瘤大,硬度不一,有壓痛,局部溫度高,靜脈擴張,有時可摸出搏動,可有病理骨折。全身健康逐漸下降至衰竭,多數病人在一年內有肺部轉移。骨肉瘤晚期患者死前症狀啥樣?臨床上對青少年有近膝關節的骨端疼痛,腫脹等應認真檢查,根據病史、體徵及X線片表現,大多可以診斷,必要時作活體組織檢查。應注意與下述病變鑑別:骨化肌炎、掌骨和跖骨結核性骨炎(此處骨肉瘤極少發生),慢性骨髓炎、骨囊腫與巨細胞瘤等。骨肉瘤晚期可出現發熱,食慾減退,消瘦等全身症狀。局部常表現為固定性,持續性及逐漸加重的疼痛,以及局部包塊,有明顯的夜間痛,易發生病理性骨折。腫塊瀰漫性腫脹,壓痛,邊界不清楚,皮溫升高,淺靜脈怒張,常影響鄰近的關節。
X線片表現
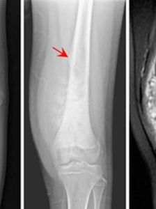
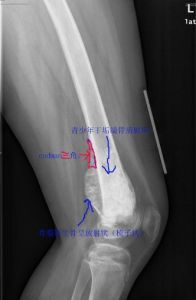
骨質緻密度不一。有不規則的破壞,表面模糊,界限不清,病變多起於骺端,因腫瘤生長及骨膜反應高起形成考德曼氏三角,有與骨幹垂直方向的放射形骨針。
診斷
骨肉瘤1、多發於15—25歲青少年,好發於四肢長管骨幹骺端。膝關節上下部位最常見。
2、主要症狀是局部疼痛,初為間歇性隱痛,迅速轉為持續性劇痛,夜間尤甚。
3、局部皮溫高,靜脈怒張,腫塊生長迅速,壓痛,可出現震顫和血管雜音,可有病理性骨折,關節功能障礙。
4、全身毒性反應,食欲不振,體重減輕,最後衰竭,出現惡液質。
6、X線攝片之特徵。
7、病理檢查可明確診斷。
鑑別診斷
2、慢性化膿性骨髓炎髓腔瀰漫性密度增高,皮質增厚,但無骨質大塊破壞或腫瘤骨形成,軟組織腫脹亦不明顯。若見死骨存在,骨髓炎的診斷更明確。
3、尤文氏肉瘤表現為髓腔內斑點狀、鼠咬狀溶骨破壞,範圍較長,多見蔥皮樣骨膜反應。
4、轉移性腫瘤較少侵犯膝關節附近的骨胳,好發於骨盆及脊柱等,骨質改變多為溶骨性,大多無骨膜反應和軟組織腫塊。
治療
1.活檢
有了明確的組織學診斷,才能確定治療方案。術前活檢非常重要,是手術治療的一部分,應由有經驗的醫生進行,因為不恰當的活檢可以喪失保留肢體的機會。針吸活檢有很少污染和危險性小的優點,其診斷陽性率在有經驗的醫院可高達80%以上。針吸活檢失敗應儘早做切開活檢,切開活檢的切口通常是縱形的,可在外科切除腫瘤時一併被切除。
2.化療
化療是成骨肉瘤的重要輔助治療,大劑量多種藥物聯合套用的化療可對腫瘤局部進行殺傷,術前化療(新輔助化療)可使瘤細胞壞死,瘤體縮小,反應區的水腫和新生的腫瘤性血管消失,使腫瘤鈣化界限變清楚。臨床上病人疼痛減輕或消失,腫塊變小,關節活動度增大,AKP可降至正常。
大劑量化療也是骨肉瘤全身性治療有效方法,化療可殺滅肺內和全身的微小轉移灶。這種治療應早期進行。微小病灶比大的腫瘤對化療敏感。輔助化療可以使肺內腫瘤數量較少和推遲出現。肺轉移的病人延長生存期的關鍵是完全切除轉移,化療可促進整個疾病的根治,增加治癒率。國外20%~40%的病人可以經過多種途徑治療而治癒。
如果新輔助化療不能達到腫瘤壞死,推遲手術治療將影響生存率。因為化療無效時,腫瘤將繼續在繁殖期,肺的微小病灶將發展。化療有效時推遲腫瘤的根治性手術不會危及生存率。術前化療可以增加肢體搶救的成功率,因此說術前化療對準備肢體搶救的病人來說是安全有益的。術前化療的效果可以預示治癒率。由於化療的成功進行才使得骨肉瘤的病人不但提高了生存率,而且保留了肢體並具有一定的關節功能。
利用順鉑(DDP)、多柔比星(ADR)、甲氨蝶呤-四氫葉酸(MTX-CF)、BCD、異磷醯胺(IFO)、環磷醯胺(CTX)等在1982~1988年國外有許多作者採用術前術後的化療治療成骨肉瘤,其無轉移生存率為42%~89%。隨診5年以上者,Jaffe(1988)無轉移生存率為56%,Takada(1986)為56%,Rossen(1982,1985,1986)為77%。
