定義
西醫學名: 慢性膽囊炎英文名稱: chroniccholecystitis
所屬科室: 內科-消化內科
發病部位: 膽囊
主要症狀: 消化不良
主要病因: 感染
多發群體: 中老年人
傳染性: 無傳染性
是否進入醫保: 是
定義:慢性膽囊炎系指膽囊慢性炎症性病變,大多為慢性結石性膽囊炎,占85%~95%,少數為非結石性膽囊炎,如傷寒帶菌者。本病可由急性膽囊炎反覆發作遷延而來,也可慢性起病。臨床表現無特異性,常見的是右上腹部或心窩部隱痛,食後飽脹不適,噯氣,進食油膩食物後可有噁心,偶有嘔吐。在老年人,可無臨床症狀,稱無症狀性膽囊炎。
病理概述
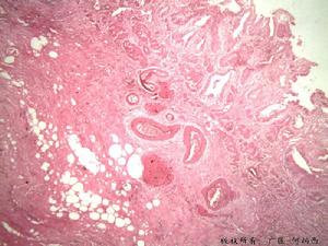
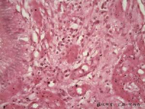
慢性膽囊炎--病理切片現代醫學認為本病多發生於膽石症的基礎上,且常為急性膽囊炎的後遺症。其病因主要是細菌感染和膽固醇代謝失常。
慢性膽囊炎的診斷依據為膽石症病史和膽絞痛及消化不良的症狀。十二指腸引流及膽囊造影對診斷有幫助。
現代醫學對本病主要採用低脂飲食,口服利膽藥物等方法治療;急性發作時,套用抗菌藥物,對反覆發作的膽絞痛,一般行膽囊切除術,療效較好。慢性膽囊炎在中醫臨床中多屬“脅痛”範疇。認為肝氣鬱結,失於疏泄,膽失通降,不通則痛,肝胃不和,則噯氣、納呆,脘腹脹悶。若濕熱蘊結脾胃,熏蒸肝脾,以致肝脾疏泄功能失常,而呈中脘或右脅隱痛、納呆、口苦等。
臨床表現
慢性膽囊炎症狀、體徵不典型。多數表現為膽源性消化不良,厭油膩食物、上腹部悶脹、噯氣、胃部灼熱等,與潰瘍病或慢性闌尾炎近似,膽囊區可有輕度壓痛或叩擊痛;若膽囊積水,常能捫及圓形、光滑的囊性腫塊。病理病因
慢性膽囊炎慢性膽囊炎在我國多見,女性發病率高,女:男為2-3:1。其病因繁多複雜,包括年齡、性別、種族、飲食習慣、肥胖、遺傳、膽道感染、膽汁滯留、等諸多因素,多為綜合性因素作用的結果。隨著我國人民生活水平的提高和衛生狀
況的改善,國民平均壽命延長近十年來,膽囊結石的發病率逐日增高,尤其大城市增高更明顯,據統計占全部膽石病的70%左右。
1.感染性膽囊炎。是最常見的一種。膽囊病變較輕者,僅有膽囊壁增厚,重者可以顯著肥厚,萎縮,囊腔縮小以至功能喪失。
2.梗阻性膽囊炎。當膽囊管阻塞(結石等)時,膽汁瀦留,膽色素被吸收,引起膽汁成份改變,刺激膽囊發生炎症。
3.代謝性膽囊炎。由於膽固醇的代謝發生紊亂,而致膽固醇沉積於膽囊的內壁上,引起慢性炎症。
發病機制
1.慢性結石性膽囊炎慢性膽囊炎由於結締組織增生和組織水腫使膽囊壁增厚,全層間有淋巴細胞浸潤,膽囊內含黏液性物,可見沉澱物、膽沙或結石;重者肌層為纖維組織所代替,膽囊壁瘢痕化,膽囊管被纖維性腫塊梗阻。其膽汁的細菌培養往往陰性。2.慢性非結石性膽囊炎

慢性膽囊炎
(1)代謝紊亂:由於膽固醇代謝的紊亂,致膽固醇酯沉積於膽囊黏膜而引起輕度炎症,其中約有半數可有膽固醇結石之形成。膽囊外觀多無明顯異常,囊壁可稍增厚,色澤稍顯蒼白;膽囊黏膜明顯充血肥厚,黏膜上有無數黃白色的膽固醇酯沉澱,形如草莓,故本病亦稱“草莓膽囊”。
