簡介
泌尿繫結石疾病名稱:膀胱與尿道結石
疾病代碼:ICD:N21
疾病分類:腎臟內科
疾病描述
泌尿繫結石是常見病、多發病,早在古代時期就有所記載,中醫稱其為“石淋”或“砂淋”。本病與環境、全身性疾病以及泌尿系統其他疾病有密切關係,結石形成機制未完全闡明。隨著人們生活水平提高,飲食結構變化,上尿路結石發病率明顯升高,下尿路結石則日趨下降。膀胱及尿道結石屬於下尿路結石,大部分是由繼發性因素引起。原發性膀胱結石少見,一般多見於兒童,這與斷奶後的營養不良、低蛋白飲食有關。繼發性膀胱結石多見於老年男性,常見的病因有上尿路結石排入膀胱內、下尿路梗阻使尿液滯留、感染、異物等。尿道結石較少見,絕大多數是來自於腎和膀胱的結石經尿道或嵌於尿道所致,也有少數發生於尿道狹窄、異物或開口於尿道的憩室中的原發性尿道結石。尿道結石主要發生於男性。
症狀體徵
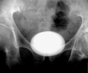
膀胱結石(1)排尿突然中斷:為其典型症狀,因排尿時結石移動堵塞膀胱出口而致尿線突然中斷,改變體位後又能繼續排尿。
(2)尿痛:由排尿時結石對膀胱局部的刺激和損傷引起,可放射至陰莖頭部和遠端尿道。有時可伴有尿頻、尿急等尿路刺激症狀。
(3)排尿困難:結石位於膀胱三角區,緊貼膀胱頸部,增加了排尿阻力。結石嵌於膀胱頸口,可出現明顯排尿困難。
(4)血尿:因結石摩擦膀胱黏膜或合併尿路感染所致,可出現肉眼血尿。
(5)尿路感染:可表現尿頻、尿急、尿痛和膿尿。
2.尿道結石臨床表現主要症狀為排尿困難,費力,點滴狀排尿及疼痛。結石完全堵塞尿道則發生急性尿瀦留。
疾病病因
1.膀胱結石形成的原因除營養不良的因素外,下尿路梗阻、感染、膀胱異物、代謝性疾病均可繼發膀胱結石。下尿路梗阻如前列腺增生、尿道狹窄、膀胱頸部腫瘤等,均因尿液滯留容易誘發膀胱結石形成。膀胱異物如導管、縫線等,可作為核心,繼發膀胱結石形成。另外,在埃及血吸蟲病流行區,可見以蟲卵為核心的膀胱結石。
2.尿道結石分為原發性和繼發性兩類,其病因如下:
(1)原發性尿道結石:指開始就在尿道內生成的結石,尿道狹窄、感染、瀦留性囊腫、黏膜損傷、憩室及異物等為其病因。
(2)繼發性尿道結石:指結石先在尿道上方的泌尿系統中形成,後排入尿道並停留在尿道內,多停留在尿道生理膨大部位及狹窄部的近側,故尿道結石多見於尿道前列腺部、球部、陰莖部、舟狀窩及尿道外口處。
疾病生理
上尿路與下尿路結石的形成機制雖有一定差異但也有共同之處。結石形成的基本學說有數種,如腎的局部病損;過多尿石成分排泄沉澱學說;抑制因素缺乏學說;游離顆粒和固定顆粒成石學說;結石基質成分和基質的作用;取向附生和免疫機制學說等等。上尿路結石大多數為草酸鈣結石。膀胱結石中磷酸鎂銨結石較上尿路多見。感染性結石是由於產生脲素酶的細菌分解尿液中的尿素而產生氨,使尿液鹼化,尿中磷酸鹽及尿酸銨等處於相對過飽和狀態,發生沉積所致。細菌、感染產物及壞死組織亦為形成結石之核心。總之,尿液過飽和是尿石形成的能量來源,其形成的化學動力學大致為成核、生長、聚集和固相轉化等幾個階段。繼發性尿道結石是先在尿道上方的泌尿系統中形成,後排入尿道並停留在尿道內的生理膨大部位及狹窄部位,並引起梗阻性改變的一系列臨床症狀。
診斷檢查
診斷:
1.膀胱結石的診斷可根據病史中有排尿時尿流中斷,尿末劇痛和血尿等典型症狀。查體雙手觸診有時可觸及到結
膀胱結石2.尿道結石的診斷
(1)尿道仔細觸診可觸及前尿道結石,直腸指診可觸及後尿道結石。
(2)金屬尿道探子檢查受阻並有特殊的感覺和聲響。
(3)X線及B超檢查能顯示直腸指診不能發現的後尿道結石。
實驗室檢查:
1.尿常規檢查排出新鮮尿立即離心,在沉澱中找結晶。不要用冷藏方法保存尿液,因冷卻本身可使正常尿形成結晶。鏡檢可見紅細胞、晶體,如合併感染,可見大量白細胞或膿細胞。運動前後尿常規檢查對比有診斷意義。
