概述
原發性腎小球腎炎慢性腎炎後期可發展為腎功能不全以致腎功能衰竭,患者可出現貧血,心衰等。其主要是由腎實質受損,紅細胞生成減少及營養不良有關。貧血和心衰等嚴重程度與腎臟病變及腎功能減退成正比。慢性腎炎的病因很多,急性腎炎者遷延一年以上可為慢性腎炎。
類型
原發性腎小球腎炎急進性腎小球腎炎病理類型為新月體腎小球腎炎。又可分為三個類型:Ⅰ型為抗腎小球基底膜型,Ⅱ型為免疫複合物型,Ⅲ型為非免疫複合物型。
原發性腎小球腎炎臨床上主要分為急性腎小球腎炎、急進性腎小球腎炎、慢性腎小球腎炎和隱匿性腎小球腎炎四類。
原發性腎小球腎炎的病理類型為毛細血管內增生性腎小球腎炎。
原發性腎小球腎炎病理類型為新月體腎小球腎炎。又可分為三個類型:Ⅰ型為抗腎小球基底膜型,Ⅱ型為免疫複合物型,Ⅲ型為非免疫複合物型。
原發性腎小球腎炎可由多種病理類型引起,常見的有系膜增生性腎小球腎炎(包括IgA和非IgA系膜增生性腎小球腎炎)、系膜毛細血管性腎小球腎炎、膜性腎病以及局灶性節段性腎小球硬化等。病變進展至後期病理類型均可轉化為硬化性腎小球腎炎。
可由多種病理類型引起,常見的有系膜增生性腎小球腎炎(包括IgA和非IgA系膜增生性腎小球腎炎)、系膜毛細血管性腎小球腎炎、膜性腎病以及局灶性節段性腎小球硬化等。病變進展至後期病理類型均可轉化為硬化性腎小球腎炎。
病理
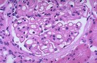
原發性腎小球腎炎系膜增生性腎小球腎炎(MsPGN):
(1)臨床特點;①占腎活檢病例的50%,在原發性腎病綜合徵中占30%;②男性多於女性,好發於青少年;③50%有前驅感染史;④70%患者伴有血尿;⑤病情由輕轉重,腎功能不全及高血壓的發生率逐漸增加。
(2)病理特點:①系膜區細胞增多;②基質增寬;③有C1q沉著;④內皮細胞無增生;⑤基膜無改變;⑥上皮細胞無改變。
(二)慢性瀰漫性或局灶性增生性腎小球腎炎,多由急生腎炎遷延不愈發展而來。
(三)膜性腎病(MN)(膜性腎小球腎炎membranousglomerulonephritis)80%表現為腎病綜合徵,但有部分表現為慢性腎炎,35歲以後發病多見。
膜性腎小球腎炎(membranousglomerulonephritis)是臨床上以大量蛋白尿或腎病綜合徵為主要表現。病理上以腎小球毛細血管基底膜均勻一致增厚,有瀰漫性上皮下免疫複合物沉積為特點,不伴有明顯細胞增生的獨立性疾病。
特點
細胞圖(2)病理特點:①上皮下免疫複合物沉著;②基底膜增厚與變形膜增殖性腎炎(膜增生性腎炎、系膜毛細血管性腎炎,MPGN):多見於30歲以前的青少年。一般起病急,有前驅感染表現,易與急性腎炎混淆,腎功能進行性減退。
膜增生性腎炎(系膜毛細血管性腎炎,MPGN):
(1)臨床特點;①70%有前驅感染史;②幾乎所有的患者均有血尿;③腎功能損害、高血壓及貧血出現較早;④50-70%病例有血清C3降低。5.膜增生性腎炎(系膜毛細血管性腎炎MPGN):
(2)病理特徵:①基底膜增厚;②系膜細胞增生。
局灶節段性腎炎(局灶節段性腎小球硬化FSGS),好發年齡為20-40歲,幾乎所有病例都是隱襲發病,臨床表現以腎病綜合徵為主,並常伴有高血壓。
局灶節段性腎小球硬化(FSGS):
(1)臨床特點;①本病多發生於青少年男性,起病隱匿;②3/4患者有鏡下血尿,25%可見肉眼血尿;③常有血壓增高;④可發展至腎衰;⑤多數對激素不敏感,25%輕型病例或繼發於MCD者經治療可能獲臨床緩解。
