疾病概述
四環素是由金黴素催化脫鹵生物合成的抗生素,毒性低,早在1948年即開始用於臨床。1950年,國外有報導四環素族藥物引起牙著色;其後又後續報導四環素沉積於牙、骨骼以至指甲等,而且還能引起釉質發育不全。在這方面,國內直至70年代中期方引起注意。牙齒髮育時,牙釉質和牙本質在一層基底膜的兩側同時開始形成,若此時服用了四環素類藥物,藥物進入體內後就在牙本質和牙釉質中形成黃色層,且牙本質中的沉積要比在釉質中高4倍。又由於黃色層呈波浪形,似帽狀,大致與牙的外形一致.所以整個牙齒均有顏色的改變。最初牙齒呈黃色,在陽光照射下呈現明亮的黃色螢光,以後逐漸由黃色變成棕褐色或深灰色,這種顏色轉變是緩慢進行的,陽光對它有促進作用。此外,四環素類藥物不僅可以影響嬰幼兒時期發育的恆牙牙色,而且孕婦若服用此類藥物,還可以通過胎盤影響胎兒期發育的乳牙牙色 。病因
1.在牙的發育礦化期服用的四環素族藥物,可被結合到牙組織內,使牙著色。四環素分子可與牙組織形成穩固的四環素正磷酸鹽複合物,因而能抑制礦化過程的核化和晶體生長。牙的著色是永久的。2.同一次服用的四環素族藥物劑量,牙本質中的沉積比在釉質中高4倍。
3.用藥時期越在嬰幼兒早期用藥,牙本質的著色越近釉牙本質界,臨床見到的染色程度越明顯。
4.牙著色程度與四環素的種類、劑量和給藥次數有關一般認為,縮水四環素、地美環素、鹽酸四環素引起的著色比土黴素、金黴素明顯;在恆牙,四環素的療程數與著色程度呈正比關係,但是一個短期內的大劑量服用比長期給服相等的總劑量作用更大。
5.在牙著色的同時,還有骨組織的著色,但是後者可隨骨組織的生理代謝活動而使著色逐漸去除。
6.四環素還可在母體通過胎盤引起乳牙著色。
臨床表現
四環素牙2、四環素牙開始多為黃色,在陽光照射下呈明亮的黃色螢光,以後由於陽光作用而逐漸由黃色變成棕褐色或深灰色,所以這種改變以前面的切牙為先。
3、一般牙齒著色的程度與四環素的種類、劑量和給藥的次數有關。例如:金黴素易致牙齒偏灰棕色,四環素和土黴素偏於黃色,去甲金黴素黃色最深。
4、四環素牙的前牙著色比後牙明顯,乳牙著色比恆牙明顯,因為乳牙的釉質較薄、透明,不易遮蓋牙本質中的黃色複合物。
5、四環素牙引起牙齒著色的釉質發育不全在牙齒髮育期較明顯,但6-7歲後再用這類藥物,引起的牙齒變色就不會太明顯。
什麼叫四環素牙
四環素牙是指四環素族藥物引起的著色牙,屬於口腔科疾病。
牙齒髮育時,牙釉質和牙本質在一層基底膜的兩側同時開始形成,若此時服用了四環素類藥物,藥物進入體內後就在牙本質和牙釉質中形成黃色層,且牙本質中的沉積要比在釉質中高4倍。又由於黃色層呈波浪形,似帽狀,大致與牙的外形一致。所以整個牙齒均有顏色的改變。最初牙齒呈黃色,在陽光照射下呈現明亮的黃色螢光,以後逐漸由黃色變成棕褐色或深灰色,這種顏色轉變是緩慢進行的,陽光對它有促進作用。
此外,四環素類藥物不僅可以影響嬰幼兒時期發育的恆牙牙色,而且孕婦若服用此類藥物,還可以通過胎盤影響胎兒期發育的乳牙牙色。
早期症狀
1.病史6-7歲前曾接受過大劑量多次短療程的藥物(四環素類)治療。
2.臨床表現牙齒呈黃色\淺灰色或深灰色,一般前牙比後牙乳牙比恆牙的著色更明顯。重者有牙釉質發育不全。
3.鑑別診斷用紫外光燈照射四環素牙可觀察到激發螢光,可與遺傳性乳光牙本質鑑別。
病理生理