2.連續2天24h尿測鈣、磷、氯、鈉、鉀、鎂、枸櫞酸鹽、草酸鹽、pH、尿酸、尿肌酐、尿量。留24h尿觀察是否有結石排出,並分析其成分。
3.低鈣、低鈉飲食(鈣:400mg,鈉:100mmol)1周,結束後即留空腹尿測鈣,以發現腎漏鈣。鈣負荷(服1g鈣)後留尿以發現腸吸收鈣量。尿測胱氨酸、黃嘌呤、氨苯喋呤、腺苷酸。
4.尿液細菌培養及藥物敏感試驗留中間尿作細菌培養,有助於對感染細菌的鑑定和選擇有效的抗生素。
5.測定血鈣、磷、氯、鈉、鉀、鹼性磷酸酶、甲狀旁腺激素水平、尿酸、肌酐和蛋白,結合24h尿的尿鈣、尿酸、肌酐、草酸含量分析了解代謝狀態,判明有無內分泌紊亂。
6.腎功能測定測血肌酐、尿素氮以了解腎功能狀態。
其他輔助檢查:
1.B超檢查能顯示結石聲影,可同時發現前列腺增生。
2.X線檢查腹部平片絕大多數結石可顯影,並同時注意有否腎輸尿管結石。必要時可做尿路造影以了解尿路情況。
3.膀胱鏡檢查用以上方法不能確診時可行膀胱鏡檢查確診。
4.CT檢查對膀胱憩室中的結石有定位診斷價值。
鑑別診斷
下尿路結石應與盆腔靜脈結石、骨島、腸內容物、婦科疾病等相鑑別。
治療方案
1.膀胱結石的治療以手術治療為主,並同時進行病因治療及抗感染、對症治療。
(1)膀胱碎石鉗:適宜直徑<2cm的結石。
(2)超聲、液電或雷射碎石:此手術為經尿道在硬膜外麻或局麻下進行的治療方法。共分為4種:
①超聲碎石。②液電碎石。③微爆碎石。④經尿道機械碎石(直視下膀胱碎石和盲目碎石術)。
(3)恥骨上膀胱切開取石術:適用於較大的堅硬結石或有梗阻因素引起的結石,應同時給予對症處理。若病程較長,手術時應注意膀胱有無病變,及時進行活檢排除癌變的可能。
2.尿道結石的治療
(1)前尿道結石:在麻醉下注入液狀石蠟後,由近端輕輕推擠、鉤取、鉗出或鉗碎取出,儘量不作尿道切開取石。若結石嵌於舟狀窩而無法取出,則需作尿道外口切開取石。
(2)後尿道結石:先用尿道探子將結石推入膀胱,再按膀胱結石處理。
併發症
1.感染尿液淤滯易致感染,結石作為異物促進感染的發生、病菌的侵入和繁殖。如上行引起腎內的感染,可出現腎盂腎炎、腎實質膿腫、腎積膿及腎周圍炎。梗阻與感染均可使結石迅速增大。故結石、梗阻、感染三者互為因果,加重泌尿系損害。
2.合併息肉或惡性腫瘤結石長期嵌頓於尿管,對局部黏膜產生損害和慢性機械性刺激,使尿管產生局限的炎性增生,部分病人形成良性息肉,息肉包括炎症性息肉和纖維性息肉,部分息肉具有腫瘤結構特徵,稱為息肉樣腫瘤。結石長期在膀胱內偶可引起惡變。
預後及預防
預後:尿路結石病人早期確診並用藥治療,結石可自行排出,必要時經手術摘除患者在結石排出後臨床症狀當即解除,如梗阻時間不長又無併發症,一般療效滿意,預後良好。
預防:結石的形成與飲食有關。它是由飲食中可形成結石的有關成分攝入過多引起的。要預防結石病的發生,就必須注意食物的搭配,各種食物都適量進食,即使是檢查出身體缺乏某種營養素需要某種食物來補充時,也不宜一次大量進食,因為人體的消化、吸收功能是有限的。消化、吸收不了的養分就要通過排泄器官排泄出去,這樣也會增加泌尿系統的負擔,即便不患腎結石病,也對健康不利。特別是當檢查確認是泌尿繫結石症時,在患病期間,要限制病人吃那些易促使結石形成的食物。具體方法為:
1.多飲水,增加尿量,稀釋尿液。成人每24小時尿量應>2000ml。
2.據結石成分調節飲食有草酸鹽結石的病人應少吃菠菜、土豆、濃茶等,服用維生素B6可減少草酸鹽的排泄。有含鈣結石者,應限制牛奶、精白麵粉、朱古力等的攝入。有尿酸結石者,不宜用含嘌呤高的食物(如動物內臟),並可服鹼性藥物,使尿pH保持在7~7.5。
3.及時解除尿路梗阻,控制尿路感染。及時取出或更換留置於尿路的導管,去除尿路異物,鼓勵長期臥床者作功能鍛鍊。
流行病學
原發性膀胱結石少見,多見於兒童,繼發性膀胱和尿道結石多見於老年男性,常見的病因有上尿路結石排入膀胱內、下尿路梗阻使尿液滯留、感染、異物等。
相關詞條
常見內科疾病3
| 了解內科疾病的治療、預防,增強疾病知識。 |