(2)病理特點:①節段性:一個或幾個腎小球硬化,余腎小球正常;②局灶性:一個腎小球部分硬化;③多伴有腎小管萎縮,腎間質纖維化;④可與MCD合併;⑤可與MsPGN合併。據國內統計以系膜增生性腎炎(系膜增生性腎小球腎炎)為最多,其次為局灶性節段性腎小球硬化、膜增生性腎炎、膜性腎病等。隱匿型腎小球腎炎和其它腎炎
隱匿型腎炎類似腎病,多以潛血為主要臨床症狀;過敏性紫癜性腎炎、紅斑狼瘡腎炎等均與免疫病理學有關。可見於各種年齡的男、女性。有肉眼血尿者腎功能損害輕微,預後較好。大量蛋白質、高血壓及腎功能損害,相對來說預後較差。
病理學
原發性腎小球腎炎A.腎小球輕微病變和微小病變。
B.局灶和(或)節段性腎小球病變:
(1)局灶性腎小球腎炎;
(2)局灶和節段性玻璃樣變和硬化。
C.瀰漫性腎小球腎炎:
(1)膜性腎小球腎炎(膜性腎病);
(2)增生性腎小球腎炎:a.系膜增生性腎小球腎炎;b.毛細血管內增生性腎小球腎炎;c.系膜毛細血管性腎小球腎炎(膜增生性腎小球腎炎I型及Ⅲ型);d.緻密沉積物性腎小球腎炎(膜增生性腎小球腎炎Ⅱ型);e.新月體性(毛細血管外)腎小球腎炎。
D.硬化性腎小球腎炎。
治療
原發性腎小球腎炎1.限制高蛋白飲食 對腎功能不全病人應及早採用低蛋白飲食。低蛋白飲食可減輕尿蛋白排泄量,從而減輕腎小球的高濾過及腎小管高代謝狀態,並減少近曲小管氨的生成,從而減輕氨通過旁路途徑激活補體而造成腎小管間質炎症損傷,延緩腎衰進展蛋白質攝入量限制在0.6~0.8g/(kg·d)一般提供優質蛋白如蛋、奶、瘦肉等並加用必需胺基酸療法腎靈提供α-酮酸;補充腎必氨提供體內必需胺基酸。同時適當增加碳水化合物,以達到機體基本需要,防止負氮平衡。對僅有大量蛋白尿,而腎功能正常者,蛋白質攝入量可適當放寬至0.8~1.0g/(kg·d)。在低蛋白飲食同時應注意限制磷的攝入,補充鈣劑注意糾正高磷低鈣狀態,減輕繼發性甲狀腺功能亢進另外應給予低嘌呤飲食火罐網,以減少尿酸的生成和排泄,減輕高尿酸血症。
2.控制高血壓 慢性腎炎進展過程中,健存腎單位處於代償性高血流動力學狀態,全身性高血壓可進一步加重病變導致腎小球進行性損傷。積極地控制高血壓可防止腎功能損傷加重對明顯水鈉瀦留者,利尿藥可作首選。若腎功能好可加噻嗪類藥物;對於腎功能差者(GFR<25ml/min)應改用襻利尿藥,注意預防電解質紊亂,以防加重高脂血症及高凝狀態。臨床常用健康搜尋的降壓藥物有:
(1)血管緊張素轉換酶抑制藥(ACEI):ACEI具有較好的腎保護作用,該藥在降低全身性高血壓的同時,還可降低腎小球內壓減輕腎小球高血流動力學降低尿蛋白,減輕腎小球硬化從而延緩腎衰進展,臨床常用ACEI有:①卡托普利(巰甲丙脯酸,開博通):一般劑量每次25~50mg,3次/d,飯前服用,每天最大劑量不超過450mg兒童開始每天1mg/kg,最大劑量6mg/kg,分3次口服。②依那普利(苯脂丙脯酸):該藥為不含疏基的ACEI,其用藥劑量小,作用強,作用時間長,副作用小。常用劑量為5~10mg,1次/d。③貝那普利(洛丁新):10mg,1次/d。④培哚普利(雅士達):4mg,1次/d;⑤西拉普利(抑平舒):2.5mg,1次/d。套用中應注意副作用,如高血鉀、貧血、皮疹、瘙癢、乾咳、味覺減退少數患者有粒細胞減少,部分學者報導ACEI可引起間質性腎炎,一過性血肌酐增高。此類藥物應慎用健康搜尋,特別是有腎功能不全者如Scr>2~4mg/dl(188~376μmol/L),應禁用。