四環素對牙的主要影響是著色,有時也合併釉質發育不全。四環素對牙著色和釉質發育不全的影響程式,下下列因素有關:①四環素族藥物本身的顏色,如:去甲金黴素呈銅黃,土黴素呈檸檬黃色。
②降解四環素麵呈的色澤,因為四環素對光敏感,可以在紫外線或曝光下變色。
③四環素在牙本質內,因結合部位的深溢於言表而使牙本質著色的程度有所不同,著色帶越靠近釉牙本質界,越易著色。
④與釉質本身的結構有關,在嚴重釉質發育不全、釉質完全喪失時,則著色的牙本質明顯外露。早期服用四環素可引起牙著色和釉質發育不全,在6-7歲後再給藥,一般不再引起牙著色。
四環素牙著色機理
四環素類藥物是廣譜抗生素,曾廣泛用於臨床。1950年,人們發現四環素類藥物可使牙著色,並導致釉質發育不全。在牙齒髮育的礦化期,四環素分子可與牙體組織內的鈣結合,形成極穩定的螯合物,沉積於牙體組織中,使牙著色。由於羥基磷灰石晶體的表面積在牙本質中遠大於在釉質,因此著色主要發生在牙本質中。著色牙齒初呈黃色,在陽光照射下呈現黃色螢光,以後顏色逐漸加深。由於陽光的催化作用,切牙唇面首先變暗,而後在較長的時間內保持黃色]。不同種類的四環素類藥物可使牙齒染著不同顏色,例如去甲金黴素使牙齒呈黃色,金黴素使牙呈灰棕色,土黴素使牙齒呈淺黃色。
病理特徵
1、四環素導致牙齒變色的程度與用藥劑量、持續時間及牙齒髮育狀況有關,牙齒形成期時服用藥物越早、用藥劑量越大,用藥時間越長,則牙齒變色越重,伴發牙釉質發育不全也越嚴重,甚至出現牙釉質缺損。
四環素牙2、變色牙齒一般呈黃褐色或灰褐色。輕度的四環素牙為均勻的淡黃色或淡灰色;中度變色者為均勻灰色或淺褐色;重度變色的牙齒表現為不均勻的黃褐色、灰褐色,甚至灰黑色。
3、由於牙本質中的羥磷灰石晶體的總面積比覆蓋在其表面的牙釉質晶體大,因此牙本質吸收四環素的量要多於牙釉質,所以牙齒變色更主要的發生在深層的牙本質中。這也是為什麼從牙齒表面對四環素牙進行脫色治療效果較差的原因。
4、四環素不僅引起牙齒變色,還可伴發不同程度的釉質發育不全即牙釉質鈣化程度降低或缺損,這種牙齒容易發生齲病;此外,還可引起使骨組織生長緩慢。
併發症
四環素牙可引起釉質發育不全釉質發育不全是牙齒結構異常的一種疾病是在釉質基質形成時的障礙造成的釉質發育不全的病因:有營養缺乏因素尤其以維生素CD影響最大;內分泌因素嬰兒和母體的疾病如小兒麻疹猩紅熱等懷孕期母親所患風疹毒血症等也可使在此期間形成的牙釉質不全。治療方案
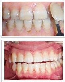
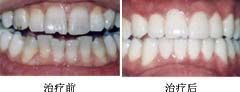
1、可見光複合樹脂修復法可參照氟牙症的處理但只能磨去唇側釉質0.1mm或不磨牙因為四環素著色主要在牙本質若磨去過多釉質層或甚至牙本質外露不僅加重底色且嚴重影響粘接牢固性對於四環素著色嚴重的牙由於遮色效果差用該法也難以令人滿意。2、烤瓷冠修復
3、脫色法可試用於不伴有釉質缺陷者可分外脫色法和內脫色法兩種
(1)外脫色法:清潔牙面用凡士林塗齦緣;將浸過30%過氧化氫液的吸藥紙片貼敷於前牙唇面與齦緣應留有少許距離;紅外線或白熾燈照射10分鐘;一療程共5~8次實驗證明:外脫色法不能使牙本質上已著色的螢光帶減弱但肉眼觀察牙色卻有所改善一般在0.5~1年後牙色又可復原由於高濃度過氧化氫液可使釉質酸蝕脫礦呈白堊色降低了釉質原有的透明度使已著色的牙本質反映度降低;隨著時間的推移釉質再礦化;透明度增加色澤又復原此即所謂色澤反跳的重要原因。