利用上述藥物也有許多作者在1982~1988年採用術後化療對骨肉瘤進行治療,並報導了結果,無轉移生存率在24%~65%,隨診5年以上者,法國骨腫瘤研究小組(1988)無轉移生存率為41%(隨診70個月),Gasparin(1987)為45%,隨診84~132個月。
3.骨肉瘤的保肢治療
(1)手術方案的確立決定於對病人的各種資料的評估:①可通過X線片、CT、MRI、X線胸片和骨掃描及DSA進行外科分期和血運情況的估價。②通過新輔助化療前後各種檢查資料的比較,評估腫瘤的生物學行為和化療能否控制的情況。③若病人要求保肢,還應評估腫瘤能否安全地進行廣泛性局部切除,各種重建與軟組織修復如皮瓣移植等。
(2)重建材料的選擇:重建材料的選擇依醫生的經驗、習慣和客觀條件決定,如年輕病人瘤骨殼較完整且有一定強度者,可採用滅活再植瘤骨殼和骨水泥填充加固;也可選用低溫骨庫保存的異體骨進行移植,但應向病人交代容易出現異體骨反應而使保肢失敗;年長者可選用人工關節置換。
(3)軟組織修復:軟組織修復最為重要,應儘量減少傷口感染,皮緣與皮瓣壞死,這些都能導致保肢失敗。
(4)肺轉移:有肺轉移者,新輔助化療能控制轉移灶的生長,胸外科能做轉移灶的外科切除的也可對原發腫瘤行保肢治療。
(5)股骨中下段巨大腫瘤:可保留神經血管對腫瘤行階段性截除,將小腿鏇轉180°上移再植,用小腿代替大腿,踝關節代替膝關節。用前足穿戴小腿假肢負重走路,而且有一定活動度的膝關節功能。
(6)膝部腫瘤的軟組織修復:腓腸肌肌皮瓣、背闊肌游離皮瓣的移植能使我們有可能將先前可能施行截肢的病人進行肢體搶救手術,特別是脛骨近端的大的病變。
(7)肱骨近端病變:可採用單純近端肱骨的廣泛切除,當病變靠近關節面時,可採用連同肩胛盂的肱骨大塊切除。重建方法因人而異,年輕人需要無痛、穩定可考慮肩關節融合,老年人可考慮做連枷肩。肱骨近端巨大腫瘤只要神經血管束未被侵犯,便可採用Tikhoff-Linberg手術,這種手術可保留手及肘的功能,明顯優於截肢。
(8)近端股骨廣泛切除:較為困難,保肢的重建可採用人工假體或異體骨人工假體複合物進行重建。
(9)脊柱骨肉瘤:少見,國外文獻報導反覆外科切除和大劑量輔助化療與放療可延長病人的生存期,個別病人可以治癒。
(10)對化療敏感的骨盆成骨肉瘤:可行骨盆廣泛性切除,滅活再植、人工全髖關節移植術。
4.截肢術
對於就醫較晚,無力進行化療的病人,為了解除痛苦,延長生存期,截肢術仍然是較好的治療方法。通常術前也應做較短療程的化療,術後2周繼續化療。
5.其他治療
各種生物治療的套用時冷時熱,呈波浪式前進,其療效悲觀與樂觀的說法都是不實際的。中醫中藥治療可有增強免疫力,減少放、化療毒性的作用。
併發症
由於骨肉瘤的成倍增加,病人一般可以活15個月至5年。可能引發的併發症有心臟病、肺病和糖尿病。60%-70%的骨肉瘤患者可以繼續生存,潛在的併發症包括由外科手術導致癌細胞的擴散到肺。
可以並發病理骨折。發生於長骨骨幹處的骨肉瘤可以並發骨硬化性病灶和內骨膜增厚。瘤體近關節時常合併功能障礙,晚期常出現肺轉移。
預後
1.小細胞骨肉瘤在16例MayoClinic的患者中,其累積5年生存率只有28.9%。
2.高度惡性骨表面骨肉瘤組織學表現和預後類似於傳統型骨肉瘤。
3.骨膜骨肉瘤通過恰當的手術治療其預後優於傳統型骨肉瘤。
4.低度惡性中央型骨肉瘤比傳統型骨肉瘤的預後好得多。
5.血管擴張型骨肉瘤的治療和預後與傳統型骨肉瘤相似。
