病因
膽囊結石臨床表現
大多數患者無症狀,僅在體檢時發現,稱為靜止性膽囊結石。部分患者的膽囊結石的典型症狀為膽絞痛,表現為急性或慢性膽囊炎。主要臨床表現如下:
1.膽絞痛
病人常在飽餐、進食油膩食物後或睡眠中體位改變時,由於膽囊收縮或結石移位加上迷走神經興奮,結石嵌頓在膽囊壺腹部或頸部,膽囊排空受阻,膽囊內壓力升高,膽囊強力收縮而引起絞痛。疼痛位於右上腹或上腹部,呈陣發性,或者持續疼痛陣發性加劇,可向右肩胛部和背部放射,可伴噁心、嘔吐。部分病人因痛劇而不能準確說出疼痛部位。首次膽絞痛出現後,約70%的病人一年內會復發。
2.右上腹隱痛
多數病人僅在進食過量、吃高脂食物、工作緊張或休息不好時感到上腹部或右上腹隱痛,或者有飽脹不適、噯氣、呃逆等,易被誤診為“胃病”。
3.膽囊高積液
膽囊結石長期嵌頓或阻塞膽囊管但未合併感染時,膽囊黏膜吸收膽汁中的膽色素。分泌黏液性物質,形成膽囊積液。積液呈透明無色,又稱為白膽汁。
4.其他
(1)部分引起黃疸,較輕;
(2)小結石可通過膽囊管進入膽總管內成為膽總管結石;
(3)膽總管的結石通過Oddi括約肌嵌頓於壺腹部導致胰腺炎,稱為膽源性胰腺炎;
(4)因結石壓迫引起膽囊炎症並慢性穿孔,可造成膽囊十二指腸瘺或膽囊結腸瘺,大的結石通過瘺管進入腸道引起腸梗阻稱為膽石性腸梗阻;
(5)結石及長期的炎症刺激可誘發膽囊癌。
5.Mirizzi綜合徵
Mirizzi綜合徵是特殊類型的膽囊結石,由於膽囊管與肝總管伴行過長或者膽囊管與肝總管匯合位置過低,持續嵌頓於膽囊頸部的和較大的膽囊管結石壓迫肝總管,引起肝總管狹窄,反覆的炎症發作更導致膽囊肝總管瘺管,膽囊管消失、結石部分或全部堵塞肝總管而引起。臨床表現為反覆發作膽囊炎及膽管炎,明顯的梗阻性黃疸。膽道影像學檢查可見膽囊或增大、肝總管擴張、膽總管正常。
診斷
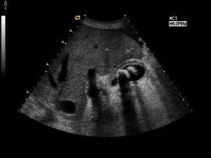
根據臨床典型的絞痛病史,影像學檢查可確診。首選B超檢查,可見膽囊內有強回聲團、隨體位改變而移動、其後有聲影即可確診為膽囊結石。僅有10%~15%的膽囊結石含有鈣,腹部X線能確診,側位照片可與右腎結石區別。CT、MRI也可顯示膽囊結石。但不作為常規檢查。
治療
1.首選腹腔鏡膽囊切除治療
比經典的開腹膽囊切除損傷小,療效確切。無症狀的膽囊結石一般不需積極手術治療,可觀察和隨診,但下列情況應考慮行手術治療:
(1)結石直徑≥3cm;
(2)合併需要開腹的手術;
(3)伴有膽囊息肉>1cm;
(4)膽囊壁增厚;
(5)膽囊壁鈣化或瓷性膽囊;
(6)兒童膽囊結石;
(7)合併糖尿病;
(8)有心肺功能障礙;
(9)邊遠或交通不發達地區、野外工作人員;
(10)發現膽囊結石10年以上。
2.行膽囊切除時,有下列情況應行膽總管探查術
(1)術前病史、臨床表現或影像檢查證實或高度懷疑膽總管有梗阻,包括有梗阻性黃疸,膽總管結石,反覆發作膽絞痛、膽管炎、胰腺炎。
(2)術中證實膽總管有病變,如術中膽道造影證實或捫及膽總管內有結石、蛔蟲、腫塊,膽總管擴張直徑超過1cm,膽管壁明顯增厚,發現胰腺炎或胰頭腫物。膽管穿刺抽出膿性、血性膽汁或泥沙樣膽色素顆粒。
(3)膽囊結石小,有可能通過膽囊管進入膽總管。為避免盲目的膽道探查和不必要的併發症,術中可行膽道造影或膽道鏡檢查。膽總管探查後一般需作T管引流,有一定的併發症。
常見內科疾病3
| 了解內科疾病的治療、預防,增強疾病知識。 |