(2)內脫色法:即為脫色目的而行牙髓摘除術按常規行牙髓摘除術後將根管充填物降低至頸下2~3mm脫色時在髓室中封入30%過氧化氫液或30%過氧化氧液與硼酸鈉調成的糊劑每3天換藥1次共約4~6次;當色澤滿意時用複合樹脂充填窩洞此法能有效地去除或改變原來結合在牙本質中的四環素含量螢光水平明顯降低臨床效果非常滿意對因職業關係迫切要求美觀而又不伴有釉質缺陷者可試用此法它的缺點是使活髓牙成為無髓牙近期療效雖可靠其遠期療效尚待觀察。
防治辦法
1.可見光複合樹脂修復法該法將唇側面部分牙
四環素牙2.自然修復美白法:使用牙齒黃金,嚴格來說,它不能算是真正意義上的牙齒美白產品,是天然植物成份提練而成的一種生物產品,無化學添加劑,無異味,無需通過腸胃吸收,無副作用,原理是通過和牙漬、煙漬,牙石等發生自然化學反應讓各種牙漬脫落,達到自然美白的效果,同時有效改善口腔環境的酸鹼平衡,令牙漬牙石也不再容易出現。該產品還能改善四環素損壞的牙本質,從而令牙齒表面重現光澤。 使用方法為 每天4次,每次2片。一個療程過後改為每次1片。咀嚼溶解後直接用牙刷刷牙即可。每天的用量和數次增多,當然能顯著提高效果。白天每次用餐後口含1次,即可清除食物在口腔內殘留的異味和食物殘渣;因為這種自然美白又有保健作用,因此還是比較提倡使用的。
3.烤瓷貼面修復法該法與可見光複合樹脂修復法類似,也是磨除唇側面部分牙體組織後,利用烤瓷貼覆蓋牙體。該法的遮色效果很好,可供患者選擇的顏色範圍也較廣,與牙體之間的黏結強度很高。但缺點是需要均勻磨除較多的牙體組織,且烤瓷貼面若有崩損,一般都需要全部拆除重新製作,其製作費用也相對較高。
4.烤瓷全冠修復法與上述兩種方法比較,此法需要均勻地磨除整個牙體的表層(約1毫米),經過製備的牙體就像正常牙體的微縮版,然後利用烤瓷全冠恢復牙齒的外形,達到改變牙齒顏色的目的。這種方法的優點與烤瓷貼面修復法類似,但其固位效果更佳,且在修復的同時也矯正了某些牙齒本身的畸形,如牙冠過小、牙間隙過大等,當然它也有和烤瓷貼面類似的缺點。
四環素牙小帖士
四環素牙主要是由於兒童期服用四環素後,使得牙本質內著色形成。如果同時伴有釉質發育不全,就形成了重度四環素牙。目前,對於輕度四環素牙(即牙色顯黃褐色),可以用漂白的方法治療。即先到醫院咬一個牙模,做一個軟牙托,回家後每天晚上把漂白材料擠到牙托內,戴上牙托睡覺。第二天取出後保存好。約二周一個療程。對於中度的四環素牙(牙色為灰褐色),可以用複合樹脂貼面,可以遮蓋四環素色。但這種方法有一定局限性,樹脂在數年後可能變色,另外如使用不當,可能引起樹脂脫落。對於重度的四環素牙,如果同時伴有釉質缺損,只能考慮用烤瓷冠的方法修復了,但是這種方法需要處理牙髓(牙神經),同時價格也比較貴,但這種方法修復效果最好。
我們都知道,人的牙齒應該是潔白晶亮的。而有的兒童長了一口黃牙,這是由於嬰幼兒時期或母親妊娠期與授乳期,服用了過多的四環素類的藥而引起的。四環素類藥物包括四環素、土黴素、甲稀土黴素、金黴素、去甲金黴素和強力黴素等。這類藥物是一種能夠廣泛地抑制致病菌的抗生素,目前醫療上常常用來控制炎症,效果也比較好。四環素類藥服後,經胃腸道吸收,在血液中保持一定的有效濃度,它對人體鈣離子有親和力,與鈣結合在一起,生成一種四環素鈣的黃色複合物。如果牙冠正在發育鈣化階段,這種複合物就沉積在牙冠上,使長出的牙齒髮育不全並出現黃染現象。一般認為牙齒的著色,金黴素引起者呈灰棕色,四環素和土黴素偏於黃色,去甲金黴素黃色最深。
