概述
慢性炎症致炎因子持續存在並且損傷組織是發生慢性炎症的根本原因。各種器官的慢性炎症除從急性炎症轉化而來外,還可以其他方式發生。急性炎症反覆發作,而發作間期無明顯症狀也是慢性炎症,如慢性膽囊炎、慢性腎盂腎炎等。慢性炎症還可潛隱緩慢地逐漸發生,臨床上開始並無急性炎症表現,常見於細胞內感染(如結核桿菌、病毒感染),這些病原體的毒力不強,但可引起免疫反應;或長期受不能降解卻有潛在毒性物質的刺激(如矽肺);或持續存在的、對抗自身組織的免疫反應即自身免疫性疾病(如類關節炎">風濕性關節炎)。
慢性炎症的病程較長,數月至數年以上。可由急性炎症遷延而來,或由於致炎因子的刺激較輕並持續時間較長,一開始即呈慢性經過。如結核病或自身免疫性疾病等。慢性炎症時,局部病變多以增生改變為主,變質和滲出較輕;炎細胞浸潤多以淋巴細胞、巨噬細胞和漿細胞為主,。根據形態學特點,慢性炎症可分為非特異性慢性炎和肉芽腫性炎兩大類。
病因
慢性炎症1.物理性因子高熱、低溫、放射線及紫外線等。
2.化學性因子包括外源性和內源性化學物質。外源性化學物質有強酸、強鹼等腐蝕性物質及松節油、芥子氣等。內源性化學毒物如壞死組織的分解產物及在某些病理條件下堆積於體內的代謝產物如尿素等。
3.機械性因子如切割、撞擊、擠壓等。
4.生物性因子細菌、病毒、立克次體、支原體、真菌、螺鏇體和寄生蟲等為炎症最常見的原因。它們通過在體內繁殖,產生、釋放毒素直接導致細胞和組織損傷,而且還可通過其抗原性誘發免疫反應導致炎症。
5.免疫反應各型變態反應均能造成組織和細胞損傷而導致炎症:Ⅰ型變態反應如過敏性鼻炎、蕁麻疹;Ⅱ型變態反應如抗基底膜性腎小球腎炎;Ⅲ型變態反在如免疫複合物性腎小球腎炎和Ⅳ型變態反應如結核、傷寒等等;此外還有某些自身免疫性疾病如淋巴性甲狀腺炎、潰瘍性結腸炎等。
損傷因子作用於機體是否引起炎症,以及炎症反應的強弱不僅與損傷因子的性質和損傷的強度有關,並且還與機體對損傷因子的敏感性有關,如幼兒和老年人免疫功能低下,易患肺炎,病情也較嚴重;接種過預防疫苗的兒童,對該病原體常表現不感受性等。因此,炎症反應的發生和發展取決於損傷因子和機體反應性兩方面的綜合作用。
病理變化
慢性炎症1.變質炎症局部組織發生的變性和壞死稱為變質。變質既可發生於實質細胞,也可見於間質細胞。實質細胞常出現的變質包括細胞水腫、脂肪變性、凝固性或液化性壞死等。間質結締組織的變質可表現為粘液變性,纖維素樣變性或壞死等。致炎因子的直接損傷作用、炎症過程中發生的血液循環障礙和炎症反應產物的共同作用,造成局部組織的變質。因此變質的輕重是由致炎因子和機體反應兩個方面決定的。
2.滲出炎症局部組織血管內的液體、蛋白質和血細胞通過血管壁進入間質、休腔、體表或黏膜表面的過程稱為滲出。以血管反應為中心的滲出性病變是炎症的重要標誌,在局部具有重要的防禦作用。炎症滲出是由於局部血管通透性升高和白細胞為主動游出所致。在炎症滲出液(exudate)內蛋白質含量較高,並含有較多的細胞成分和其碎屑。因而由炎症所引起的漿膜腔滲出液,比重高於1.020,外觀混蝕,細胞含量多,這些有別於單純因靜脈回流受阻所形成的漏出液(transudate)。滲出液和漏出液均可在組織間質聚積,造成水腫(edema),或在漿膜腔造成積液(hydrops)。