(2)鈣拮抗藥:治療高血壓和延緩腎功能惡化有較為肯定的療效,ACEI和鈣拮抗藥這兩類藥物現已作為一線降壓藥物。鈣拮抗藥具有抑制Ca2+內流作用,能直接鬆弛血管平滑肌,擴張周圍小動脈,降低外周血管阻力,從而使全身血壓下降,此外,鈣離子拮抗藥還能減少氧消耗和抗血小板聚集,以達到減輕腎臟損傷及穩定腎功能作用。常選用長效鈣拮抗藥:①氨氯地平(絡活喜)5~10mg,1~2次/d;②硝苯地平(拜心通)30~60mg,1次/d;③尼卡地平(佩爾地平)40mg,1~2次/d;④尼群地平(nitrendipine)20mg,1~2次/d但應注意二氫吡啶類如硝苯地平(心痛定)使用過程中可能出現的不良反應,有人認為此類藥物可加重腎小球高濾過狀態,增加心血管危險性因素等。
(3)β-受體阻滯藥:對腎素依賴性高血壓有較好的療效。可降低腎素作用該藥降低心排血量而不影響腎血流量和腎小球濾過率應注意某些β-受體阻滯藥,如美托洛爾(美多心安)、阿替洛爾(氨醯心安)有肯定的降壓效果,但該藥需經腎臟排泄故在腎功不全時要調整劑量和延長用藥時間。
(4)α1-受體阻滯藥:哌唑嗪具有血管擴張作用,可擴張小動脈、小靜脈。一般從小劑量開始,逐步遞增至6~12mg/d,應注意防止體位低血壓的發生。
(5)擴血管藥物:如肼屈嗪(肼苯噠嗪)有良好的降壓作用,一般劑量每天200mg,與β-受體阻滯藥聯合使用,可減少副作用提高療效。
3.抗凝和抑制血小板聚集藥物 慢性腎炎患者較少出現大量的血栓、栓塞併發症,但腎組織病理檢查常可發現腎小球毛細血管內血小板聚集和纖維蛋白FRA沉積,抗凝和血小板聚集抑制藥物可減輕腎臟病理損傷延緩腎炎進展,保護腎功能,特別是對增生型腎炎尤為重要對有明確高凝狀態和某些易引起高凝狀態的病理類型(如膜性腎病、系膜毛細血管增生性腎炎)可長時間用藥,以穩定腎功能,減輕腎臟病理損傷的作用。
常用抗血小板藥物:雙嘧達莫(潘生丁)75~100mg,3次/d。阿司匹林75~100mg1次/d。
抗凝藥物:肝素1000~12500U深部肌內注射,8小時1次或5000~6000U加生理鹽水100ml靜滴,20~30滴/min;華法林起始劑量5~20mg/d,以2.5~7.5mg/d維持治療。
4.激素和細胞毒藥物 對於此類藥物火罐網在慢性腎炎中是否套用目前尚無統一看法,表現為腎病綜合徵的輕度系膜增生性腎炎,可能對激素反應良好,局灶節段性腎小球硬化、膜性腎病對激素可能有效根據病理類型如腎功能正常或輕度受損,尿蛋白≥2.0g/24h無禁忌證者可試用激素及細胞毒藥物。
5.防治加重腎損害的其他因素 積極預防和治療感染性疾病如上呼吸道感染、尿路感染等,可避免引起和加重腎功能急驟惡化。避免使用腎毒性或易誘發腎功能損傷的藥物,如氨基甙類抗生素、非類固醇消炎、磺胺藥等,對伴有高脂血症高血糖高尿酸血症等應給予相關處理。亦應注意維持水、電解質及酸鹼平衡,預防心衰等發生。
診斷依據
慢性腎小球腎炎-診斷思路
1.起病緩慢,病情遷延,時輕時重,腎功能逐步減退,後期可出現貧血、電解質紊亂、血尿素氮、血肌酐升高等情況。
2.有不同程度的蛋白尿、血尿、管型尿、水腫及高血壓等表現。
慢性腎小球腎炎3.病程中可因呼吸道感染等原因誘發急性發作,出現類似急性腎炎的表現。
慢性腎小球腎炎-診斷
典型病例診斷不難,具有蛋白尿、血尿(相差顯微鏡檢多見多形態改變的紅細胞)、高血壓、水腫、腎功能不全等腎小球腎炎臨床表現,病程持續1年以上,除外繼發性腎小球腎炎引起者,應考慮本病。
在鑑別診斷上需與慢性腎盂腎炎、慢性腎間質腎炎、狼瘡性腎炎,紫癜性腎炎和遺傳性腎炎等相鑑別。
