疾病描述
單核細胞系膜增生性腎小球腎炎(mesangialproliferativeglomerulonephritis,MsPGN)是根據光鏡所見的一種病理形態學診斷的腎炎,是一組以瀰漫性腎小球系膜細胞增生及不同程度系膜基質增多為主要特徵的腎小球疾病。1977年世界衛生組織(WHO)正式將其列為一種原發性腎小球腎炎病理類型。系膜增生性腎炎是病理形態學的一個術語,系膜增生性腎小球腎炎分為原發性和繼發性兩類。
原發性系膜增生性腎炎又可分為4種:
①系膜沉積物以IgA為主。
②系膜沉積物以IgM為主。
③有其他形式的Ig及(或)C3沉積。
④沒有Ig或C3沉積。
另根據其免疫病理,又將其分為IgA腎病(以IgA沉積為主)及非IgA腎病兩大類。其中IgA腎病已成為獨立的腎小球疾病類型,其餘的統稱為非IgA系膜增生性腎炎(non-IgAMsPGN),簡稱系膜增生性腎炎。此外,國外有學者將IgM沉積為主的sPGN稱為IgM腎病。該病是中國最常見的原發性腎小球疾病,據統計,該型腎炎占成人原發性腎小球疾病腎活檢病例的24.7%~30.3%。系膜增生性腎小球腎炎臨床上表現為隱匿性腎小球疾病[無症狀性血尿和(或)蛋白尿]、慢性腎小球炎及原發性腎病綜合徵。
症狀體徵
系膜增生性腎炎可發生於任何年齡,年齡較大的兒童和青年發病率較高,高峰年齡為16~30歲。男性病例略高於女性。系膜增生性腎小球腎炎多數起病隱匿,常見上呼吸道感染為前驅症狀,其發生率為30.8%~40.3%。系膜增生性腎小球腎炎的特點是臨床表現多樣化,幾乎各種原發性腎小球腎炎的發病形式及臨床表現均可見於其中。輕者主要表現為無症狀性血尿和(或)蛋白尿及慢性腎小球腎炎,重者可表現為腎病綜合徵。患者中30%~100%的病例有鏡下血尿,20%~30%有反覆發作的肉眼血尿;蛋白尿從微量到大量或腎病綜合徵表現者均有,多數患者表現為中等量選擇性蛋白尿;30%病例出現輕度高血壓,發病初期絕大多數腎功能正常,後期有10%~25%的病例出現腎功能減退。此外,部分病人有腰痛,可能與肉眼血尿有關。系膜增生性腎小球腎炎的臨床表現與病理改變有明顯關係,如顯著瀰漫性系膜增生和典型的腎病綜合徵病例,其發展傾向於持續性蛋白尿和進行性腎功能不全。系膜增生伴局灶節段性硬化者,臨床上也易發生腎功能不全。而部分系膜增生不明顯的病人,其病變進展緩慢預後較好。
系膜增生性腎小球腎炎特點
⑴臨床特點;
①占腎活檢病例的50%,在原發性腎病綜合徵中占30%;
②男性多於女性,好發於青少年;
③50%有前驅感染史;
④70%患者伴有血尿,多為鏡下血尿,也有為反覆發作的肉眼血尿;
⑤病情由輕轉重,腎功能不全及高血壓的發生率逐漸增加。
⑵病理特點
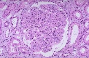
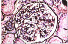
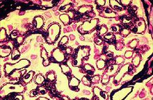
①系膜區細胞增多;
②基質增寬;
③有C1q沉著;
④內皮細胞無增生;
⑤基膜無改變;
⑥上皮細胞無改變。
⑶病理分型
輕度:增生系膜區<;毛細血管腔系膜細胞<3個
輕度系膜增生中度:增生系膜區>;毛細血管腔、受壓,系膜細胞3-5個
中度系膜增生重度:系膜瀰漫增生基礎上呈團塊聚集,毛細血管結構破壞,
系膜細胞>5個
重度系膜增生病理病因
疾病病因
系膜增生性腎小球腎炎系膜增生性腎炎的病因仍未明確。部分病例起病前有感染史,以上呼吸道感染居多,