(2)感染:細菌可來自腸道和膽道,上行至膽囊;在敗血症時,細菌可經血液或淋巴途逕到達膽囊。約1/3患者的膽汁培養有細菌生長。慢性膽囊炎亦可由於病毒感染引起,約15%的患者既往有肝炎史。真菌、寄生蟲感染亦可導致慢性膽囊炎。
(3)運動功能障礙:膽道運動和(或)十二指腸乳頭括約肌功能障礙可逐漸演變為器質性病變。又如迷走神經切斷術後,膽囊張力和動力變異,排空時間延長,膽囊增大,漸漸出現膽囊壁纖維化、增厚伴慢性炎細胞浸潤。
(4)血管因素:由於膽囊壁血管病變可導致膽囊黏膜損害,膽囊濃縮功能減低或喪失,終致膽囊壁纖維化。
3.伴有結石的慢性萎縮性膽囊炎 膽囊可正常大小或較小,甚至如拇指端大。膽囊壁增厚呈灰白色,囊腔結石可為一枚或多枚,甚或充滿整個膽囊,黏膜呈細顆粒狀或仍較光滑但有膽石印痕。膽囊底或體部可見憩室內含膽汁。鏡下見膽囊黏膜扁平、萎縮且顯著纖維化,肌層肥厚;炎細胞數少,只有少許淋巴漿細胞及巨噬細胞,也可見肉芽腫性異物巨細胞反應,巨細胞內有膽固醇結晶,膽囊壁血管可有閉塞性末梢動脈炎。瓷瓶樣膽囊的膽囊癌發生率較高,有其病理意義。
4.黃色肉芽腫樣膽囊炎 病初時,由於急性膽囊炎和梗阻,膽汁通過潰瘍面進入間質或破裂Aschoff-Rokitanky(阿孝夫-羅基坦斯基)竇,吞噬集中在炎症的部位,消化脂質形成大、圓、蒼白的黃色瘤細胞,導致局限性或瀰漫性破壞性炎症。肉眼見膽囊壁有黃色腫塊,膽囊壁增厚,並與鄰近器官粘連;膽囊可有穿孔,與胃腸道形成瘺,外觀難與膽囊癌區分。
病理症狀
B型超聲肝膽掃描患了慢性膽囊炎後,病人主要會有以下兩組症狀:
① 結石一時性阻塞膽囊管,引起膽絞痛的發作,疼痛多位於上腹部或右上腹,持續數分鐘至數小時不等,疼痛可牽涉到背部或右肩胛骨處,可伴噁心和嘔吐。
② 常有腹脹、上腹或右上腹不適、胃灼熱、噯氣、吞酸等一系列消化不良的症狀,進食油煎或多脂的食物往往會使這些症狀加劇。因此,有的病人可以並無膽絞痛的發作,只是感到上腹不適、噯氣、吞酸等一些消化不良的症狀,往往誤認為自己是患了“胃病”。這些病人“症”雖在“胃”,但病“根”卻在“膽”,雖長期按“胃病”進行“對症治療”,但因未消除病“根”,故病情經久不愈。
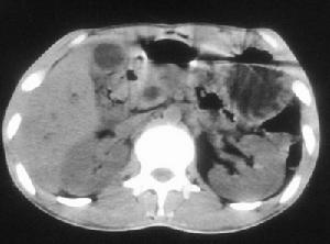
膽囊造影和B型超聲肝膽掃描是診斷慢性膽囊炎很有價值的檢查方法。膽囊造影可以發現膽結石、膽囊縮小變形,以及濃縮和收縮不良等情況,有時膽囊不顯影。B超檢查除了可探查出膽結石和膽囊外型改變以外,還能看到膽囊壁有變毛糙、增厚等徵象。有上述症狀的病人,應及時就醫,通過以上檢查,一般可以明確慢性膽囊炎的診斷。
少見的併發症
膽囊積膿,一種膽囊內充滿膿液的炎症,嚴重者甚至可以穿孔及溢漏。如果結石嵌頓在膽囊管,造成膽囊因粘液積聚而擴張,則形成粘液囊腫。有時在膽囊與腸管間可形成一條異常通道,即痿管。膽囊炎反覆發作可使整個膽囊皺縮或形成瘢痕。
併發症