6.皮質旁骨肉瘤是一種低度惡性的骨肉瘤亞型,預後非常好。如果得到充分恰當的治療,80%以上的患者能夠存活。偶爾,腫瘤發生局部復發後,組織學和細胞學上的不典型性會較初發時更明顯。
傳統的治療方法(截肢、放療)骨肉瘤的預後差,5年存活率不超過20%。
影響骨肉瘤患者預後的因素最重要的是腫瘤組織對化療藥物的反應程度,即化療後腫瘤細胞的壞死率,壞死率小於90%者,即使改變化療方案預後亦不良。有學者報導,腫瘤的大小(體積大於150mm3者預後不良),以及術前鹼性磷酸酶、乳酸脫氫酶的水平高低對預後判斷亦有重要意義。
對於沒有發生肺轉移的骨肉瘤,通過術前、術後的化療和適當的外科治療,其治癒率國外的治療結果可高達60%~80%。
在國內治療的骨肉瘤,5年治癒率為52%,60%的病人做了保肢手術,保肢術的復發率為12.5%。
飲食保健
骨肉瘤的食療(以下資料僅供參考,詳細需諮詢醫生)
1、骨肉瘤食療方一
【原料】生川烏頭5g,粳米100g,薑汁5ml,蜂蜜適量。
【製法】川烏頭搗碎,碾為極細粉末,先煮粳米為粥,煮沸後加入川烏末,改用小火慢煎,待熟後加入生薑汁及蜂蜜攪勻,稍煮1-2沸即可。
【功效】適用於骨關節腫瘤寒性疼痛者。對熱性疼痛、癌性發燒者忌服。
2、骨肉瘤食療方二
【原料】烏雞1隻,生地黃30g,飴糖50g。
【製法】先將雞去毛、腸肚淨,細切地黃,將地黃與糖相和勻,入雞腹中,放於銅器中,復置甑中,將雞蒸到約1小時左右即可。不用鹽、醋。只吃雞肉,吃完之後,再喝雞湯即可。
【功效】適用於骨腫瘤熱毒津枯疼痛者。
3、骨肉瘤中醫驗方(一)
【組成】黨參12克、黃芪12克、白朮9克、木香6克、川斷15克、狗脊12克、桑寄生12克、丹參15克、當歸9克、留行子9克、地龍粉(分吞)9克、全蠍粉(分吞)4.5克、牡蠣30克、夏枯草12克、海藻12克。
【功用】健脾補腎,活血消腫,攻堅散結。
【主治】骨肉瘤。
【用法】水煎服,一日一劑。地龍粉、全蠍粉按頭煎、二煎分2次兌服。
4、骨肉瘤中醫驗方(二)
【組成】補骨脂15克、杜仲15克、核桃仁25克、威靈仙50克、秦艽15克、細辛5克、川烏5克、桂枝10克、當歸15克、木香8克。
【功用】溫經通絡,溫腎祛寒。
【主治】骨軟骨瘤。
【用法】水煎服,一日一劑。
5番木瓜。【處方用名】番木瓜,木瓜
【來源】為番木瓜科番木瓜屬植物番木瓜,以果實入藥。以種子多、橢圓形,外包有漿,淡黃色為佳。
【性味歸經】甘,平。入脾、胃二經。
【功能主治】消食健胃,滋補催乳,舒筋活絡,防癌。治胃癌、骨肉瘤、白血病等。
【用法用量】內服:煎湯,鮮者30-60g,煎湯,1.5-3g,研末或絞汁飲。外用:煎水洗。
【選方】輔助抗癌:癌症患者每日適量食用番木瓜及其製品,有輔助治療癌症作用。
6、排骨香菜凍
【原料】鮮排骨500克,香菜250克。
【製法】先將排骨剁碎洗淨,加入水1500毫升,白糖、食醋各適量。小火熬成稠糊狀,除去骨頭,取500毫升糊汁,再加入適量調料,然後加入洗淨的香菜,放冷成稠糊狀,即成排骨香菜凍。最好是現做現吃。
【功效】此凍適宜於慢性白血病、何杰金氏病、骨肉瘤以及消化道腫瘤的輔助治療。
骨肉瘤患者飲食宜忌
(1)宜多吃具有抗骨髓病、骨肉瘤的食物,如海帶、紫菜、淡菜、海蛤、裙帶菜、杏仁、桃仁、李。
(2)骨痛宜吃龜板、鱉肉、穿山甲、牡蠣、蟹、蝦、核桃。
(3)脾臟腫大宜吃甲魚、泥鰍、海鰻、毛蚶、海帶、裙帶菜。
(4)貧血宜吃豬肝、香菇、芝麻、蜂乳、黃魚、花生、海參、鯇魚、鮑魚。
(5)骨肉瘤飲食化療期間宜吃甲魚、黃鱔。補白細胞的,化療需要足夠白細胞,不夠就不能化療。冬蟲夏草,可以減輕化療副作用。
(6)忌菸酒及辛辣刺激食物。