但病原不明,感染對系膜增生性腎小球腎炎確切的作用也不清楚。鑒於免疫螢光檢查有多種表現,推測系膜增生性腎小球腎炎的致病因素可能存在多種。系膜增生性腎炎患者的腎小球系膜區有免疫球蛋白和補體C3的沉積,提示為一種免疫介導炎症性疾病。某些抗原刺激機體產生相應的抗體,形成較大分子難溶性循環免疫複合物,並沉積於腎小球系膜區引起系膜細胞增殖。當系膜組織清除功能低下或受抑制時,單核吞噬細胞系統功能受損,免疫複合物不能清除,而滯留於系膜區,導致系膜病變。此種發病機制在動物實驗中得到驗證。儘管免疫複合物是產生系膜損害的主要原因,但其抗原與抗體的性質和其確切的損傷過程尚不清楚。另外,細胞免疫介導在發病中也起重要作用。在對細胞因子網路與系膜細胞之間作用的研究中發現,系膜細胞在炎症過程中是炎症介質作用的靶細胞,加之又有自分泌和旁分泌功能,在炎症介質作用下釋放出各種細胞因子,從而刺激和激活系膜細胞,促進系膜細胞增生。系膜細胞產生細胞外基質,基質又通過細胞表面的受體和整合素的信號傳遞影響細胞。非免疫性因素如高血壓、高灌注狀態及血小板功能異常,也是導致系膜的病理改變的重要因素。病理生理
系膜增生性腎炎的發病機制尚不明確,大體可分為免疫性發病機制及非免疫性發病機制兩類。免疫性發病機制包括免疫反應導致免疫複合物及補體對系膜細胞的直接作用;炎症反應引發淋巴細胞激活、細胞因子異常分泌所致系膜細胞及細胞因子相互作用;非免疫性因素如高血壓、高灌注狀態及血小板功能異常,也可導致系膜的病理改變。從系膜增生性腎炎患者的系膜區發現免疫複合物如IgG、IgM、IgA及補體C3的呈顆粒狀沉積,提示免疫複合物致病的可能性。腎小球系膜細胞除具有單核巨噬細胞的吞噬作用外,還具有分泌功能,多種因素導致B淋巴細胞活躍,分泌各種細胞因子,促進系膜細胞增生。同時,系膜細胞本身又可以分泌各種細胞因子(即所謂系膜細胞的自分泌作用),同樣會促進系膜細胞異常增生。另外,免疫遺傳學的研究從遺傳學角度探討了系膜增生性腎小球腎炎可能的發病基礎,進一步證實了系膜增生性腎小球腎炎的免疫性發病機制。一部分系膜增生性腎炎具有免疫螢光陰性的特點,同時,在免疫性因素消除後,部分患者腎小球系膜病變持續進展,說明非免疫性因素對系膜增生性腎炎有影響。例如,腎小球的高濾過狀態、腎小球內高血壓對系膜硬化的影響,均提示非免疫性因素的作用。血小板活性因子(PAF)及纖溶系統的異常活躍對系膜增生性腎小球腎炎的發生也有促進作用。
診斷檢查
診斷
腎病綜合徵MsPGN臨床表現呈多樣化,如起病隱匿(無前驅感染)或以急性腎炎綜合徵(有前驅感染)、腎病綜合徵、無症狀性蛋白尿和(或)血尿等方式起病;系膜增生性腎小球腎炎常有腎小球源性血尿和非選擇性蛋白尿,伴或不伴高血壓等急性腎炎表現,特別是青少年,有以上情況者,應懷疑係膜增生性腎小球腎炎。確診仍依賴腎活檢檢查,其特點是瀰漫性腎小球系膜增生,以及瀰漫性系膜區免疫球蛋白和補體沉積。無內皮細胞及小管、腎間質損害。
儘管根據不同的臨床表現及病理改變特點,可以確診大多數原發性系膜增生性腎炎,但系膜增生性腎小球腎炎在臨床和病理上許多方面與微小病變腎病及局灶節段性硬化相似,3種病變在病理學上存在相互重疊和轉換,故對上述3種病變的病理歸屬仍有爭議。當系膜增生顯著,少數毛細血管襻呈節段性內皮下插入改變時,與膜增生性腎炎的劃分也有爭論。另外,系膜增生性腎小球腎炎病理學改變也見於繼發性腎小球疾病,如狼瘡性腎炎Ⅱ型、過敏性紫癜腎炎、類風濕性關節炎的腎臟病變和遺傳性腎炎等,需結合患者病史和臨床表現予以鑑別方可確診。