3.增生在致炎因子、組織崩解產物或某些理化因子刺激下,炎症局部的巨噬細胞、內皮細胞和纖維母細胞可增生。在某些情況下局部的上皮細胞或實質細胞也可增生。正是這種增生反應使損傷組織得以修復。許多生長因子參與刺激間質和實質細胞的增生,其機制與再生和修復過程相似。
4.炎症灶內主要是巨噬細胞、淋巴細胞和漿細胞浸潤。單核吞噬細胞的浸潤對慢性炎症十分重要。單核細胞從血管游出後轉化為巨噬細胞。巨噬細胞還可被激活。在炎症灶局部巨噬細胞的積聚有三方面的原因:①由於從炎症灶不斷產生吸引單核細胞的趨化因子,如C5a、纖維蛋白多肽、陽離子蛋白質及膠原和纖維粘連蛋白的分解產物等。因此,從血液循環中滲出的單核細胞源源不斷來到局部,這是局部巨噬細胞的主要來源。②游出的巨噬細胞在局部通過有絲分裂而增殖,但巨噬細胞局部增殖的起始動因還不清楚。③炎症灶內的巨噬細胞壽命長,並能長期停留局部而不遊走。單核細胞在細胞因子(如γ干擾素)、細菌內毒素和接觸包被有纖維粘連蛋白界面等因子的作用下,可被激活。激活的單核細胞分泌多種生物活性產物,是造成慢性炎症中的組織破壞和纖維化的重要介質。
慢性炎症5.纖維母細胞增生,有時小血管也增生。慢性炎症出現這些變化的機制尚在研究中,但有些介質可能起一定作用。體外實驗證明,血小板衍生的生長因子(PDGF)和纖維粘連蛋白(FN)分解產物對纖維母細胞有趨化作用。此外,血小板衍生的生長因子、巨噬細胞和淋巴細胞的衍生因子都能在體外刺激纖維母細胞增生並產生大量膠原。因此,慢性炎症反應常伴有明顯的瘢痕形成,造成腸道等的狹窄和漿膜面粘連。巨噬細胞衍生的可溶性因子可在活體內刺激血管新生。
6.局部組織的某些特殊成分如炎症灶的被覆上皮、腺上皮及其他實質細胞也可發生明顯增生。
非特異性慢性炎
非特異性慢性炎,病變主要表現為纖維母細胞、血管內皮細胞和組織細胞增生,伴有淋巴細胞、漿細胞和巨噬細胞等慢性炎細胞浸潤,同時局部的被覆上皮、腺上皮和實質細胞也可增生。慢性炎症還可伴有肉芽組織的形成,這類炎症常見於有較大的組織缺損,此時肉芽組織在慢性膿腫、瘺管和慢性黏膜潰瘍的吸收和分解上起著重要作用。
慢性肉芽腫性炎症
慢性炎症1.慢性肉芽腫性炎症的常見病因
(1)某些細菌感染,其經典的例子為結核病、麻風和梅素。
(3)異物,如手術縫線、石棉和滑石粉等。
(4)原因不明,如肉樣瘤病(sarcoidosis)。
2.形成肉芽腫的條件
(1)病原體(如結核桿菌)或異物(礦物油)不能被消化,刺激長期存在,造成慢性炎症。
(2)實驗證明,刺激物所引起的細胞介導免疫反應在誘發慢性肉芽腫炎症中具有重要作用。體外實驗證實,T細胞產物—淋巴因子可增強單核細胞向多核巨細胞轉化。
慢性炎症(1)乾酪樣壞死:典型結核結節的中央為乾酪樣壞死,內含壞死的組織細胞和白細胞,還有結核桿菌。結核結節中心的壞死可能是細胞介導免疫反應的結果。
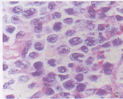