診斷中需要注意:1.排除繼發性慢性腎小球腎炎。2.明確進展還是非進展性的慢性腎小球腎炎。3.強調行腎活檢進一步明確診斷。
臨床症狀
慢性腎炎是病因多樣,病理形態不同,而臨床表現相似的一組腎小球疾病,它們共同的表現是水腫、高血壓和尿異常改變。
(1)水腫:在整個疾病的過程中,大多數患者會出現不同程度的水腫。水腫程度可輕可重,輕者僅早晨起床後發現眼眶周圍、面部腫脹或午後雙下肢踝部出現水腫。嚴重的患者,可出現全身水腫。然而也有極少數患者,在整個病程中始終不出現水腫,往往容易被忽視。
(2)高血壓:有些患者是以高血壓症狀來醫院求治的,醫生要他們化驗小便後,才知道是慢性腎炎引起的血壓升高。對慢性腎炎患者來說,高血壓的發生是一個遲早的過程,其血壓升高可以是持續性的,也可以間歇出現,並以舒張壓升高(高於12.7kPa)為特點高血壓的程度也有很大的個體差異,輕者僅18.7—21.3/12.7—13.3kPa,嚴重者甚至可以超過26.7/14.7kPa。
(3)尿異常改變:尿異常幾乎是慢性腎炎患者必有的現象,包括尿量變化和鏡檢的異常。有水腫的患者會出現尿量減少,且水腫程度越重,尿量減少越明顯,無水腫患者尿量多數正常。當患者腎臟受到嚴重損害,尿的濃縮一—稀釋功能發生障礙後,還會出現夜尿量增多和尿比重下降等現象。把慢性腎炎患者的尿液放到顯微鏡下觀察,可以發現幾乎所有的患者都有蛋白尿,尿蛋白的含量不等,可以從(±)到(++++)。在尿沉渣中可以見到程度不等紅細胞、白細胞、顆粒管型、透明管型。當急性發作時,可有明顯的血尿,甚至出現肉眼血尿。除此之外,慢性腎炎患者還會出現頭暈失眠、神疲納差,不耐疲勞、程度不等的貧血等臨床症狀。
種類
原發性腎小球疾病是指病損局限於腎小球或主要是腎小球損害的一組腎臟病。原發性腎小球疾病大多是特發的(即發病原因不明),少部分由細菌感染或藥物所誘發。對原發性腎小球疾病的分類可從兩個方面,即臨床分型和病理分型。
參照1992年原發性腎小球疾病臨床分型標準,可將其分為:
(1)急性腎小球腎炎為急性起病,以血尿、蛋白尿、水腫和高血壓為主要表現,並可有一過性氮質血症的一組疾病。多見於鏈球菌感染後,其它細菌、病毒及寄生蟲感染也可引起。
(2)急進性腎小球腎炎臨床起病過程和表現類似急性腎小球腎炎,但腎功能急劇壞轉、早期出現少尿性急性腎功能衰竭為特徵,病理表現為大量新月體形成的一組疾病。
(3)慢性腎小球腎炎為病情遷延、病變進展緩慢、最終將發展成慢性腎功能衰竭的一組腎小球疾病。臨床以水腫、高血壓、蛋白尿、血尿及腎功損害為基本表現,但由於疾病病理類型和病期不同,它們的主要表現可相異,呈多樣化。
(4)腎病綜合徵主要表現為“三高一低”,即高度浮腫、大量蛋白尿(≥3.5克/日)、高脂血症和低蛋白血症(血漿白蛋白≤30克/升)。只要具備大量蛋白尿和低蛋白血症診斷即可成立。
(5)隱匿性腎小球疾病是以無症狀蛋白尿(尿蛋白量<1克/日,以白蛋白為主)和(或)單純性血尿(持續或間斷鏡下血尿,並偶見肉眼血尿,其性質為腎小球源性)為臨床表現的一組腎小球疾病。病人無水腫、高血壓及腎功能損害。
根據1982年世界衛生組織對原發性腎小球疾病的病理分型標準,可分為:
①輕微腎小球病變;
②局灶性節段性病變;
③瀰漫性腎小球腎炎:包括膜性腎病、增生性腎炎(後者又可分為:系膜增生性腎炎、毛細血管增生性腎炎、系膜毛細血管性腎炎、緻密沉積物性腎炎和新月體性腎炎)和硬化性腎炎。
④未分類的腎小球腎炎。
某些腎小球疾病還能根據其免疫螢光和(或)免疫組織化學檢查結果作出免疫病理診斷,如IgA腎病和IgM腎病。
