簡介
脂蛋白腎小球病脂蛋白腎小球病,疾病代碼:ICD:N16.3*
疾病分類:腎臟內科
疾病描述
腎小球血管結構脂蛋白腎小球病(lipoproteinglomerulopathy)是一種腎臟疾病,其病理特徵為腎小球毛細血管襻腔中存在脂蛋白栓子,腎外無脂蛋白栓塞表現。臨床表現類似於Ⅲ型高脂血症,伴以血漿載脂蛋白E(apoE)升高。本病是1987年SaitoT等人在第17屆日本腎臟病學會地區年會上首次報導,1989年Sakaguchi等人根據病人的臨床表現、病理學特點,提出將本病作為一個獨立的腎小球疾病,並於同一年將本病命名為脂蛋白腎小球病。然而,脂蛋白腎小球病通過降血脂治療並不能改善腎小球病變。目前認為本病是原發於腎小球Ⅲ型僅限於腎臟有脂質沉著的罕見病。
體徵:
脂蛋白腎小球病主要累及腎臟,且以腎小球受損為主。全部患者均存在蛋白尿,有的逐漸進展為腎病範圍的蛋白尿,少數病例同時伴有鏡下血尿。儘管本病患者血漿膽固醇、三醯甘油及VLDL增加,但常無腎外表現,脂蛋白不在腎外形成栓塞。多數患者表現為對激素治療呈抵抗,緩慢進展為腎功能衰竭。
病因:
生理
脂蛋白腎小球病的發病機制尚未完全闡明,多數認為與脂質代謝異常有關。現已知道,脂代謝異常會促發腎小球損傷;而腎小球病變也會影響到脂質代謝。許多全身性疾病(包括罕見的Fabry病、NiemanPick及Gaucher病)會使腎內脂質沉積增加,相當常見的是腎內脂質沉著是繼發於腎病綜合徵,高脂血症是其特徵性的表現,因為腎病綜合徵經過有效的治療而使血漿脂質正常化,這種情況下高脂血症是腎臟疾病的後果。
脂蛋白代謝的主要途徑是其受體的代謝途徑。載脂蛋白是受體識別脂蛋白的信號和標誌,其中apoE又是最主要的載脂蛋白的成分之一。ApoE既能結合乳糜微粒殘基受體,又能結合低密度脂蛋白受體,因此apoE成為影響血脂水平的重要因素。目前研究發現,不同基因表現型的apoE,其受體結合活性不同,因此這些具有不同受體活性的apoE異構體將可能影響到血脂的代謝。例如,含E4/4基因表現型機體,apoE受體結合活性明顯增強,對乳糜微粒殘基的清除速度加快,血脂水平降低;家族性Ⅲ型高脂蛋白血症的apoE基因表現型為純合子apoE2/2,這種apoE異構體存在與脂蛋白受體結合能力的缺陷,因而脂蛋白代謝障礙,血漿脂質水平升高。本病的apoE基因表現型雜合子apoE2/2為主,故認為這種異構體也存在著與脂蛋白受體結合能力缺陷而致血漿脂蛋白水平升高。本病與家族性Ⅲ型高脂血症有許多相似之處:血漿總膽固醇、三醯甘油以及apoE水平均升高,電泳顯示前β脂蛋白帶增寬,有腎病綜合徵的表現等。但後者有早發動脈粥樣硬化的傾向,常出現黃色瘤,易發生間歇性跛行,有高尿酸血症等。這些臨床表現在脂蛋白腎小球病則不出現,說明有相異之處。通過對apoE基因表現型的研究推測,含E2的雜合子可能有產生脂蛋白腎小球病的傾向。
另有學者從apoE異構體胺基酸分析發現這些異構體的一級結構不同,從而推測是否由於胺基酸的更換,影響到載脂蛋白結構以至影響到脂蛋白的結構,從而容易在腎小球內沉積,直接造成腎小球的損傷。例如,有人發現apoE3含1個半胱氨酸、apoE4不含半胱氨酸、apoE2含有2個半胱氨酸卻比apoE3少1個精氨酸,正是由於半胱氨酸/精氨酸的交換,反映了它們之間所帶電荷的差異。而腎小球基底膜總是帶陰電荷占優勢,推測apoE2易與基底膜結合而不易從毛細血管清除而致本病的發生。Oikawa等還發現3例脂蛋白腎小球病患者apoE異構體比較特殊,其145位精氨酸被脯氨酸所取代,以地名(仙台)來命名這種異物體,稱為apoE仙台即apoESendai。由於脯氨酸結構中的氮原子在剛性的五元環中,它所形成的肽鍵氮原子上沒有氫所以不可能形成氫鍵。一般認為凡是肽鏈中出現脯氨酸殘基的部位,肽鏈走向轉折,不能形成α-螺鏇,所以脯氨酸是α-螺鏇的“殺手”。在apoESendai,由於脯氨酸破壞了apoE蛋白的螺鏇結構,產生整個或局部畸變,進一步在腎小球內沉積濃集,引起腎小球病變。