四環素牙主要影響美觀,目前沒有很好的辦法治療。可試用藥物脫色,即用高濃度的雙氧水配合理療加熱的方法。隔日治療一次,7次為一療程,輕者一個療程即可使牙齒接近正常顏色,重者1~2個療程,也能達到很好的效果。對顏色較深,合併嚴重牙釉質缺損者,用樹脂覆蓋法較好,缺點是容易脫落。也可用芽冠修復或釉質貼上法做貼面。
預防:
四環素牙的預防則很簡單,只要妊娠或哺乳期的婦女、8歲以下的兒童不使用四環素類藥物就可以了。四環素類藥物對人體的鈣離子有親和作用,與鈣結合生成一種黃色的穩定的四環素鈣複合物。如果在牙冠發育鈣化階段服用這類藥物,這種複合物就會沉積在牙本質中,使長出的牙齒髮黃,並出現黃染現象,還會影響牙齒的鈣化,導致牙釉質發育不全。孕婦服用四環素還可通過胎盤引起乳牙著色。此外,四環素對光非常敏感,日光和紫外線都可使其變色,所以隨著時間的推移,牙齒變色會逐漸加深。從胚胎4個月到兒童7~8個歲換牙期前,禁用四環素類藥。1982年衛生部發出《關於淘汰127種藥品的補充通知》中規定,兒童換牙期前禁用四環素、土黴素製劑。但換牙後不在此限。妊娠期和授乳期的婦女,也不宜使用。
危害
四環素牙對兒童乳牙和恆牙的損害程度,取決於服用四環素的年齡。妊娠4個月以上的婦女服用這類藥物,可使幼兒乳牙變為帶螢光的黃褐色或黃灰色、牙釉質發育不良、牙齒畸形且不光滑。幼兒即使短期服用四環素類藥物,也會使乳牙和恆牙變色、發育不良。恆牙前牙的著色與母親妊娠期和幼兒5歲內用藥有關。染色的程度可由淺黃到深黃或暗灰色。一般用藥劑量越大,染色越深,而且牙釉質發育不良和牙畸形情況也越嚴重。
解析人體牙齒髮黃的8大原因
1.牙刷太硬就清潔效果而言,硬毛牙刷比軟毛牙刷好得多。但硬毛牙刷對牙齒的磨損作用較大,經常使用會損傷牙齒表面琺瑯質,使色素沉著。常用硬毛牙刷的人,即使牙齒堅硬,顏色也不會太白!因此建議你準備軟硬兩把牙刷,每隔3天用次硬毛牙刷,對牙垢進行徹底清潔。但千萬別在月經期使用硬毛牙刷!因為那時身體代謝水平不穩定,琺瑯質更易受損!
2.·喝紅茶或黑茶茶葉中有大量多酚類氧化物,長期飲茶,會讓牙齒變黃。研究發現,紅茶中的茶多酚氧化物最高,黑茶其次,普洱茶、大麥茶中多酚氧化物含量最低,你可以放心飲用!另外,煮茶葉時間越長,氧化物的作用性就越低,為了保證自己有一口白牙,你可以適當延長煮茶時間!
3.缺鈣牙齒也是骨骼組成的重要部分!當體內鈣流失時,牙齒的堅硬度大大降低,對食物的吸收力更強,從而造成色素沉著,牙齒變黃。因此建議你定時服用鈣片和維生素D,幫助體內合成優質鈣。另外別忘了,多去郊外曬太陽也能使牙齒吸收更多鈣元素!
4.吃咖喱在美國牙醫協會最新公布的“牙齒染色排行榜”上,咖喱的主要成分薑黃超過了尼古丁,排行第一,對牙齒顏色影響最大。研究指出,薑黃對牙齒的染色作用幾乎不可逆,是名副其實的“白牙剋星”。如果你真喜歡那種辣辣的感覺,建議你選擇染色作用力最弱的綠咖喱,避免作用力較強的紅咖喱和黃咖喱!
5.藥物牙膏俗話說“是藥三分毒”,藥物牙膏雖能控制致病菌的產生,但也會破壞口腔中的“生態平衡”,引發新的感染。更重要的是,藥物牙膏中的生物鹼會損傷牙齒表面釉質,使牙齒失去光澤!
