發病機制
急性腎功能衰竭ACEI引起腎損害的發病機制可能有以下幾個方面:1.血流動力學的改變腎內血管緊張素Ⅱ可影響腎血管緊張度,引起進球及出球小動脈收縮導致腎血流量減少保證循環血量及維持血壓。ACEI阻斷血管緊張素Ⅱ的形成使其作用降低與進球小動脈相比,出球小動脈阻力降低更為明顯,使腎小球血流量更為減少,導致腎小球濾過率下降,腎功能損害當腎動脈狹窄時腎小球血流量降低其腎小球濾過率依賴於出球小動脈的收縮來維持。當使用ACEI後,出球小動脈被擴張,腎小球濾過率急驟下降引起急性腎功能衰竭。
2.ACEI對近曲小管上皮細胞的直接毒性作用可能與ACEI阻斷了近曲小管上皮細胞中某些關鍵酯酶的功能有關,或ACEI可能阻礙缺血後細胞的恢復,加重缺血後再灌注的細胞損害從而發生急性腎小管壞死。
3.過敏因素及免疫調節功能紊亂可能與藥物過敏後引起腎間質單核細胞淋巴細胞浸潤及某些細胞因子(如白介素-1、白介素-2、腫瘤壞死因子-α)的釋放有關。
臨床表現
巰甲丙脯酸腎損害1.腎臟表現
(1)急性腎功能衰竭:輕者表現為偶然發現的腎功能減退,無症狀性血肌酐升高,升高幅度>100µmol/L,內生肌酐清除率降低,腎小球濾過率可降低50%。在腎動脈狹窄的患者,特別是雙側腎動脈狹窄者,發生突然少尿或無尿,短期內腎功能急驟惡化可表現為急性腎功能衰竭。
(2)急性間質性腎炎:臨床表現為蛋白尿,一般小於2g/24h腎性糖尿皮疹及血中嗜酸性粒細胞增多。
(3)腎病綜合徵:表現為大量蛋白尿低白蛋白血症,伴或不伴高脂血症及浮腫,可有高血壓,腎活檢為膜性腎病。
併發症:高血鉀和尿鈉瀦留。
病情診斷
此病診斷應具備以下條件:1.臨床上有套用ACEI史。2.短期內出現腎功能減退、蛋白尿或蛋白尿增加、腎性糖尿、尿鈉增加。3.突然發生少尿或無尿,短期內腎功能急驟惡化,表現為急性腎功能衰竭急性間質性腎炎或腎病綜合徵者應疑及此病。
鑑別診斷:1.原發性膜性腎病此病好發於40歲以上男性以腎病綜合徵為多見。在用ACEI前必須排除有無潛在的膜性腎病,並根據停藥後反應來鑑別。ACEI所致者停藥後可自行緩解。
2.急進性腎炎此病全身症狀較重,以嚴重的少尿、無尿、迅速發展為尿毒症為突出表現。尿檢可見大量紅細胞或肉眼血尿,少量或中等量蛋白尿尿比重一般不低。腎活檢有50%以上的腎小球有新月體形成,可資鑑別。
3.氨基糖苷類抗生素所致的腎損害患者有套用氨基糖苷類藥物的病史,在用藥5~7天后出現蛋白尿血尿、管型尿腎功能損害。腎活檢見腎小球上皮細胞變性空泡形成及壞死間質炎細胞浸潤,腎小球基本正常。
檢查方法
實驗室檢查:常規血尿化驗檢查可見蛋白尿糖尿尿鈉增加,血尿素氮肌酐升高內生肌酐清除率下降腎小球濾過率降低嗜酸性粒細胞增多等。
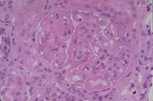
其它輔助檢查:組織病理檢查:光鏡下可見腎小管上皮細胞變性及壞死腎間質炎細胞浸潤以單核、淋巴細胞為主也有中性粒細胞及嗜酸性粒細胞浸潤部分患者有小球病變多表現為膜性腎病。免疫螢光可見IgGIgM和C3沉積電鏡下在腎小球毛細血管基膜上皮細胞有球形電子緻密物沉積。
治療途徑
多數研究報導卡托普利(巰甲丙脯酸)所致的蛋白尿,停止用藥即可以自行緩解。然而Hoorntje等研究顯示1例病理類型為膜性腎病Ⅰ期的患者停用藥物後10天內尿蛋白消失而3個月後重複腎活檢證實腎臟病理損害並無改善。Stephen等研究報導的2例由卡托普利(巰甲丙脯酸)引起膜性腎病的病例,停止用藥後可以使蛋白尿部分緩解,然而隨後的1年中蛋白尿仍然有波動和復發的表現。8~12個月後重複腎活檢證實上皮下腎小球基底膜電子緻密物沉積仍然持續存在因而,認為卡托普利(巰甲丙脯酸)引起的腎小球基底膜沉積是不可逆的並可以導致持續性蛋白尿。一般不主張採用激素或細胞毒性藥物治療。一旦發生急性腎衰應積極予以治療。少數用ACEI引起嚴重急性腎衰持續少尿或無尿超過3天、腎功能急驟惡化者需緊急血透或腹透。
卡托普利剛開始作為降壓藥物使用時建議劑量遠遠超過實際需要劑量從而引起一系列由巰基引起的副作用這些副作用包括皮疹、口腔潰瘍、味覺異常以及發生白細胞減少、粒細胞缺乏症和免疫複合物腎炎目前卡托普利的劑量已經重新調整減量然而療效卻沒有減低。最近的臨床研究表明謹慎選擇患者減少劑量,卡托普利是一種十分安全的抗高血壓藥物其藥物副作用的發生率也較其他抗高血壓藥物為低。
預防措施
治療藥物預防:1.嚴格掌握用藥指征在用藥前明確有無危險因素存在如腎動脈狹窄、高血壓腎硬化、腎動脈血栓形成特別是嚴重的雙側腎動脈狹窄及孤立腎若有上述情況,應慎用或禁用ACEI。
2.注意觀察及時停藥在使用ACEI第1周中,應嚴密檢測腎功能並查尿常規及血鉀一旦發現腎功能減退應及時停藥,並在短期內複查腎功能。通常停藥後可完全恢復。
3.積極治療急性腎衰。
相關詞條
常見內科疾病3
| 了解內科疾病的治療、預防,增強疾病知識。 |