尿蛋白1.尿液檢查常有明顯異常,鏡檢可見腎小球源性血尿,尿中紅細胞呈多形性改變,血尿發生率占70%~90%,常為鏡下血尿。尿蛋白常為非選擇性。尿中可出現C3和α2巨球蛋白等大分子蛋白。
2.血液檢查腎功能早期大多正常,少數腎小球濾過率下降。血清IgG水平可輕度下降,極少數病例C4水平降低,部分病例血中IgM或IgG循環免疫複合物呈陽性。血清IgA水平不高,補體C3正常,抗鏈菌素“O”滴度一般正常,抗核抗體和類風濕因子陰性。
其他輔助檢查:
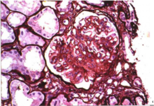
1.光鏡系膜細胞的瀰漫性增生為系膜增生性腎小球腎炎的基系膜增生性腎小球腎炎理特點,可伴有系膜區的增寬。此病變通常影響80%以上的腎小球,多數腎小球病變程度相似,稱為瀰漫性增生。早期以系膜細胞數增多為主,在中等病變中每個系膜區的系膜細胞數為4~5個。而在較嚴重的病變中,每個系膜區的系膜細胞數多在5個以上,系膜區還可見單核細胞浸潤。Masson染色約50%的病例可見系膜區嗜復紅免疫複合物沉積。腎小球毛細血管壁正常,毛細管腔開放較好。大多數病例腎小管、間質組織及腎內小動脈正常。
感染後腎小球腎炎2.電鏡腎活檢可見50%以上的系膜區有電子緻密物沉積,成分尚不清楚,可能包含IgM成分。在一些患者中可發現內皮下電子緻密物,但很少發現毛細血管壁內有電子緻密物。上皮細胞足突可呈瀰漫性腫脹或消失,偶見胞質破碎。常見輕微的基底膜改變,如基底膜增厚或不規則。
3.免疫螢光主要有4種表現:①以IgM為主的免疫球蛋白伴或不伴C3沉積,系膜區常有IgM沉積。②58%的患者有IgG和C3沉積。③僅有補體C3沉積。④無任何沉積物,免疫病理檢查陰性。
治療方案
腎小球腎炎治療方法應根據臨床表現結合病理特點選擇使用,並須通過長期隨訪,調整治療方案。一般治療同其他腎臟疾病。
1.單純血尿病理改變僅有輕度系膜增生,中度以下蛋白尿伴或不伴血尿,24h尿蛋白定量小於1.5g,病理改變為輕度或中度系膜增生的患者,輕者無須特殊治療。對於尿蛋白定量1~2g/24h的患者,給予常規量糖皮質激素治療,有助於縮短緩解時間,減輕腎臟的病理改變。
尿蛋白
2.大量蛋白尿或腎病綜合徵此類患者無論病理改變輕重,均應給予足量的糖皮質激素治療。即便病理學改變為系膜增生輕微、無瀰漫性Ig和(或)補體沉積,也不伴局灶節段性腎小球硬化者,也要給予潑尼松(強的松)治療。兒童劑量60mg/(m2?d),成人劑量40~60mg/d,常規治療後在4~6個月內逐漸減量維持;或甲潑尼龍(甲基強的松龍)10g/d,共3天,後改口服潑尼松(強的松)40mg/d,4~8周后減量維持。免疫螢光IgM及C3陽性者,多數病例對激素反應敏感,且預後良好。對於激素依賴型及激素不敏感型患者,在用激素的同時,加用免疫抑制藥如環磷醯胺、苯丁酸氮芥或硫唑嘌呤等;臨床常用環磷醯胺,每次1g,每月1次,連續12~16個月,有助於鞏固療效,提高緩解率和延長緩解期。據報導聯合治療可使60%的病例復發減少。另外,根據病情也可加用抗凝劑或血小板抑制劑、血管緊張素轉換酶抑制藥(ACEI)和肝素,ACEI可通過降低血管緊張素Ⅱ的作用、降低腎小球內壓及基底膜通透性、抑制系膜細胞增殖,從而降低蛋白尿,保護腎功能。肝素在體外能明顯抑制系膜細胞增殖,在抗Thy-1的系膜增生性腎炎模型中,證實能有效抑制系膜細胞的增殖,降低系膜細胞、纖維母細胞生長因子及PDGF受體的表達,從而抑制系膜基質的合成。肝素還具有保護或修復腎小球基底膜電荷屏障的作用,因此,肝素可能成為治療系膜增生性腎小球腎炎很有前途的藥物。