(7)忌霉變、醃製、油煎、肥膩食物。
(8)忌羊肉、鵝肉、豬頭肉等發物。
預防
人群預防
骨肉瘤在原發性惡性骨腫瘤中發病率占第1或第2位,且惡性程度很高,對患者的生命質量乃至生命危害甚大,因此應引起高度的重視。本病最早出現的症狀是持續性疼痛,此時病變可能已持續一段時間,許多病人總將關節周圍的疼痛理解為關節扭傷,直至持續性劇痛的發生或觸及腫塊方來就診。因此,人群預防的重點應是有關知識的普及,使人們增加對骨肉瘤的認識和了解,提高警惕性。衛生條件、醫療保健質量的提高是早期發現的保障,而人群知識的普及是早期發現的基礎。所以應強調在青少年發現膝關節周圍無明顯外傷的疼痛時,早期應到有一定水平的醫院檢查,以利早發現、早治療,提高生存率,利民、利己。個體預防
一級預防
該病初起時可能沒有症狀,最早出現的症狀往往就是疼痛。一旦出現疼痛,尤其是無明顯的外傷史,這類青少年應儘快就診檢查。本病的發生可能與一些外界的刺激有關,如X射線等。因此應避免接觸這些危險因素,如因某些因素不得不接觸時,應注意防護,今後要定期複查直至20歲以後。某些良性病變亦可轉變為骨肉瘤,如骨軟骨瘤、巨細胞瘤、骨纖維異樣增殖症等。對於有這些疾病的患者,更應警惕,應遵醫囑定期複查。警惕可能發生惡變的信號,如原本不痛的出現疼痛,原本生長緩慢的突然生長迅速等。如出現這些徵象,應立即去看醫生,進行詳細檢查,必要時可行活組織檢查。
二級預防
骨肉瘤患者的預後與該病發現的早晚有著密切的關係,因此當青少年出現不明原因的發生於膝關節周圍的疼痛症狀時,父母切不可掉以輕心,以為是孩子頑皮外傷所致。單克隆抗體的出現使許多腫瘤的早期發現成為可能,但骨肉瘤單抗藥盒的製備尚待進一步研究。目前對骨肉瘤的分期亦多沿用1980年Enneking提出的外科分期系統,即GTM外科分級系統。其中良性為G0,低度惡性為G1,高度惡性為G2;腫瘤位於囊內為T0,位於間室內為T1,位於間室外為T2;無局部或遠隔轉移為M0有則為M1。對於低度惡性的骨肉瘤和皮質旁肉瘤可採用局部切除或瘤段切除並配合化療的方案,如為高度惡性,則應採用術前化療加截肢加術後化療的方案。因此骨肉瘤的發現早晚及其性質,對於手術措施的選擇、預後具有重要意義。以往傳統的治療骨肉瘤的方法為截肢加放療,此療法的5年生存率在20%左右。化療的興起,使5年生存率有大幅度提高。現在多被採用的是以大劑量的氨甲蝶呤為主的化療方案。各種在此基礎上形成的不同方案,大同小異,均是根據腫瘤細胞的增殖動力學,選用作用於不同周期的化療藥物,但有一點是共同的,即大劑量的氨甲蝶呤。1967年Djerassi首先套用大劑量的氨甲蝶呤合併使用甲醯葉酸鈣解毒的方法治療骨肉瘤。1968年Jaffe採用此法治療轉移性骨肉瘤並獲得成功,被稱為氨甲蝶呤治療惡性腫瘤劑量史上的一次革命,使骨肉瘤患者的5年生存率有了較大的提高。因此,我們強調手術的完成不是治療的結束,患者應遵醫囑堅持定期化療,才可能有良好的預後直至治癒。
三級預防
因為骨肉瘤的惡性程度很高,故目前的手術方法多採用截肢。在手術中要注意無瘤操作,儘量避免因手術所造成的種植或遠隔轉移。對於局部復發或遠隔轉移的孤立性病灶,日前主張仍採用術前化療加手術切除加術後化療的方案,仍可能有較好的預後。如為遠隔部位的廣泛轉移,可採用化療、支持治療、關鍵部位的放療等方法,目的為支持及儘量減輕患者的痛苦,此類病人預後極差。
病理學常識
| 伴隨著人們生活水平的日益提高,各種各樣的疾病也以極高的頻率出現在我們的生活中,這些疾病困擾著人們,讓人們備受折磨。現在,病理學常識帶我們去科學的認識了解這些疾病,在科學的指引下,認清這些疾病的真面目,擺脫疾病的困擾,讓每一個人都有一個健康的體魄! |

