病因
由細菌感染引起。多數為大腸埃希桿菌和變形桿菌,偶見耐青黴素的金黃色葡萄球菌。並由尿路梗阻加重,慢性缺血和腎內淋巴引流不暢所致的局部代謝異常。
臨床表現
本病一般僅有單側腎臟受累,罕有雙側病變;絕大多數患者腎區疼痛及反覆發作的尿路感染,尿頻、尿急、尿痛,多為不規則發熱、全身不適、乏力、厭食、消瘦、和便秘。多數患者有結石、尿路梗阻或糖尿病史,半數患者可觸及腰部腫塊,伴有高血壓表現。
檢查
1.實驗室檢查
常有白細胞尿,血尿少見。尿細菌培養絕大部分均呈陽性,以大腸埃希菌、變形桿菌最為常見,亦可見耐青黴素的金黃色葡萄球菌晨尿離心,沉渣塗片可見泡沫細胞,其陽性率達80%以上;如在一張切片上看到5個以上的泡沫細胞,一般可診斷本病。血液檢查常見貧血、白細胞計數增加和血沉加快。
2.KUB(腎-輸尿管-膀胱)攝影
可見單側腎影增大,IVP可見無功能腎、腎結石或輸尿管結石、腎盞畸形、囊性病變或腫塊內空洞。
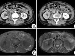
3.CT掃描檢查
可顯示腎內多個結節狀或較大腫塊樣低密度病灶,並可見腎盂或集合管系統的結石和鈣化灶;也可表現為腎一極增大變形或局限性腎腫塊,等密度或略高密度,但增強後強化不明顯;有時可侵犯腎周間隙和腰大肌。
4.磁共振(MRI)和B超檢查
也有助於診斷,B超檢查可見腎臟增大,腎內見液性暗區。
診斷
對有慢性尿路感染史,晨尿離心沉渣塗片泡沫細胞陽性以及影像學檢查陽性發現某些可疑病變者,應考慮黃色肉芽腫性腎盂腎炎的可能性。X線的改變包括單側腎腫大,靜脈腎盂造影(IVP)顯示無功能腎,腎和(或)輸尿管發現結石。以及CT和MRI值有特徵性發現。根據這些特點,對40%的病例可以作出診斷或術前擬診。此外,該病患者尿細菌培養幾乎均呈陽性,奇異變形桿菌和大腸埃希桿菌最常見,因大腸埃希桿菌感染率高,耐新青黴素Ⅰ的金黃色葡萄球菌感染也有類似情況。腎組織病理學檢查對確診本病有重要意義。
治療
外科手術是本病重要的治療方法,患腎多被切除,經治療愈後良好。由於本病與腎癌、腎結核的鑑別診斷較難,術前易造成誤診。在外科治療中,必須認識到病變蔓延所形成的病理變化給外科手術造成的困難和增加手術的危險。應根據臨床病理分期擬定適當手術方案,以提高手術的安全性和成功性。
保留腎的治療方法套用不多見,故術前能否正確診斷對於本病治療方式的選擇十分重要。保留腎手術的治療方法值得進一步研究和套用。