由上可見,脂蛋白腎小球的發病機制方面的研究熱點主要集中在apoE的基因表現型與脂蛋白代謝的關係以及apoE異構體胺基酸一級結構的改變而導致球蛋白結構畸變的致病作用問題。而Watanabe等提出脂蛋白腎病的原位發病機制。Saito等通過電鏡觀察也發現,脂蛋白的沉著起初發生在腎小球系膜,過量的脂蛋白物質可突入腎小球毛細血管腔,形成脂蛋白血栓。脂蛋白血栓內的成分取決於患者各種脂質的成分及含量。AnHangYang等人則認為基因表現型在脂蛋白腎小球病的發病機制中並不十分重要,毛細血管局部環境的改變可能在本病的發生上更為重要。他們套用抗氧化劑普羅布考(Probucol,丙丁酚)治療本病有效,故推測脂蛋白沉著可能與腎小球毛細血管局部環境異常及前氧化狀態有關。有關脂蛋白腎小球病的確切發病機制尚需深入研究。
診斷檢查
診斷:
正常情況下腎臟可以含有少量脂類物質,當腎臟出現大量不尋常的脂類物質沉積或累及特定的實質性結構時,可以認為是腎臟脂類沉著病。臨床上可將其分為原發性與繼發性兩大類,應與脂蛋白腎小球病進行鑑別。
綜上所述,對於病理上有特徵性的形態學改變——腎小球體積增大,高度膨脹的毛細血管襻,內含層狀改變的“栓子”的腎臟病患者,應注意是否存在脂蛋白腎小球病,若組織化學染色脂蛋白陰性,電鏡下證實有脂蛋白栓
三醯甘油分子式實驗室檢查:
1.尿液檢查全部患者均有不同程度的蛋白尿,1g~3g/24h;有鏡下血尿。
2.血液檢查患者都存在不同程度的高脂血症。Saito等曾對脂蛋白腎小球病與原發性腎病綜合徵患者的高脂血症作過比較,發現脂蛋白腎小球病患者的血漿三醯甘油水平似乎較其總膽固醇水平升高明顯;他們進一步分析發現,其膽固醇中主要以極低密度脂蛋白及中等密度脂蛋白升高為主。這一特徵與家族性Ⅲ型高脂蛋白血症極為相似。實驗室檢查中最具特徵意義的是全部病例均表現為血漿載脂蛋白E水平的明顯升高(103~388mg/L)。apoE的基因表現型檢測發現,含E2的基因表現型占優勢。
其他輔助檢查:
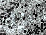
1.光鏡光鏡下特徵性的病變為腎小球毛細血管腔高度擴張,腔內為大量淡染、網狀物質所填充,毛細血管呈氣球樣改變。有人稱為毛細血管瘤樣擴張。腔內物質行特殊染色,包括PAS、PASM、MASSON染色均陰性蘇丹3及油紅0染色顯示擴張的毛細血管腔內有大量陽性脂滴狀物質,周圍腎小管細胞中也可見到散在細小脂滴(圖1,2)。腎小球系膜細胞及基質常呈輕度增生。也可呈現系膜溶解、系膜與基底膜分離以及系膜插入呈雙軌狀等改變。腎小球基底膜一般無增厚、釘突形成等異常。腎小管間質多無顯著改變,也無泡沫細胞等脂質異常沉積的病徵。腎血管未見異常蛋白血症等改變。重複腎活檢發現,隨著病程的遷延,毛細血管腔內脂蛋白栓塞樣物質逐漸減少,系膜細胞與基質呈明顯增生,伴節段性系膜插入及硬化,脂蛋白血栓樣物質逐漸為增生的系膜所取代。腎小管間質常出現相應的小管萎縮、間質淋巴細胞和單核細胞浸潤及纖維組織增生等病變。
2.電鏡表現為毛細血管明顯擴張,腔內充滿大量大小不等及電子密度不一的顆粒,這些顆粒可呈條紋狀排列,類似指紋結構。也有腔內填充物質為大小不等的空泡結構,常呈簇狀或層狀排列。腔內紅細胞及內皮細胞被擠壓於脂蛋白血栓樣物質與毛細血管壁之間。系膜區早期僅表現為輕度增生,病變進展時,系膜區明顯增寬,系膜細胞及系膜基質增生,有時可出現系膜插入、系膜溶解等改變。腎小球基底膜未見增厚、緻密物沉積。
