疾病概述
門靜脈高壓性胃病胃黏膜損害的病理改變主要為黏膜及黏膜下血管擴張,不是炎症性損害,並命名為充血性胃病因其與門靜脈高壓的密切關係,後改為門靜脈高壓性胃病。PHG 的發病率占肝硬化患者的50%~80%。臨床多數為少量嘔血、黑便,可伴有貧血,少數出現上消化道大出血,可致失血性休克,並可誘發肝性腦病、感染、肝腎綜合徵等合併症。出血後再出血率很高。
疾病描述
門靜脈高壓性胃病診斷症狀體徵
門靜脈高壓性胃病疾病病因
門靜脈高壓性胃病治療中2、肝功能狀態:肝功能正常或輕度受損者18.6%發生急性胃黏膜病變並出血,重度肝功能不全者達55.5%。
3、膽汁反流:門脈高壓症時,胃腸道淤血和高胃泌素血症,抑制縮膽囊素和促胰液素對幽門括約肌和Oddi 括約肌的調節,使之鬆弛,膽汁和十二指腸內容反流入胃,引起膽汁反流性胃炎。
4、內毒素血症:門脈高壓症患者往往並發內毒素血症,肝功能失代償者更常見,如急性肝衰時66%~100%並發內毒素血症;出現肝性腦病者並發率約93%;胃腸出血者並發率53.8%。
5、感染:胃黏膜上皮細胞記憶體在B肝病毒,因形成抗原-抗體複合物並沉積在微血管內皮細胞中,引起炎症反應,破壞胃黏膜屏障。
6、應激反應:危重患者包括重症肝臟患者往往發生應激反應,引起胃腸黏膜血流減少,缺血缺氧及其繼發的一系列病理生理變化。
病理生理
門靜脈高壓性胃病治療後2、肝功能狀態:肝功能正常或輕度受損者18.6%發生急性胃黏膜病變並出血,重度肝功能不全者達55.5%。Sato 報導24 例肝硬化病例,結果相似。肝功能不全時,代謝能力降低,如組胺在肝臟的滅活減少,門脈和末梢血液中組胺含量增加,促使胃酸分泌,胃蛋白酶在酸性條件下起作用,缺血而又有酸時,可增強對黏膜的自身消化,損傷黏膜,導致潰瘍形成;肝硬化患者血漿胃泌素濃度高於對照組;血漿腸抑胃肽基礎濃度稍低於對照組,進食後明顯高於對照組;Orcoff等在實驗性肝硬化動物中發現,腸道分泌一種腸相激素,促使胃酸分泌。門脈高壓患者胃潰瘍發生率高,主要與高胃泌素血症有關,胃泌素具有生理活性的殘段(G4,G5)經肝臟清除,肝硬化時清除減少,同時生長抑素及胰高糖素失去對胃泌素的負性調節作用,且可減緩胃的運動使排空時間延長,加重胃黏膜損傷,而且生長抑素減少內臟血流量,胰高糖素增加局部代謝和耗氧量,更降低胃黏膜的防禦能力。
3、膽汁反流:門脈高壓症時,胃腸道淤血和高胃泌素血症,抑制縮膽囊素和促胰液素對幽門括約肌和Oddi 括約肌的調節,使之鬆弛,膽汁和十二指腸內容反流入胃,引起膽汁反流性胃炎。黃自平在57 例門脈高壓症病例中發現13 例,陳勝堅等138 例膽汁反流性胃炎病例,肝病引起者8%。十二指腸內容含膽鹽、溶血卵磷脂和胰酶,反流入胃損傷胃黏膜,改變黏液層的特性,使上皮細胞解體,增加H+逆擴散。牛磺膽酸能抑制Na+,K+-ATP 酶的活性,阻礙細胞代謝,當濃度達8mmol 時,可完全抑制Na+,K+-ATP 酶的活性。胃酸又有助膽鹽吸收,加速黏膜損傷乃至細胞崩潰。
門靜脈高壓性胃病5、感染:胃炎和潰瘍的發病與幽門螺桿菌感染有關,Morris 和Nieholson給胃黏膜正常和空腹胃內容pH<2 的志願者內服幽門螺桿菌,引起了嚴重上腹痛,組織學證實為急性胃炎,胃內容pH 值上升,並用多西環素(強力黴素)治癒。黃自平等給42 例門脈高壓患者內鏡檢查,發現18 例急性胃黏膜糜爛,幽門螺桿菌檢出率72.88%。但幽門螺桿菌感染僅與炎症活動性相關,與急性胃黏膜糜爛之有無並不相關。路潤萍對26 例胃黏膜病變患者做竇部黏膜活檢,3 例發現幽門螺桿菌,明顯低於非肝硬化性消化性潰瘍。然而,Mc Cormick 等仍認為幽門螺桿菌感染與胃黏膜病變有關。因而,還需要繼續研究。我國肝硬化患者多繼發於B型肝炎,Kirk 曾指出胃黏膜急性潰瘍的發生似乎與HBsAg 陽性有關,彭曉君證實,胃黏膜上皮細胞記憶體在B肝病毒,因形成抗原-抗體複合物並沉積在微血管內皮細胞中,引起炎症反應,破壞胃黏膜屏障。