1、膽囊積水:慢性膽囊炎時,膽囊黏膜上皮分泌黏液過多。當膽石阻塞於膽囊管時不斷增加的黏液使膽囊緩慢地無痛地逐漸擴張(如迅速地擴張會引起疼痛)。若無急性炎症發生,則膽汁為無菌的。此時右上腹可捫及一無痛性腫大的膽囊。膽囊積水應與因膽總管緩慢阻塞引起膽囊擴張相鑑別。後者的擴張不是因為黏液分泌引起,並伴有黃疸,而膽囊積水不伴有黃疸。2、白膽汁:當膽囊積水持續數周,膽色素被分解、吸收後,膽汁變成無色透明。
3、石灰乳膽汁:糊狀或乳狀,膠狀石灰石沉積於膽囊內稱之為石灰乳膽汁。1.3%~3.4%的膽石症手術患者可見有石灰乳膽汁。男女之比為1∶2.7。1911年churchman報導首例石灰乳膽汁以來,目前對此病已有深入了解。
4、瓷器樣膽囊:所謂瓷器樣膽囊是膽囊壁鈣化,似瓷器樣硬而易碎。瓷器樣膽囊見於0.06%~0.8%的膽囊摘除術。男女之比為1∶3。平均發病年齡為54歲。癌變率大於25%。
診斷鑑別
病理切片反覆發作性上腹部疼痛,多發生在右上腹或中上腹部,並向右肩胛下區放射。腹痛常發生於餐後,但亦可於飲食無關,疼痛常呈持續性。可伴有反射性噁心,少有嘔吐及發熱、黃疸等症狀。可伴有反酸、噯氣等消化不良症狀,並於進油膩食物後加重。在急性發作或結石嵌頓在膽管時可有急性膽囊炎或膽絞痛的典型症狀。問診時應尋問既往有無反覆發作膽絞痛的病史、起病急緩、疼痛的部位、性質特點、放射方向、時間及伴隨症狀。
二、體檢發現
右上腹部壓痛,急性發作時同急性膽囊炎的表現。部分病人可無陽性體徵。
三、實驗室檢查
急性發作時與急性膽囊炎的實驗室檢查相同,無急性發作時可無異常改變。B超檢查可探知膽囊的大小、壁厚薄、有無結石等。口服膽囊造影檢查可觀察膽囊收縮功能是否存在、膽囊內有無結石等。
四、應於消化性潰瘍、慢性胃炎、慢性肝炎、泌尿系感染等疾病相鑑別。
治療總則
1、如慢性膽囊炎伴有膽石者,症狀反覆不緩解,無其它嚴重疾病,可開住院證收住院行外科手術治療。
2、如病人不同意手術或症狀較輕無反覆發作者,可內科保守治療。囑病人平時低脂飲食、可口服消炎利膽片6片每日3次或33-50%硫酸鎂10ml每日3次,另外可服用蒲草清膽方等中藥治療。
3、如病人有急性發作,按急性膽囊炎處理。
治療方法
內科治療
採用內科治療慢性膽囊炎的方法:內科治療主要是消炎利膽的方法,如消炎利膽片、蒲草清膽方、膽通、去氫膽酸以及熊脫氧膽酸等,有些病人有效,但難根治。外科治療
外科治療慢性膽囊炎的方法:反覆發作膽絞痛、膽囊無功能、有急性發作,尤其是伴有結石者,應手術治療。80%的膽囊癌並有慢性膽囊炎膽石症,手術可起到預防膽囊癌的作用。
經常保持愉快的心情,注意勞逸結合,寒溫適宜。勞累、氣候突變、悲觀憂慮均可誘發此病急性發作。常服用利膽藥物及食物,保持大便通暢。
中醫治療
膽囊炎,屬中醫“膽脹”、“脅痛”、“腹痛”、“黃疸”等範疇,因濕、熱、瘀結肝膽,風寒濕熱,肝膽臟腑功能失調,飲食勞倦,情志鬱結所致病。蒲草清膽方,依據“整體分析、辯證施治”原則,一方面清熱解表、清利肝膽、和衛散邪、疏通腠理,疏肝膽之氣、調氣和血、調理氣機,祛除風、濕、熱邪,消除炎症,恢復膽囊的儲存、運化功能。
苗嶺膽炎方治療