3.免疫螢光常規免疫螢光染色如IgG、IgA、IgM、C1q、Fg染色無特徵性改變。採用針對脂蛋白及載脂蛋白的單克隆抗體染色發現腎小球毛細血管腔內有β脂蛋白及apoE的沉積。此外,系膜區也可見少量散在的細顆粒狀載脂蛋白沉積。α脂蛋白染色陰性。本病亦可合併有IgA腎病、狼瘡性腎炎、膜性腎病等,此時,免疫螢光、光鏡及電鏡檢查各顯示其特徵性改變,在診斷中具有十分重要的價值。
鑑別診斷
Fabry病腎臟超微結構圖(1)Fabry病:是一種先天性溶酶體酶α半乳糖苷酶A缺乏導致的先天性溶酶體貯積病,多發生在男性。本病幾乎可累及機體所有的組織,臨床上主要表現為感覺異常、肢端疼痛、皮膚呈現血管角質瘤病,多見於軀幹中部,常累及陰囊、臀部、大腿根部、臍部及口腔黏膜,皮疹紅色帶紫,壓之不褪色,青春期病變尤其明顯。心腦血管病變可表現為心絞痛、心肌梗死、缺血性腦卒中,其他病變還包括角膜混濁或萎縮,視網膜或結合膜扭曲,白內障等。腎臟改變表現為輕度蛋白尿、偶爾並發血尿、罕見腎病綜合徵。可見輕度高血壓,少數患者表現為較嚴重的腎小管功能異常,如腎性尿崩症或遠端腎小管酸中毒。病理檢查示腎小球髒層上皮細胞高度腫脹和空泡化是本病的典型改變。有時病變可以累及壁層上皮細胞,少數病例在腎小球內皮細胞、系膜細胞中也可發現類似空泡。電鏡超微結構觀察把光鏡下見到的空泡化細胞稱為“包涵體”。這種特殊結構大多在溶酶體內,具有一層膜性結構包繞,也稱為斑馬小體、髓鞘樣改變等。還可以看到足突融合,內皮細胞及系膜細胞中“包涵體”較小且較少,若“包涵體”量多可占據整個襻腔。
(2)尼曼-匹克病:是由於機體缺乏神經鞘磷酯酶,使神經鞘磷酯不能水解而沉積在網狀內皮系統、肝細胞、腎小管上皮細胞、神經細胞和一些其他細胞內,引起細胞功能障礙。由於大量泡沫細胞聚集在網狀內皮系統包括骨髓中,因此可出現肝、脾及全身淺表淋巴結腫大。該病是一種少見的常染色體顯性遺傳性疾病,腎臟受累的主要特徵是腎小管(尤其是遠端腎小管和髓襻)上皮細胞內大量泡沫細胞,有的時候整個小管呈泡沫變性。電鏡下遠端腎小管及髓襻上皮細胞均被大量脂質包涵體占據,大小形態不一致,可呈斑馬狀也可呈同心圓排列。臨床上,淺表淋巴結腫大伴腎功能不全和(或)蛋白尿時,應考慮排除本病。
(3)異染性白質萎縮病:大腦是本病的主要受累器官。腎臟脂質沉著發生在遠端小管、集合管、髓襻細段的細胞內,偶爾也可出現在管腔中,腎小球及近曲小管極少受累。腎功能常不受影響。
(4)黏膜脂質病:為先天性的異常物質貯積病。此物質包含有黏多糖及類脂的綜合特徵。本病主要累及成纖維細胞,腎臟受累主要表現為腎臟成纖維細胞、腎小球足突上皮細胞呈氣球樣變,內含多量清亮的空泡。近端腎小管很少受累。
(5)Wolman病:為先天性溶酶體酸性酯酶缺乏所致的異常脂類沉積病。本病主要累及新生兒及兒童。臨床上以嘔吐、腹瀉及腹部膨隆為特徵。病理上常出現大量酯化的膽固醇及三醯甘油在肝、脾、腎上腺中積聚。腎臟不是主要受累器官。腎臟受累時,可見系膜區及管周間質中有空泡狀細胞形成,腎小管基本正常。
(6)Batten病:為一組先天性疾病,各病變之間分類模糊。它們的共同表現有精神障礙、各種神經症狀、神經元及膠質細胞內有不明成分的綜合脂類物質貯積。在腎臟,脂類貯積多發生在腎小球內皮細胞及遠曲小管上皮細胞中。