6、應激反應:危重患者包括重症肝臟患者往往發生應激反應,引起胃腸黏膜血流減少,缺血缺氧及其繼發的一系列病理生理變化,造成黏膜完整性破壞,引起急性胃腸黏膜病變,原有消化性潰瘍者迅速惡化。肝硬化門脈高壓症時,急性胃腸黏膜病變的發生率高,應激反應起一定的致病作用。
綜上所述,門脈高壓性胃腸黏膜病變的發病機制複雜,但主要是由於血流動力學改變,黏膜血流減少,黏膜上皮細胞毀壞增多和修復能力降低,屏障作用受損,易受各種致病因素的攻擊所致。 診斷檢查(查看內容) 診斷:主要依靠胃鏡作出診斷,肝硬化門靜脈高壓患者胃鏡下表現出廣泛黏膜紅斑、馬賽克征,胃黏膜特別是胃底部出現散在紅點或多發的重染紅點及自發性出血,多能確診。胃鏡活檢因取材小且表淺,除有一定程度的充血外,多無明顯異常,無助於PHG 的診斷,亦有報導有50%的內鏡活檢標本病理見有毛細血管擴張。
實驗室檢查:肝硬化患者常有不同程度的貧血,多數為正常細胞性或小細胞性貧血,偶見巨細胞性貧血。晚期可能出現紅細胞生成抑制現象,脾亢時全血細胞減少,並促使出血。出、凝血時間延長,凝血酶原時間延長,特別是阻塞性黃疸時明顯。因而有的患者用維生素K 可糾正。急性出血時白細胞增加,止血後恢復正常。出血明顯而廣泛時,應注意DIC,如血小板計數減少或進行性減少,纖維蛋白原<1~1.25g/L,FDP>600mg/L,3P 試驗陽性和優球蛋白溶解時間縮短者,可確立診斷;如凝血酶原時間延長,優球蛋白溶解時間明顯縮短,而血小板計數正常,3P 試驗陰性者,為原發性纖維蛋白溶解。出血之後可能出現血氨升高,水與電解質紊亂以及腎功能減退。
肝硬化失代償期,膽固醇酯低於正常,清蛋白減少,球蛋白增多,白/球蛋白倒置,轉氨酶輕度升高。部分肝炎後肝硬化病例,還可檢出B肝或C肝病毒血清標誌。合併內毒素血症者鱟試驗陽性。
其他輔助檢查:
門靜脈高壓性胃病2、超聲內鏡:胃壁瀰漫增厚,有明顯小靜脈擴張為其特點。
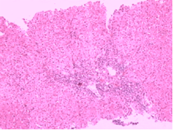
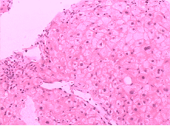
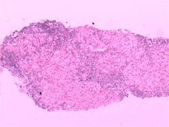
3、組織學特徵:黏膜下靜脈擴張,無或僅有輕微炎性細胞浸潤為其特徵性表現。其他還有黏膜下小動靜脈壁增厚,靜脈動脈化。黏膜橫斷面毛細血管面積較正常增大。胃黏膜毛細血管發育不良,散在裸露於胃腔內,表面無上皮組織覆蓋。胃黏膜小動脈變直,螺鏇度減輕。小血管注射研究發現,黏膜下動靜脈分流廣泛開放,電鏡觀察顯示毛細血管顯著擴張,內皮小孔擴大,血管內皮與基底膜連線不緊密,出現間隔,血管基底膜不連續,毛細血管基膜與上皮細胞基膜之間距離變寬,上皮細胞腫脹變性。紅細胞從破損的上皮處外滲,並出現於上皮間隙之間。因內鏡活檢取材小且表淺,僅有50%的活檢標本病理見有毛細血管擴張。
鑑別診斷
1、胃竇血管擴張症(gastric antral vascular ectasias,GAVE) 在內鏡下表現為胃竇部點狀或條紋狀出血紅斑,因而較易與PHG 混淆。但以下幾點可供鑑別參考:GAVE 不一定伴有門靜脈高壓;在內鏡下表現為胃竇黏膜較密集點狀或縱行紅斑,從胃竇開始向幽門區集中,不同於PHG 主要表現為胃底、胃體的馬賽克征和猩紅熱樣疹;與PHG 相比,GAVE 者有明顯的消化道出血和貧血;GAVE 相關的黏膜異常和消化道出血對內鏡下電凝術或胃竇切除術有較好的療效,而PHG則需要藥物或門靜脈減壓術治療。GAVE 在超聲內鏡下胃竇部胃壁厚度小於1cm,黏膜或黏膜下呈海綿狀,而PHG 的整個胃壁瀰漫增厚,有明顯的小靜脈擴張。