苗嶺膽炎方是由蜜香、茹草、一串錢、余蓉等苗嶺天然野生藥材精細研製而成,專門針對膽囊炎的病理特徵配伍,有理氣止痛、疏肝利膽、溫中止嘔的功效,可標本兼治膽囊炎。取本方水煎服,每日一付,一付分三次服用,每次一碗(150~200ml),使用15付為一療程。【注意事項】1、服藥期間忌茶、酒、味素、油膩及酸性食品;2、必須堅持按療程用藥,不能半途而廢或時斷時續;3、高血壓、高血糖、糖尿病患者、孕婦及有過敏反應者慎用。
偏方治療
松花粉
1、消除部分致病的誘發因素
松花粉能消炎殺菌,防止急性感染;促進血液循環,促使膽汁排出,防止結石形成;能改善患者睡眠狀況,防止因失眠而復發。

松花粉
2、對瘡面消炎殺菌,減輕局部炎症反應,並加速局部康復。
3、治癒便秘、促進消化、增強食慾,補充營養並促進營養吸收,有利於改善患者體質,增強免疫力,利於痊癒。松花粉的正確使用方法:
1、松花粉是保健食品不是藥,有病的人食用時,不要輕易停藥,松花粉可以作為非藥物治療的選擇。
2、食用量:每日2—3次,每次3—6粒,飯前半小時,溫水(40℃以下)送服。可根據自己的身體狀況增減食用量。
3、過敏體質的人慎用。松花粉一般情況下,不會引起過敏反應,建議過敏體質的人服用松花粉時,從每日1粒開始,若過過敏症狀,再繼續食用,逐漸增加食用量。注意多喝水。
專家醫囑:平日多喝水,忌用金屬器皿。
家庭養護
利膽藥片家庭用藥
(1) 複方檸檬酸膠囊每次-粒每日次口服可以幫助利膽消食緩解症狀。
(2) 利膽藥:硫酸鎂毫升每日次或去氫膽酸.克或膽酸鈉.克每日次或利膽素克每日次口服。
(3) 利膽消炎的中成藥消炎利膽片-片日次口服。
(4) 慢性培養膽囊炎急性發作時用藥同急性膽囊炎的西藥治療知識。
營養和飲食
(1) 慢性膽囊炎,急性發作時,參照急性膽囊炎的膳食要求。
(2) 慢性內科膽囊炎的膳食,應根據病情給予低脂肪,低膽固醇的半流質食物,或低脂肪低膽固醇的軟食低脂肪:指脂肪總量以-克/日為宜,並把這些脂肪總量分在各餐中低膽固醇:指忌食用含膽固醇較高的食物如蛋黃腦肝腎及魚子等因魚油中含大量多烯酸能降低血中膽固醇水平所以平日可多食用些魚類。
食物
蛋白質(2) 碳水化合物:慢性遼寧膽囊炎的病人引錄的熱量最後主要來源於碳水化合物:碳水化合物易消化利用率亦高但過於肥胖的人患膽囊炎同時上海合併有冠心病或高脂血症時則需要適當限制碳水化合物的攝入包括主食及含糖糕點糖塊的攝入以利於減輕體重。
(3) 大量飲水保持每日-毫升水量的攝入以利於膽汁的稀釋減少膽汁滯積。
(4) 忌食用刺激性食物或濃烈的調味品。
(5) 少量多餐。
(6) 避免便秘發生因其能影響膽汁的排出所以適當用些含粗纖維的蔬菜和水果。
(家庭護理)
(1) 慢性膽囊炎。急性發作時病人科室應絕對臥床休息。
(2) 伴有發燒時。除可以用西藥降溫外。還可採用物理降溫加速散熱。
(3) 腹痛時。除用止痛的西藥外。家人還可以用熱水袋。在病處作熱敷。重點具有止痛作用。
注意事項
慢性膽囊炎也有時有右上腹和腰背部隱痛或不適,但很少有畏寒,高燒和黃疽。慢性膽囊炎的治療要依據起病的因素及合併症等因人而異,針對具體病情,採用適當靈活的治療原則。