(7)家族性卵磷脂膽固醇醯基轉移酶(LCAT)缺乏症:本病臨床上主要表現為角膜混濁、貧血、動脈硬化等。腎臟損害也是其主要表現之一。患者可出現蛋白尿、鏡下血尿、晚期有時可發生終末期腎衰。病理上主要表現為腎小球內泡沫細胞(明顯改變的內皮細胞)的積聚以及系膜區、內皮下出現大量緻密的不規則樣顆粒(其可能為異常的脂類物質)。上述7種遺傳性脂類代謝疾病均不見腎小球毛細血管內脂蛋白血栓樣物質充塞,與脂蛋白腎小球病不同。
(8)家族性高脂蛋白血症:本病是脂質代謝異常中最為常見的一類疾病。根據脂蛋白電泳的特徵可分為Ⅰ、Ⅱa、Ⅱb、Ⅲ、Ⅳ、Ⅴ六型。本病偶爾可伴有腎臟受累的症狀及腎小球毛細血管內脂類血栓樣物質的形成。受累時患者可表現為腎病綜合徵、進行性蛋白尿、晚期可出現腎功能不全。實驗室檢查示血漿總膽固醇、三醯甘油及前β-脂蛋白的明顯升高。免疫螢光檢查血栓樣物質為β或前β-脂蛋白。脂蛋白腎小球病與本病有多方面的相似之處,但脂蛋白腎小球病缺少角膜弓、黃瘤、易發生動脈粥樣硬化及間歇性跛行等家族性高脂蛋白血症典型的臨床表現及體徵。實驗室檢查脂蛋白腎小球病以血漿apoE水平升高為特徵,免疫螢光檢查示脂蛋白血栓含apoE成分。此外,有關apoE的基因表現型的檢測也發現其與家族性高脂蛋白血症有較大的差別。
2.繼發性脂類沉積病
(1)腎病綜合徵:無論何種原因引起的腎病綜合徵,大量脂類物質經過濾過,重吸收後,都會導致其腎內沉積,其主要累及近端小管,表現為空泡樣改變。此外,也可累及腎小管基底膜,引起基底膜的增厚、撕裂及空泡樣變。累及間質細胞使之變為泡沫細胞。偶爾腎小球足突細胞、系膜細胞及內皮細胞也可受累。甚至在間質內形成膽固醇肉芽腫。
(2)Alport綜合徵:本症的血漿脂質水平並無異常,常伴有聽力喪失及眼部疾患。腎臟病變主要表現為基底膜增厚、撕裂及變薄等改變。疾病晚期,光鏡下可見大量泡沫細胞在腎間質聚集,腎小管內出現明顯脂滴。
(3)肝硬化:肝病累及腎臟的主要表現為系膜區增寬、系膜基質增生,系膜區及內皮下出現緻密的不規則脂類顆粒沉積。
(4)特發性妊娠脂肪肝:本病較為少見。主要病變在肝臟表現為大量脂類物質聚集。腎小管細胞也可出現脂滴。
(5)其他脂類沉積病:一些毒物或藥物、缺血性損傷等原因均可引起腎臟的脂質聚積。此外,一些慢性感染性疾病,如黃色肉芽腫性腎盂腎炎中也可有泡沫細胞的聚積,所有這些疾病,其腎小球病變及實驗室檢查均與脂蛋白腎小球病不同。
治療方案
脂蛋白腎小球病目前尚無滿意的治療措施。有關腎病綜合徵的傳統治療方案,如激素、免疫抑制藥及抗凝藥物等均無顯著的療效,甚至有加重腎臟病變的可能。治療試驗表明,降脂藥如普羅布考,可有效地改善高脂血症,但對減輕蛋白尿排泄的效果不肯定。血漿置換也是可推薦的方法之一,研究認為此法可緩解高脂血症、蛋白尿,但重複腎活檢結果證實血漿置換並不能改善腎小球病變的進行性惡化,因此,其療效仍不能肯定。既使進行腎移植手術,移植腎仍可出現脂蛋白腎小球病的再發。
併發症
並發不同程度的高脂血症和緩慢進展的腎功能衰竭。本病亦可合併有IgA腎病、狼瘡性腎炎、膜性腎病。
預後及預防
預後:
由於本病的發現時間較短,尚難確定其自然病程及預後。從資料看,預後似乎並不理想,已報導的26例中已有8例走向終末期腎衰竭,6例無明顯改變,4例出現緩解徵象。
預防:
本病為遺傳性疾病,尚無有效預防措施防止其發生。對明確診斷患者要積極降血脂及對症治療,以控制病情發展,預防腎功能衰竭的發生。
流行病學
現全世界已報導不足百例,其中大部分來自日本,國內僅有少數報導。脂蛋白腎小球病多見於男性,男女比例為15∶8;平均發病年齡為32歲(4~49歲)。多數病例為散發性,少數為家族性發病。
相關詞條
常見內科疾病3
| 了解內科疾病的治療、預防,增強疾病知識。 |