2、其他 必須排除諸如幽門螺桿菌(Hp)相關性胃炎、酒精性胃炎、胃黏膜糜爛、藥物相關性胃炎、膽汁性胃炎、胃血管發育不良等。
治療方案
普萘洛爾(1)普萘洛爾(心得安):普萘洛爾能通過收縮內臟小動脈引起的門靜脈血流減少和門靜脈壓力下降,可獲得控制出血、改善內鏡下胃黏膜病變及防止再出血的效果。動物試驗發現,普萘洛爾能減輕門靜脈高壓時酒精引起的胃黏膜損害。對門靜脈高壓大鼠和肝硬化門靜脈高壓患者的研究均顯示,普萘洛爾是通過降低門靜脈壓力及胃黏膜血流量而起作用的。雙盲對照實驗證實,普萘洛爾為目前預防PHG 再出血的惟一藥物。也有些患者對普萘洛爾反應差或無反應。國外資料推薦的普萘洛爾初始劑量為10~20mg,2~3 次/d,劑量逐漸增加到80~160mg/d,國外劑量一般偏大。國人的適宜劑量還需摸索,應做到個體化,一般用藥後心率較用藥前減少25%為宜。PHG 長期套用普萘洛爾治療者,若中斷藥物常可導致再出血,應引起重視。
(2) 加壓素(血管加壓素):垂體後葉素通過改善門靜脈血流動力學的作用機制,控制出血。但這類藥物在改善門靜脈血流動力學的同時,也減少胃黏膜血流灌注,降低血紅蛋白濃度和氧飽和度,導致胃黏膜缺血缺氧。因此,對於PHG 出血,一般認為以小劑量持續靜脈滴注為妥。近年合成的血管加壓素衍生物特利加壓素(三甘氨酸賴氨酸加壓素)有明顯減少內臟血流量、降低門靜脈壓作用,副作用少,雖使胃黏膜血流量明顯降低,但氧飽和度下降輕微。
(3)生長抑素:生長抑素(施他寧)及其類似物奧曲肽(善寧)降低肝靜脈楔壓和胃黏膜血流量,可用於PHG 出血的治療。生長抑素、奧曲肽作用機制以間接作用為主,它們經拮抗高血糖素等血管擴張物質,改善肝硬化門靜脈高壓時的高動力循環狀態而起作用。
2、介入治療
(1)經頸靜脈肝內門體分流術(TIPS):為治療門靜脈高壓的放射介入手段,適用於藥物及胃鏡不能控制的食管靜脈曲張破裂出血和難治性腹水。由於TIPPS術既能持久地降低門靜脈壓力,又對患者機體影響較小,與傳統的門體分流術相比,TIPS 術指征寬,Child C 級患者也適用,近年來套用TIPS 治療PHG 的報導在增加,但術後肝性腦病發生率高。對藥物療效差,反覆出血的患者,可選擇TIPS。
(2)經脾動脈栓塞術(TSAE):脾動脈栓塞可減少脾靜脈血流量,改善門靜脈血流動力學,使胃黏膜血紅蛋白含量減少,氧飽和度輕度升高,PHG 明顯改善,可用於PHG 出血的止血和預防治療,特別適用於巨脾伴脾功能亢進的PHG 患者。3.外科手術 對於PHG 所致的胃黏膜出血,採用單純病灶縫合、胃切除、迷走神經切斷加幽門成形術等均不能達到止血目的,斷流術可加重PHG,應當列為禁忌。門體分流術能有效降低門靜脈壓力,對於由PHG 引起的上消化道出血有肯定的療效。對於藥物治療無效的患者,可考慮手術治療。門體分流術後胃鏡隨訪,多數患者胃黏膜恢復正常形態。門體分流治療PHG 安全、有效,能迅速、持久地止血,手術併發症主要是肝性腦病。
預防預後
加壓素預防:目前尚無相關資料。
併發症狀
重型PHG 臨床表現主要為上消化道出血。多數為少量嘔血、黑便,可伴有貧血,少數出現上消化道大出血,可致失血性休克,並可誘發肝性腦病、感染、肝腎綜合徵等合併症。
流行病學
門脈高壓症患者常發生胃腸黏膜病變,如充血、水腫、糜爛和潰瘍,總發生率達90%以上,由此引起出血者約59%~61.5%,為門脈高壓症患者發生胃腸出血的主要原因之一。PHG 的發病率占肝硬化患者的50%~80%。
病理學常識
| 伴隨著人們生活水平的日益提高,各種各樣的疾病也以極高的頻率出現在我們的生活中,這些疾病困擾著人們,讓人們備受折磨。現在,病理學常識帶我們去科學的認識了解這些疾病,在科學的指引下,認清這些疾病的真面目,擺脫疾病的困擾,讓每一個人都有一個健康的體魄! |