(2)類上皮細胞(epithelioidcell):乾酪樣壞死灶周圍可見大量胞體較大、境界不清的細胞。這些細胞的胞核呈圓形或卵圓形,染色質少,甚至可呈空泡狀,核內可有1~2個核仁,胞漿豐富,染成淺紅色。根據其形態與上皮細胞相似,故稱類上皮細胞。
現在認為,在受一些不能被消化的細菌或其他抗原物質的長期刺激下,巨噬細胞就可轉化為類上皮細胞,並發生劇烈的變化:①核內常染色質增多,說明DNA激活;②核仁增大靠近核膜,說明rRNA合成加強;③胞漿內富於內質網、核蛋白體及高爾基器和各種空泡,說明細胞器和酶的合成增強、分泌活躍;④線粒體、滑面內質網和溶酶體成分明顯增多,因而胞漿成分擴展,細胞呈類似上皮細胞樣緊密排列;⑤細胞膜Fc受體和C3b受體大大減少,吞噬功能隨之明顯降低。看來,類上皮細胞具有向細胞外分泌的功能,而不是吞噬作用。
經轉化而形成的類上皮細胞的功能還不明確。但是他們可能通過分泌一些化學物質而殺傷細胞周圍的細菌;同時在宿主健康組織與細菌之間組成一條隔離帶。巨噬細胞在吞噬異物的過程中不會轉化為類上皮細胞,若進入炎症灶的巨噬細胞過多,則有可能轉化為類上皮細胞。
(3)多核巨細胞(multinucleatedgiantcell);在類上皮細胞之間散在多核巨細胞,結核結節之多核巨細胞又稱為Langhans巨細胞。這種巨細胞體積很大,直徑達40~50μm。胞核形態與類上皮細胞相似,數目可達幾十個,甚至百餘個,排列在細胞周邊部呈馬蹄形或環形,胞漿豐富。Langhans巨細胞系由類上皮細胞融合而成;類上皮細胞首先伸出胞漿突起,然後胞體相互靠近,最後經胞漿突起的融合使類上皮細胞融合在一起形成多核巨細胞。但融合的機制尚有待闌明。
慢性炎症多核巨細胞移動的速度十分緩慢,約每分鐘0.04~1μm,而且隨細胞核數目增多,移動速度更慢。巨噬細胞融合成多核巨細胞後,其胞膜的Fc和C3b受體數目也大大減少。因此,多核巨細胞的功能與類上皮細胞相似,可能分泌一些殺傷生物性病原體的物質並參與組成隔離宿主組織與細菌的屏障結構。
類上皮細胞和多核巨細胞均來源於巨噬細胞。若慢性肉芽腫性炎症的發生與細胞介導免疫有關,則巨噬細胞在局部集中還與激活的T細胞分泌的淋巴因子—巨噬細胞趨化因子(MCF)及巨噬細胞遊走抑制因子(MIF)的作用有關。而且這些巨噬細胞還受巨噬細胞激活因子(MAF)的作用,提高其吞噬活性。
(4)淋巴細胞:在類上皮細胞周圍可見大量淋巴細胞浸潤。
(5)纖維母細胞:結核結節周邊有纖維母細胞及膠原纖維分布。
慢性炎症除一般性和特殊性表現形式外,有時還可形成炎性息肉和炎性假瘤。炎性息肉(inflammatorypolyp)是在致炎因子的長期刺激下,局部黏膜上皮和腺體及肉芽組織增生而形成的突出於黏膜表面的肉芽腫塊,常見於鼻黏膜和宮頸。炎性假瘤(inflammatorypseudotumor)是由組織的炎性增生形成的一個境界清楚的腫瘤樣團塊,常發生於眼眶和肺。
病理學常識
| 伴隨著人們生活水平的日益提高,各種各樣的疾病也以極高的頻率出現在我們的生活中,這些疾病困擾著人們,讓人們備受折磨。現在,病理學常識帶我們去科學的認識了解這些疾病,在科學的指引下,認清這些疾病的真面目,擺脫疾病的困擾,讓每一個人都有一個健康的體魄! |