6.喝礦泉水氟一方面可增加牙齒釉質,使其更堅固,另一方面還會使牙齒漸漸變黃。礦泉水中含有大量氟元素,喝得太多,會讓你的一口白牙失色!美國口腔健康專家的建議是:每人每天最少喝1000毫升白水,其中礦泉水的攝入量不要超過300毫升,剩下700毫升,可以喝純淨水或燒開的自來水。
7.喝可樂可樂的成分是糖漿和二氧化碳氣,喝的過多,會使糖分沉著於牙表面,使其顏色變黑。有研究發現,如果每天喝1升可樂,兩年後牙齒表面的琺瑯質會被酸腐蝕掉一半。在碳酸飲料中,深色的可樂對牙齒損傷最大,橙色汽水其次,一般來說,顏色越淺的飲料越安全,建議你選擇透明色的雪碧!
8.洗牙過勤WHO的牙科專家認為,只要平時注意牙齒清潔,一般人每年洗一次牙就夠了,如果你經常吸菸,那每年需要洗牙2-3次。專家指出,洗牙過勤會使牙縫增大,牙部過敏,食物殘渣和色澤容易附著於牙面。
四環素牙齒是如何美白的
1.可見光複合樹脂修復法該
法將唇側面部分牙釉質磨除後,用可見光複合樹脂覆蓋牙表面,以遮蓋變色的牙齒。該此的優點在於只需要磨除少量的牙體組織就可作,對牙齒損害較小,並且能在短時間內達到改變牙色的效果。此外,使用一段時間後如果覆蓋層有部分脫落或顏色改變,還可再次進行修復,費用也相對較低。缺點就是樹脂可供選擇的顏色較少,且遮色效果不能盡如人意,與牙齒的黏結強度亦有限,故用此法修復的前牙,通常不能承受較大或持久的咬合力,因此啃咬骨頭的動作應儘量避免。
2.自然美白療法
使用牙齒黃金。嚴格來說,它不能算是真正意義上的牙齒美白產品,而是天然植物成份提練而成的一種新產品,無化學添加劑,無異味,無需通過腸胃吸收,無副作用,原理是通過和牙漬、煙漬,牙石等發生自然化學反應讓各種牙漬脫落,達到自然美白的效果,同時有效改善口腔環境的酸鹼平衡,令牙漬牙石也不再容易出現。該產品還能通過阻止“牙齒礦化”來改善被四環素損壞的牙本質,從而令牙齒表面重現光澤。因為這種自然美白又有保健作用,因此還是值得推薦的。
3.烤瓷貼面修復法
該法與可見光複合樹脂修復法類似,也是磨除唇側面部分牙體組織後,利用烤瓷貼覆蓋牙體。該法的優點是遮色效果很好,可供患者選擇的顏色範圍也較廣,與牙體之間的黏結強度很高。缺點是需要均勻磨除較多的牙體組織,且烤瓷貼面若有崩損,一般都需要全部拆除重新製作,其製作費用也相對較高。
4.牙齒外脫色法
即人們常說的牙齒漂白。其主要原理是利用一些藥物降低牙釉質的鈣化程度,降低其透明度,使牙體呈白變色以達到遮色的效果。優點是對牙齒沒有永久性的創傷,患者在一定程度上可以自行控制牙色的改變。缺點是脫色法對患者牙齒的要求比較高,牙齒排列需相對整齊,牙體表面釉質發育需完整,且整個治療周期較長,隨時間的推移,釉質也可能發生再礦化,透明度增高,牙齒色澤又會復原,故需要定期鞏固治療。
5.內脫色法:
即為脫色目的而行牙髓摘除術按常規行牙髓摘除術後,將根管充填物降低至頸下2~3mm,脫色時在髓室中封入30%過氧化氫液或30%過氧化氧液與硼酸鈉調成的糊劑每3天換藥1次,共約4~6次;當色澤滿意時,用複合樹脂充填窩洞此法能有效地去除或改變原來結合在牙本質中的四環素含量,螢光水平明顯降低,臨床效果非常滿意對因職業關係,迫切要求美觀而又不伴有釉質缺陷者,可試用此法它的缺點是使活髓牙成為無髓牙。近期療效雖可靠,其遠期療效尚待觀察。