慢性膽囊炎如能積極治療,大部分患者的病情能夠得到控制。部分患者因治療不徹底或機體抵抗力降低,可引起反覆發作。少數長期慢性膽囊炎及合併膽道結石阻塞的患者,可引起急性胰腺炎或膽汁性肝硬化的發生。
慢性膽囊炎的膳食,應根據病情給予低脂肪、低膽固醇的半流質食物或低脂肪,低膽固醇的軟食。低脂肪:指脂肪總量以20-30克/日為宜,並把這些脂肪總量分在各餐中。低膽固醇:指忌食用含膽固醇較高的食物。如蛋黃,腦,肝、腎及魚子等,因魚油中含大量多烯酸,能降低血中膽固醇水平,所以平日可多食用些魚類食物;
少量多餐
避免便秘發生,因其能影響膽汁的排出,所以適當用些含粗纖維的蔬菜和水果。
此外還可採用如下飲食療法:
金錢敗醬茵陳茶:金錢草、敗醬草、茵陳各30克,煎汁1000毫升,加白糖適量溫服代茶飲。雞蛋汁黃瓜藤飲:黃瓜藤100克,洗淨煎水100毫升,新鮮雞蛋1個,取汁沖服。蘿蔔湯:取新鮮蘿蔔1個,切成小塊,適量水,放少許食鹽,共煮之,取汁飲用,每周3次服。
預防常識
1、注意飲食衛生防止感染髮生;當炎症出現時及時套用有效的抗菌素;
2、合理調配食譜不宜過多食用含動物脂肪類食物。如肥肉和動物油等;
當有腸蟲(主要醫藥為蛔蟲)時及時重點套用驅蟲藥物用量,要足以防用藥不足,蟲活躍易鑽入膽道造成阻塞,引起膽道蛔蟲症(參考資料 )。
處理方法
如果慢性膽囊炎病情嚴重同時又伴有膽囊結石,最好進行手術切除膽囊。對於慢性膽囊炎,一般在疼痛發作完全緩解2-3月後,再進行手術,因為此時膽囊的炎症才能完全消失,手術相對安全一些。
目前手術切除膽囊有開腹手術和腹腔鏡手術兩種。開腹手術有100年歷史,是經典手術方法。 腹腔鏡手術是近10年來發展起來的新方法,通過腹部上開的3-4個小孔放入特殊器械,將膽 囊切除,它的優點是創傷較小,術後恢復快,但對手術醫師的技能有特殊要求,手術費用較高, 需要特殊設備,同時對病人也有更多的選擇,比如急性膽囊炎、伴有心肺疾病、伴有疝、腹膜 炎、嚴重的慢性膽囊炎等等均不宜行腹腔鏡手術。
另外,患者應合理飲食,多吃清淡之品,忌食肥甘醇厚之品,應進大量飲料(1500~2000ml),以稀釋膽汁。忌郁怒及過度勞累,並積極防治腸道寄生蟲病。
生活注意
1、宜多食各種新鮮水果、蔬菜,進低脂肪、低膽固醇食品如:香菇、木耳、芹菜、豆芽、海帶、藕、魚肉、兔肉、雞肉、鮮豆類等。2、宜多食乾豆類及其製品。
3、宜選用植物油,不用動物油。
4、少吃辣椒、生蒜等刺激性食物或辛辣食品。
5、宜用煮、蒸、燴、炒、拌、氽、燉的烹調方法,不用油煎、炸、烤、熏的烹調方法。
6、山楂10克,杭菊花10克,決明子15克,煎湯代茶飲或飲用綠茶。
7、平時喝水時,捏少許山楂、沙棘、銀杏、絞股藍草放入水杯中當茶飲用。
除了上述飲食方面的原則以外,還應該注意多飲水,多活動,適當的參加一些體育鍛鍊,增強體質,避免過度勞累及經常熬夜,保持一種平和的心態,避免煩躁易怒。調節情志,中醫學認為,情志不調,肝氣鬱結,疏泄失職,膽汁郁滯是形成結石的一個主要因素。保持一個愉快的心情,人的氣體通暢,氣血調和,肝的疏泄正常,膽汁就不易"瀦留"。
除了以上,重要的就是要保持好心情。要心情舒暢。