腎小球腎炎3.合併高血壓及腎功能不全此型為系膜增生性腎炎中預後最差者。病理改變顯示中度至嚴重瀰漫性系膜增生伴局灶節段性腎小球硬化,通常對激素反應欠佳。如伴有球囊粘連、腎小球荒廢、腎小管萎縮、間質纖維化者,對激素療效更差。此類病人臨床上常表現為明顯血尿、持續性蛋白尿、高血壓及腎功能不全,並逐漸進展為終末期腎衰。對有顯著系膜增生者,通常使用足量激素治療8周,療效不佳即延長激素療程1年以上,可能獲得較滿意效果。或者在常規給予激素治療的同時,加免疫抑制藥及抗凝劑和抗血小板藥物治療,但作用仍不肯定。對於已進入慢性腎衰患者,應及時施行血液淨化及腎移植治療。
併發症
1.感染
系膜增生性腎小球腎炎表現為腎病綜合徵時,大量蛋白質丟失、營養不良、免疫功能紊亂及套用糖皮質激素治療均可使機體抵抗力下降,誘發感染性疾病發生,且臨床徵象常不明顯,雖有多種抗生素供選擇,若治療不及時或不徹底,仍易引起腎病綜合徵復發和病情加重,甚至導致病人死亡。
2.血栓、栓塞
系膜增生性腎小球腎炎由於血液濃縮(有效血容量減少)及高脂血症造成血液黏稠度增加;蛋白質大量丟失及肝臟代償性合成蛋白增加,會引起機體凝血、抗凝和纖溶系統失衡。另外,腎病綜合徵時血小板功能亢進,加之套用利尿藥和糖皮質激素等,均可加重高凝狀態,容易發生血栓、栓塞併發症。其中腎靜脈血栓最常見,3/4病例因形成緩慢,故臨床症狀不顯。此外,肺血管血栓、栓塞,下肢靜脈、下腔靜脈、冠狀血管血栓和腦血管血栓也不少見。血栓、栓塞併發症是直接影響腎病綜合徵治療效果和預後的重要原因。
3.腎功能衰竭
腎病綜合徵病人可因有效血容量不足而導致腎血流量下降,誘發腎前性氮質血症。少數病例可出現急性腎衰竭。由於腎小管腔內高壓,間接引起腎小球濾過率驟然減少,導致急性腎實質性腎衰竭。常見於50歲以上病人,發生多無明顯誘因,表現為少尿或無尿,擴容利尿無效。腎活檢病理檢查顯示腎小球病變輕微,腎間質瀰漫重度水腫,腎小管可為正常或有少數細胞變性、壞死,腎小管腔內有大量蛋白管型。
預後預防
預後:系膜增生性腎小球腎炎多數患者預後良好,少數病例自動緩解。因病理改變及臨床表現不同,故病程相差較大。一般認為,單純血尿患者較少進入腎功能衰竭;長期少量蛋白尿伴或不伴血尿患者,病程一般較長;大量蛋白尿患者出現腎功能衰竭的時間明顯早於前兩類患者;大量蛋白尿伴高血壓患者,多數在數年內進入腎功能不全期。系膜增生性腎小球腎炎的預後與多種因素有關:兒童預後較好,尤以6歲以下者預後好;臨床表現為單純血尿或輕度蛋白尿伴或不伴血尿者預後良好;早期出現高血壓、腎功能減退或持續大量蛋白尿者往往預後不良;腎活檢病理改變為輕度系膜增生不伴局節段性腎小球硬化者預後良好;重度系膜增生,疊加局灶節段性腎小球硬化、腎間質纖維化及腎小管萎縮者,預後惡劣。這類病人腎移植後再發生率高達40%~60%;對激素治療敏感者預後較好;而對激素依賴或不敏感者預後差。
預防:系膜增生性腎小球腎炎發病和預後與多種因素有關,所以預防要從自身健康著手,平時注意適當休息,避免勞累,合理飲食,科學鍛鍊,增強體質,提高免疫力,避免接觸有毒物質、有害藥物及化學物品,減少其對機體的損害,以防各種疾病發生。對系膜增生性腎小球腎炎病情重者如表現為腎病綜合徵或已有併發症出現,會因直接影響病人療效和長期預後,故應積極預防和對症治療。詳細參見腎病綜合徵預防。