6.冷光美白法:
冷光牙齒美白技術號稱四環素牙的剋星,該技術是將波長界於480~520nm之間的高強度藍光,經由光纖維傳導,再經過特殊光學處理,隔除一切有害的紫外線與紅外線,將過氧化氫和直徑為20nm的二氧化矽等為主體的美白劑,快速產生氧化還原作用。祛除上、下共16顆牙齒的表面及深層所附著的色素,從而達到牙齒美白的效果。
四環素牙的預防
為防止四環素牙的發生,妊娠和授乳的婦女,以至8歲以下的小兒不宜使用四環素類藥物,控制飲用水中含氟量。飲食保健
根據不同的症狀,有不同情況的飲食要求,具體詢問醫生,針對具體的病症制定不同的飲食標準。四環素牙飲食注意以下幾點:
1、喝紅茶或黑茶茶葉中有大量多酚類氧化物,長期飲茶,會讓牙齒變黃。研究發現,紅茶中的茶多酚氧化物最高,黑茶其次,普洱茶、大麥茶中多酚氧化物含量最低,你可以放心飲用另外,煮茶葉時間越長,氧化物的作用性就越低,為了保證自己有一口白牙,你可以適當延長煮茶時間。2、吃咖喱在美國牙醫協會最新公布的“牙齒染色排行榜”上,咖喱的主要成分薑黃超過了尼古丁,排行第一,對牙齒顏色影響最大。研究指出,薑黃對牙齒的染色作用幾乎不可逆,是名副其實的“白牙剋星”。如果你真喜歡那種辣辣的感覺,建議你選擇染色作用力最弱的綠咖喱,避免作用力較強的紅咖喱和黃咖喱。
3、藥物牙膏俗話說“是藥三分毒”,藥物牙膏雖能控制致病菌的產生,但也會破壞口腔中的“生態平衡”,引發新的感染。更重要的是,藥物牙膏中的生物鹼會損傷牙齒表面釉質,使牙齒失去光澤。
4、喝礦泉水氟一方面可增加牙齒釉質,使其更堅固,另一方面還會使牙齒漸漸變黃。礦泉水中含有大量氟元素,喝得太多,會讓你的一口白牙失色!美國口腔健康專家的建議是:每人每天最少喝1000毫升白水,其中礦泉水的攝入量不要超過300毫升,剩下700毫升,可以喝純淨水或燒開的自來水。
5、喝可樂可樂的成分是糖漿和二氧化碳氣,喝的過多,會使糖分沉著於牙表面,使其顏色變黑。有研究發現,如果每天喝1升可樂,兩年後牙齒表面的琺瑯質會被酸腐蝕掉一半。在碳酸飲料中,深色的可樂對牙齒損傷最大,橙色汽水其次,一般來說,顏色越淺的飲料越安全,建議你選擇透明色的雪碧。
四環素牙的3大美白方法介紹
1、漂白治療這適用於牙著色較輕,不伴有釉質發育不全者。治療方法可分為內漂白與外漂白。內漂白是將漂白劑置於牙齒內部,臨床效果較好,缺點在於要將活髓牙變為無髓牙。外漂白是將漂白劑置於牙面,療效不如內漂白,但無需損傷牙體。
2、貼面治療
可適用於釉質發育不全者,但對於四環素著色嚴重的牙齒,效果不佳。該治療需磨除少量牙釉質,在牙表面貼樹脂、烤瓷等材料,製作要求較高,形態、色澤較佳,價格適中。但治療後,貼面容易脫落,牙齒不能咬硬物。
3、牙冠修復
適用於所有四環素牙,遮色效果佳。但需磨除較多的牙體組織,可能引起牙髓炎症。有些牙醫認為要避免牙髓炎,可能在冠修復前先將活髓牙變為無髓牙。冠修複目前一般採用的是烤瓷牙冠,其修復後色澤逼真,但價格較高,工藝複雜。
病理學常識
| 伴隨著人們生活水平的日益提高,各種各樣的疾病也以極高的頻率出現在我們的生活中,這些疾病困擾著人們,讓人們備受折磨。現在,病理學常識帶我們去科學的認識了解這些疾病,在科學的指引下,認清這些疾病的真面目,擺脫疾病的困擾,讓每一個人都有一個健康的體魄! |