流行病學
1.發病率MsPGN亞洲多見,是中國最常見的原發性腎小球疾病。占中國該病的1/3~1/4,占原發性腎病綜合徵的1/2左右。近幾年中國統計的腎活檢患者,原發性非IgA腎病系膜增生性腎炎的發病率為24.7%~41.5%。在原發性腎病綜合徵病例中,此型腎炎歐美發病率在10%以下,中國約占16%明顯高於歐美平均發病率。
2.性別與年齡系膜增生性腎小球腎炎多見於年齡較大的兒童及青年,兒童發病多見於3~15歲,平均年齡8歲,成人的平均發病年齡25歲。男性發病率稍多於女性。
3.遺傳中國北方漢族人中系膜增生性腎炎患者的HLA-DR12基礎頻率明顯增高,提示不同的免疫遺傳學基礎可能是系膜增生性腎小球腎炎的潛在因素。
平時飲食
平時飲食要注意蛋白的攝入量,多食精緻動物蛋白,低鹽、低脂,禁食辛辣刺激食物,避免感冒、感染、勞累等因素,下文給出具體介紹。 髒病患者的飲食應嚴格控制蛋白質、食鹽、水分及刺激性食物。
(l)限制蛋白質的供應量,如果蛋白質供應太多,在體內代謝後,產生的含氮廢物也多,排泄時就會增加 腎臟的負擔。若尿量很少,這些廢物排泄不出去,就會在體內積存,從而引起一系列中毒症狀。因此,飲食中 應避免食用含蛋白質豐富的食品,如肉類、蛋類和豆製品等。當病情好轉時,才可逐漸增加蛋白質的供應量。
(2)限制食鹽和水分,有嚴重浮腫、高血壓、少尿的患者,應吃無鹽飲食。每日進入體內的水分不宜超過 800~1200升。同時忌食鹹菜、醬菜、鹹蛋、醬豆腐、榨菜等含鈉多的食品。如浮腫消退、血壓下降、尿量增 多、可改用少鹽飲食,每日食鹽限制在2~3克。
(3)多食清淡而有利尿作用的食品,有利尿消腫作用的食物有鯉魚、鯽魚、羊奶、西瓜、冬瓜、綠豆、赤 小豆等。西瓜皮煮水,利尿效果較好。
(4)多食含豐富維生素的食品新鮮蔬菜和水果是鹼性食物,既能供給多種維生素,還能促進腎臟功能恢復 。
含鉀高的食物
穀類:全穀類、小麥肧芽。
奶類:各類調味乳奶。
肉類:鵝肉、沙丁魚。
豆類:紅豆、綠豆、豆腐等
蔬菜類:深色蔬菜類(尤其是紅莧菜、綠莧菜、通菜含量高)另有紫菜、海帶、胡蘿蔔、香菇。 土豆
水果類:香蕉、蕃茄、硬柿、芭楽、龍眼、香瓜、棗子、橙子、芒果含量最高。
其它:朱古力、可可、花生、瓜子、養樂多、堅果類及罐頭類醃製品。
注意:柳橙汁、無鹽醬油含鉀高不宜食用。
含鉀高的事物有, 堅果類,尤其是榛子,腰果, 南瓜子,葵花籽。豆類,像黃豆,蠶豆。等等。南瓜、杏 乾、梅乾、葡萄乾、杏
如何避免攝入含鉀高食物的食用方法:(1)不用菜湯或肉湯拌飯。(2)蔬菜水煮3min再炒;薯類切片後泡水 20min後汁液倒掉不用。(3)不用低鈉鹽、薄鹽醬油、代鹽。(4)超低溫冷藏食品比新鮮食品含鉀量少1/3。
含磷高的食物:(1)含酵母的食物如養樂多、優酪乳、優格、乳酪、健素糖等,均含磷量高,應避免食用。( 2)豆類如紅豆、綠豆、蠶豆,核果類如瓜子、核桃、腰果花生、栗子,磷含量均高,不可食用。(3)米麵類 要避免全麥麵包或糙米。(4)其他如汽水、蛋黃、內臟也屬於含磷高的食物。同時正確指導患者服用降磷藥 物:磷的結合劑如氫氧化鋁片或碳酸鈣片,服用時一定要敲碎,然後一口食物一口藥配合吃才有降磷的作用。
通過專家的相關介紹,您對於系膜增生性腎炎要求對飲食注意點什麼有所了解了嗎?以上關於系膜增生性腎小球腎炎食療方、飲食注意事項僅供參考,因為每個系膜增生性腎小球性腎炎患者的情況不盡相同,建議在採納本食療方之前最好與專業醫生溝通,決定是否適用本食療方法。

